Sau khi niềng răng thì nên dùng loại hàm duy trì nào, nhựa trong suốt hay kim loại?
- 6 trả lời
- 12769 lượt xem
Tôi đeo niềng răng 18 năm trước. Sau đó bác sĩ cho tôi dùng hàm duy trì trông giống như niềng răng trong suốt Invisalign. Tôi rất thích chiếc hàm duy trì này vì nó giữ cho răng tôi thẳng hàng trong suốt nhiều...
Hàm duy trì có thể dịch chuyển lại răng sau khi tháo niềng răng 6 tháng không?
- 7 trả lời
- 12393 lượt xem
Tôi đã tháo niềng 6 tháng trước. Kể từ đó tôi không dùng hàm duy trì nên răng bị xô lệch. Nếu như bây giờ tôi dùng hàm duy trì thì liệu răng tôi có thẳng trở lại không?
Bung 1 mắc cài trong thời gian dài có sao không?
- 1 trả lời
- 10153 lượt xem
Em bị bung mắc cài mà hiện tại em đang ở quê, xa phòng khám nha khoa. Do phải giãn cách xã hội kéo dài vì dịch Covid nên em không biết làm sao cả. Liệu để 1 thời gian dài có ổn ko ạ? Em cảm ơn ạ.
Răng bị thưa ra trong quá trình niềng có bình thường không?
- 1 trả lời
- 8325 lượt xem
Tôi đang niềng răng do bị khớp cắn hở và khớp cắn sâu. Bác sĩ nói là tôi cần đeo niềng khoảng 1 năm và đến giờ là đã được 2 tháng rồi. Giờ tôi thấy là hàm dưới đã thẳng hơn nhưng lại xuất hiện khe hở nhỏ ở giữa...
Môi có bị thay đổi sau khi nhổ răng và niềng để chữa răng vẩu không?
- 5 trả lời
- 7653 lượt xem
Liệu môi trên có bị nhỏ đi sau khi nhổ răng và niềng răng để chữa vẩu không?
Răng bị nhạy cảm và lung lay khi đeo niềng
- 1 trả lời
- 7360 lượt xem
Tôi 34 tuổi và đang đeo niềng răng cố định được 4 tháng. Gần đây tôi cảm thấy là có một chiếc răng ở hàm trên bên phải bị ê buốt và hơi lung lay. Điều này có bình thường không?
Răng nanh mọc lệch lên trên thì cần làm gì?
- 1 trả lời
- 6977 lượt xem
Răng của tôi bị khấp khểnh, hai răng nanh còn mọc tít ở trên lợi. Tôi có nên nhổ hai răng này đi rồi niềng răng không? Hay nên chọn phương án khác?
Mài men răng để loại bỏ vùng tam giác ở khe răng có làm răng yếu đi không?
- 6 trả lời
- 6949 lượt xem
Còn một tuần nữa là tôi có thể tháo niềng răng. Răng tôi hiện tại đã rất hoàn hảo nhưng lại có những vùng hình tam giác xuất hiện ở giữa răng và lợi. Bác sĩ nha khoa thẩm mỹ khuyên tôi nên mài bỏ một phần men...
Tháo tạm niềng răng ra 1 tháng có được không?
- 1 trả lời
- 6146 lượt xem
Bây giờ em muốn tạm tháo niềng 1 thời gian vì việc riêng thì có được không ạ? Em định tháo khoảng 1 tháng. Có hàm duy trì không, mà khi tháo bác sĩ cứ thế vặn mắc cài ra hay làm gì ạ?
Nên niềng răng trước rồi bọc răng sứ hay ngược lại?
- 4 trả lời
- 6110 lượt xem
Tôi đang băn khoăn giữa 2 phương pháp niềng răng và bọc răng sứ. Cái nào nên làm trước, cái nào làm sau?
Có cách nào để dễ chịu hơn với nong hàm?
- 1 trả lời
- 5617 lượt xem
Em nong hàm hôm nay là ngày thứ 5, cảm thấy stress quá hic. Cả 5 ngày này, đừng nói tới ăn, uống nước còn khó, thậm chí em còn hạn chế nói, có khi gặp người lạ còn giả vờ không nói được, bởi vì nong hàm xong...
1 tháng đeo niềng mà răng chưa dịch chuyển
- 1 trả lời
- 5159 lượt xem
Em nhổ răng 4 hàm trên để kéo, nhưng từ khi nhổ và đeo chun cũng hơn 1 tháng rồi nhưng e thấy răng nó không chạy tí nào cả. Liệu như thế có bất thường không ạ?
Đang niềng răng nhưng đổi phòng khám được không?
- 1 trả lời
- 5145 lượt xem
Em đang niềng răng và đã trả tiền hơn phân nửa. Nhưng vì e không thích cách chăm sóc và thái độ của chổ này nên em muốn đổi phòng khám khác. Không biết như vậy có được không ạ?
Vẫn còn lại khe hở sau khi đã niềng răng thì cần làm gì?
- 1 trả lời
- 4865 lượt xem
Hồi đi học em đã từng niềng răng nhưng vì tháo ra sớn hơn kế hoạch nên khi sang 20 tuổi lại phải niềng lại một lần nữa để hoàn thiện (do vẫn còn các khoảng hở và một răng vẫn bị lệch). Em vừa tháo niềng ra được...
Nong hàm khi đeo niềng răng đau lâu không?
- 1 trả lời
- 4853 lượt xem
Em vừa đeo mắc cài vừa đeo nong hàm, 2 tuần nữa em đi Thái chơi mà không biết bao giờ thì quen có thể ăn nhai nuốt được nữa. Chứ giờ nuốt cháo em cũng thấy khó khăn lắm. Liệu cơn đau khi nong hàm kiểu này có...
