HIỆU QUẢ CỦA CHUN LIÊN HÀM ĐỐI VỚI NIỀNG RĂNG
7556 Lượt xem - Danh mục: Niềng Răng
?Chun liên hàm là loại cao su y tế không mùi, không vị có độ đàn hồi tốt, được nha sĩ chỉ định sử dụng trong một vài trường hợp niềng răng và trong 1 giai đoạn nhất định.
?Chun liên hàm được móc vào mắc cài để căng từ hàm này sang hàm đối diện để tạo ra lực kéo cho răng, khắc phục sai lệch khớp cắn.
?? Hãy cùng Vip Dentist xem đó là những sai lệch khớp cắn nào và răng biến đổi ra sao khi đeo chun liên hàm nhé!
--------------------------------
? ??? ???? ??Ố? ?Ế ??? ???????– ??Ữ ?Â? ?À? ?Ố?, ??Ữ ?Í? ĐỂ ?ƯƠ? ??
▪️Địa chỉ: Số 179 Xã Đàn, Đống Đa, Hà Nội
▪️HOTLINE: 0981 824 589/ 0912 823 489
CẬN CẢNH QUÁ TRÌNH NIỀNG RĂNG TỪ A - Z
6 năm trước
·
13289 Lượt xem
Mô phỏng quá trình NHỔ RĂNG tạo khoảng kéo hàm hô trong CHỈNH NHA
6 năm trước
·
8599 Lượt xem
Cơ chế hoạt động của niềng răng mắc cài kim loại
5 năm trước
·
7911 Lượt xem
Sử dụng chun trong chỉnh nha
6 năm trước
·
6410 Lượt xem
Thun buộc và dây ligature trong niềng răng
5 năm trước
·
6202 Lượt xem
Mô phỏng quá trình Niềng Răng điều trị khớp cắn ngược(móm) - Nha Khoa Thùy Anh
6 năm trước
·
5110 Lượt xem
Bộ phận lò xo trong niềng răng
5 năm trước
·
4903 Lượt xem
Qúa trình tiến triển trong chỉnh nha ( Niềng Răng)
6 năm trước
·
4862 Lượt xem
VỆ SINH RĂNG MIỆNG ĐÚNG CÁCH KHI NIỀNG RĂNG
6 năm trước
·
3854 Lượt xem
Bite Turbo trong niềng răng
5 năm trước
·
3850 Lượt xem
Khí cụ HERBST
5 năm trước
·
3836 Lượt xem
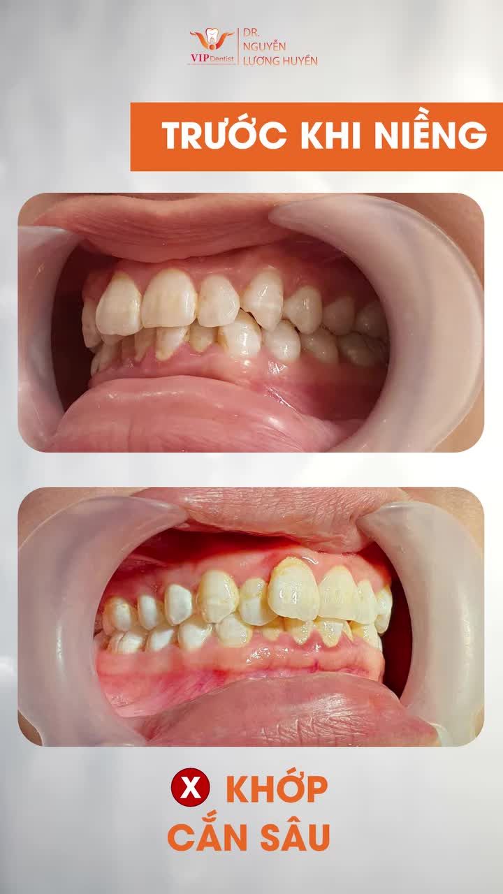
Khớp cắn sâu – Tình trạng sai lệch khớp cắn nguy hiểm mà nhiều người gặp phải
5 năm trước
·
3752 Lượt xem
Kỹ thuật Meaw bẻ dây cung dành cho các bạn lệch hàm và khớp cắn hở
5 năm trước
·
3545 Lượt xem
Phân biệt hô vẩu với khớp cắn sâu
5 năm trước
·
3161 Lượt xem
QUÁ TRÌNH DỊCH CHUYỂN CỦA RĂNG NHƯ THẾ NÀO
5 năm trước
·
3124 Lượt xem
Top 10 ca niềng răng thành công nhất tại Nha khoa Paris
6 năm trước
·
3055 Lượt xem
Loop đóng trong niềng răng
5 năm trước
·
2901 Lượt xem
Uốn dây cung giai đoạn hoàn thiện
5 năm trước
·
2867 Lượt xem
Thun chuỗi
5 năm trước
·
2805 Lượt xem
Mô phỏng niềng răng điều trị khớp cắn ngược (móm)
6 năm trước
·
2789 Lượt xem
Chỉnh nha điều trị răng lệch lạc, kéo răng ngầm
6 năm trước
·
2778 Lượt xem
NHỮNG THAY ĐỔI CỦA KHUÔN MẶT TRONG QUÁ TRÌNH NIỀNG RĂNG
5 năm trước
·
2685 Lượt xem
TOP 5 HÀM RĂNG XẤU NHẤT THẾ GIỚI
3 năm trước
·
2549 Lượt xem
Lời chia sẻ đầy chân thật từ bạn Lan Anh sau 2 năm niềng răng tại VIP Dentist.
6 ngày trước
·
22 Lượt xem
Lời chia sẻ đầy hứng khởi của bạn Nguyễn Thị Sáng sau hành trình chỉnh nha tại VIP Dentist.
6 ngày trước
·
19 Lượt xem
Khách hàng đã thay đổi thế nào sau phác đồ “Niềng Răng Không Nhổ Răng” tại VIP Dentist?
1 tuần trước
·
35 Lượt xem
NIỀNG RĂNG KHẮC PHỤC MỌI TÌNH TRẠNG RĂNG SAI LỆCH, SAI KHỚP CẮN
1 tuần trước
·
34 Lượt xem
FEEDBACK TỪ BẠN MINH TUẤN SAU THÁO NIỀNG TẠI VIP DENTIST
1 tuần trước
·
28 Lượt xem
Bạn Hương Giang trước khi đến VIP Dentist gặp tình trạng răng khấp khểnh nặng, sai khớp cắn.
1 tuần trước
·
31 Lượt xem
Niềng răng không nhổ răng - Hiệu quả trong mọi trường hợp Hô/Móm - Lệch khớp cắn
2 tuần trước
·
42 Lượt xem
KHAI XUÂN RẠNG RỠ NỤ CƯỜI MỚI - MỞ LỐI TÀI LỘC, VẠN ĐIỀU MAY
3 tuần trước
·
45 Lượt xem



