1

Ca niềng răng số 5071 - Nha khoa Bauman Clinic

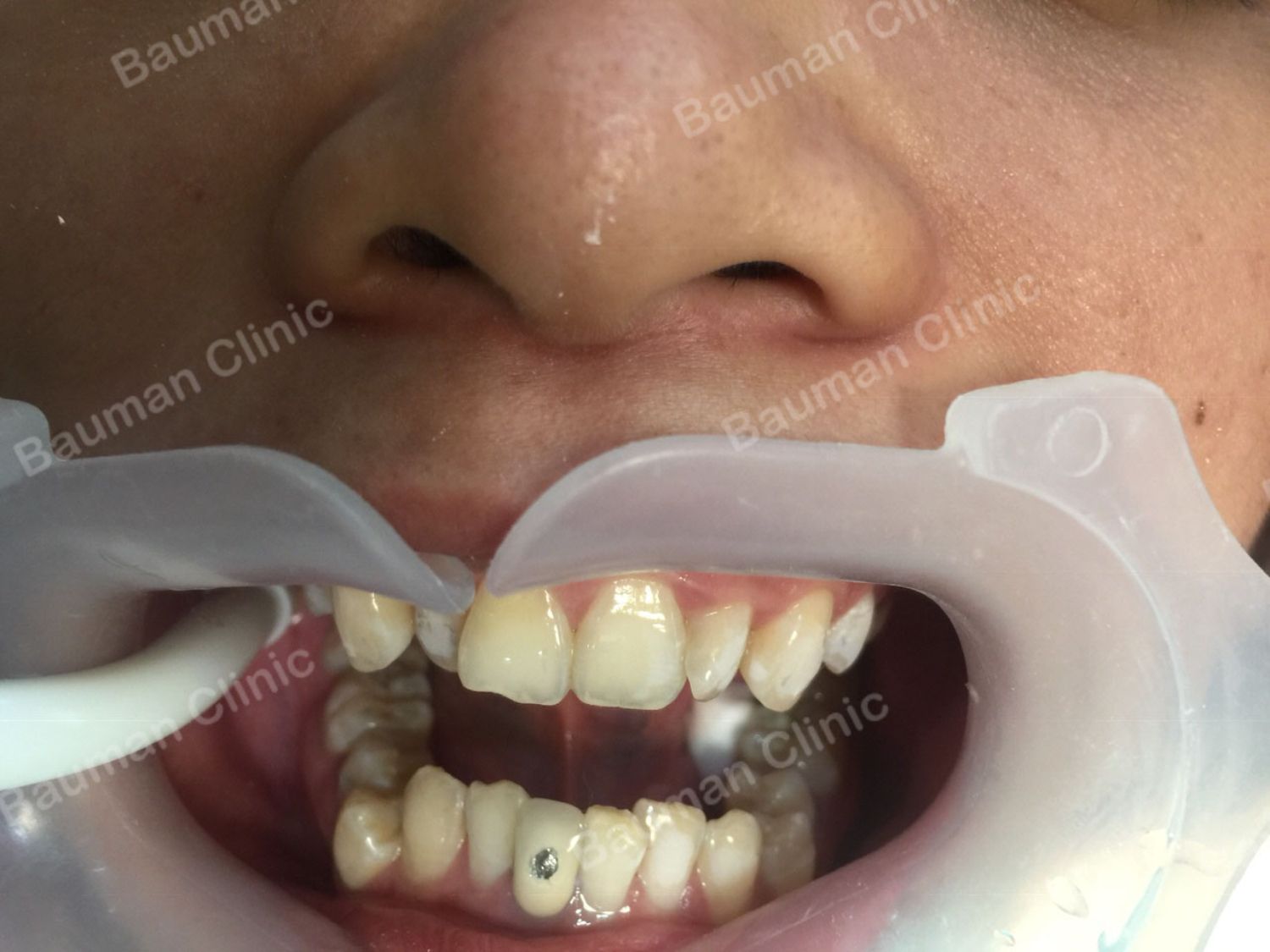
Ca niềng răng số 5071: Răng khấp khểnh, khớp cắn sâu, hàm trên che lấp toàn bộ nhóm răng cửa hàm dưới.

Thời gian niềng răng dự kiến khoảng 2 năm.

Nha khoa Bauman Clinic - Hotline 0981298165

Bác sĩ chỉnh nha kinh nghiệm trên 5000 ca niềng răng. Trực tiếp bác sĩ chỉnh nha nắn chỉnh răng cho bạn từ A-Z.

Đ/c: Số 60 LK6B Làng việt kiều châu Âu, Hà Đông, Hà Nội.

#nhakhoabauman #niengrangbauman #niengrang #baumanclinic

1

2

4

5

 

Tổng số điểm của bài viết là: 20 trong 4 đánh giá

Click để đánh giá bài viết
Blog khác của bác sĩ
Hỏi đáp có thể bạn quan tâm

Có thể dùng niềng răng trong suốt Invisalign sau khi niềng răng truyền thống không?

