Siêu âm Doppler tim - Bộ y tế 2014
I. ĐẠI CƯƠNG
Siêu âm Doppler tim là một thăm dò chẩn đoán hình ảnh giúp chẩn đoán tình trạng hoạt động và hình thái của các cấu trúc tim, và chẩn đoán tình trạng huyết động, tình trạng chuyển dịch của các dòng máu trong hệ tuần hoàn.
Siêu âm Doppler tim là một thăm dò không chảy máu, không gây tác hại bởi tia xạ (chỉ dưới 0,1 mW/cm2 cơ thể), có thể làm được nhiều lần trên cùng một người bệnh, cho kết quả tin cậy được nếu được thực hiện bởi người được đào tạo tốt, và tôn trọng các qui tắc của kỹ thuật.
Siêu âm Doppler tim bao gồm: siêu âm tim TM, siêu âm tim hai chiều (2D), siêu âm - Doppler xung, Doppler liên tục và Doppler màu và siêu âm Doppler mô cơ tim.
II. CHỈ ĐỊNH
Tất cả các trường hợp cần khảo sát hình thái và chức năng tim.
III. CHỐNG CHỈ ĐỊNH
Không có chống chỉ định.
IV. CHUẨN BỊ
1. Người thực hiện
- Bác sĩ được đào tạo tốt về kỹ thuật siêu âm tim.
- Kỹ thuật viên hoặc trợ lý giúp chuẩn bị và hướng dẫn người bệnh.
2. Phương tiện
- Phòng siêu âm Doppler tim được trang bị máy điều hòa nhiệt độ, máy hút ẩm, đồng hồ đo độ ẩm và đo nhiệt độ phòng, có bồn rửa tay, có xà phòng, dung dịch sát khuẩn.
- Máy siêu âm Doppler tim với các đầu dò siêu âm tim cho người lớn, cho trẻ em, có điện tâm đồ kết nối với máy siêu âm, có bộ phận lưu trữ hình ảnh trên băng video hoặc đĩa CD, hoặc đĩa quang từ, máy chụp ảnh đen trắng và/hoặc máy chụp ảnh màu kết nối với máy siêu âm, giấy in ảnh.
- Máy vi tính và máy in, giấy A4 để đánh máy kết quả và in kết quả.
- Giường khám bệnh với tấm trải giường sạch.
- Gel để làm siêu âm.
- Găng tay, khẩu trang, mũ.
- Khăn lau.
V. CÁC BƯỚC TIẾN HÀNH
- Kiểm tra hồ sơ bệnh án.
- Kiểm tra người bệnh.
- Tư thế người được làm siêu âm: nằm ngửa hơi nghiêng về bên trái trong trạng thái nghỉ ngơi.
- Người thăm dò siêu âm: ngồi ở phía bên phải của người được làm siêu âm, tay phải cầm đầu dò, tay trái điều chỉnh các nút của máy siêu âm.
- Mắc điện tâm đồ cho người bệnh.
- Các kỹ thuật siêu âm cần thực hiện: siêu âm TM, 2D, Doppler và Doppler màu và Doppler mô cơ tim.
1. Siêu âm tim TM
Đầu dò đặt ở bờ trái xương ức, khoang liên sườn III hoặc IV. Đầu dò tạo với mặt phẳng lồng ngực một góc từ 800-900. Sóng siêu âm thẳng góc cấu trúc tim, giúp đo được bề dày, bề rộng các cấu trúc này.
1.1. Cắt ngang thất
- Thiết đồ cạnh ức trái (trục dài và ngắn) là vị trí chuẩn nhất để đo đạc các kích thước của thất trái trên siêu âm TM (theo phương pháp của Hội Siêu âm Tim mạch Hoa kỳ).
- Cắt ngang thất trái ngay sát bờ tự do của van hai lá, từ trước ra sau để thấy các cấu trúc: thành ngực phía trước, thành trước của thất phải, buồng thất phải, vách liên thất, buồng thất trái, thành sau thất trái, thượng tâm mạc dính vào ngoại tâm mạc cho hình ảnh siêu âm đậm.

