Vai trò của X quang trong chẩn đoán bệnh lý khớp gối
1. Chụp X-quang giúp gì trong chẩn đoán bệnh lý khớp gối?
Thông qua hình ảnh X-quang, bác sĩ có thể xác định tình trạng xương khớp gối được chụp. Tùy vào vị trí tổn thương mà góc chụp có thể khác nhau (thẳng, nghiêng, chếch,...), mục đích là để dễ quan sát. Qua hình chụp X-quang có thể giúp nhìn thấy các vấn đề về khớp gối, bao gồm:
- Hẹp khe khớp: Các khe và bờ khớp không đồng đều.
- Đặc xương dưới sụn: Gặp ở phần đầu xương nơi tiếp xúc với sụn khớp, qua X-quang cho thấy tại phần xương đặc có một số hốc nhỏ sáng hơn.
- Mọc gai xương: Gai xương được mọc ở phần tiếp giáp giữa xương, sụn và màng hoạt dịch. Qua X-quang có thể nhìn thấy hình ảnh gai xương thô và đặc, một số mảnh rơi ra nằm trong ổ khớp hay phần mềm quanh khớp.
- Tiêu xương: Trong vùng tiêu xương, mật độ cản quang có thể đồng nhất hoặc có vách ngăn, cũng có khi xuất hiện hình vôi hóa hoặc hình nốt cản quang đậm do mảnh xương chết tạo nên.
- Loãng xương: Do mật độ canxi trong xương giảm nên các vân xương và bè xương thường hiện rõ trên phim chụp.
Như vậy, X-quang đóng góp một phần trong chẩn đoán xác định các bệnh lý khớp gối bên cạnh các tiêu chuẩn khác và giúp xác định mức độ bệnh để có hướng điều trị hiệu quả nhất. Ví dụ, trong bệnh thoái hóa khớp, X-quang giúp xác định hình ảnh gai xương bên cạnh các yếu tố khác (chọc dịch khớp để xác định dịch có thoái hóa không, yếu tố tuổi tác > 38 tuổi, bị cứng khớp dưới 30 phút, khó khăn trong vận động...). Hơn nữa, X-quang còn giúp xác định các mức độ thoái hóa khớp, từ đó giúp đưa ra liệu pháp điều trị phù hợp cho từng bệnh nhân:
- Giai đoạn 1: Gai xương nhỏ hoặc nghi ngờ có gai
- Giai đoạn 2: Mọc gai xương nhìn thấy rõ
- Giai đoạn 3: Hẹp khe khớp ở mức vừa
- Giai đoạn 4: Hẹp khe khớp nhiều kèm theo xơ xương dưới sụn
X-quang còn kết hợp với thăm khám bệnh giúp chẩn đoán phân biệt giữa các bệnh lý khớp gối. Đối với viêm khớp dạng thấp sẽ có hình ảnh bào mòn, mất khoáng ở đầu xương thành dải, khe khớp hẹp; bệnh giả gút có hình ảnh vôi hóa sụn khớp, thoái hóa khớp có xuất hiện gai xương...
2. Cần chuẩn bị gì trước khi chụp X-quang khớp gối?
- Trao đổi với bác sĩ về những tác dụng không mong muốn sau chụp X-quang đặc biệt là đối với phụ nữ mang thai và trong độ tuổi sinh sản.
- Trao đổi với bác sĩ về các vấn đề sức khỏe khác đang gặp phải, các loại thuốc đang sử dụng để giữ nguyên, thay thế hoặc ngừng sử dụng trước khi chụp X-quang vì một số loại thuốc có thể gây cản quang.
- Gỡ bỏ các vật dụng nhiễm điện từ ra khỏi cơ thể như đồng hồ, nhẫn,... trước khi vào chụp X-quang.
3. Những đối tượng nào cần chụp X-quang khớp gối?
- Người lớn tuổi: Tuổi tác càng lớn thì khả năng sản xuất và duy trì độ chắc khỏe của xương càng giảm
- Người lao động chân tay: Các công việc lao động nặng nhọc như khuân vác, vận chuyển hàng hóa, ... theo thời gian dễ gây ảnh hưởng chức năng xương khớp
- Người mắc bệnh béo phì: Béo phì làm xương khớp chịu trọng tải lớn, lâu dần vượt quá khả năng chịu đựng gây ra các bệnh xương khớp
- Do cơ địa: Người kém hấp thu vitamin D, khả năng hấp thu dinh dưỡng kém, dễ mắc bệnh nhiễm trùng...
