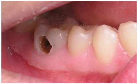
LỢI ÍCH KHI TRÁM PHÒNG NGỪA SÂU RĂNG
Trám răng phòng ngừa sâu răng là phương pháp đơn giản và hiệu quả giúp bảo vệ răng khỏi nguy cơ sâu răng từ sớm, đặc biệt cho răng hàm của trẻ nhỏ.
Tạo lớp bảo vệ bề mặt răng, ngăn ngừa vi khuẩn và axit gây sâu răng.
Phòng tránh hiệu quả các vấn đề sâu răng ở răng hàm, nơi dễ tích tụ thức ăn.
Duy trì hàm răng khỏe mạnh, tránh các biến chứng nặng nề về sau.
Tiết kiệm chi phí điều trị dài hạn nhờ giảm thiểu nguy cơ phải điều trị sâu răng.
Thực hiện nhanh chóng, nhẹ nhàng, không gây đau đớn.
Phù hợp cho cả trẻ nhỏ và người lớn, giúp bảo vệ sức khỏe răng miệng cho mọi thành viên trong gia đình.
Tăng cường sự tự tin với hàm răng chắc khỏe và không lo sâu răng.
Các sản phẩm tẩy trắng răng có tác dụng với răng sứ và miếng trám không?
Liệu có thể tẩy trắng răng khi đã bọc răng sứ hoặc trám răng không?
Kết hợp điều trị hút mỡ siêu âm Vaser và hút mỡ bằng laser Smartlipo có lợi ích gì?
Quy trình nào tốt nhất cho mỗi vùng trên cơ thể? Tại sao lại phải kết hợp cả hai? Bác sĩ có thể giải thích cho tôi tại sao một số bệnh nhân lại sử dụng cả hai kỹ thuật này không?
Túi độn Mentor hình giọt nước có lợi ích nào đặc biệt không?
Tôi cao 1m62, nặng 47kg và đang định phẫu thuật nâng ngực bằng túi độn. Tôi muốn biết là loại túi độn có độ gắn kết cao (gummy bear) hình giọt nước của Mentor có giúp cho ngực tôi trông tự nhiên hơn không?
Lợi ích của kỹ thuật nâng ngực dual-plane là gì?
Những lợi ích của kỹ thuật dual-plane là gì? Nó có đỡ đau hơn các thủ thuật khác không? Nó có giúp làm bớt chảy máu, giảm khả năng bị co thắt bao xơ không? Hay là nó sẽ giúp hồi phục nhanh hơn?
Có thể xử lý khối phồng này ở ngay tại phòng khám không? Liệu có rủi ro gì không?
Khoảng 4 tháng trước tôi phẫu thuật cắt mí dưới. Bác sĩ phẫu thuật nói rằng khối phồng này (trong hình) không phải là sưng nề và có thể được xử lý ở ngay tại phòng khám của ông ấy bằng đường rạch ngoài da dưới mắt, sau đó sẽ tiếp cận xuống dưới. Nếu khối phồng đó là mỡ hoặc mô sẹo thì ông ấy sẽ loại bỏ nó đi. Còn nếu là do da thì ông ấy sẽ siết chặt/làm săn chắc da để loại bỏ vết phồng/sưng. Liệu giải pháp này có hợp lý không hay còn cách nào tốt hơn? Có rủi ro gì khi thực hiện phương pháp này? Tôi nên đợi bao lâu mới thực hiện quy trình này?
Sự thay đổi nội tiết trong suốt quá trình mang thai có thể tàn phá sức khỏe răng miệng của bạn.
Cắt mí được đánh giá là một giải pháp nhanh chóng tiện lợi để vừa giúp khắc phục các khiếm khuyết trên đôi mắt vừa tạo đôi mắt to đẹp, thẩm mỹ hơn.
Tụt lợi là vấn đề nha khoa phổ biến. Hầu hết mọi người đều không biết họ bị tụt lợi bởi vì tình trạng này diễn ra từ từ.
Vào năm 1955, một nghiên cứu đã chỉ ra rằng mụn trứng cá có thể gây ra các rồi loạn về tâm lý.
Tinh dầu tràm trà là một trong những thành phần kháng khuẩn tự nhiên tốt nhất trong chăm sóc da. Tinh dầu tràm trà đã được sử dụng để làm đẹp từ hàng ngàn năm trước và vẫn phổ biến cho đến ngày nay. Tinh dầu tràm trà có rất nhiều lợi ích cho da và nhược điểm lớn duy nhất là nguy cơ gây dị ứng.







