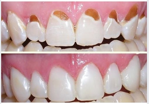
TRÁM RĂNG THẨM MỸ COMPOSITE KHẮC PHỤC MÒN RĂNG HIỆU QUẢ
??Mòn răng không chỉ xuất hiện ở cổ răng mà còn ở vùng mặt nhai của răng hàm và gây ra nhiều tác hại:
- Gây ê buốt kéo dài, khó chịu khi ăn thức ăn nóng - lạnh
- Giảm khả năng ăn nhai như nghiền và cắt thức ăn, dễ dẫn đến bệnh lý tiêu hóa
- Gây co thắt cơ nhai dẫn đến tổn thương khớp cắn
- Cơ thể gây viêm tủy và chết tủy răng
- Ảnh hưởng đến thẩm mỹ răng miệng
✅✅TRÁM RĂNG COMPOSITE - KHẮC PHỤC MÒN RĂNG HIỆU QUẢ
+ Chất liệu Composite có tính thẩm mỹ cao được trám bít vào phần mô răng giúp cho phần ngà răng không bị lộ ra ngoài.
+ Trám răng giúp giảm ê buốt cũng như hạn chế những bệnh lý răng miệng có thể xảy ra do vi khuẩn xâm nhập.
+ Miếng trám Composite có độ nén chịu lực và chịu sự mài mòn cao, không gây độc hại cho cơ thể.
+ Thời gian tồn tại lâu dài và không dị ứng với cơ thể người.
+ Bảo vệ răng thật hiệu quả, dễ dàng chăm sóc.
?Quy trình an toàn khép kín.
?Đội ngũ bác sĩ với nhiều năm kinh nghiệm
?Trang thiết bị hiện đại.
?Nhân viên phục vụ nhiệt tình,cởi mở.
? CMT hoặc INBOX để được tư vấn và giải đáp thắc mắc
Mặt dán composite bị chuyển màu, có thể khắc phục mà không cần mài răng không?
Tôi rất sợ việc gây tê khi điều trị nha khoa. Mặt dán composite của tôi vẫn còn dính khá chắc và tôi chỉ muốn mặt dán sáng màu hơn. Liệu việc này có cần đến bước mài răng và làm lại từ đầu không? Tôi có thể dùng các sản phẩm làm trắng răng cho mặt dán composite không?
Có thể khắc phục được tình trạng răng chen chúc xô lệch mà không cần nhổ răng không?
Tôi 23 tuổi và đang cân nhắc đến việc niềng răng để khắc phục tình trạng răng mọc khấp khểnh. Tôi đã đến gặp hai bác sĩ nha khoa thẩm mỹ và họ đều nói là cần phải nhổ răng nhưng tôi lại không muốn vậy. Hàm dưới của tôi gần như hoàn hảo nhưng tôi có tật nghiến răng vào ban đêm. Vậy tôi muốn hỏi là có thật sự cần phải nhổ răng hay không?
Sau khi nhổ răng cửa ở hàm dưới và niềng răng, răng cửa hàm trên nhô ra so với hàm dưới, cách khắc phục?
Hàm trên bị nhô ra so với hàm dưới, cách xử lý?
Niềng răng trong suốt Invisalign có khắc phục được khớp cắn sâu không?
Niềng răng trong suốt Invisalign có hiệu quả với khớp cắn sâu và răng hô không?
Niềng răng trong suốt invisalign có thể khắc phục được vấn đề khớp cắn chéo phía sau không?
Niềng invisalign có thể khắc phục được vấn đề khớp cắn chéo phía sau không?
Nhiều người không biết rằng hàm răng khấp khểnh không chỉ ảnh hưởng đến vẻ ngoài của một người mà còn có những tác động tiêu cực đến sức khỏe nữa.
Bạn đã quyết định niềng răng và đang hào hứng vì sắp có được hàm răng đẹp hằng mơ ước nhưng lại thắc mắc không biết quá trình này gồm có những bước nào. Dưới đây là 5 bước từ bắt đầu đến kết thúc của quá trình niềng răng.
Ngày nay, các khay niềng trong suốt đang dần trở thành một trong những lựa chọn chỉnh nha phổ biến nhất trên thế giới. Tuy nhiên, niềng truyền thống cũng không vì thế mà mất đi vị trí, đây vẫn tiếp tục là một lựa chọn được tin cậy vì nó mang lại một số lợi ích riêng biệt mà không loại niềng nào thay thế được. Vậy, hai loại niềng này có gì khác nhau?
Cắt môi bé (tạo hình vùng kín - tạo hình môi bé) giúp thu nhỏ môi bé dài chảy xệ thâm nhăn, giảm đau rát khó chịu và tăng sự tự tin cho chị em phụ nữ.
Ghép xương ổ răng được thực hiện sau khi mất răng hoặc nhổ răng được gọi là sự bảo tồn ổ răng









