Cơ chế gây bệnh của vi khuẩn lao
1. Vi khuẩn lao là gì?
Lao là bệnh truyền nhiễm qua đường hô hấp, do vi khuẩn lao Mycobacterium tuberculosis (M. tuberculosis) gây ra. M. tuberculosis và 7 loài Mycobacterial liên kết chặt chẽ với nhau tạo thành phức hợp M.tuberculosis.
Đa số nhưng không phải tất cả những loài này đều gây bệnh trên cơ thể người. Tại Hoa Kỳ, phần lớn các trường hợp mắc bệnh lao là do M.tuberculosis, chúng được gọi là trực khuẩn lao.
2. Cơ chế gây bệnh của vi khuẩn lao
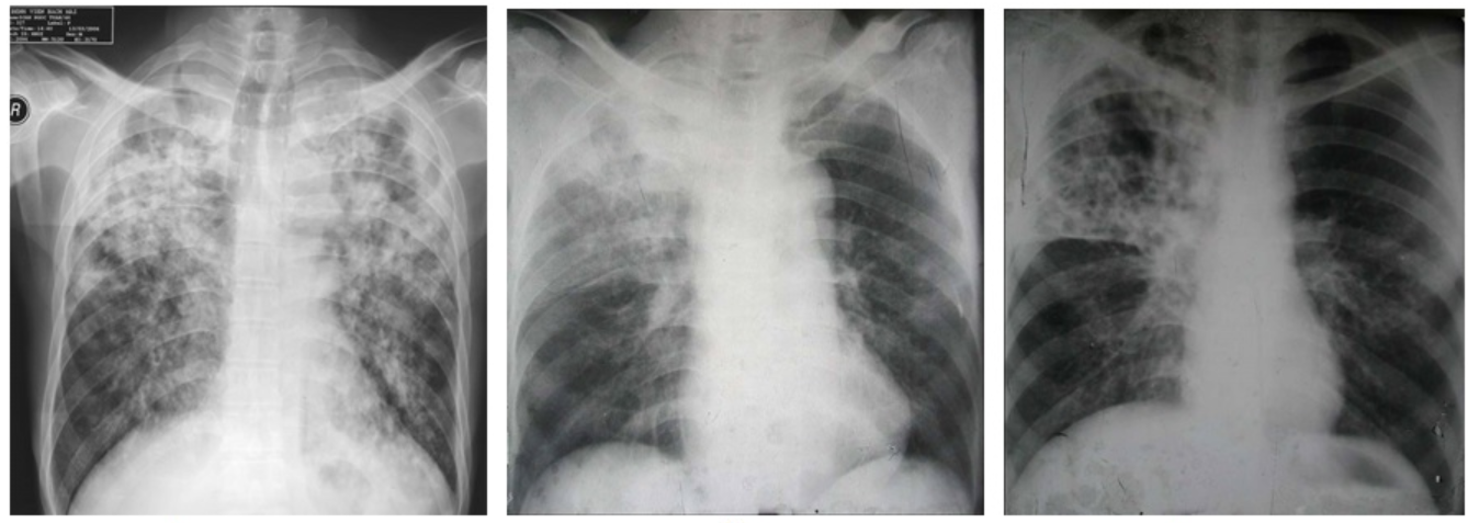
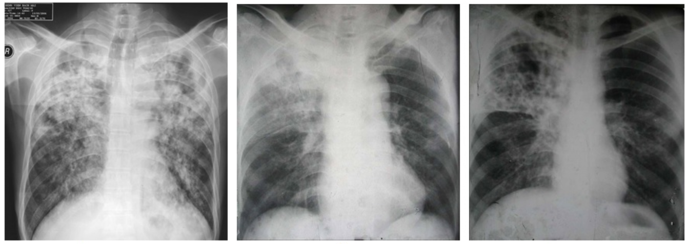
Trực khuẩn lao có trong các hạt không khí nhỏ li ti, đường kính 1-5 micron. Những hạt bắt nhỏ được phóng ra ngoài môi trường và gây nhiễm khi những bệnh nhân lao phổi, lao thanh quản thực hiện hành động ho, hắt hơi, la hét hoặc hát.
Tùy thuộc vào điều kiện môi trường mà những hạt nước bọt bắn ra có thể bay lơ lửng trong không khí khoảng vài giờ. Trực khuẩn lao là bệnh truyền qua không khí, không phải qua tiếp xúc bề ngoài. Sự lây nhiễm xảy ra khi một người khỏe mạnh hít phải những hạt vi khuẩn lơ lửng trong không khí vào mũi hoặc miệng, đường hô hấp trên, phế quản, cuối cùng trú ngụ trong các phế nang của phổi.