Hình 1. Hình ảnh siêu âm TM cắt ngang thất trái
- Các thông số cần đo trên mặt cắt này:
+ Vào cuối thời kỳ tâm trương (khởi đầu sóng Q của phức bộ QRS trên ĐTĐ):
- Đường kính thất phải
- Bề dày vách liên thất
- Đường kính thất trái
- Bề dày thành sau thất trái.
+ Vào cuối thời kỳ tâm thu (đo ở vị trí vách liên thất đạt được độ dày tối đa):
- Đường kính thất trái
- Bề dày vách liên thất và thành sau thất trái.
1.2. Cắt ngang van ĐMC và nhĩ trái
- Từ trước ra sau, thấy các cấu trúc: thành trước lồng ngực, thành trước thất phải, buồng tống máu thất phải, thành trước ĐMC nối liền bằng VLT (sự liên tục van hai lá - ĐMC), buồng NT, thành sau NT.
- Quan sát được 2 trong 3 lá van sigma của ĐMC: lá vành phải và lá không vành. Vận động các van sigma động mạch chủ khi mở tạo thành ‘‘hình hộp”.
- Các thông số cần đo trên mặt cắt này:
- Đường kính cuối tâm trương ĐMC.
- Biên độ mở van ĐMC.
- Đường kính cuối tâm thu của nhĩ trái..

Hình 2. Hình ảnh siêu âm tim TM: cắt ngang ĐMC và NT
2. Siêu âm tim 2D
- Khảo sát cấu trúc quả tim đang hoạt động.
- Thực hiện cắt các mặt cắt cơ bản của siêu âm 2D: mặt cắt cạnh xương ức phía bên trái, mặt cắt từ mỏm tim, mặt cắt dưới bờ sườn hay dưới mũi ức, mặt cắt trên hõm ức.
2.1. Các mặt cắt cạnh ức trái
Đầu dò đặt ở bờ trái xương ức, khoang liên sườn 3, 4, 5. Người bệnh nằm ngửa hay nghiêng trái. Bao gồm: mặt cắt theo trục dọc và mặt cắt theo trục ngang.
- Mặt cắt theo trục dọc: khảo sát buồng tống máu thất phải, van ĐMC và ĐMC lên, vách liên thất, thất trái, van hai lá, vòng van hai lá, các dây chằng van hai lá, nhĩ trái, thành sau thất trái, động mạch chủ ngực ở hình ảnh cắt ngang.

Hình 3. Mặt cắt cạnh ức trái trên siêu âm tim 2D
- Mặt cắt theo trục ngang: thẳng góc với trục dọc của tim (xoay đầu dò 900). Có 3 mặt cắt từ trên xuống dưới: mặt cắt qua gốc các mạch máu lớn, mặt cắt ngang qua van hai lá, mặt cắt ngang cột cơ.
- Mặt cắt ngang qua gốc các mạch máu lớn: quan sát ĐMC, van ĐMC hình chữ Y, nhĩ trái, nhĩ phải, vách liên nhĩ, van ba lá, buồng tống máu thất phải, van ĐMP, thân ĐMP, hai nhánh ĐMP phải và ĐMP trái, động mạch vành trái.

Hình 4. Hình ảnh siêu âm mặt cắt ngang qua gốc các mạch máu lớn
- Mặt cắt ngang van hai lá: quan sát van hai lá nằm ở giữa thất trái.

Hình 5. Hình ảnh siêu âm mặt cắt ngang van hai lá
- Mặt cắt ngang cột cơ: quan sát hai cột cơ: cột cơ trước bên và cột cơ sau giữa, thất phải nhỏ hơn thất trái và nằm trước thất trái, có thể thấy ĐMC xuống (cắt ngang) nằm sau thất trái.

Hình 6. Hình ảnh siêu âm mặt cắt ngang cột cơ
2.2. Các mặt cắt từ mỏm tim
Người bệnh nằm ngửa hoặc nghiêng trái. Đầu dò đặt ở mỏm tim, hướng từ mỏm đến đáy tim.
* Mặt cắt 4 buồng:
- Khảo sát được cấu trúc tim theo chiều dọc: hai buồng thất, vách liên thất, hai buồng nhĩ, vách liên nhĩ, van hai lá, van ba lá, các tĩnh mạch phổi đổ về nhĩ trái.

Hình 7. Hình ảnh siêu âm các mặt cắt từ mỏm tim
* Mặt cắt hai buồng:
- Từ mặt cắt 4 buồng, xoay đầu dò 900 sẽ được mặt cắt hai buồng, khảo sát thất trái, nhĩ trái, thành trước thất trái, thành dưới thất trái.

