Siêu âm qua thóp ở trẻ em
1. Siêu âm qua thóp được thực hiện như thế nào?
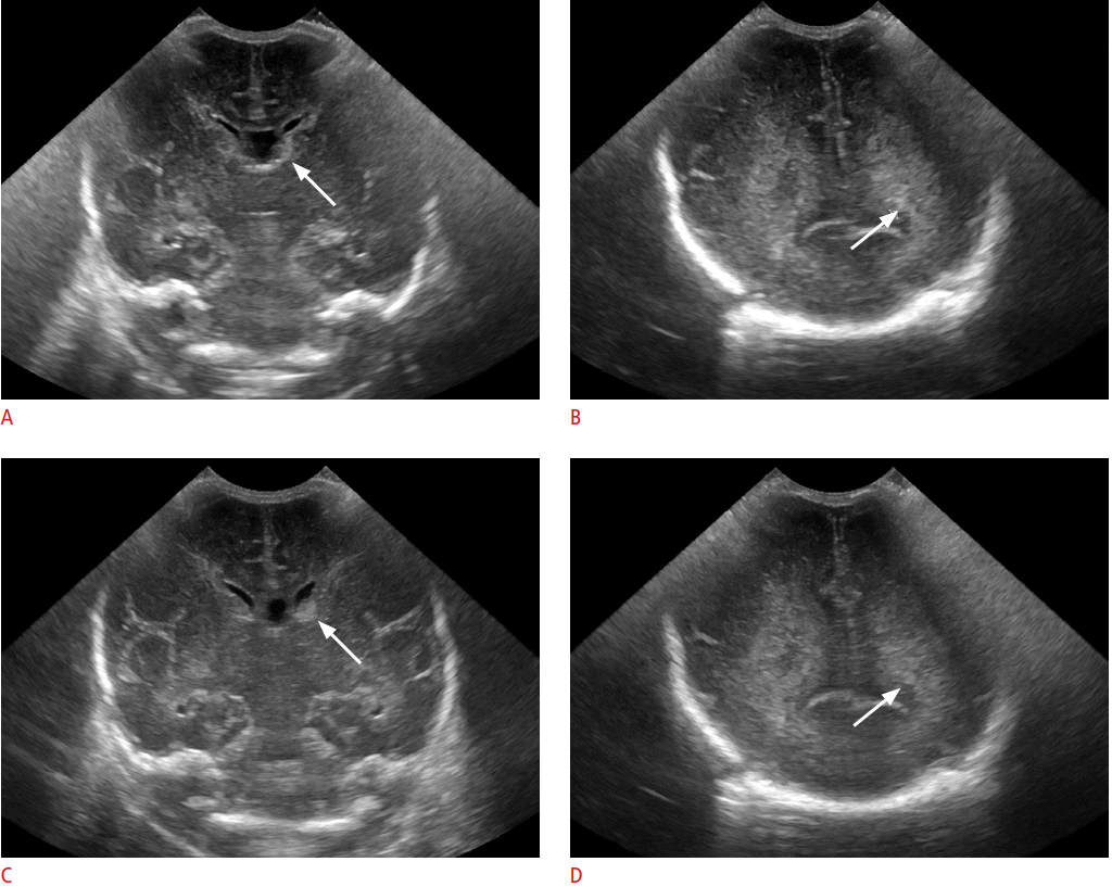
Trong quá trình kiểm tra, một máy siêu âm sẽ phát ra sóng siêu âm vào đầu và hình ảnh được ghi lại trên máy tính. Các hình ảnh đen trắng cho thấy cấu trúc bên trong của não, bao gồm cả nhu mô não, não thất và các mạch máu.
2. Tại sao phải làm siêu âm thóp?
Các bác sĩ đặt siêu âm thóp khi có mối quan tâm về các vấn đề thần kinh ở trẻ sơ sinh. Trẻ sinh non cần được chăm sóc đặc biệt thường xuyên phải siêu âm đầu để loại trừ các biến chứng thần kinh của sinh non, chẳng hạn như xuất huyết não hoặc tổn thương chất trắng quanh não thất do ngạt.
Bác sĩ cũng có thể yêu cầu siêu âm đầu cho em bé với:
- Tăng kích thước đầu bất thường
- Thóp phồng
- Bất kỳ triệu chứng thần kinh
Siêu âm đầu thường có thể giúp chẩn đoán:
- Chảy máu trong mô não hoặc trong não thất
- Não úng thủy
- Một khối trong não, chẳng hạn như khối u hoặc u nang
- Nghi ngờ biến chứng viêm màng não
3. Chuẩn bị trước khi làm siêu âm thóp
Bạn không cần phải làm gì đặc biệt để chuẩn bị cho con bạn siêu âm đầu. Bạn nên nói với bác sỹ về bất kỳ loại thuốc nào con bạn đang dùng trước khi làm siêu âm.
