Cao răng là gì? 6 típ để hạn chế cao răng
Cao răng là gì? 6 típ để hạn chế cao răng
Nhưng liệu bạn có biết tại sao lại phải làm thế không? Cao răng là gì? Cao răng hình thành trên răng như thế nào? Điều gì sẽ xảy ra khi có cao răng? Bài viết này sẽ giải đáp cho bạn.
Cao răng là gì?
Ngay cả khi bạn chăm sóc răng cẩn thận tại nhà thì vi khuẩn vẫn sẽ tồn tại bên trong miệng. Chúng hòa trộn với protein và các sản phẩm phụ của thức ăn để hình thành nên những mảng dính được gọi là mảng bám. Những mảng bám này bao phủ lấy răng, chui vào bên dưới rìa lợi và dính lấy lớp trám răng hoặc các vật liệu hỗ trợ răng khác. Mảng bám có chứa vi khuẩn có thể gây hại đến men răng và dẫn đến các lỗ thủng trên răng. Nhưng nếunhư bạn loại bỏ mảng bám thường xuyên thì bạn có thể ngăn ngừa vĩnh viễn tình trạng sâu răng và bệnh về lợi.
Tuy nhiên, một vấn đề lớn hơn có thể phát sinh nếu như mảng bám ở lại trên răng và cứng lại, trở thành cao răng.
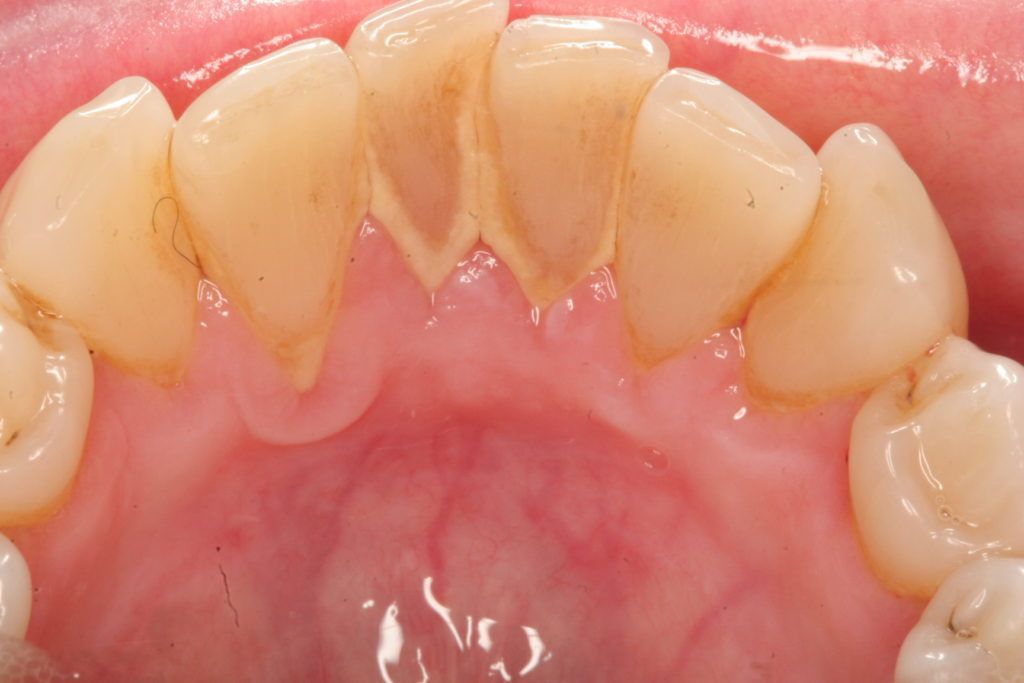
Cao răng, hay còn gọi là vôi răng hình thành bên dưới hoặc bên trên phần rìa lợi. Cao răng có bề mặt thô ráp, rỗ và có thể làm tụt lợi và bệnh về lợi. Việc loại bỏ cao răng cần dùng đến các dụng cụ đặc biệt tại phòng khám nha khoa.
Cao răng ảnh hưởng đến răng và lợi như thế nào?
Cao răng có thể khiến việc đánh răng và dùng chỉ nha khoa trở nên khó khăn hơn. Điều này sẽ dẫn đến sâu răng và thủng răng.
Cao răng khi hình thành bên trong lợi sẽ đặc biệt có hại bởi vì vi khuẩn có trong cao răng có thể gây kích ứng và làm tổn thương đến lợi. Theo thời gian, điều này sẽ dẫn đến bệnh về lợi kéo dài.
