Những điều cần lưu ý khi dùng hàm duy trì
Những điều cần lưu ý khi dùng hàm duy trì
Dưới đây là những điều mà bạn nên biết trong giai đoạn dùng hàm duy trì để giữ được nụ cười đẹp mà mình mới có được một cách lâu dài.
Tại sao phải đeo hàm duy trì?
Có thể bạn chưa biết, răng chúng ta liên tục di chuyển trong suốt cuộc đời. Khi còn nhỏ, răng di chuyển để thích nghi với những thay đổi ví dụ như mọc răng hàm mới hay quai hàm trở nên lớn hơn, nhưng sự dịch chuyển này không dừng lại khi đến tuổi trưởng thành. Răng được giữ chắc vào xương hàm nhờ có dây chằng, dây chằng này có khả năng co giãn linh hoạt và chính khả năng này là điều giúp các răng được nắn chỉnh trong giai đoạn niềng răng. Nhưng cũng chính vì vậy nên răng luôn có nguy cơ quay trở lại vị trí ban đầu sau khi tháo niềng. Răng cũng có thể bị xô lệch trở lại nếu như mất một chiếc răng trên cung hàm hoặc tiếp tục các thói quen có hại ví dụ như nghiến răng vào ban đêm.
Tầm quan trọng của việc đeo hàm duy trì
Giờ bạn đã biết rằng răng vẫn có khả năng bị xô lệch lại kể cả sau khi đã niềng răng, vậy thì chắc hẳn cũng đã hiểu tầm quan trọng của việc đeo hàm duy trì sau khi tháo niềng. Hàm duy trì có vai trò giữ răng cố định ở vị trí mới của chúng. Lúc đầu, bạn có thể sẽ phải đeo hàm duy trì gần như cả ngày nhưng sau đó có thể giảm dần xuống và cuối cùng chỉ cần đeo khi đi ngủ vào ban đêm. Mặc dù một số người có thể ngừng đeo hàm duy trì nhưng điều này là rất hiếm bởi hầu hết mọi người đều phải tiếp tục việc này đến suốt đời.
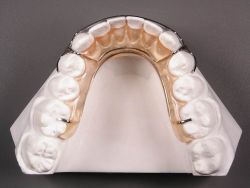
Lựa chọn loại hàm duy trì phù hợp
Có một số lựa chọn hàm duy trì khác nhau, gồm có loại cố định và loại tháo lắp. Hàm duy trì cố định là loại phù hợp nhất nếu bạn cảm thấy mình không thể tự giác đeo hàm duy trì mỗi ngày. Loại hàm này được gắn cố định với răng nên không cần tháo ra lắp vào mỗi ngày. Hàm duy trì cố định gồm có dây kim loại thường được gắn ở phía sau răng để không bị lộ. Tuy nhiên, loại hàm duy trì này vẫn không đảm bảo được tính thẩm mỹ như loại tháo lắp vì dây kim loại ở mặt sau của răng đôi khi vẫn có thể được nhìn thấy khi há to miệng. Nhiều người còn cảm thấy hàm duy trì cố định khó làm sạch hơn.
Hàm duy trì tháo lắp là có dạng khay nhựa giống như niềng trong suốt Invisalign. Với loại hàm này, người dùng có thể tháo ra khi ăn uống, vệ sinh răng hoặc chơi thể thao. Tuy nhiên, bạn sẽ cần phải làm sạch hàm duy trì riêng biệt theo hướng dẫn để giữ nó luôn ở trong tình trạng tốt nhất mà không bị ngả màu. Vì có thể tháo rời nên loại hàm duy trì này có điểm hạn chế là dễ bị mất hoặc bị hỏng trong thời gian tháo ra. Do đó, bạn cần biết cách giữ gìn để tránh gặp phải những vấn đề này.
