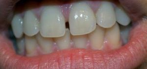
Có cần niềng răng để đóng khoảng hở nhỏ giữa răng cửa không?
Khắc phục răng thưa là một ứng dụng rất phổ biến của niềng răng. Theo tôi, trong trường hợp của bạn thì niềng trong suốt Invisalign sẽ cho kết quả nhanh hơn, có khả năng là chưa đến một năm. Nguyên nhân gây nên khoảng hở ở giữa hai răng cửa có thể là do tật đẩy lưỡi hay thở bằng miệng,... Phần khó nhất trong các trường hợp như vậy là giữ cho hai răng không bị thưa trở lại sau khi tháo niềng. Răng cửa thưa là vấn đề rất dễ tái phát sau khi niềng răng nên cần phải đeo hàm duy trì vĩnh viễn, tốt nhất là gắn một đoạn dây kim loại ở sau hai răng này để luôn giữ chúng luôn sát với nhau. Mặc dù khi đeo loại hàm duy trì này thì việc vệ sinh răng miệng sẽ hơi phức tạp nhưng đây là cách tốt nhất để giữ hai răng cửa không bị thưa trở lại. Ngoài ra, còn cần thêm một loại hàm duy trì khác nữa để giữ cho tất cả các răng bên trong đều thẳng hàng. Trước khi niềng răng, bạn sẽ cần được kiểm tra đường hô hấp vì có khả năng niềng răng sẽ đẩy lưỡi vào trong và ảnh hưởng đến việc hô hấp.
Có thể dùng niềng răng trong suốt Invisalign sau khi niềng răng truyền thống không?
Tôi đã dùng niềng răng kim loại (có mắc cài) để điều chỉnh vấn đề răng hô và thu hẹp răng thưa nhưng sau khi tháo niềng tôi lại không dùng hàm duy trì. Vì thế, hiện tại các răng lại bắt đầu xuất hiện khoảng trống. Tôi đã tháo niềng được vài năm và không biết bây giờ nên làm gì. Liệu niềng răng trong suốt Invisalign (không mắc cài) có phải là giải pháp tốt nhất đối với vấn đề của tôi không? Tôi có thể cần dùng hàm duy trì không?
- 4 trả lời
- 3781 lượt xem
Lựa chọn niềng răng truyền thống hay niềng Invisalign đối với răng khấp khểnh, thưa và khớp cắn sâu?
Răng của tôi bị khấp khểnh ở hàm dưới, thưa và chìa ra ở hàm trên, đồng thời, hàm trên nhô ra ngoài so với hàm dưới. Tôi nên chọn phương pháp niềng răng truyền thống có mắc cài hay niềng răng trong suốt Invisalign? Quá trình điều trị sẽ kéo dài bao lâu?
- 5 trả lời
- 2717 lượt xem
Tôi trồng 3 răng giả, tôi có thể niềng răng hay dùng hàm duy trì không?
Tôi có ba răng giả, 2 răng nanh và một răng tiền hàm ở hàm trên. Tôi nhận thấy hai răng cửa đang có dấu hiệu chìa ra ngoài. Tôi nên dùng hàm duy trì hay niềng răng để đẩy răng lại vị trí cũ?
- 3 trả lời
- 2956 lượt xem
Sau khi niềng răng thì nên dùng loại hàm duy trì nào, nhựa trong suốt hay kim loại?
Tôi đeo niềng răng 18 năm trước. Sau đó bác sĩ cho tôi dùng hàm duy trì trông giống như niềng răng trong suốt Invisalign. Tôi rất thích chiếc hàm duy trì này vì nó giữ cho răng tôi thẳng hàng trong suốt nhiều năm. Nhưng khi tôi làm mất nó và đến gặp một bác sĩ khác để mua một chiếc mới thì bác sĩ lại đưa cho tôi hàm duy trì bằng kim loại. Tôi nhận thấy khi dùng loại hàm duy trì kim loại này thì răng không được thẳng như hàm bằng nhựa mà tôi dùng trước đây. Có phải hàm kim loại không tốt bằng hàm nhựa không?
- 6 trả lời
- 12712 lượt xem
Độ tuổi niềng răng hiệu quả
Đến bao nhiêu tuổi thì không nên niềng răng nữa? Người trưởng thành niềng răng có vấn đề gì không?
- 6 trả lời
- 2184 lượt xem
Các hướng dẫn chăm sóc răng miệng cơ bản khi đeo niềng răng và hàm duy trì
Invisalign là một trong những giải pháp nắn chỉnh răng mới nhất hiện nay. Loại niềng này gần như vô hình, khiến nó trở thành một trong những lựa chọn phù hợp cho rất nhiều thanh thiếu niên và cả người lớn tuổi.
Nếu như răng mọc xiên vẹo, khấp khểnh thì sẽ rất khó khăn để tiếp cận một số vị trí trên hàm khi đánh răng hoặc dùng chỉ nha khoa và đó là những vị trí rất dễ bị sâu răng.
Khi có hàm răng khấp khểnh thì bạn sẽ chẳng thể nào có nụ cười đẹp được. Rất nhiều người khi đến tuổi trưởng thành vẫn có nhu cầu nắn thẳng răng nhưng lại ngại đeo niềng răng mắc cài truyền thống vì lo bị lộ.
Invisalign là những khay niềng bằng nhựa trong suốt, có thể tháo rời nên ngoài ưu điểm kín đáo, ít bị lộ hơn niềng truyền thống ra thì loại niềng này còn giúp cho vệ sinh răng miệng trở nên dễ dàng hơn nhiều.












