Niềng răng xong rồi dán sứ Veneer hay chỉ cần dán sứ Veneer?
Bạn nên chọn phương pháp niềng răng rồi sau đó có thể cân nhắc dán sứ Veneer cho một răng cửa. Theo tôi, phương pháp niềng răng sẽ giúp đem lại sự thành công lâu dài hơn. Mặc dù niềng răng cần một thời gian khá dài và không thể cho hiệu quả ngay lập tức như dán sứ veneer nhưng mặt dán sứ có thể bị bong, ngả màu, tốn kém rất nhiều tiền và do đó, tôi khuyên bạn không nên chọn phương pháp này đầu tiên.
Cuối cùng, bạn hoàn toàn có thể tẩy trắng răng sau khi đã quyết định được phương án phù hợp.
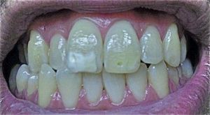
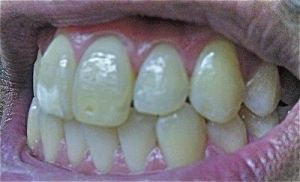
Hàm răng của bạn có khá nhiều vấn đề cần điều chỉnh. Dưới đây là một số lựa chọn:
Phương pháp nhanh nhất, hiệu quả nhất mà không phải lo răng bị xô lệch trở lại là dán sứ Veneer, nếu như bạn dán sứ cho tất cả các răng ở cung hàm trên thì bạn có thể điều chỉnh được cả khớp cắn.
Phương án tiếp theo là niềng răng và sau đó dán sứ Veneer cho 6 – 8 răng. Với phương pháp này, bạn sẽ cần đeo hàm duy trì và răng có thể bị xô lệch trở lại.
Cuối cùng là phương án tẩy trắng và dán sứ Veneer cho duy nhất một răng cửa. Răng sẽ không có bất kì thay đổi nào khác ngoài màu sắc. Răng sẽ không bị xô lệch, tuy nhiên phương pháp này có thể gây ra các tác dụng không mong muốn và việc không điều trị khớp cắn lệch có thể gây ra các vấn đề sau này cho răng, đầu, cổ và việc hô hấp.
Việc tẩy trắng răng sẽ giúp loại bỏ những mảng màu trắng trên răng cửa nhưng răng có thể sẽ trở nên khá tệ trước khi bắt đầu có thay đổi tích cực vì mảng trắng sẽ bị trắng quá mức rồi mới đều màu khi toàn bộ răng trở nên trắng hơn.
Sau khi niềng răng hoàn thành, bạn có thể bắt đầu dán sứ Veneer. Lúc này, răng đã thẳng đều và trắng hơn nên bác sĩ sẽ dễ dàng chọn được màu sắc mặt dán sứ hơn. Quá trình này có thể mất khá nhiều thời gian nhưng kết qua cuối cùng chắc chắn sẽ là bạn hài lòng.
Tuy nhiên, việc niềng răng trước lại có những ưu điểm vượt trội hơn hẳn. Ảnh chụp cho thấy các răng ở cung hàm trên của bạn mọc chen chúc nhau và gặp vấn đề khớp cắn chéo nghiêm trọng ở bên trong. Phương pháp niềng răng sẽ giúp điều chỉnh cả những răng bên trong, nhờ đó chỉnh được khớp cắn và việc nong rộng cung hàm sẽ tạo được không gian rộng hơn cho lưỡi, giúp cho việc hô hấp trở nên dễ dàng hơn.
Việc thiếu không gian cho lưỡi là một nguyên nhân gây ra chứng ngưng thở khi ngủ ở một số giai đoạn nhất định trong cuộc đời.
Có thể dùng niềng răng trong suốt Invisalign sau khi niềng răng truyền thống không?
