Từ khóa được quan tâm
Nâng Mũi
Phẫu thuật nâng mũi giúp nâng cao sống mũi, tạo hình đầu mũi cao tròn, thu hẹp cánh mũi
Nâng Ngực
Phẫu thuật nâng ngực tăng kích thước vòng 1, khắc phục ngực teo lép và chảy xệ
Cắt Mí
Những điều cần biết về cắt mí, cắt mí mini, cắt mí toàn phần, mở góc mắt trong đẹp, an toàn, hiệu quả
Hút Mỡ
Những điều cần biết về hút mỡ bụng và hút mỡ nhiều vùng an toàn, hiệu quả
Niềng Răng
Niềng răng mắc cài kim loại, mắc cài sứ, niềng răng mặt lưỡi, niềng răng trong suốt
Bọc Răng Sứ
Bọc răng thẩm mỹ bằng sứ
Trồng Răng Implant
Căng Da Mặt
Căng da mặt khắc phục da mặt chảy xệ, cổ chảy xệ, nếp nhăn do lão hóa, giúp trẻ hơn 10 tuổi.
Your browser does not support the audio element.
Your browser does not support the audio element.
Your browser does not support the audio element.
Your browser does not support the audio element.
1
Tin nhắn của bạn
Sức khỏe 123
1 phút trước
Đăng ký tài khoản để tương tác với chuyên gia ngay!
Đăng nhập
Đăng ký
Trang chủ
Thẩm mỹ
Sức khỏe
Nhóm
Video
Hình ảnh
Bảng giá dịch vụ
Kết nối bạn bè
Tin thẩm mỹ - sức khỏe
Tin tức
Blog tổng hợp
Blog thẩm mỹ
Blog sức khỏe
Liên hệ
Xem thêm
Thu gọn
Cài đặt app suckhoe123 để kết nối nhanh với chuyên gia:
Công cụ
Trắc nghiệm da...
Thuật ngữ y khoa
Từ điển y khoa
Chỉ số BMI
Công cụ tính BMR
Trang thẩm mỹ
Trang sức khỏe
Hệ thống đang hoạt động thử nghiệm chờ cấp phép
Trang cá nhân
Sửa
Bs nha khoa Phương Anh
Giới thiệu
Bảng giá
Hỏi đáp
Hình ảnh
Video (103)
Blog
Đánh giá
Chát với bác sĩ
Liên hệ
Nha khoa Phương Anh
Dòng thời gian
Toàn bộ chủ đề
Bs nha khoa Phương Anh
Chia sẻ
Chia sẻ ngay
Chia sẻ lên bảng tin
Chia sẻ lên trang bạn bè
Chia sẻ vào nhóm
Sao chép liên kết
Bác sĩ
Chị khách sau khi sử dụng công nghệ dán sứ Vener
Bs nha khoa Phương Anh
Chia sẻ
Chia sẻ ngay
Chia sẻ lên bảng tin
Chia sẻ lên trang bạn bè
Chia sẻ vào nhóm
Sao chép liên kết
Bác sĩ
Bọc răng sứ thẩm mỹ là gì? có tốt không? có đau không?
Bs nha khoa Phương Anh
Chia sẻ
Chia sẻ ngay
Chia sẻ lên bảng tin
Chia sẻ lên trang bạn bè
Chia sẻ vào nhóm
Sao chép liên kết
Bác sĩ
Các bước chuẩn bị trước khi cấy ghép Implant
Bs nha khoa Phương Anh
Chia sẻ
Chia sẻ ngay
Chia sẻ lên bảng tin
Chia sẻ lên trang bạn bè
Chia sẻ vào nhóm
Sao chép liên kết
Bác sĩ
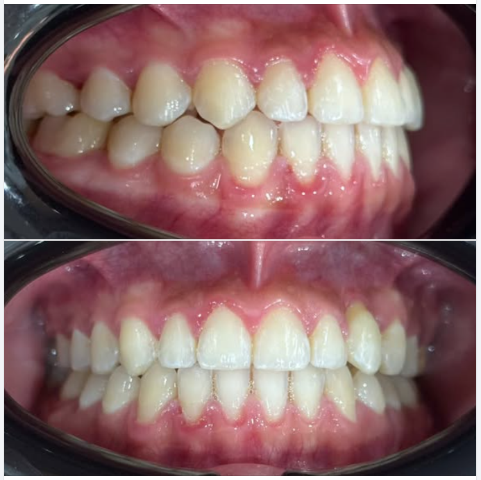
Kế hoạch điều trị chỉnh nha
Bs nha khoa Phương Anh
Chia sẻ
Chia sẻ ngay
Chia sẻ lên bảng tin
Chia sẻ lên trang bạn bè
Chia sẻ vào nhóm
Sao chép liên kết
Bác sĩ
Lên đời và tân trang nụ cười mới cho anh khách việt kiều Đức sau 24h
Bs nha khoa Phương Anh
Chia sẻ
Chia sẻ ngay
Chia sẻ lên bảng tin
Chia sẻ lên trang bạn bè
Chia sẻ vào nhóm
Sao chép liên kết
Bác sĩ
NÂNG XOANG TRONG CẤY GHÉP IMPLANT
Bs nha khoa Phương Anh
Chia sẻ
Chia sẻ ngay
Chia sẻ lên bảng tin
Chia sẻ lên trang bạn bè
Chia sẻ vào nhóm
Sao chép liên kết
Bác sĩ
Sau khi cấy ghép implant cần kiêng gì?