4. Thực hiện siêu âm
Siêu âm thóp sẽ được thực hiện tại khoa X quang của bệnh viện hoặc trong một trung tâm X quang. Cha mẹ thường có thể đi cùng con để trấn an và hỗ trợ.
Nếu con bạn đang ở trong bệnh viện và không thể dễ dàng được đưa đến khoa X quang, một máy siêu âm cầm tay có thể được mang đến đầu giường. Điều này thường được thực hiện trong đơn vị chăm sóc đặc biệt cho trẻ sơ sinh (NICU).
Siêu âm thóp có thể được thực hiện với em bé trên bụng hoặc lưng, hoặc thậm chí trong vòng tay của cha mẹ, nếu cần thiết. Căn phòng thường tối để có thể nhìn rõ hình ảnh trên màn hình máy tính. Bác sỹ siêu âm sẽ trải một lớp gel trong, ấm lên da đầu của bé. Gel này giúp truyền sóng âm thanh.
Bác sỹ siêu âm sau đó sẽ di chuyển đầu dò trên gel. Đầu dò phát ra sóng âm tần số cao và máy tính đo cách sóng âm dội lại từ đầu. Máy tính thay đổi những sóng âm thanh đó thành hình ảnh cần phân tích. Quá trình thăm khám thường mất 15-30 phút.
5. Lợi ích so và rủi ro?
Những lợi ích:
- Hầu hết quét siêu âm là không xâm lấn.
- Đôi khi, kiểm tra siêu âm có thể tạm thời không thoải mái, nhưng nó không gây đau.
- Siêu âm phổ biến, dễ sử dụng và ít tốn kém hơn so với hầu hết các phương pháp chẩn đoán hình ảnh khác.
- Hình ảnh siêu âm cực kỳ an toàn và không sử dụng bức xạ.
- Quét siêu âm cho hình ảnh rõ ràng về các mô mềm không hiển thị tốt trên hình ảnh X quang.
Rủi ro
- Siêu âm thóp không có tác dụng có hại cho trẻ em.
6. Những hạn chế của siêu âm sọ là gì?
Kiểm tra siêu âm rất nhạy cảm với chuyển động, và một đứa trẻ hoạt động hoặc khóc sẽ làm chậm quá trình kiểm tra. Bạn có thể cho bé ăn, hoặc cung cấp một núm vú giả hoặc đồ chơi yêu thích cho thoải mái.
Không chỉ dành cho phụ nữ đã kết hôn hoặc có quan hệ tình dục mới cần phải khám phụ khoa. Trẻ em cũng có thể mắc bệnh phụ khoa nếu không được chăm sóc đúng cách. Do đó, việc khám phụ khoa trẻ em và lưu ý khi đưa trẻ đi khám cũng rất quan trọng.
Suy dinh dưỡng do thiếu protein năng lượng đang là vấn đề quan trọng đối với việc nâng cao sức khỏe của trẻ em các nước đang phát triển và ở Việt Nam hiện nay. Đây là tình trạng bệnh lý theo tác động của sự nhiễm trùng, xảy ra khi chế độ ăn nghèo protein và năng lượng lâu dài, dẫn đến sự chậm phát triển về thể chất cũng như tinh thần của trẻ.
Thông thường chiếc răng sữa đầu tiên mọc khi trẻ được 6 tháng tuổi, và phần lớn trẻ mọc đủ 20 răng sữa (10 răng hàm trên và 10 răng hàm dưới) trước khi lên 3 tuổi. Sau đó các răng sữa rụng dần và sẽ được thay thế bằng răng vĩnh viễn tương ứng. Đây chính là giai đoạn mà các bậc phụ huynh cần theo dõi sát sao sự phát triển răng miệng của con mình.
Viêm nướu răng cấp tính là một trong những bệnh lý phổ biến ở vùng miệng của trẻ. Bệnh thường dễ chẩn đoán và điều trị ở mức độ nhẹ, tuy nhiên có thể nặng hơn nếu không được chữa trị kịp thời. Phát hiện viêm nướu răng sớm sẽ giúp điều trị tốt, ngăn ngừa nguy cơ bệnh tái phát cũng như các ảnh hưởng đến răng, cấu trúc xương và các mô khác.
Trẻ 11 tháng tuổi cực kỳ tò mò với tất cả mọi thứ đang tồn tại. Giờ đây trẻ ngày càng trở nên độc lập hơn bao giờ hết, và những gì phát triển ở trẻ thời điểm này sẽ tiếp tục đi theo trẻ nhiều năm sau này.
Trẻ 6 tháng tuổi có nổi gờ xương trên đỉnh đầu là do thóp chưa liền hay bị làm sao?
Bé nhà em đang được 6 tháng. Tuy nhiên trên đỉnh đầu của bé lại có cái gờ xương nổi lên. Khi bé được 5 tháng rưỡi thì em cho bé đi khám ở khoa Thần Kinh ở bệnh viện Xanh Pôn. Bác sĩ kết luận là thóp đầu của bé chưa liền hẳn, khi nào bé được 1 tuổi thì đến khám lại. Em rất lo, không biết bé như vậy có bị làm sao không ạ?
