Hàm duy trì là gì?
Hàm duy trì là gì?
Vậy hàm duy trì là gì? Có những lợi ích và hạn chế như thế nào? Hàm duy trì có đắt không? Lúc đeo hàm duy trì thì sẽ thấy như thế nào? Đây đều là những câu hỏi tự nhiên mà hầu hết những người từng niềng răng đều có. Bài viết này sẽ cung cấp đầy đủ thông tin mà bạn cần biết về hàm duy trì.
Chính xác thì hàm duy trì là gì?
Hàm duy trì là một loại khí cụ dùng trong chỉnh nha được làm từ nhựa trong và có thể còn thêm cả dây kim loại với tác dụng giữ răng ở đúng vị trí sau khi hoàn thành quá trình nắn chỉnh răng ví dụ như đeo niềng răng. Hàm duy trì được đeo để giữ cho răng thẳng hàng và ngăn chúng lệch về vị trí ban đầu. Các răng được giữ với nhau bằng mạng lưới các sợi gọi là dây chằng nha chu. Sau khi răng đã được dịch chuyển đến vị trí mới nhờ niềng thì phải mất một vài tháng để dây chằng nha chu mới có thể thích nghi với sự thay đổi. Trong giai đoạn này, hàm duy trì thực hiện nhiệm vụ giữ cho răng ổn định, không bị xê dịch.
Ngoài ra, bác sĩ chỉnh nha cũng có thể yêu cầu dùng hàm duy trì trong các trường hợp sau:
- Thay thế cho niềng răng nếu răng chỉ hơi lệch và chỉ xảy ra ở một hoặc hai răng.
- Để thu hẹp khoảng cách nhỏ giữa các răng – nguyên nhân gây cản trở việc nói chuyện.
Vì vấn đề của mỗi người đều khác nhau, nên hàm duy trì cũng được điều chỉnh để giải quyết các nhu cầu cụ thể.
Một điều cần lưu ý là tần suất sử dụng hàm duy trì sẽ giảm dần theo thời gian, có nghĩa là ban đầu có thể bạn sẽ được bác sĩ khuyên nên đeo cả ngày, sau đó có thể giảm xuống chỉ sử dụng khi ngủ vào ban đêm.
Hàm duy trì có thể thay thế cho niềng răng không?
Cả hàm duy trì và niềng răng đều được sử dụng để điều chỉnh những sai lệch của khớp cắn và răng không thẳng hàng. Trong những trường hợp mà vấn đề ở mức độ nhẹ thì bác sĩ chỉnh nha có thể chỉ cho bệnh nhân dùng hàm duy trì thay cho niềng răng.
Tuy nhiên, đa phần thì cả hai khí cụ này được sử dụng kết hợp với nhau. Sau khi niềng răng để khắc phục vấn đề về khớp cắn và răng không thẳng hàng thì sẽ chuyển sang dùng hàm duy trì để đảm bảo răng cố định ở vị trí mới.
Vì lý do này nên nếu bạn đang thắc mắc là liệu hàm duy trì có thể thay thế cho niềng răng hay không và nên chọn cái nào thì câu trả lời là cả hai đều không thể thay thế được cho nhau. Tùy thuộc vào mức độ nghiêm trọng của vấn đề mà bác sĩ sẽ đưa ra phương án phù hợp.
Những ưu điểm và nhược điểm của các loại hàm duy trì
Có ba loại hàm duy trì chính:
1. Hàm duy trì tháo lắp
Đây là loại hàm duy trì bằng nhựa trong suốt, có hình vòng cung, được thiết kế vừa khít với hàm răng của mỗi người.

Ưu điểm
Vì làm bằng chất liệu nhựa trong suốt nên khi đeo sẽ khó nhận ra hơn và đảm bảo được tính thẩm mỹ.
Ít gây cộm hơn các loại hàm duy trì khác nên thoải mái hơn.
Nhược điểm
Có thể bị hỏng nếu người dùng có thói quen nghiến răng liên tục.
2. Hàm duy trì Hawley
Đây là loại hàm duy trì truyền thống, gồm có một miếng nhựa acrylic và dây kim loại. Khi đeo, miếng nhựa nằm trên vòm miệng còn dây kim loại ôm khít lấy mặt ngoài của răng.

Ưu điểm
- Bền hơn hàm duy trì tháo lắp.