- Người có tiền sử bệnh lý khớp gối: Những người đã mắc các bệnh lý về khớp gối thì nên đi khám lại định kỳ để tầm soát bệnh lý xương khớp
4. Các dấu hiệu sớm của bệnh lý khớp gối
- Đau có tính chất âm ỉ, đau tăng khi vận động, khi thay đổi tư thế, giảm đau về đêm và khi nghỉ ngơi. Cơn đau diễn biến thành từng đợt, dài ngắn khác nhau.
- Hạn chế vận động: Khó khăn trong hoạt động thường ngày như bước lên hoặc xuống cầu thang, đứng dậy, đi bộ trong thời gian dài
- Có tiếng lục khục khi vận động khớp
- Sờ thấy các “chồi xương” ở quanh khớp gặp trong gai xương
- Teo cơ do ít vận động
- Tràn dịch khớp do phản ứng viêm thứ phát của màng hoạt dịch
5. Hình ảnh chụp X-quang trên một số bệnh lý xương khớp điển hình
5.1 Gãy xương
Qua hình ảnh X-quang có thể xác định vị trí, hình thái của ổ gãy. Về vị trí, có thể dựa vào đặc điểm giải phẫu để xác định. Vị trí dễ bị gãy nằm ở 1⁄3 trên, giữa hoặc dưới của đoạn xương. Về hình thái, xác định được đường gãy của xương là gãy ngang, gãy chéo vát, gãy bong sụn tiếp hợp, gãy phạm khớp, hay gãy cành xanh, gãy lún.
5.2 Nhiễm khuẩn xương
Qua hình ảnh X-quang có thể xác định mức độ nhiễm khuẩn xương. Ở giai đoạn đầu, có hình ảnh loãng xương ở vùng hành xương. Trong trường hợp vi khuẩn lan rộng, có thể nhìn thấy hình ảnh các giải mờ chạy dọc theo hai bên thân xương tương ứng với phần xương bị viêm.
Ở giai đoạn tiến triển, có thể nhìn thấy hình ảnh xương dày đậm, bờ xương phì đại, méo mó, giới hạn ống tủy bị thu hẹp. Giai đoạn mạn tính, có thể thấy hình ảnh toàn bộ xương mờ đặc, ống tủy bị che lấp, hoặc thấy các ổ khuyết xương do phẫu thuật nạo vét ổ hoại tử xương tạo nên.
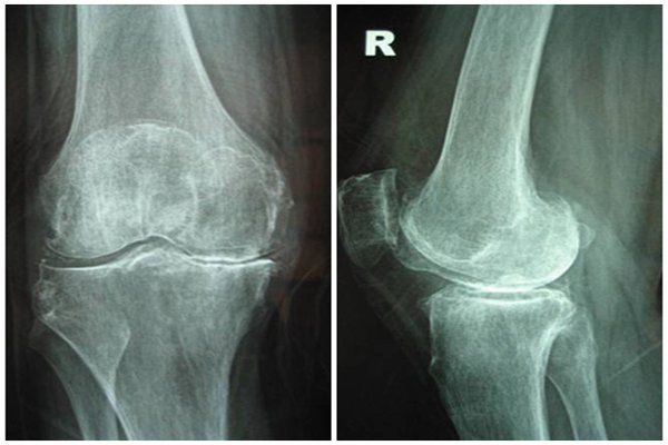
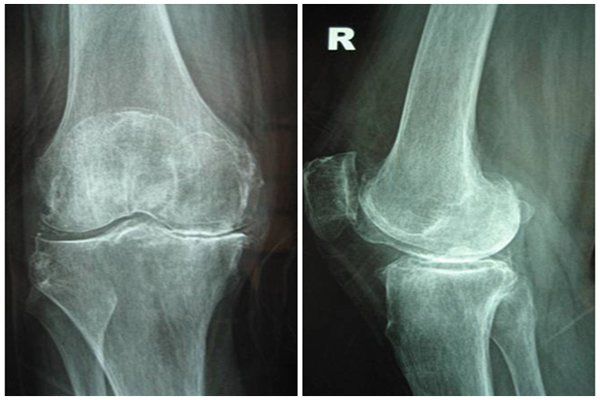
5.3 Thoái hóa khớp
Trên hình ảnh X-quang có thể hình thấy hình ảnh gai xương ở vùng đầu xương, dày đậm xương dưới sụn, hẹp khe khớp và có thể hình thấy một số khuyết xương nhỏ ở đầu xương.
