Tật đầu nhỏ ở thai nhi - Những điều mẹ bầu cần biết
1. Tật đầu nhỏ là gì?
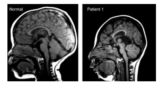
Chẩn đoán tật đầu nhỏ đề cập đến một số em bé có đầu nhỏ khi đo chu vi vòng đầu bằng phương pháp siêu âm trong thai kỳ, hoặc bằng thước quấn quanh đầu sau khi sinh. Nếu chu vi vòng đầu của em bé nhỏ hơn nhiều so với chu vi vòng đầu trung bình của nhóm tuổi hoặc tuần thai thì sẽ được bác sĩ chẩn đoán trẻ mắc dị tật đầu nhỏ.
Thông thường, phép đo sẽ phải có hai độ lệch chuẩn (2SD) dưới mức trung bình, hoặc nhỏ hơn 95% các thai nhi hoặc em bé có cùng độ tuổi thì được coi là tật đầu nhỏ. Siêu âm để xác định tật đầu nhỏ được thực hiện tốt nhất vào tuần thứ 28 hoặc trong 3 tháng cuối thai kỳ.
2. Tật đầu nhỏ ở thai nhi xảy ra như thế nào?
Có một số nguyên nhân tiềm ẩn gây ra tật đầu nhỏ. Bệnh có thể do di truyền nếu cha và/hoặc mẹ bị ảnh hưởng. Bên cạnh đó, các bất thường nhiễm sắc thể như hội chứng Down có thể dẫn đến tật đầu nhỏ.
Ngoài ra, việc mẹ mắc một số bệnh nhiễm trùng trong khi mang thai có thể dẫn đến em bé bị tật đầu nhỏ như các loại nhiễm trùng cytomegalovirus (CMV), rubella, HIV, toxoplasmosis, herpes, giang mai và gần đây nhất là virus Zika. Việc mẹ sử dụng rượu, ma túy, hoặc hút thuốc lá trong thai kỳ hoặc suy dinh dưỡng nặng có thể làm tăng nguy cơ tật đầu nhỏ ở thai nhi.
Đặc biệt, nếu trong quá trình mang thai, người mẹ tiếp xúc với bức xạ ion hóa hoặc kim loại nặng như thủy ngân và asen sẽ gây ra tổn thương não đang phát triển của thai nhi hoặc trẻ sơ sinh, nguyên do này cũng có thể dẫn đến sự khởi phát của tật đầu nhỏ.
XEM THÊM: Trẻ bị tật đầu nhỏ, điều trị thế nào?
3. Mẹ bầu nên làm thêm xét nghiệm để chẩn đoán tật đầu nhỏ ở thai nhi?
Các xét nghiệm bổ sung sẽ được bác sĩ chỉ định nếu nghi ngờ thai phụ có bất thường, nghi ngờ thai nhi mắc dị tật đầu nhỏ. Các đặc điểm khác được quan sát trên siêu âm chi tiết giải phẫu thai nhi có thể gợi ý cho một bệnh lý hoặc hội chứng đặc hiệu. Chụp cộng hưởng từ (MRI) có thể cần thiết trong một số tình huống nhất định định để hỗ trợ xác định nguyên nhân gây ra tật đầu nhỏ.
Trong trường hợp nghi ngờ có bất thường nhiễm sắc thể, xét nghiệm di truyền có thể được thực hiện. Nếu nghi ngờ nhiễm virus, xét nghiệm mẹ và thai nhi bằng cách lấy máu, chọc ối có thể được thực hiện giúp xác định em bé có bị nhiễm hay không?
4. Những điều mẹ bầu cần lưu ý trong thai kỳ?
Thực tế, em bé có thể không có các triệu chứng khác lúc sinh ngoài việc đầu bị nhỏ. Vì tật đầu nhỏ có thể đi kèm với một số tình trạng bệnh nhất định, điều quan trọng là người mẹ cần phải theo dõi tốt thai nhi trong suốt thai kỳ để đảm bảo rằng sự phát triển trẻ được đầy đủ và loại trừ các bất thường cấu trúc giải phẫu khác. Việc theo dõi này có thể đạt được thông qua việc đi khám thai thường xuyên và siêu âm thai định kỳ để theo dõi sự tăng trưởng của thai nhi và các vấn đề khác.