- Có thể được sửa lại để vừa hơn cho mỗi người. Ví dụ, nếu trong quá trình đeo mà một vài chiếc răng hơi dịch chuyển thì bác sĩ có thể điều chỉnh lại dây kim loại. Đây là ưu điểm lớn nhất của hàm duy trì Hawley.
Nhược điểm
- Không được đẹp như hàm duy trì tháo lắp.
- Có thể gây khó khăn cho việc nuốt thức ăn và nói chuyện.
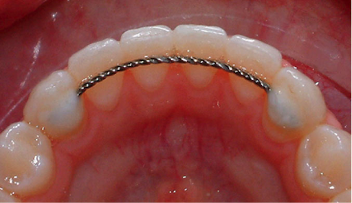
3. Hàm duy trì cố định
Loại hàm duy trì này thực chất là một đoạn dây kim loại được gắn vào mặt sau của răng. Nếu răng thưa hoặc khấp khểnh thì đây là lựa chọn thích hợp nhất.

Ưu điểm
Một ưu điểm lớn của loại hàm duy trì này là tính cố định. Bạn sẽ không cần phải lo về việc quên đeo hàm duy trì mỗi ngày. Do đó, đây là loại rất phù hợp cho trẻ nhỏ.
Nằm ở đằng sau răng nên cũng không bị lộ.
Vì không cần tháo ra lắp vào nên hàm duy trì cố định bền lâu hơn so với các hàm duy trì tháo lắp.
Nhược điểm
Một nhược điểm của hàm duy trì cố định là khó làm sạch. Khi được gắn loại hàm duy trì này thì người dùng cần cẩn thận hơn trong việc vệ sinh răng mỗi ngày vì sự tích tụ mảng bám có thể dẫn đến các vấn đề răng miệng khác. Nên dùng thêm nước súc miệng kháng khuẩn để làm sạch những vùng mà bàn chải đánh răng không tiếp cận đến.
Cảm giác khi đeo hàm duy trì sẽ như thế nào?
Hàm duy trì vẫn là một vật được đưa từ bên ngoài vào trong miệng. Do đó, trong vài ngày hoặc vài tuần đầu sử dụng, miệng sẽ tiết ra nhiều nước bọt hơn và đây là hiện tượng bình thường của cơ thể. Một số người còn nhận thấy là việc nói chuyện khi đeo hàm duy trì trở nên hơi khó khăn một chút so với bình thường.
Hàm duy trì có đắt không?
Giá cả của hàm duy trì tùy thuộc vào từng loại, dành cho nhiều phân khúc khách hàng. Đây là một khoản đầu tư cần thiết để giữ gìn những thành quả có được sau quá trình niềng răng mà bạn vừa hoàn thành.
Tóm lại, đeo hàm duy trì là một điều bắt buộc sau khi niềng răng. Nếu không đeo thường xuyên thì chắc chắn đến một ngày khi đeo lại, bạn sẽ phát hiện ra là hàm duy trì không còn vừa nữa, điều này có nghĩa là răng đã bị lệch trở lại.
Bạn cũng cần phải nhớ giữ hàm duy trì trong hộp đi kèm, việc đặt trên mặt bàn hoặc bọc trong khăn giấy sẽ rất mất vệ sinh và khiến hàm có nguy cơ bị hỏng.
- 6 trả lời
- 12778 lượt xem
Tôi đeo niềng răng 18 năm trước. Sau đó bác sĩ cho tôi dùng hàm duy trì trông giống như niềng răng trong suốt Invisalign. Tôi rất thích chiếc hàm duy trì này vì nó giữ cho răng tôi thẳng hàng trong suốt nhiều năm. Nhưng khi tôi làm mất nó và đến gặp một bác sĩ khác để mua một chiếc mới thì bác sĩ lại đưa cho tôi hàm duy trì bằng kim loại. Tôi nhận thấy khi dùng loại hàm duy trì kim loại này thì răng không được thẳng như hàm bằng nhựa mà tôi dùng trước đây. Có phải hàm kim loại không tốt bằng hàm nhựa không?
- 7 trả lời
- 12406 lượt xem
Tôi đã tháo niềng 6 tháng trước. Kể từ đó tôi không dùng hàm duy trì nên răng bị xô lệch. Nếu như bây giờ tôi dùng hàm duy trì thì liệu răng tôi có thẳng trở lại không?
- 8 trả lời
- 3098 lượt xem
Liệu có thể chỉ sử dụng hàm duy trì thay thế cho niềng răng để điều chỉnh răng xô lệch không?
