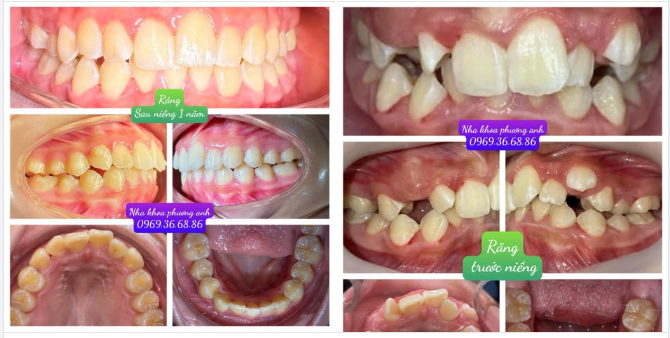
Răng mọc lệch xử lý cách nào?
Khi răng sữa lung lay và sắp gãy thì cũng là lúc răng vĩnh viễn chuẩn bị mọc. Một số trường hợp, răng sữa gãy đã lâu mà răng vĩnh viễn chưa mọc gây tình trạng thiếu răng. Tuy nhiên cũng có nhiều trường hợp răng vĩnh viễn đã mọc nhưng răng sữa vẫn chưa rụng khiến cho răng vĩnh viễn thiếu không gian để phát triển, lúc này, răng vĩnh viễn buộc phải mọc lệch ra khỏi quỹ đạo của nó để có thể phát triển bình thường.Xem thêm niềng răng
Đây chính là nguyên nhân răng bị mọc lệch, điều này cũng có thể giải thích cho việc nhiều người có răng khểnh. Quá nhiều răng mọc lệch không chỉ khiến chúng ta thiếu tự tin khi giao tiếp, mà còn ảnh hưởng đến chức năng nhai và quá trình chăm sóc răng.Khi răng mọc lệch lạc, bạn hoàn toàn có thể can thiệp những biện pháp y khoa mà không hề gây đau đớn hay tổn thương gì.
Em bị rớt 1 mắt niềng của răng bên góc dưới hàm và 1 cái bên răng nanh có làm sao ko ạ Răng của em chỉ chỉnh hai răng cửa và hai răng đối diện răng cửa thôi ạ
Răng nanh mọc lệch lên trên thì cần làm gì?
Răng của tôi bị khấp khểnh, hai răng nanh còn mọc tít ở trên lợi. Tôi có nên nhổ hai răng này đi rồi niềng răng không? Hay nên chọn phương án khác?
Răng mọc chen chúc nên chọn cách dán sứ hay niềng răng trong suốt?
Răng của tôi mọc chen chúc và còn bị lệch vào phía trong. Tôi còn cảm giác răng quá nhỏ và bị xỉn màu. Tôi nên lựa chọn phương pháp nào, dán sứ Lumineer hay niềng răng trong suốt?
Làm phẫu thuật nào để tóc mọc thẳng hoặc mọc xoăn?
Có cách phẫu thuật nào khiến tóc mọc thẳng hơn hoặc mọc xoăn hơn không? Có cách nào để tác động lên vấn đề này không? Nếu dùng laser triệt tóc rồi cấy tóc thẳng lên đầu thì có tác dụng gì không?
Có thể khắc phục được tình trạng răng chen chúc xô lệch mà không cần nhổ răng không?
Tôi 23 tuổi và đang cân nhắc đến việc niềng răng để khắc phục tình trạng răng mọc khấp khểnh. Tôi đã đến gặp hai bác sĩ nha khoa thẩm mỹ và họ đều nói là cần phải nhổ răng nhưng tôi lại không muốn vậy. Hàm dưới của tôi gần như hoàn hảo nhưng tôi có tật nghiến răng vào ban đêm. Vậy tôi muốn hỏi là có thật sự cần phải nhổ răng hay không?
1 tháng tóc dài ra bao nhiêu cm? Để tóc dài nhanh hơn thì cần phải nuôi dưỡng tóc từ cả bên trong lẫn bên ngoài. Bạn cần phải chú ý đến chế độ dinh dưỡng, tránh các tác nhân gây hại cho tóc và kết hợp sử dụng sản phẩm chăm sóc tóc phù hợp.
Có nhiều lí do khác nhau khiến cho răng bị khấp khểnh hay đè lên nhau.
Khe ngực quá rộng bẩm sinh hoặc biến chứng túi độn lệch sang bên sau phẫu thuật nâng ngực
Laser cường độ thấp có khả năng kích thích tóc rụng mọc lại nhanh hơn, tiện lợi trong sử dụng và ít biến chứng
Lông mọc ngược và kích ứng là hai trong số những vấn đề thường gặp và gây khó chịu nhất khi cạo râu, đặc biệt là khi xảy ra trên khuôn mặt. Tuy nhiên, có một số mẹo mà nam giới có thể áp dụng khi cạo râu để tránh gặp phải những vấn đề không mong muốn này.













