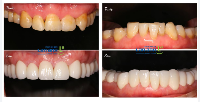
Răng sứ cũ bị hở kẽ không chỉ làm mất đi vẻ đẹp tự nhiên của nụ cười mà còn có thể gây ra những vấn đề sức khỏe răng miệng như dễ tích tụ vi khuẩn gây viêm nướu, nhét thức ăn khó vệ sinh... và nhiều vấn đề khác nếu không được khắc phục kịp thời.
Dựa trên đánh giá của bác sĩ có chuyên môn cao tại nha khoa Lan Anh, vệc thay răng sứ mới không chỉ là một quy trình thẩm mỹ mà còn là một phần quan trọng của việc duy trì sức khỏe răng miệng với các lợi ích: Xem thêm bọc răng sứ
Khôi phục nụ cười rạng rỡ và tự tin hơn.
Cải thiện chức năng ăn nhai.
Phòng ngừa vấn đề sức khỏe răng miệng.
Mời bạn tham khảo hình ảnh của bệnh nhân đã làm sứ cũ nơi khác được phục hình lại sứ mới tại nha khoa Lan Anh chi nhánh 61 Nguyễn Cơ Thạch, An Lợi Đông - TP. Thủ Đức.
Có thể khắc phục được tình trạng răng chen chúc xô lệch mà không cần nhổ răng không?
Tôi 23 tuổi và đang cân nhắc đến việc niềng răng để khắc phục tình trạng răng mọc khấp khểnh. Tôi đã đến gặp hai bác sĩ nha khoa thẩm mỹ và họ đều nói là cần phải nhổ răng nhưng tôi lại không muốn vậy. Hàm dưới của tôi gần như hoàn hảo nhưng tôi có tật nghiến răng vào ban đêm. Vậy tôi muốn hỏi là có thật sự cần phải nhổ răng hay không?
Niềng răng trong suốt Invisalign có khắc phục được khớp cắn sâu không?
Niềng răng trong suốt Invisalign có hiệu quả với khớp cắn sâu và răng hô không?
Niềng răng trong suốt invisalign có thể khắc phục được vấn đề khớp cắn chéo phía sau không?
Niềng invisalign có thể khắc phục được vấn đề khớp cắn chéo phía sau không?
Mài kẽ răng có khắc phục được khớp cắn sâu không?
Trước đây tôi đã từng niềng răng rồi nhưng vẫn chưa chữa được hết vấn đề khớp cắn sâu và hai răng cửa của tôi cũng to nữa. Liệu giờ mà mài bớt răng đi thì có khắc phục được vấn đề không?
Dán răng bonding có phải là giải pháp vĩnh viễn và nhanh chóng để khắc phục vấn đề răng thưa không?
Hai răng cửa của tôi có kẽ hở khoảng 3mm và tôi đang tìm một phương pháp cho hiệu quả vĩnh viễn và nhanh chóng. Tôi có nên chọn phương pháp dán bonding không? Ngoài ra, tôi có đọc được về khâu cao su cũng có tác dụng kéo các răng lại gần nhau, tôi có nên sử dụng không?
Bấm mí và cắt mí là hai loại hình thẩm mỹ mắt nhẹ nhàng nhưng hiệu quả thẩm mỹ mang đến lại rất cao, chính vì thế chiếm được sự ưu ái tin dùng của không ít giới mộ điệu.
Bên cạnh một nụ cười đẹp, việc niềng răng cho trẻ nhỏ sẽ đem lại những lợi ích mà bạn chưa hề nghĩ đến ví dụ như kết quả ổn định hơn, cải thiện tình trạng sức khỏe tổng thể và tăngsự tự tin cho trẻ.
Mặc dù một số loại xịt thơm miệng có thể gây hại cho răng trong quá trình đeo niềng nhưng các loại sản phẩm xịt không chứa đường và không chứa cồn có thể sử dụng được với niềng trong suốt Invisalign.
Cấy tóc FUE là phương pháp lấy các cụm nang tóc từ những khu vực có nhiều tóc và chuyển đến những khu vực thiếu tóc. Khác với cấy tóc FUT, cấy tóc FUE không cần cắt dải da đầu và không cần tách nang tóc dưới kính hiển vi.
Những điều cần biết về cấy tóc cho nữ giới