Bs nha khoa Phương Anh
Chia sẻ
Chia sẻ ngay
Chia sẻ lên bảng tin
Chia sẻ lên trang bạn bè
Chia sẻ vào nhóm
Sao chép liên kết
Bác sĩ
Sáng cấy, trưa mài, chiều lắp … Liên tục cả mấy ngày nay. Bác sĩ bận sấp mặt giờ mới có thời gian update
Bs nha khoa Phương Anh
Chia sẻ
Chia sẻ ngay
Chia sẻ lên bảng tin
Chia sẻ lên trang bạn bè
Chia sẻ vào nhóm
Sao chép liên kết
Bác sĩ
Trước khi nhổ răng khôn bạn cần làm gì
Bs nha khoa Phương Anh
Chia sẻ
Chia sẻ ngay
Chia sẻ lên bảng tin
Chia sẻ lên trang bạn bè
Chia sẻ vào nhóm
Sao chép liên kết
Bác sĩ
Những lưu ý sau khi làm răng sứ thẩm mỹ
Bs nha khoa Phương Anh
Chia sẻ
Chia sẻ ngay
Chia sẻ lên bảng tin
Chia sẻ lên trang bạn bè
Chia sẻ vào nhóm
Sao chép liên kết
Bác sĩ
Niềng Răng Bằng Invisalign So Với Niềng Răng Truyền Thống
Bs nha khoa Phương Anh
Chia sẻ
Chia sẻ ngay
Chia sẻ lên bảng tin
Chia sẻ lên trang bạn bè
Chia sẻ vào nhóm
Sao chép liên kết
Bác sĩ
Sau khi cấy ghép implant cần kiêng gì?
Bs nha khoa Phương Anh
Chia sẻ
Chia sẻ ngay
Chia sẻ lên bảng tin
Chia sẻ lên trang bạn bè
Chia sẻ vào nhóm
Sao chép liên kết
Bác sĩ
Những Phương Pháp Nha Khoa Thẩm Mỹ Phổ Biến Nhất Hiện Nay
Bs nha khoa Phương Anh
Chia sẻ
Chia sẻ ngay
Chia sẻ lên bảng tin
Chia sẻ lên trang bạn bè
Chia sẻ vào nhóm
Sao chép liên kết
Bác sĩ
Đẹp nhanh như vậy… có bền không?
Bs nha khoa Phương Anh
Chia sẻ
Chia sẻ ngay
Chia sẻ lên bảng tin
Chia sẻ lên trang bạn bè
Chia sẻ vào nhóm
Sao chép liên kết
Bác sĩ
Cô csgt dẫn đoàn xinh đẹp được mẹ chồng đưa tới gặp bác sĩ với tình trạng chiếc răng sữa lung lay do thiếu mầm răng vĩnh viễn.
Bs nha khoa Phương Anh
Chia sẻ
Chia sẻ ngay
Chia sẻ lên bảng tin
Chia sẻ lên trang bạn bè
Chia sẻ vào nhóm
Sao chép liên kết
Bác sĩ
Sau 24h bác sĩ căng não cùng sự miệt mài của anh em labor kết quả BN cũng happy
Bs nha khoa Phương Anh
Chia sẻ
Chia sẻ ngay
Chia sẻ lên bảng tin
Chia sẻ lên trang bạn bè
Chia sẻ vào nhóm
Sao chép liên kết
Bác sĩ
Răng Sứ Có Thể Làm Trắng Hơn So Với Màu Răng Tự Nhiên Không?