Đi kiểm tra thường xuyên
Trong suốt thời gian niềng răng, bạn chắc hẳn đã phải đi gặp bác sĩ chỉnh nha thường xuyên để kiểm tra. Mặc dù sau khi tháo niềng, tần suất của những lần hẹn này sẽ giảm đi nhưng bạn vẫn sẽ phải đến gặp bác sĩ theo lịch định kỳ để theo dõi những thay đổi dù là nhỏ nhất của hàm răng. Đôi khi, răng sẽ hơi xô lệch một chút sau khi gỡ mắc cài. Khi điều này xảy ra, bạn có thể sẽ phải thay đổi hàm duy trì của mình để phù hợp với hình dạng răng mới. Còn nếu răng di chuyển đáng kể do mất răng hoặc nguyên nhân khác thì có thể sẽ phải gắn hàm duy trì cố định. Vì răng có thể bị xô lệch vì nhiều nguyên nhân khác nhau nên khớp cắn và răng cần tiếp tục được theo dõi cẩn thận trong vài tháng sau khi hoàn thành quá trình niềng răng. Sau đó, khi răng đã ổn định thì bạn sẽ ít phải đến kiểm tra hơn.
Chăm sóc cho hàm duy trì
Có thể coi hàm duy trì như một dụng cụ bảo vệ hàm răng mới của bạn khỏi những rủi ro hàng ngày. Thậm chí, ngay cả những việc đơn giản như ăn và ngủ cũng có thể phá hỏng sự thẳng hàng của hàm răng, vì vậy bạn cần đeo hàm duy trì thường xuyên đúng như chỉ dẫn của bác sĩ. Ngoài ra, bạn cũng cần phải thực hiện một số biện pháp để giữ gìn, chăm sóc cho bộ hàm duy trì của mình. Mặc dù sẽ được bác sĩ hướng dẫn cụ thể nhưng theo nguyên tắc chung, bạn sẽ cần lưu ý những điều sau:
- Chỉ tháo hàm duy trì ra ngoài khi cần thiết
- Luôn để hàm duy trì trong hộp đựng đi kèm khi không đeo
- Không bọc hàm duy trì trong giấy ăn trong khi ăn
- Không cọ rửa hàm duy trì quá mạnh
- Không bao giờ để hàm duy trì ở những nơi quá nóng hoặc gần các nguồn nhiệt
- Làm sạch hàm duy trì bằng cách dùng bàn chải đánh răng cọ kỹ sau mỗi bữa ăn và ngâm trong dung dịch vệ sinh chuyên dụng vào ban đêm.
- Nếu sử dụng giấm để làm sạch thì không nên ngâm quá năm phút vì axit sẽ phá hủy nhựa.
- Báo cho bác sĩ ngay lập tức nếu hàm duy trì bị mất hoặc bị hỏng.
Vệ sinh răng miệng đúng cách
Bên cạnh việc không thường xuyên đeo hàm duy trì, bệnh về lợi hoặc mất răng cũng là hai trong số những nguyên nhân lớn nhất khiến răng không còn được thẳng hàng sau khi niềng răng. Do đó, kể cả khi đã đeo hàm duy trì thì bạn vẫn cần phải giữ cho răng và lợi của mình luôn trong tình trạng khỏe mạnh bằng cách thực hiện thói quen vệ sinh răng miệng đúng cách mỗi ngày. Khi răng đã thẳng hàng thì việc đánh răng hay dùng chỉ nha khoa sẽ thuận lợi hơn rất nhiều, chỉ sẽ không còn bị mắc lại giữa các kẽ răng nữa và lông bàn chải cũng có thể tiếp cận tốt hơn đến những vị trí thường bị bỏ sót trước đây. Ngoài các buổi kiểm tra định kỳ với bác sĩ chỉnh nha, hãy lên lịch đến nha sĩ để được vệ sinh răng thường xuyên. Nếu bạn cảm thấy một hoặc một vài răng có vấn đề thì hãy liên hệ với bác sĩ chỉnh nha càng sớm càng tốt để xem liệu có cần phải điều chỉnh hàm duy trì hay không.