Cung Nance có tác dụng gì trong quá trình niềng răng?
- 1 trả lời
- 4731 lượt xem
Tôi mới nhổ 4 răng tiền hàm và đang đeo niềng răng và bác sĩ nói là tôi cần phải đeo cung Nance cho hàm trên còn hàm dưới thì chỉ cần lắp band lên răng hàm. Tại sao tôi lại phải đeo dụng cụ này? Bác sĩ chẩn...
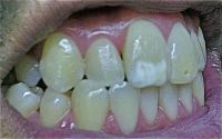
Niềng răng xong rồi dán sứ Veneer hay chỉ cần dán sứ Veneer?
- 6 trả lời
- 4340 lượt xem
Theo như ảnh chụp thì tôi nên niềng răng xong cho thẳng, rồi sau đó mới dán sứ Veneer cho răng cửa, hay có thể kết hợp cùng một lúc (trước đây tôi đã niềng răng cho các răng hàm trên nhưng bây giờ răng lại bị...
Có thể tự tháo niềng tại nhà không?
- 1 trả lời
- 4217 lượt xem
Nếu đã kết thúc thời gian niềng răng thì tôi có thể tự tháo niềng tại nhà không?
Răng trở lại vị trí cũ như trước khi niềng răng. Nên làm gì?
- 4 trả lời
- 4115 lượt xem
Tôi gặp hai vấn đề là vòm miệng hẹp và răng cửa bên bị “đẩy vào bên trong” (về phía vòm họng). Sau khi niềng răng, răng tôi trông rất hoàn hảo và bác sĩ cam đoan rằng nếu dùng hàm duy trì vĩnh viễn bằng kim...
Niềng răng và nong hàm có gây rối loạn khớp thái dương hàm không?
- 1 trả lời
- 4054 lượt xem
Tôi thấy nhiều người từng niềng răng và dùng khí cụ nong hàm nói rằng giờ họ bị rối loạn khớp thái dương hàm. Liệu có đúng là như thế không?
Niềng răng có thể khắc phục cằm lẹm không?
- 1 trả lời
- 4014 lượt xem
Tôi có cằm lẹm thì liệu niềng răng có khắc phục được không hay cần phải phẫu thuật? Và nếu phẫu thuật thì nên thực hiện trước hay sau khi niềng răng?
Khớp cắn sâu thì có cần nhổ răng để niềng răng không?
- 5 trả lời
- 3919 lượt xem
Hàm dưới của tôi bị tụt vào trong so với hàm trên (khớp cắn sâu). Liệu khi niềng răng tôi có phải nhổ răng hàm trên không?
Có thể dùng niềng răng trong suốt Invisalign sau khi niềng răng truyền thống không?
- 4 trả lời
- 3821 lượt xem
Tôi đã dùng niềng răng kim loại (có mắc cài) để điều chỉnh vấn đề răng hô và thu hẹp răng thưa nhưng sau khi tháo niềng tôi lại không dùng hàm duy trì. Vì thế, hiện tại các răng lại bắt đầu xuất hiện khoảng...
Sau khi nhổ răng cửa ở hàm dưới và niềng răng, răng cửa hàm trên nhô ra so với hàm dưới, cách khắc phục?
- 5 trả lời
- 3769 lượt xem
Hàm trên bị nhô ra so với hàm dưới, cách xử lý?
Răng cửa ở hai hàm không chạm nhau thì cần làm gì?
- 1 trả lời
- 3735 lượt xem
Răng cửa ở hàm trên và hàm dưới của tôi không chạm được vào nhau nên rất bất tiện khi cắn đồ ăn. Tôi đã đi khám hai chỗ rồi. Một chỗ bảo là chỉ cần niềng răng còn chỗ kia lại bảo là cắm vis và niềng răng. Tôi...
Niềng răng có bị hóp thái dương không?
- 1 trả lời
- 3658 lượt xem
Em mới niềng thôi, hiện mới gắn mắc cài ạ. Không phải nhổ răng nào. Nhưng sao em thấy đau ghê í. Trước khi niềng bác sĩ có cạo vôi nữa. Gắn xong thì có một răng của e hơi lung lay. Điều thứ 2 là có ai niềng mà...
Tại sao tôi lại không thấy đau khi niềng răng?
- 1 trả lời
- 3407 lượt xem
Tôi vừa mới niềng răng xong và không cảm thấy đau nhức gì cả. Tôi nghe mọi người nói thời gian đầu sẽ bị đau đến mức không ăn được. Vậy nếu không đau thì có bình thường không? Có phải là niềng không có hiệu quả...
Cung hàm bị hẹp lại sau khi niềng răng thì cần làm gì?
- 1 trả lời
- 3347 lượt xem
Tôi đã nhổ đi 4 chiếc răng số 4, hai cái ở hàm trên và 2 cái ở hàm dưới. Ngoài ra còn nhổ 2 răng khôn ở hàm dưới nữa. Sau khi niềng răng thì tôi thấy cung hàm bị hẹp lại, răng bị đẩy vào bên trong và môi cũng...
Khắc phục khe hở giữa răng cửa mà không cần niềng răng?
- 1 trả lời
- 3284 lượt xem
Tôi 21 tuổi và muốn khắc phục khe hở nhỏ ở giữa hai răng cửa. Tôi không muốn phải niềng răng thì có những lựa chọn khác nào?


