5. Tật đầu nhỏ có ảnh hưởng gì đến em bé khi sinh ra?
Một số trẻ bị tật đầu nhỏ có thể không gây ra bất kỳ triệu chứng nào khác ngoài đầu nhỏ và việc có đầu nhỏ không nhất thiết dự báo về kết cục chức năng của trẻ sau này. Tuy nhiên, một số khác có thể khởi phát các vấn đề tùy thuộc vào nguyên nhân gây ra tật đầu nhỏ như: chậm phát triển tâm thần hoặc học tập khó khăn, các vấn đề về thị giác và/hoặc thính giác kém phát triển, bại não, co giật và tăng động.
Do đó, sau khi sinh trẻ có tật đầu nhỏ thì bạn sẽ được giới thiệu đến một bác sĩ chuyên khoa nhi thần kinh. Họ có thể theo dõi sự tăng trưởng và phát triển liên tục của trẻ và đưa ra kế hoạch điều trị phù hợp với nhu cầu cá nhân. Mặc dù, không có phương pháp điều trị đặc hiệu cho tật đầu nhỏ, nhưng việc can thiệp sớm bằng chương trình kích thích và trò chơi có thể có lợi, cũng như việc phối hợp điều trị với nhân viên y tế chuyên sâu (ví dụ, vật lý trị liệu, nghề nghiệp, hoặc liệu pháp ngôn ngữ...).
6. Tật đầu nhỏ có thể tái mắc?
Khả năng tật đầu nhỏ tái phát ở những lần mang thai tiếp theo tùy thuộc vào nguyên nhân gây ra nó. Tỷ lệ này có thể thay đổi và có thể dao động từ 25% đến 50% tùy thuộc vào việc chỉ một hoặc cả 2 bố mẹ cùng bị ảnh hưởng. Nếu tật đầu nhỏ là do bất thường nhiễm sắc thể như hội chứng Down thì nguy cơ thêm vào chỉ khoảng 1% so với nguy cơ liên quan đến tuổi mẹ. Nếu tật đầu nhỏ là do nhiễm trùng hoặc tiếp xúc với các tác nhân khác, nguy cơ tái mắc ở thai kỳ tiếp theo là rất nhỏ.
Tật đầu nhỏ thai nhi là bệnh lý nguy hiểm, thường có tiên lượng xấu và được phát hiện sớm từ tuần thứ 28 của thai kỳ. Theo đó, khi thai nhi có các dấu hiệu tật đầu nhỏ, người mẹ sẽ cần phải làm các xét nghiệm, thực hiện các phương pháp chẩn đoán để tìm nguyên nhân gây bệnh. Tuy nhiên, do tật đầu nhỏ là dị tật khá hiếm gặp nên thai phụ cần thực hiện chẩn đoán hình ảnh chuyên sâu với bác sĩ đã có kinh nghiệm chẩn đoán dị tật thai nhi từ sớm.
Không chỉ dành cho phụ nữ đã kết hôn hoặc có quan hệ tình dục mới cần phải khám phụ khoa. Trẻ em cũng có thể mắc bệnh phụ khoa nếu không được chăm sóc đúng cách. Do đó, việc khám phụ khoa trẻ em và lưu ý khi đưa trẻ đi khám cũng rất quan trọng.
Suy dinh dưỡng do thiếu protein năng lượng đang là vấn đề quan trọng đối với việc nâng cao sức khỏe của trẻ em các nước đang phát triển và ở Việt Nam hiện nay. Đây là tình trạng bệnh lý theo tác động của sự nhiễm trùng, xảy ra khi chế độ ăn nghèo protein và năng lượng lâu dài, dẫn đến sự chậm phát triển về thể chất cũng như tinh thần của trẻ.
Thông thường chiếc răng sữa đầu tiên mọc khi trẻ được 6 tháng tuổi, và phần lớn trẻ mọc đủ 20 răng sữa (10 răng hàm trên và 10 răng hàm dưới) trước khi lên 3 tuổi. Sau đó các răng sữa rụng dần và sẽ được thay thế bằng răng vĩnh viễn tương ứng. Đây chính là giai đoạn mà các bậc phụ huynh cần theo dõi sát sao sự phát triển răng miệng của con mình.