- 1 trả lời
- 1210 lượt xem
Em muốn hỏi hàm duy trì loại này có bền không? Giữ răng có tốt không? Chứ em mới gắn tối hôm kia mà bây giờ đã bị tuột ra. Chiều lại phải ra bác sĩ gắn lại. Mới đầu em dùng hàm duy trì loại khay trong suốt. Giờ chuyển sang loại này vì khay để lâu dễ lỏng và màu bị đục đi.
- 1 trả lời
- 2641 lượt xem
Tôi bị khớp cắn sâu nhưng mà chỉ nhẹ thôi thì có thể khắc phục bằng hàm duy trì không? Tôi không muốn phải niềng răng tí nào.
- 3 trả lời
- 3003 lượt xem
Tôi có ba răng giả, 2 răng nanh và một răng tiền hàm ở hàm trên. Tôi nhận thấy hai răng cửa đang có dấu hiệu chìa ra ngoài. Tôi nên dùng hàm duy trì hay niềng răng để đẩy răng lại vị trí cũ?
- 8 trả lời
- 4059 lượt xem
Tôi được biết là sau khi kết thúc quá trình niềng răng trong suốt ivisalign, tôi sẽ cần dùng hàm duy trì và đó thường là loại hàm bằng nhựa trong, trông giống như niềng Invisalign. Nhưng tôi thấy có ý kiến cho rằng hàm kim loại Hawley là tốt nhất. Vậy tôi có thể yêu cầu bác sĩ cho dùng hàm duy trì bằng kim loại thay vì hàm nhựa trong không?
Các hướng dẫn chăm sóc răng miệng cơ bản khi đeo niềng răng và hàm duy trì
Nhiều người thắc mắc: “Tại sao niềng đã nắn thẳng răng rồi mà sau đó vẫn còn phải đeo hàm duy trì nữa?”.
Không phải tháo niềng răng là răng bạn sẽ thẳng đều mãi như thế về sau.
Nếu bạn đang nghiên cứu về các phương pháp nắn chỉnh răng thì bạn chắc chắn sẽ thấy hàm duy trì được nhắc đến rất nhiều. Nhưng hàm duy trì là gì và có hiệu quả như thế nào?
Bạn đã biết cách làm thế nào để duy trì hàm răng thẳng đều sau khi tháo niềng chưa?
- 3 trả lời
- 3003 lượt xem
Tôi có ba răng giả, 2 răng nanh và một răng tiền hàm ở hàm trên. Tôi nhận thấy hai răng cửa đang có dấu hiệu chìa ra ngoài. Tôi nên dùng hàm duy trì hay niềng răng để đẩy răng lại vị trí cũ?
- 6 trả lời
- 12778 lượt xem
Tôi đeo niềng răng 18 năm trước. Sau đó bác sĩ cho tôi dùng hàm duy trì trông giống như niềng răng trong suốt Invisalign. Tôi rất thích chiếc hàm duy trì này vì nó giữ cho răng tôi thẳng hàng trong suốt nhiều năm. Nhưng khi tôi làm mất nó và đến gặp một bác sĩ khác để mua một chiếc mới thì bác sĩ lại đưa cho tôi hàm duy trì bằng kim loại. Tôi nhận thấy khi dùng loại hàm duy trì kim loại này thì răng không được thẳng như hàm bằng nhựa mà tôi dùng trước đây. Có phải hàm kim loại không tốt bằng hàm nhựa không?
- 7 trả lời
- 12406 lượt xem
Tôi đã tháo niềng 6 tháng trước. Kể từ đó tôi không dùng hàm duy trì nên răng bị xô lệch. Nếu như bây giờ tôi dùng hàm duy trì thì liệu răng tôi có thẳng trở lại không?
- 8 trả lời
- 3098 lượt xem
Liệu có thể chỉ sử dụng hàm duy trì thay thế cho niềng răng để điều chỉnh răng xô lệch không?
- 1 trả lời
- 1210 lượt xem
Em muốn hỏi hàm duy trì loại này có bền không? Giữ răng có tốt không? Chứ em mới gắn tối hôm kia mà bây giờ đã bị tuột ra. Chiều lại phải ra bác sĩ gắn lại. Mới đầu em dùng hàm duy trì loại khay trong suốt. Giờ chuyển sang loại này vì khay để lâu dễ lỏng và màu bị đục đi.




