Cách nhận biết viêm lợi có mủ - Nha khoa Đăng Lưu

Cách nhận biết viêm lợi có mủ
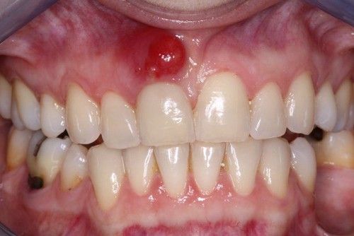
Muốn có cách trị bệnh viêm lợi có mủ nhanh thì bạn không nên bỏ qua bước chuẩn đoán bệnh, có thể nhận biết bệnh dễ dàng qua một số triệu chứng như sau:

Mỗi bệnh nhân sẽ cho ra kết quả khác nhau tùy thuộc vào cơ địa và tình trạng của mỗi người


Cách nhận biết mụn trứng cá do nội tiết?
Tôi năm nay 30 tuổi, và thường bị mụn ở vùng dưới cằm, quanh quai hàm- phần dưới của mặt, thỉnh thoảng lan xuống cổ. Mụn cũng thường nặng hơn khi tôi gần đến chu kỳ kinh. Liệu đó có phải là mụn trứng cá do nội tiết không ?
Cách nhận biết khi bị dị ứng với Juvederm?
Sau khi tiêm filler Juvederm,môi tôi bị chảy máu, nứt nẻ, đau và nổi cục trong 3 tuần, lợi bị chảy máu quanh răng trong 1 tuần, mũi và vùng má bị lệch trong hơn 5 tuần, môi bị chuyển màu xanh đen trong 10 ngày, một bên môi trên bị xệ có các hạt cứng. Mặt tôi trông rất kinh khủng trong suốt hơn 3 tuần và tôi phải ở nhà trong suốt thời gian đó. Tôi lo mình bị dị ứng và không muốn phải tiêm tan bằng hyaluronidase. Tại sao tôi lại bị như thế? Có phải do dị ứng với Juvederm không? Bức ảnh này được chụp sau khi tiêm 5 ngày và sau đó, tình hình tệ hơn thế rất nhiều.
Có cách nào chữa môi bé thâm, nhăn mà không cần phẫu thuật không?
Môi bé của tôi bị nhăn và thâm – tôi cảm thấy rất không thoải mái. Điều này làm tôi không dám quan hệ. Như thế có bình thường không? Có cách nào giải quyết được mà không cần phẫu thuật không?
Túi độn ngực Mentor có đang vào vị trí một cách bình thường không?
Tôi mới phẫu thuật nâng ngực bằng túi Mentor gel silicone 500cc, độ nhô trung bình, đặt bên dưới cơ ngực và đường rạch gần nách. Hiện tại đã là 2 tháng 1 tuần sau mổ. Tôi muốn biết là túi độn có còn tiếp tục xuống thấp nữa không? Tôi vẫn đang đeo băng thun và mát-xa. Tôi lo là khoang chứa túi độn của mình sẽ hình thành sẹo hoặc đóng lại trước khi túi độn có thể xuống thấp hơn. Có cách nào để làm cho túi độn vào vị trí cuối cùng nhanh hơn không? Nếu tôi ấn mạnh xuống dưới thì có tác dụng không?
Cách loại bỏ da thừa nhăn nheo chảy xệ sau khi mang thai?
Liệu Combo ngực bụng Mommy Makeover có loại bỏ hết da thừa lỏng lẻo cho phụ nữ sau sinh không?
Co thắt bao xơ là biến chứng thường gặp nhất sau nâng ngực, quan trọng là cần nhận biết các dấu hiệu để xử lý sớm
Da không nhiễm sắc tố là loại da bị thiếu đi các sắc tố có chức năng bảo vệ, gọi là hắc sắc tố melanin.
Ngay cả khi không điều trị được tận gốc chứng rụng tóc kiểu hói ở phụ nữ FPHL, nhưng ta vẫn có cách để giảm rụng tóc, kích thích tóc mọc trở lại, cứng cáp hơn nhờ sử dụng thuốc và phục hồi tóc theo cách khác.
Viêm da đầu là một trong những nguyên nhân khiến da đầu bị bong tróc các mảng vảy trắng trông giống như gàu. Những mảng vảy trắng này bám trên da đầu, tóc và rụng xuống quần áo, gây mất tự tin. Viêm da đầu còn gây ra các triệu chứng khó chịu khác như ngứa ngáy và khiến người bệnh phải gãi đầu liên tục.
Mụn trứng cá ở người trưởng thành cũng là vấn đề phổ biến. Có nhiều nguyên nhân dẫn đến tình trạng da liễu này.