Trẻ nhỏ mắc bệnh lao phổi và lao thanh quản ít lây nhiễm bệnh trong cộng đồng hơn người lớn. Điều này, là do trẻ thường ho khan, ít có đờm. Tuy nhiên, trẻ vẫn có khả năng lây nhiễm. Trẻ em cũng được đánh giá khả năng lây nhiễm dựa trên các tiêu chí như người lớn. Những tiêu chí này bao gồm: Ho kéo dài 3 tuần hoặc lâu hơn, phát hiện đám vi khuẩn lao trên X quang ngực, mắc bệnh đường hô hấp có liên quan đến phổi, thanh quản.
3. Sinh bệnh học của vi khuẩn lao
Lây nhiễm xảy ra khi người lành hít phải giọt bắn nhỏ có chứa trực khuẩn lao rồi di chuyển đến phế nang của phổi. Những trực khuẩn này được tiêu diệt bởi đại thực bào phế nang.
Một số lượng nhỏ có thể nhân lên nội bào và được giải phóng khi các đại thực bào chết. Trực khuẩn lao có thể lây nhiễm trong cơ thể qua hệ thống bạch huyết, máu đến các mô và cơ quan khác như (hạch bạch huyết, đỉnh phổi, thận, não, xương).
Người bị nhiễm lao tiềm ẩn (LTBI) có trực khuẩn lao tồn tại trong cơ thể nhưng không mắc bệnh lao và không thể lây nhiễm cho người khác. Người bị LTBI không được coi là mắc bệnh lao.
Quá trình LTBI bắt đầu khi trực khuẩn lao bị nuốt bởi đại thực bào, kích hoạt phản ứng miễn dịch trong đó tế bào bạch cầu tiêu diệt hầu hết các trực khuẩn lao, dẫn đến hình thành u hạt.
Tại thời điểm này, LTBI được hình thành. LTBI có thể được phát hiện bằng test phản ứng lao tố (TST) hoặc xét nghiệm lao qua máu (IGRA). Xét nghiệm chỉ cho kết quả chính xác khi người bệnh nhiễm lao được 2 đến 8 tuần, chính là lúc hệ miễn dịch đã được kích hoạt. Trong vài tuần sau khi nhiễm lao, hệ miễn dịch thường ngăn sự nhân lên và tiến triển của vi khuẩn lao.
4. Một số đặc điểm về bệnh lao
Người mắc bệnh lao có khả năng lây nhiễm vi khuẩn cho người khác. Xét nghiệm đờm AFB và nuôi cấy vi khuẩn nên được sử dụng để xác định bệnh.
Bệnh lao có thể xảy ra ở các vị trí ở phổi và ngoài phổi. Bệnh ảnh hưởng chủ yếu ở phổi. Lao có thể xảy ra ở các vị trí khác ngoài phổi như thanh quản, hạch bạch huyết, màng phổi, màng não, thận, xương hoặc khớp. Những người bị nhiễm HIV, thường nhiễm cả lao phổi và lao ngoài phổi. Ở những người bị lao ngoài phổi, thường không lây nhiễm trừ khi họ có:
- Mắc bệnh lao phổi kèm theo
- Bệnh lao ở khoang miệng hoặc thanh quản
- Có áp xe hoặc tổn thương mở trong khi nồng độ vi khuẩn lao cao, đặc biệt là lây nhiễm qua dẫn lưu từ áp xe hoặc tổn thương rộng, hoặc nếu chất lỏng thoát nước là khí dung. Những người bị tràn dịch màng phổi do lao có thể bị lao phổi tiềm ẩn được che dấu trên X quang phổi vì tràn dịch màng phổi.
Lao có thể gây bệnh tại hệ thần kinh trung ương. Khi bệnh lao xảy ra ở các mô xung quanh não hoặc tủy sống, nó được gọi là bệnh lao màng não. Bệnh thường xảy ra ở đáy não trong các xét nghiệm hình ảnh. Các triệu chứng bao gồm đau đầu, giảm mức độ ý thức và cứng cổ. Trong nhiều trường hợp, bệnh nhân bị viêm màng não có bất thường trên X quang ngực có tiền sử mắc bệnh lao.
Cách tốt nhất để bảo vệ cơ thể khỏi lao là tiêm phòng lao. Ở người lớn, đặc biệt là những đối tượng thường xuyên phải tiếp xúc với người mắc bệnh lao như nhân viên y tế, người nhà bệnh nhân nếu chưa tiêm phòng lao lúc nhỏ thì cần phải tiêm phòng ngay. Trẻ nhỏ, đặc biệt trẻ thường xuyên tiếp xúc với bệnh nhân lao cũng cần được tiêm phòng lao, vì mật độ mắc bệnh lao trong cộng đồng người Việt vẫn còn khá cao và trẻ em rất dễ bị lây nhiễm.
