Những điều cần biết về bệnh loãng xương
1. Triệu chứng của loãng xương
Khoảng 60% các xẹp đốt sống do loãng xương không có biểu hiện lâm sàng. Các triệu chứng của loãng xương là: Đau lưng, giảm chiều cao, gù vẹo cột sống(hình ảnh còng lưng), gãy xương sau một chấn thương rất nhẹ.
2. Nguyên nhân gây loãng xương
- Nguy cơ loãng xương tăng ở người cao tuổi, người nhẹ cân, người có lối sống tĩnh tại, ít hoạt động thể lực, nghiện rượu, cafe, thuốc lá, ăn chế độ ăn thiếu calci và vitamin D.
- Những người thiếu hormone sinh dục do cắt bỏ buồng trứng, mãn kinh sớm, mắc một số bệnh nội tiết.
- Những người có tiền sử gãy xương (bản thân hoặc gia đình).
3. Chẩn đoán bệnh loãng xương như thế nào?
- Bằng kỹ thuật đo mật độ xương bằng phương pháp hấp phụ tia X năng lượng kép (DEXA) với kỹ thuật rất đơn giản, nhanh gọn (chỉ trong vòng 15 phút), không có hại là có thể chẩn đoán được loãng xương.
- Những người trên 50 tuổi có các yếu tố nguy cơ gây loãng xương, tất cả những phụ nữ trên 65 tuổi, phụ nữ mãn kinh sớm, nam giới trên 70 tuổi và đo kiểm tra lại mật độ loãng xương (1 năm/ 1 lần).
4. Điều trị loãng xương
- Tùy từng trường hợp cụ thể bác sĩ điều trị sẽ cho những chỉ định điều trị phù hợp. Việc điều trị thuốc phải tuân thủ lâu dài, kết hợp với chế độ ăn uống và luyện tập thể dục mới đem lại hiệu quả.
- Một chế độ ăn giàu calci và vitamin D bao gồm: Sữa và các sản phẩm từ sữa, tôm, cua, ốc, cá nhỏ cả xương, một số loại rau quả. Tránh các yếu tố nguy cơ: Rượu, cafe, thuốc lá, tránh thừa cân, thiếu cân.
- Tập thể dục ngoài trời buổi sáng là một biện pháp tăng cường vitamin D hiệu quả, tập thể dục đều đặn có tác dụng làm tăng cường sự chắc khỏe của xương. Có thể đi bộ, tập aerobic, chạy bộ, tập dưỡng sinh...tùy theo lứa tuổi và mức độ loãng xương. Nếu đã có loãng xương nên tập nhẹ nhàng phòng gãy xương.
- Các thuốc điều trị chống loãng xương theo nguyên tắc là tăng tạo xương, giảm hủy xương. Có nhiều nhóm thuốc trong đó hiện nay nhóm thuốc được sử dụng nhiều nhất là Bisphosphonate dưới hai dạng uống: 1 lần/ tuần, 1 lần/tháng, dạng tiêm tĩnh mạch 3 tháng 1 lần hoặc truyền tĩnh mạch l lần/năm.
- Bổ sung calci và vitamin D nếu từ nguồn thức ăn không đủ, sao cho tổng lượng calci và vitamin D: Calci: 1000- 1200 mg/ngày, vitamin D: 800-1000UI/ngày.
- Điều trị ngoại khoa các trường hợp gãy xương do loãng xương: Gãy cổ xương đùi: Thay chỏm xương đùi, thay khớp háng toàn bộ. Gãy lún đốt sống: Phục hồi chiều cao đốt sống.
5. Phòng bệnh và quản lý bệnh nhân loãng xương
- Việc phòng bệnh phải được thực hiện ngay từ khi còn là bào thai, mẹ ăn chế độ ăn đầy đủ calci và vitamin D. Khám sức khỏe định kỳ từ lứa tuổi nhà trẻ, mẫu giáo để phát hiện bệnh còi xương.
- Các bệnh nhân loãng xương phải được điều trị lâu dài và theo dõi sát, ít nhất là 3-5 năm liên tục. Đo mật độ xương 1 năm 1 lần để theo dõi kết quả điều trị.
- Bệnh loãng xương hoàn toàn có thể phòng và tránh được nếu như chúng ta có những hiểu biết về bệnh, thực hiện chế độ phòng và điều trị một cách tích cực nhất.
Tổn thương dây chằng chéo trước là thương tổn thường gặp nhất trong nhóm chấn thương khớp gối. Hàng năm, tại Mỹ khoảng 200.000 bị tổn thương dây chằng chéo trước và hơn nửa số đó phải điều trị bằng phấu thuật.
Xương quai xanh có tác dụng rất quan trọng, là nơi treo xương cánh tay vào thân. Gãy xương quai xanh là một chấn thương thường gặp ở vùng vai, trong trường hợp ngã hoặc chấn thương do tai nạn giao thông.
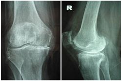
Hội thấp khớp học Hoa Kỳ (American College of Rheumatology, ARC) đã đưa ra một số tiêu chuẩn để chẩn đoán chính xác thoái hóa khớp gối. Những biểu hiện của thoái hóa khớp gối bao gồm: xuất hiện gai xương dưới sụn, mất dần sụn khớp, xơ hóa xương dưới sụn, cử động khớp đau, có tiếng lục khục, lệch trục khớp...
X-quang có vai trò quan trọng trong chẩn đoán các bệnh lý khớp gối. Nó là một trong những xét nghiệm nằm trong tiêu chuẩn chẩn đoán bệnh và dùng phân biệt giữa các bệnh lý khớp gối khác nhau.
Xương đùi là phần xương chắc khỏe nhất trong cơ thể vì thế phải có lực tác động rất mạnh mới có thể làm gãy thân xương đùi. Xương đùi cũng là xương dài nhất, mỗi vị trí gãy sẽ có đặc điểm và biện pháp xử trí khác nhau.
Bệnh tiểu đường và loãng xương có thể xảy ra đồng thời và có ảnh hưởng lẫn nhau. Bệnh tiểu đường có thể làm tăng nguy cơ mắc bệnh loãng xương và chứng loãng xương có thể gây khó khăn cho việc kiểm soát bệnh tiểu đường.
Evista (raloxifene) là một loại thuốc được sử dụng để điều trị chứng loãng xương. Loại thuốc này giúp làm giảm nguy cơ gãy xương cột sống.
Loãng xương và thiếu xương đều là những vấn đề về xương. Sự khác biệt giữa hai tình trạng này là ở mức độ giảm mật độ xương. Cùng tìm hiểu về sự khác biệt giữa loãng xương và thiếu xương, ai có nguy cơ mắc phải cũng như những bước cần thực hiện để bảo vệ sức khỏe xương.
Khi tốc độ mất khoáng chất trong xương nhanh hơn tốc độ tái tạo thì được gọi là khử khoáng xương. Điều này có thể dẫn đến các vấn đề khác, bao gồm cả bệnh loãng xương.
Xương chắc khỏe là điều rất quan trọng để có một cơ thể khỏe mạnh. Loãng xương và nhuyễn xương là hai bệnh lý về xương. Mặc dù cả hai đều làm xương yếu đi nhưng đây là hai căn bệnh riêng biệt với nhiều điểm khác nhau.