5.4 Bệnh Gout
Hình ảnh điển hình trong bệnh Gout là hẹp khe khớp, gai xương ở đầu xương và các ổ khuyết hình tròn hoặc bầu dục ở giữa hoặc phía trên cạnh đầu xương.
5.5 Viêm tủy xương do vết thương hở
Có hình ảnh xác định chậm liền xương, bờ gãy nham nhở, có thể nhìn thấy phản ứng cốt mạc ở hai đầu ổ gãy.
5.6 Lao xương khớp
Trên X-quang xuất hiện hình ảnh hẹp và mờ khe khớp, loãng xương ở các đầu xương cạnh khớp. Nếu nặng hơn có thể nhìn thấy khe khớp hẹn dần, không còn rõ giới hạn. Đến giai đoạn di chứng, có thể nhìn thấy hình ảnh các khớp dính nhau.
XEM THÊM:
- Đau đầu gối có phải là thoái hóa khớp gối không?
- Các phương pháp điều trị thoái hóa khớp gối
- Điều trị thoái hóa khớp gối bằng huyết tương giàu tiểu cầu
Tổn thương dây chằng chéo trước là thương tổn thường gặp nhất trong nhóm chấn thương khớp gối. Hàng năm, tại Mỹ khoảng 200.000 bị tổn thương dây chằng chéo trước và hơn nửa số đó phải điều trị bằng phấu thuật.
Xương quai xanh có tác dụng rất quan trọng, là nơi treo xương cánh tay vào thân. Gãy xương quai xanh là một chấn thương thường gặp ở vùng vai, trong trường hợp ngã hoặc chấn thương do tai nạn giao thông.
Hội thấp khớp học Hoa Kỳ (American College of Rheumatology, ARC) đã đưa ra một số tiêu chuẩn để chẩn đoán chính xác thoái hóa khớp gối. Những biểu hiện của thoái hóa khớp gối bao gồm: xuất hiện gai xương dưới sụn, mất dần sụn khớp, xơ hóa xương dưới sụn, cử động khớp đau, có tiếng lục khục, lệch trục khớp...
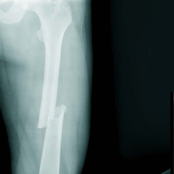
Xương đùi là phần xương chắc khỏe nhất trong cơ thể vì thế phải có lực tác động rất mạnh mới có thể làm gãy thân xương đùi. Xương đùi cũng là xương dài nhất, mỗi vị trí gãy sẽ có đặc điểm và biện pháp xử trí khác nhau.
Viêm khớp dạng thấp là một bệnh khớp mạn tính, đồng thời là bệnh lý tự miễn điển hình với các biểu hiện tại khớp, ngoài khớp và toàn thân ở nhiều mức độ khác nhau, diễn biến phức tạp, gây ra những hậu quả nặng nề cho sức khỏe của người bệnh. Vì là bệnh mạn tính nên người bệnh phải chung sống hòa bình với nó, việc điều trị là để không tổn thương thêm, không dẫn tới tàn phế.
Quá trình chẩn đoán viêm khớp dạng thấp (rheumatoid arthritis) thường mất nhiều thời gian. Ở giai đoạn đầu, các triệu chứng viêm khớp dạng thấp thường giống như triệu chứng của các bệnh khác như bệnh lupus hoặc các bệnh mô liên kết khác.
Loãng xương là tình trạng xảy ra khi mật độ xương bị giảm đáng kể. Điều này khiến xương trở nên yếu hơn và dễ gãy. Tình trạng này thường xảy ra ở người lớn tuổi và có thể làm giảm chiều cao theo thời gian.
Loãng xương là tình trạng khiến xương trở nên yếu và giòn hơn. Viêm khớp là tình trạng khớp bị viêm, gây đau đớn và sưng tấy. Đôi khi, chứng loãng xương có thể là kết quả của chứng viêm khớp do viêm khớp gây cản trở khả năng vận động và ít hoạt động thể chất sẽ khiến xương trở nên kém chắc khỏe. Tuy nhiên, một số loại viêm khớp trực tiếp làm tăng nguy cơ loãng xương.
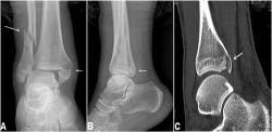
Mắt cá chân là phần xương nhô lên ở vị trí giao cẳng chân với bàn chân. Phần xương nhô lên ở mặt trong của cẳng chân gọi là mắt cá chân trong. Đó thực ra không phải là một xương riêng biệt mà là phần cuối của xương xương chày hay xương ống chân.