Tôi đã dùng niềng răng kim loại (có mắc cài) để điều chỉnh vấn đề răng hô và thu hẹp răng thưa nhưng sau khi tháo niềng tôi lại không dùng hàm duy trì. Vì thế, hiện tại các răng lại bắt đầu xuất hiện khoảng trống. Tôi đã tháo niềng được vài năm và không biết bây giờ nên làm gì. Liệu niềng răng trong suốt Invisalign (không mắc cài) có phải là giải pháp tốt nhất đối với vấn đề của tôi không? Tôi có thể cần dùng hàm duy trì không?
- 4 trả lời
- 3773 lượt xem
Lựa chọn niềng răng truyền thống hay niềng Invisalign đối với răng khấp khểnh, thưa và khớp cắn sâu?
Răng của tôi bị khấp khểnh ở hàm dưới, thưa và chìa ra ở hàm trên, đồng thời, hàm trên nhô ra ngoài so với hàm dưới. Tôi nên chọn phương pháp niềng răng truyền thống có mắc cài hay niềng răng trong suốt Invisalign? Quá trình điều trị sẽ kéo dài bao lâu?
- 5 trả lời
- 2710 lượt xem
Tôi trồng 3 răng giả, tôi có thể niềng răng hay dùng hàm duy trì không?
Tôi có ba răng giả, 2 răng nanh và một răng tiền hàm ở hàm trên. Tôi nhận thấy hai răng cửa đang có dấu hiệu chìa ra ngoài. Tôi nên dùng hàm duy trì hay niềng răng để đẩy răng lại vị trí cũ?
- 3 trả lời
- 2945 lượt xem
Sau khi niềng răng thì nên dùng loại hàm duy trì nào, nhựa trong suốt hay kim loại?
Tôi đeo niềng răng 18 năm trước. Sau đó bác sĩ cho tôi dùng hàm duy trì trông giống như niềng răng trong suốt Invisalign. Tôi rất thích chiếc hàm duy trì này vì nó giữ cho răng tôi thẳng hàng trong suốt nhiều năm. Nhưng khi tôi làm mất nó và đến gặp một bác sĩ khác để mua một chiếc mới thì bác sĩ lại đưa cho tôi hàm duy trì bằng kim loại. Tôi nhận thấy khi dùng loại hàm duy trì kim loại này thì răng không được thẳng như hàm bằng nhựa mà tôi dùng trước đây. Có phải hàm kim loại không tốt bằng hàm nhựa không?
- 6 trả lời
- 12702 lượt xem
Độ tuổi niềng răng hiệu quả
Đến bao nhiêu tuổi thì không nên niềng răng nữa? Người trưởng thành niềng răng có vấn đề gì không?
- 6 trả lời
- 2181 lượt xem
Các hướng dẫn chăm sóc răng miệng cơ bản khi đeo niềng răng và hàm duy trì
Invisalign là một trong những giải pháp nắn chỉnh răng mới nhất hiện nay. Loại niềng này gần như vô hình, khiến nó trở thành một trong những lựa chọn phù hợp cho rất nhiều thanh thiếu niên và cả người lớn tuổi.
Nếu như răng mọc xiên vẹo, khấp khểnh thì sẽ rất khó khăn để tiếp cận một số vị trí trên hàm khi đánh răng hoặc dùng chỉ nha khoa và đó là những vị trí rất dễ bị sâu răng.
Khi có hàm răng khấp khểnh thì bạn sẽ chẳng thể nào có nụ cười đẹp được. Rất nhiều người khi đến tuổi trưởng thành vẫn có nhu cầu nắn thẳng răng nhưng lại ngại đeo niềng răng mắc cài truyền thống vì lo bị lộ.
Invisalign là những khay niềng bằng nhựa trong suốt, có thể tháo rời nên ngoài ưu điểm kín đáo, ít bị lộ hơn niềng truyền thống ra thì loại niềng này còn giúp cho vệ sinh răng miệng trở nên dễ dàng hơn nhiều.