Hình 8. Hình ảnh siêu âm mặt cắt hai buồng
2.3. Các mặt cắt dưới bờ sườn
- Người bệnh nằm ngửa, đầu gối hơi gập. Đầu dò đặt ở thượng vị dưới mũi ức.
- Mặt cắt 4 buồng: quan sát các cấu trúc tim tương tự như mặt cắt 4 buồng từ mỏm.
- Mặt cắt trục ngang: Có thể cắt theo đáy tim: thấy ĐMC và thân ĐMP, cắt ngang van hai lá, ngang cột cơ, ngang TMC dưới và nhĩ phải.
2.4. Các mặt cắt trên hõm ức
- Mặt cắt cơ bản theo trục dọc, quan sát: cung ĐMC và các nhánh thân cánh tay đầu, ĐM cảnh gốc trái, ĐM dưới đòn trái, thấy được ĐMC lên, ĐMC xuống, eo ĐMC, ĐMP phải (cắt ngang).
- Từ mặt cắt cơ bản này, xoay đầu dò 900 ngược chiều kim đồng hồ để được mặt cắt trục ngang: quan sát cung ĐMC cắt ngang, ĐMP phải theo chiều dọc, TMC trên và ™ vô danh, nhĩ trái và các TM phổi.
2.5. Đánh giá chức năng thất trái trên siêu âm 2D
- Đánh giá vận động vùng thành tim: Thực hiện trên 4 mặt cắt: trục dọc cạnh ức trái, trục ngắn cạnh ức trái, bốn buồng tim từ mỏm, hai buồng tim từ mỏm. Áp dụng cách tính điểm vận động vùng thành tim theo Hội Siêu âm tim Hoa Kỳ.
- Đo phân số tống máu thất trái bằng phương pháp Simpson.

Hình 9. Đo phân số tống máu thất trái bằng phương pháp Simpson
3. Siêu âm Doppler
- Quan sát điện tâm đồ đồng thời với hình ảnh siêu âm Doppler để nhận biết được dòng máu ở thì tâm thu hay tâm trương, hay cả hai thì.
- Các dạng của siêu âm Doppler: Doppler xung, Doppler liên tục, Doppler màu (một dạng đặc biệt của Doppler xung), siêu âm Doppler mô cơ tim.
- Khảo sát các dòng chảy:
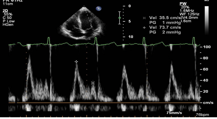
+ Dòng van hai lá: ghi tốt nhất ở mặt cắt 4 buồng từ mỏm tim.
- Thời kỳ tâm trương: hai sóng dương, bao gồm sóng E (sóng đổ đầy đầu tâm trương của thất trái) và sóng A (sóng đổ đầy khi nhĩ trái co bóp).

Hình 10. Hình ảnh siêu âm Doppler xung dòng chảy van hai lá
+ Dòng tĩnh mạch phổi: thường được ghi ở mặt cắt 4 buồng tim từ mỏm.

Hình 11. Hình ảnh siêu âm Doppler xung dòng chảy tĩnh mạch phổi
+ Dòng ĐMC: thường ghi được ở mặt cắt 5 buồng tim từ mỏm, hoặc mặt cắt cạnh ức phải, hoặc mặt cắt trên hõm ức, là sóng tâm thu, lên nhanh, xuống nhanh. Phổ dương hay âm tuỳ vị trí mặt cắt.
+ Dòng van ba lá: thường ghi được ở mặt cắt 4 buồng từ mỏm, mặt cắt cạnh ức trái, mặt cắt 4 buồng dưới bờ sườn. Phổ của dòng van ba lá cùng dạng với phổ của dòng van hai lá.
+ Dòng ĐMP: thường ghi được ở mặt cắt cạnh ức trái. Thời kỳ tâm thu, phổ có dòng âm. Thời kỳ tâm trương, có thể có phổ hở van ĐMP.
4. Siêu âm Doppler mô cơ tim
- Kiểm tra chế độ TDI của máy.
- Thực hiện trên mặt cắt 4 buồng tim từ mỏm.
- Điều chỉnh cursor sao cho chùm tia trùng với thành tim ( < 200)
- Đặt cửa sổ Doppler đúng vị trí vòng van hai lá, kích thước 3 mm nếu ghi ở vách liên thất, 5 mm nếu ghi ở thành bên.
- Bật chế độ TDI.
- Giảm gain xuống < 25 cm/s.
- Điều chỉnh tốc độ quét của chùm tia siêu âm (sweep speed): 50-100 m/s.
- Hướng dẫn cho người bệnh thở ra, hít vào, ghi TDI cuối kỳ thở ra, khi người bệnh nín thở.