- 1 trả lời
- 1429 lượt xem
Trẻ 8 ngày tuổi nằm điều hòa 28 độ mà không đội mũ thóp có được không?
Em sinh thường bé gái ở bệnh viện Từ Dũ khi thai được 37-38 tuần. Bé nặng 2,6kg. Sau 3 ngày thì em được về nhà. Hiện giờ bé đã được 8 ngày tuổi. Bé nhà em ban ngày thì ngủ rất nhiều, đánh thức bé cũng không dậy mà ngủ liền một mạch 5-6 tiếng. Ban đêm thì bé lại ngủ ít hơn, cứ 2-3 tiếng lại dậy đòi bú rồi quấy khóc. Do em ít sữa nên phải vắt ra bình cho bé bú. Bé bú rất nhanh, 70-80ml sữa hết vèo trong 5 phút. Bé bú nhanh như vậy có ảnh hưởng gì không ạ? Bú xong bé lại nấc cụt. Em có vỗ ợ hơi nhưng nấc xong lại đòi bú tiếp. Bé thường xuyên bị nấc cụt, cả khi đang ngủ, nằm và khi ti xong ạ. Khi ngủ thì bé hay vươn tay chân, uốn éo, vặn mình. Khi chơi thì bé cười nhiều, thậm chí tiêm hay bấm lỗ tai cũng không la khóc ạ. Hiện trên đầu, cổ, lưng của bé vẫn còn nổi đốm trắng như sảy và em mở điều hóa 28 độ mà không cần đội mũ thóp cho bé có được không ạ?
- 1 trả lời
- 3077 lượt xem
Tháng thứ mấy thì thóp của trẻ sơ sinh mới cứng?
Em sinh đôi hai con gái lúc thai được 34 tuần. 1 bé nặng 1,95kg, 1 bé nặng 1,7kg. Hiện các bé đã được 10 tháng 5 ngày và cân nặng lần lượt là 8,1kg và 7,7kg. Đến nay thóp của 2 bé nhà em vẫn rất mềm, không biết đến tháng thứ mấy mới cứng ạ?
- 1 trả lời
- 1225 lượt xem
Thóp đầu của bé 5,5 tháng tuổi bị lõm có phải do thiếu nước không?
Thóp đầu của bé nhà em bị lõm. Có phải do cháu bị thiếu nước không ạ? Bé nhà em đang 5,5 tháng ạ. Nếu cần bổ sung nước thì em phải bổ sung cho cháu thế nào? Em cho bé bú mẹ hoàn toàn.
- 1 trả lời
- 1956 lượt xem
Trẻ sinh thiếu tháng chưa được chích ngừa lao và viêm gan siêu vi B thì cần làm gì?
Bé nhà em sinh thiếu tháng. Khi sinh ra bé phải nhập viện ở khoa sơ sinh. Hiện giờ bé đã được về nhà rồi. Tuy nhiên, trong giấy ra viện em thấy mũi lao và viêm gan siêu vi B bé vẫn chưa được chích ngừa. Như vậy là bé nhà em đã tiêm mũi vắc xin nào chưa ạ? Và khi nào thì em cho bé đi tiêm?
- 1 trả lời
- 973 lượt xem
Sốt xuất huyết là nguyên nhân hàng đầu gây ra bệnh tật và tử vong ở vùng nhiệt đới và cận nhiệt đới.
Sốc phản vệ xảy ra khi hệ thống miễn dịch nhầm lẫn, phản ứng với một chất vô hại như thể nó là một mối đe dọa nghiêm trọng. Điều này kích hoạt cơ thể giải phóng histamin và các hóa chất khác, gây ra một số triệu chứng - một số trong đó có thể đe dọa tính mạng.
Luôn phải tham vấn ý kiến bác sĩ trước khi cho con hoặc trẻ mới biết đi uống bất kỳ loại thuốc nào, đặc biệt nếu đó là lần đầu tiên. Trẻ nhỏ có nhiều khả năng xảy ra phản ứng phụ với thuốc hơn so với người lớn, vì vậy cho trẻ dùng thuốc theo toa hoặc không kê toa (OTC) - ngay cả thuốc "tự nhiên" hoặc "thảo dược" - là việc làm cần hết sức thận trọng.
Nguyên nhân thường gặp nhất khiến trẻ đau họng là gì? Khi bé đau họng bố mẹ cần làm gì? Hãy cùng tìm hiểu qua bài viết dưới đây!
Nếu bạn đang cảm thấy đầy tội lỗi khi để bé ở nhà cửa bị nhiễm khuẩn, để chó cưng chơi đùa trên người bé và không giữ nhà cửa luôn sạch sẽ, thì có lẽ không cần phải lo lắng nhiều đến thế.