Viêm nướu răng cấp tính là một trong những bệnh lý phổ biến ở vùng miệng của trẻ. Bệnh thường dễ chẩn đoán và điều trị ở mức độ nhẹ, tuy nhiên có thể nặng hơn nếu không được chữa trị kịp thời. Phát hiện viêm nướu răng sớm sẽ giúp điều trị tốt, ngăn ngừa nguy cơ bệnh tái phát cũng như các ảnh hưởng đến răng, cấu trúc xương và các mô khác.
Trẻ 11 tháng tuổi cực kỳ tò mò với tất cả mọi thứ đang tồn tại. Giờ đây trẻ ngày càng trở nên độc lập hơn bao giờ hết, và những gì phát triển ở trẻ thời điểm này sẽ tiếp tục đi theo trẻ nhiều năm sau này.
Nhỏ nước muối sinh lý cũng không hết ghèn ở mắt bé 10 ngày tuổi thì cần đi khám ở đâu?
Em sinh bé đã được 10 ngày tuổi rồi. Tuy nhiên, từ lúc sinh ra đến giờ mắt bé cứ có ghèn. Em có nhỏ nước muối sinh lý rồi day mắt mà vẫn không thấy đỡ. Em cần cho bé đi khám ở bệnh viện nào thì uy tín ạ? Và bé cần điều trị thế nào, thưa bác sĩ?
- 1 trả lời
- 1123 lượt xem
Hàng ngày nhỏ một giọt vitamin D vào đầu ti cho bé bú có đúng cách không?
Bé nhà em sinh vào đầu tháng 10. Em sinh thường. Tháng 10 nhiều mưa nên bé cũng ít được đi phơi nắng. Hàng ngày em nhỏ một giọt vitamin D3 của hãng Ostelin vào đầu ti cho bé bú. Em làm như vậy có đúng cách chưa và liều lượng có đủ cho bé không ạ?
- 1 trả lời
- 952 lượt xem
Có nên vừa uống thuốc điều trị đau dạ dày, nhiễm khuẩn amíp, virut HP và sán lá gan vừa cho con bú không?
Khi em sinh bé được 25 ngày thì bị nổi mề đay. Em có đi khám thì bác sĩ kết luận em bị đau dạ dày, nhiễm khuẩn amíp, virut HP và sán lá gan. Em được bác sĩ kê các loại thuốc: Tricabendazole, Esomeprazol 40mg (ezdixum), Metronidazol 250mg ( incepdazol 250), Drotaverin 80mg ( Drotusc forte), Levocetirizin 10mg ( Ripratine) và Arginin HCL 500mg (Entraviga). Bác sĩ nói chỉ có Tricabendazole sau khi uống 24h mới được cho bé bú. Còn lại các thuốc khác không ảnh hưởng gì, vẫn có thể cho bé bú bình thường. Tuy nhiên, em về tìm hiểu thì thấy những thuốc này khi đang cho con bú đều không khuyến khích mẹ dùng. Em uống thuốc đã được 2 ngày và cho bé bú bằng sữa công thức. Em rất muốn cho bé bú hoàn toàn bằng sữa mẹ, nên có vắt ra để sau 20 ngày uống thuốc xong sẽ cho bé bú lại. Nhưng càng ngày em thấy sữa càng ít, vắt cũng không được nhiều. Nhiều người làm bên dược thì khuyên em nên dừng uống thuốc, khi nào bé bỏ bú hãy điều trị. Giờ em không biết phải làm thế nào ạ? Bé uống sữa công thức morinaga nhập khẩu thì 3 ngày mới thấy đi ị, mỗi lần đi là rặn đỏ mặt, phân đặc, lọn không cứng. Bé hay đạp tay chân, gồng người lên khi ngủ thì có phải thiếu chất không ạ?
- 0 trả lời
- 855 lượt xem
Bé 7 tháng 7 ngày nặng 8kg khó ngủ và hay tỉnh giấc về đêm có cân điều chỉnh lịch sinh hoạt cho hợp lý hơn không?