Bệnh thủy đậu là bệnh cấp tính do virus Varicella Zoster gây ra. Bệnh rất dễ lây truyền qua đường hô hấp hoặc tiếp xúc với dịch tiết của bệnh nhân. Đặc biệt, virus có thể sống vài ngày trong vẩy bong của thủy đậu. Vì thế, cách phòng ngừa và tránh lây lan bệnh là đặc biệt quan trọng.
Thời điểm tốt nhất để tiêm phòng vắc-xin viêm gan B là từ lúc trẻ mới sinh ra, nếu muốn biết tình trạng của trẻ phù hợp với loại vắc-xin nào thì cần có sự tư vấn của bác sĩ chuyên khoa.
Bệnh bạch cầu là bệnh nhiễm khuẩn cấp tính, do vi khuẩn Corynebacterium diphtheriae gây ra. Nếu không được điều trị đúng cách, bệnh bạch hầu dẫn đến tình trạng nhiễm trùng, nhiễm độc nặng. Các độc tố do vi khuẩn gây bệnh gây liệt cơ, viêm cơ tim, thậm chí dẫn đến tử vong trong 6 ngày với tỷ lệ khá cao.
Bệnh bạch cầu là một loại ung thư phổ biến, chiếm 31% trong số các loại ung thư ở trẻ nhỏ. Tuy vậy những nghiên cứu cũng như các thống kê cụ thể về bệnh bạch cầu tại Việt Nam còn rất hạn chế. Bài viết sau sẽ cung cấp một số thông tin cần biết về khái niệm, phân loại và yếu tố nguy cơ của bệnh bạch cầu.
Nam giới có nguy cơ nhiễm bệnh sùi mào gà ở cuống lưỡi cao hơn khoảng gấp 3 lần so với nữ giới.
Có phải vắc-xin có thể gây ra bệnh mà nó phòng không?
Thưa bác sĩ, tôi nghe nhiều người nói, vắc xin có thể gây ra chính bệnh mà nó phòng. Điều này có đúng không, thưa bác sĩ?
- 1 trả lời
- 1362 lượt xem
Tiêm nhiều mũi vắc-xin cùng lúc, liệu có gây quá tải cho hệ thống miễn dịch của bé?
- Thưa bác sĩ, việc sử dụng nhiều hơn một mũi vắc -xin cùng lúc, liệu có gây quá tải cho hệ miễn dịch của bé không ạ?
- 1 trả lời
- 1311 lượt xem
Bé có cần tiêm liều bổ sung nhắc lại không nếu xét nghiệm máu cho thấy bé đã có miễn dịch với bệnh?
- Bác sĩ cho tôi hỏi, bé nhà tôi có cần phải tiêm liều vắc xin bổ sung nhắc lại không, nếu xét nghiệm máu cho thấy bé đã miễn dịch với bệnh? Cảm ơn bác sĩ!
- 1 trả lời
- 1710 lượt xem
Nếu không ai mắc những bệnh này nữa, tại sao trẻ vẫn cần tiêm phòng?
- Tôi có một thắc mắc là nếu không ai mắc bệnh nữa, tại sao vẫn phải cho trẻ tiêm phòng? Bác sĩ giải đáp giúp tôi!
- 1 trả lời
- 1382 lượt xem
Trẻ có thể vẫn bị bệnh sau khi đã được tiêm phòng?
-Thưa bác sĩ, trẻ đã tiêm phòng vẫn có thể bị bệnh, phải không ạ?
- 1 trả lời
- 1096 lượt xem
Vắc xin cho hiệu quả khá ấn tượng, nhưng bạn vẫn có thể mắc bệnh dù đã tiêm phòng rồi.
Có một số người băn khoăn là Vắc - xin viên gan B có làm tăng nguy cơ mắc bệnh đa xơ cứng không? Hãy tìm hiểu qua bài viết đưới đây để cùng có câu trả lời nhé!
Đưa vi khuẩn vào cơ thể để tạo miễn dịch - ý tưởng chính từ việc tiêm chủng – dường như có vẻ là một ý tưởng hiện đại, nhưng thực tế nó đã trải qua hàng thế kỷ. Lịch sử thú vị của bệnh đậu mùa đã tiết lộ khoảng thời gian áp dụng ý tưởng tuyệt vời này.
Nguồn dinh dưỡng chất lượng hơn và áp dụng biện pháp vệ sinh tốt hơn thực sự đã cải thiện cuộc sống của chúng ta - chúng ta đang cao hơn, khỏe mạnh hơn và sạch sẽ hơn bao giờ hết. Tuy nhiên, nhìn vào tỷ lệ mắc bệnh thực tế trong nhưng năm qua, không còn nghi ngờ gì nữa, vắc xin mới là yếu tố đóng vai trò chính trong hiệu quả làm suy giảm các ca bệnh mà chúng phòng chống.