Hình 12. Hình ảnh siêu âm Doppler mô cơ tim tại vòng van hai lá
VI. THEO DÕI, TAI BIẾN VÀ XỬ TRÍ
Không có tai biến.
Hướng dẫn quy trình kỹ thuật Nội khoa, chuyên ngành Tim mạch - Bộ y tế 2014
Hướng dẫn quy trình kỹ thuật Nội khoa, chuyên ngành Thần kinh - Bộ y tế 2014
Hướng dẫn quy trình kỹ thuật Nội khoa, chuyên ngành Thần kinh - Bộ y tế 2014
Hướng dẫn quy trình kỹ thuật Nội khoa, chuyên ngành Thần kinh - Bộ y tế 2014
Hướng dẫn quy trình kỹ thuật Ngoại khoa, chuyên khoa Phẫu thuật Tim mạch - Lồng ngực - Bộ y tế 2017
Siêu âm bơm nước buồng tử cung thường được sử dụng để chẩn đoán nguyên nhân gây đau vùng chậu mãn tính, vô sinh hoặc chảy máu âm đạo bất thường.
Việt quất chứa ít calo và vô cùng tốt cho sức khỏe, thậm chí còn được coi là một loại “siêu thực phẩm” nhờ chứa một lượng lớn vitamin, hợp chất thực vật có lợi và chất chống oxy hóa.
Chất béo là một chất dinh dưỡng gây nhiều tranh cãi. Trong khi một số nghiên cứu cho thấy chất béo gây hại cho sức khỏe thì một số khác lại chứng minh rằng ăn chất béo mang lại một số lợi ích nhất định. Tuy nhiên, hầu hết các nghiên cứu về dầu ô liu đều kết luận rằng dầu ô liu siêu nguyên chất (extra virgin oil) cực kỳ lành mạnh.
Siêu âm tuyến tiền liệt được sử dụng để kiểm tra tình trạng tuyến tiền liệt và phát hiện các vấn đề bất thường như ung thư hay tăng sản tuyến tiền liệt lành tính (phì đại tuyến tiền liệt).
- 2 trả lời
- 7553 lượt xem
Bác sĩ ơi, hôm qua em đi siêu âm thì bảo bé em bị màng ngoài tim có dịch. Nhờ bác xem giúp em với. Nếu mà bé cứu được thì sau này có để lại di chứng gì không ạ? Do em bé đầu nên không biết sao
- 0 trả lời
- 2176 lượt xem
Hôm trước em có đi siêu âm có kết quả là thai bị tim to như này. Bác sĩ tư vấn cho em với ạ. Em đã có 1 cháu 5 tuổi khoẻ mạnh rồi ạ. Trước đó 2 vợ chồng đã đi khám và không mang ghen thalassima .
- 1 trả lời
- 1159 lượt xem
Lúc thai 12 tuần, em có làm xét nghiệm và kết quả là nguy cơ thấp với hội chứng down. Gia đình nội ngoại đều không có ai mắc hội chứng này. Giờ, thai đã 20 tuần, em đi siêu âm 4D, kết quả đều bình thường. Duy chỉ có 2 nốt echo dày ở 2 tâm thất tim thai. Hiện, em rất lo lắng. Mong bs cho em lời khuyên với ạ?
- 1 trả lời
- 673 lượt xem
Khi thai được 19 tuần, em đã đi siêu âm 4D. Bác sĩ ghi ở phần Kết luận là "không có gì bất thường" . Vậy, em muốn hỏi đến tuần bao nhiêu thì em mới tiếp tục siêu âm nữa ạ?
- 1 trả lời
- 739 lượt xem
Em 25 tuổi, mang thai lần đầu được 20 tuần. Bs cho chỉ định làm siêu âm 4D, nhưng khi vào phòng siêu âm thì chỉ thấy siêu âm đen trắng và hẹn em 2 tuần sau đến siêu âm 4D. Em thấy rất lo - Không hiểu tại sao lúc đó lại không siêu âm 4D được ạ?