Học cách khắc phục các thói quen xấu
Mặc dù không thể ngăn được cơ chế tự nhiên của cơ thể khiến răng bị dịch chuyển nhưng bạn hoàn toàn có thể khắc phục các thói quen xấu của mình. Dù có niềng răng hay không thì cũng cần tránh nhai các vật cứng như bút và mở đồ bằng miệng. Nghiến răng vào ban đêm cũng là một thói quen khác cần kiểm soát vì điều này sẽ làm mòn men răng theo thời gian và khiến răng bị xô lệch. Mặc dù việc này sẽ hơi khó khăn một chút nhưng bạn có thể thử thực hiện những cách sau:
- Thư giãn và giảm căng thẳng bằng các cách như tắm nước ấm vào buổi tối.
- Hạn chế đồ uống có cồn hoặc cà phê để làm tăng tình trạng căng cơ.
- Cố gắng không cắn chặt răng vào ban ngày để làm giãn cơ hàm.
Ngoài ra, bạn cũng cần sửa lại những răng đã bị mòn và thay thế những răng đã mất nhưng sau đó cần kiểm tra lại xem hàm duy trì có còn vừa hay không.
Khi mới đeo niềng, bạn sẽ thấy việc ăn uống trở nên khó khăn hơn nhiều, thậm chí một số món mà trước đây bạn vẫn hay ăn giờ đã trở nên không an toàn cho niềng răng.
Khớp cắn ngược là một tình trạng nha khoa ít phổ biến. Nó không chỉ ảnh hưởng đến sự tự tin của bệnh nhân mà còn ảnh hưởng tới chất lượng cuộc sống của họ.
Ngày nay, niềng trong suốt Invisalign là một giải pháp kín đáo, hiệu quả và tiết kiệm thời gian dành cho những người muốn có một hàm răng thẳng hơn, đặc biệt là người trưởng thành.
Bạn sẽ chẳng dám cười nhiều hoặc nếu có thì chỉ có thể cười mỉm để tránh người khác nhìn thấy hàm răng của mình.
Nhờ các cải tiến mới trong lĩnh vực chỉnh nha, hiện nay việc niềng răng đã không còn ảnh hưởng nhiều đến cuộc sống thường ngày nữa.
- 4 trả lời
- 3773 lượt xem
Tôi đã dùng niềng răng kim loại (có mắc cài) để điều chỉnh vấn đề răng hô và thu hẹp răng thưa nhưng sau khi tháo niềng tôi lại không dùng hàm duy trì. Vì thế, hiện tại các răng lại bắt đầu xuất hiện khoảng trống. Tôi đã tháo niềng được vài năm và không biết bây giờ nên làm gì. Liệu niềng răng trong suốt Invisalign (không mắc cài) có phải là giải pháp tốt nhất đối với vấn đề của tôi không? Tôi có thể cần dùng hàm duy trì không?
- 3 trả lời
- 2944 lượt xem
Tôi có ba răng giả, 2 răng nanh và một răng tiền hàm ở hàm trên. Tôi nhận thấy hai răng cửa đang có dấu hiệu chìa ra ngoài. Tôi nên dùng hàm duy trì hay niềng răng để đẩy răng lại vị trí cũ?
- 6 trả lời
- 12698 lượt xem
Tôi đeo niềng răng 18 năm trước. Sau đó bác sĩ cho tôi dùng hàm duy trì trông giống như niềng răng trong suốt Invisalign. Tôi rất thích chiếc hàm duy trì này vì nó giữ cho răng tôi thẳng hàng trong suốt nhiều năm. Nhưng khi tôi làm mất nó và đến gặp một bác sĩ khác để mua một chiếc mới thì bác sĩ lại đưa cho tôi hàm duy trì bằng kim loại. Tôi nhận thấy khi dùng loại hàm duy trì kim loại này thì răng không được thẳng như hàm bằng nhựa mà tôi dùng trước đây. Có phải hàm kim loại không tốt bằng hàm nhựa không?
- 8 trả lời
- 3047 lượt xem
Liệu có thể chỉ sử dụng hàm duy trì thay thế cho niềng răng để điều chỉnh răng xô lệch không?
- 1 trả lời
- 1774 lượt xem
Em năm nay 25 tuổi muốn niềng để cải thiện tình trạng răng hô. Vì công việc của em phải tiếp xúc với nhiều người nên em đang phân vân giữa mắc cài sứ và mắc cài kim loại. Các bác sĩ có thể tư vấn được không ạ?