Loại nhẹ nhất trong các bệnh về lợi là viêm lợi. Bệnh viêm lợi sẽ được chữa khỏi nếu như bạn đánh răng, dùng chỉ nha khoa, dùng nước xúc miệng và đi vệ sinh răng miệng thường xuyên tại các phòng khám nha khoa.
Nếu không, tình trạng viêm lợi có thể trở nên nặng hơn, đến mức hình thành nên các bọng ở giữa lợi và răng, và sau đó sẽ bị vi khuẩn tấn công. Tình trạng này được gọi là viêm nha chu. Hệ miễn dịch cơ thể sẽ gửi đi các chất hóa học để tấn công, tuy nhiên sau đó các chất này sẽ trộn lẫn với vi khuẩn và những thứ mà chúng vốn được gửi đi để tiêu diệt. Hậu quả của việc này là những tổn thương đến xương và mô có vai trò giữ chắc răng. Ngoài ra, một số nghiên cứu còn cho thấy mối liên hệ giữa các bệnh về lợi với bệnh tim mạch và các vấn đề sức khỏe khác.
Các cách để kiểm soát cao răng
Cách tốt nhất là không để cho cao răng được hình thành trên răng. Để làm được điều này, bạn cần:
- Đánh răng thường xuyên, hai lần mỗi ngày, mỗi lần 2 phút. Nếu đánh răng hai lần mà mỗi lần chỉ 30 giây thì sẽ không đủ để loại bỏ mảng bám hay ngăn ngừa cao răng. Dùng bàn chải có lông mềm và kích thướcvừa với miệng. Hãy chú ý chải cải những vị trí khó làm sạch như đằng sau răng và trong răng hàm.
- Các nghiên cứu cho thấy rằng bàn chải điện có thể loại bỏ mảng bám tốt hơn so với bàn chải thường. Dù bạn dùng bàn chải loại nào thì cũng cần đảm bảo rằng nó có chất lượng tốt và an toàn.
- Dùng các loại kem đánh răng có chứa fluoride với công dụng kiểm soát cao răng. Fluoride sẽ giúp phục hồi lại những phần men răng bị tổn hại. Một số sản phẩm còn có chứa chất triclosan giúp tiêu diệt vi khuẩn có trong mảng bám răng.
- Dùng chỉ nha khoa. Dù bạn đã đánh răng đầy đủ thì chỉ nha khoa vẫn là cách duy nhất để loại bỏ đi mảng bám ở giữa các răng và ngăn ngừa cao răng hình thành ở những vị trí mà lông bàn chải không chạm đến được.
- Xúc miệng thường xuyên bằng những sản phẩm có công dụng sát khuẩn hàng ngày để tiêu diệt vi khuẩn gây mảng bám.
- Chú ý chế độ ăn. Vi khuẩn trong miệng sống dựa vào đường và tinh bột trong đồ ăn mà bạn thực phẩm mà bạn ăn hàng ngày. Khi tiếp cận được với thức ăn, chúng sẽ tiết ra axit có hại. Vì thế, hãy ăn những đồ ăn lành mạnh và hạn chế đồ ăn có đường, đồ ăn vặt. Hãy nhớ rằng, mỗi khi bạn ăn, bạn sẽ nuôi cả những vi khuẩn cótrong miệng. Bạn không cần phải kiêng hoàn toàn đồ ngọt hay đồ ăn vặt, chỉ cần không ăn quá thường xuyên là được. Bên cạnh đó, hãy uống nhiều nước trong khi ăn và đánh răng sau khi ăn.
- Không hút thuốc. Các nghiên cứu cho thấy rằng những người hút thuốc hay dùng các sản phẩm thuốc lá khác sẽ có khả năng hình thành cao răng nhiều hơn.
Một khi cao răng hình thành thì chỉ có bác sĩ nha khoa mới có thể loại bỏ chúng giúp bạn. Vì thế, hãy đi khám nha khoa 6 tháng một lần để loại bỏ mọi mảng bám và cao răng có thể hình thành và ngăn ngừa các vấn đề về răng miệng.
Tìm hiểu về vấn đề phổ biến trong nha khoa: đau răng
Nếu các loại đồ ăn, đồ uống lạnh hoặc nóng khiến cho răng bạn bị đau thì có lẽ đã đến lúc đi khám nha sĩ để kiểm tra xem có phải răng bạn là răng nhạy cảm hay không.
Mảng bám là những vùng vi khuẩn dính, không màu hình thành trên răng.
Các lỗ trên bề mặt răng chính là những tổn thương -hậu quả mà sâu răng gây ra. Sâu răng có thể tác động đến cả lớp bên ngoài của răng (men răng) và lớp bên trong (ngà răng).
Nguyên nhân và cách điều trị mòn men răng