Bs nha khoa Phương Anh
Chia sẻ
Chia sẻ ngay
Chia sẻ lên bảng tin
Chia sẻ lên trang bạn bè
Chia sẻ vào nhóm
Sao chép liên kết
Bác sĩ
Hình ảnh ca thẩm mỹ toàn hàm bằng công nghệ vener sứ được bác sĩ hoàn thiện sau 24h. BN chỉ mong muốn màu tự nhiên và dáng răng ovan
Bs nha khoa Phương Anh
Chia sẻ
Chia sẻ ngay
Chia sẻ lên bảng tin
Chia sẻ lên trang bạn bè
Chia sẻ vào nhóm
Sao chép liên kết
Bác sĩ
Implant Nha Khoa Có Bền Không?
Bs nha khoa Phương Anh
Chia sẻ
Chia sẻ ngay
Chia sẻ lên bảng tin
Chia sẻ lên trang bạn bè
Chia sẻ vào nhóm
Sao chép liên kết
Bác sĩ
Nhẹ nhàng lắm không đau gì cả, chị sợ như lần trước Đúng không bác Nguyễn Ngọc Lan
Bs nha khoa Phương Anh
Chia sẻ
Chia sẻ ngay
Chia sẻ lên bảng tin
Chia sẻ lên trang bạn bè
Chia sẻ vào nhóm
Sao chép liên kết
Bác sĩ
Vật liệu làm implant nha khoa từ gì? có an toàn không?
Bs nha khoa Phương Anh
Chia sẻ
Chia sẻ ngay
Chia sẻ lên bảng tin
Chia sẻ lên trang bạn bè
Chia sẻ vào nhóm
Sao chép liên kết
Bác sĩ
Implant có bền suốt đời không, có phải thay sau vài năm không?
Bs nha khoa Phương Anh
Chia sẻ
Chia sẻ ngay
Chia sẻ lên bảng tin
Chia sẻ lên trang bạn bè
Chia sẻ vào nhóm
Sao chép liên kết
Bác sĩ
Khi nào nên tẩy trắng răng?
Bs nha khoa Phương Anh
Chia sẻ
Chia sẻ ngay
Chia sẻ lên bảng tin
Chia sẻ lên trang bạn bè
Chia sẻ vào nhóm
Sao chép liên kết
Bác sĩ
Case Implant nhổ cấy tức thì cho chị đồng nghiệp sau ca trực đêm. Hình ảnh đẹp như sách
Bs nha khoa Phương Anh
Chia sẻ
Chia sẻ ngay
Chia sẻ lên bảng tin
Chia sẻ lên trang bạn bè
Chia sẻ vào nhóm
Sao chép liên kết
Bác sĩ
Từ một nụ cười nhiều khuyết điểm… đến diện mạo tự tin hoàn toàn
Bs nha khoa Phương Anh
Chia sẻ
Chia sẻ ngay
Chia sẻ lên bảng tin
Chia sẻ lên trang bạn bè
Chia sẻ vào nhóm
Sao chép liên kết
Bác sĩ
Vật liệu làm implant nha khoa từ gì? có an toàn không?
Bs nha khoa Phương Anh
Chia sẻ
Chia sẻ ngay
Chia sẻ lên bảng tin
Chia sẻ lên trang bạn bè
Chia sẻ vào nhóm
Sao chép liên kết
Bác sĩ
Bí quyết chọn màu răng sứ đẹp nhất
Bs nha khoa Phương Anh
Chia sẻ
Chia sẻ ngay
Chia sẻ lên bảng tin
Chia sẻ lên trang bạn bè
Chia sẻ vào nhóm
Sao chép liên kết
Bác sĩ
Các bước chuẩn bị trước khi cấy ghép Implant
Bs nha khoa Phương Anh
Chia sẻ
Chia sẻ ngay
Chia sẻ lên bảng tin
Chia sẻ lên trang bạn bè
Chia sẻ vào nhóm
Sao chép liên kết
Bác sĩ
Bạn hoàn toàn có thể lấy lại nụ cười trắng sáng, tự tin chỉ sau một liệu trình phù hợp!
Bs nha khoa Phương Anh
Chia sẻ
Chia sẻ ngay
Chia sẻ lên bảng tin
Chia sẻ lên trang bạn bè
Chia sẻ vào nhóm
Sao chép liên kết
Bác sĩ
COMBOR: Thẩm mỹ toàn hàm + Implant cho sáng mùng 1 đầu tháng. Tranh thủ về quê thắp hương các cụ vừa đẹp ăn trưa cùng bố mẹ
«
1
2
...
35
»
Bạn đã không sử dụng Site,
Bấm vào đây để duy trì trạng thái đăng nhập
. Thời gian chờ:
60
giây