Em sinh bé trai nặng 3,7kg. Hiện giờ bé được 7 tháng 7 ngày và nặng 8kg, dài 67,7kg. Bé bú sữa mẹ kết hợp sữa công thức. 4 tháng đầu trộm vía bé ăn ngoan, ngủ ngoan. Nhưng đến tháng thứ 5 bé biếng bú và ít ngủ hẳn đi. Đến nay 7 tháng thì bé ăn 2 bữa bột và 2 bữa sữa. Mỗi bữa tầm 80ml sữa, nhưng ngủ mới chịu bú, thức là bé không bú bình. Đút thìa cũng nhè ra. Em đã thay đổi 3 loại sữa là meiji, morinaga, nan mà vẫn không thay đổi. Cả ngày mà bỉm của bé vẫn nhẹ tênh, nước vàng khè. Em phải làm gì để bé có thể ti bình lúc thức ạ? Còn một vấn đề nữa là bé nhà em bị rụng tóc vành khăn. Từ nhỏ đến giờ bé rất khó ngủ và khi ngủ thì hay thức dậy về đêm. Khi bé được 4 tháng em cho bé đi khám thì bác sĩ cho uống Relacti Extra và kê bổ sung magie, canxi. Bé uống Relacti Extra đã dễ ngủ hơn nhưng đêm vẫn thức dậy. Em cho bé uống Relacti Extra 5 hôm là dừng vì sợ có hại cho bé. Giờ em muốn tiếp tục cho bé uống Relacti Extra trở lại được không ạ? Giờ bé vẫn đang uống ostelin loại canxi kết hợp D3. Lịch sinh hoạt của bé nhà em như sau: Sáng: 7-9h: chơi. 9-10h: ngủ và đút cho ăn 80ml sữa công thức (tỉnh dậy là không ăn). 10-11h30: chơi và tắm. 11h30: ăn dặm 150-200ml cháo. 12h30: ngủ (có hôm không ngủ) 2h-3h: canh cho uống 80ml sữa. 3h: bữa phụ hoa quả (hôm có hôm không) . 6h: ăn 150ml cháo. 9h-10h: ti mẹ. Từ lúc này là lục đục ti mẹ cả đêm và trằn trọc để ngủ. Lịch sinh hoạt của bé như này có cần điều chỉnh gì không ạ?
- 1 trả lời
- 1545 lượt xem
Trẻ hơn 4 tháng tuổi chưa biết với đồ trước mặt, chưa biết quay mặt lại khi mẹ gọi có phải là dấu hiệu của chậm phát triển trí tuệ không?
Hiện bé nhà em đã được 4 tháng 10 ngày tuổi. Nhưng không hiểu sao bé chưa biết quay mặt lại khi nghe mẹ gọi, chưa đòi khi mẹ đi quá, cũng không ê a trò chuyện mà chỉ cười khi mọi người trêu đùa, bé cũng chưa biết với tay để lấy đồ trước mặt ạ. Bé nhà em có những biểu hiện như vậy có phải là dấu hiệu của chậm phát triển trí tuệ không ạ?
- 1 trả lời
- 2570 lượt xem
Bệnh đầu nhỏ Microcephaly là dị tật bẩm sinh, trong đó đầu em bé nhỏ hơn nhiều so với bình thường.
Nếu lòng trắng của một hoặc cả hai bên mắt và mép dưới của một trong hai mí mắt bé có màu đỏ, rất có thể bé đã bị đau mắt đỏ.
Các khuyết tật tim bẩm sinh sẽ làm thay đổi dòng chảy thông thường của máu qua tim. Có nhiều dạng khuyết tật tim bẩm sinh, bao gồm từ các khiếm khuyết đơn giản không có triệu chứng đến các khiếm khuyết phức tạp với các triệu chứng nghiêm trọng, đe dọa đến tính mạng.
Nếu chế độ ăn của trẻ không đầy đủ dinh dưỡng, trẻ kén ăn hoặc hấp thụ dinh dưỡng kém thì nên cho trẻ uống bổ sung vitamin.