 7 năm trước
 4
 Đã xem 3808

Tôi đã dùng niềng răng kim loại (có mắc cài) để điều chỉnh vấn đề răng hô và thu hẹp răng thưa nhưng sau khi tháo niềng tôi lại không dùng hàm duy trì. Vì thế, hiện tại các răng lại bắt đầu xuất hiện khoảng trống. Tôi đã tháo niềng được vài năm và không biết bây giờ nên làm gì. Liệu niềng răng trong suốt Invisalign (không mắc cài) có phải là giải pháp tốt nhất đối với vấn đề của tôi không? Tôi có thể cần dùng hàm duy trì không?

Lựa chọn niềng răng truyền thống hay niềng Invisalign đối với răng khấp khểnh, thưa và khớp cắn sâu?

 7 năm trước
 5
 Đã xem 2746

Răng của tôi bị khấp khểnh ở hàm dưới, thưa và chìa ra ở hàm trên, đồng thời, hàm trên nhô ra ngoài so với hàm dưới. Tôi nên chọn phương pháp niềng răng truyền thống có mắc cài hay niềng răng trong suốt Invisalign? Quá trình điều trị sẽ kéo dài bao lâu?

Sự khác nhau giữa niềng răng trong suốt invisalign và niềng răng truyền thống?

 7 năm trước
 30
 Đã xem 3406

Tôi xem trên tivi và internet, thấy nói hiệu quả của niềng răng trong suốt invisalign và niềng răng kim loại có mắc cài là tương đương nhau. Các bác sĩ có thể giải thích về sự khác nhau của 2 phương pháp niềng răng này được không?

Video có thể bạn quan tâm
CẬN CẢNH QUÁ TRÌNH NIỀNG RĂNG TỪ A - Z CẬN CẢNH QUÁ TRÌNH NIỀNG RĂNG TỪ A - Z 02:06
CẬN CẢNH QUÁ TRÌNH NIỀNG RĂNG TỪ A - Z
Niềng răng được xem là giải pháp nắn chỉnh răng phổ biến & hiệu quả được áp dụng rộng rãi trên toàn thế giớiXuất hiện rất sớm từ đầu thế kỷ 19, niềng...
 6 năm trước
 13361
Cơ chế hoạt động của niềng răng mắc cài kim loại Cơ chế hoạt động của niềng răng mắc cài kim loại 04:48
Cơ chế hoạt động của niềng răng mắc cài kim loại
Sở dĩ chúng ta có thể di chuyển răng là vì răng không thực sự hợp nhất hay là một phần của cấu trúc xương mà chỉ được giữ bên trong xương hàm và bạn...
 5 năm trước
 7949
HIỆU QUẢ CỦA CHUN LIÊN HÀM ĐỐI VỚI NIỀNG RĂNG HIỆU QUẢ CỦA CHUN LIÊN HÀM ĐỐI VỚI NIỀNG RĂNG 00:48
HIỆU QUẢ CỦA CHUN LIÊN HÀM ĐỐI VỚI NIỀNG RĂNG
?Chun liên hàm là loại cao su y tế không mùi, không vị có độ đàn hồi tốt, được nha sĩ chỉ định sử dụng trong một vài trường hợp niềng răng và trong 1...
 6 năm trước
 7598
Sử dụng chun trong chỉnh nha Sử dụng chun trong chỉnh nha 01:13
Sử dụng chun trong chỉnh nha
Nguồn: Nha khoa Thùy Anh
 6 năm trước
 6452
Thun buộc và dây ligature trong niềng răng Thun buộc và dây ligature trong niềng răng 05:09
Thun buộc và dây ligature trong niềng răng
Video này Dr.Greg sẽ chỉ ra sự khác biệt giữa các loại thun buộc có màu và dây buộc bằng thép.Dây cung có khả năng trở lại hình dạng ban đầu nên khi...
 5 năm trước
 6241
Tin liên quan
Mụn trứng cá và khoa học của Nitric Oxide
Mụn trứng cá và khoa học của Nitric Oxide

Sử dụng oxit nitric để khai thác khía cạnh chống viêm cơ thể của bạn dường như là một cái gì đó của một sự thay đổi mô hình trong việc chống lại mụn.

Chất khóa ẩm trong chăm sóc da là gì?
Chất khóa ẩm trong chăm sóc da là gì?

Các chất khóa ẩm giúp giữ cho làn da đủ ẩm bằng cách ngăn cản hiện tượng mất nước qua da (transepidermal water loss).

Lựa chọn niềng răng kim loại hay niềng răng trong suốt invisalign?
Lựa chọn niềng răng kim loại hay niềng răng trong suốt invisalign?

Chắc chắn nhiều người sẽ cảm thấy đắn đo khi phải lựa chọn giữa niềng kim loại truyền thống và niềng không mắc cài Invisalign vì cả đều cho ra kết quả cuối cùng tương đương nhau.

Đối tượng của niềng răng kim loại và niềng răng trong suốt invisalign
Đối tượng của niềng răng kim loại và niềng răng trong suốt invisalign

Niềng kim loại và niềng trong suốt Invisalign là những khí cụ nha khoa được dùng để nắn chỉnh răng và hàm dành cho mọi lứa tuổi, từ 7 đến 70 tuổi. Mặc dù vậy nhưng mỗi nhóm đối tượng lại phù hợp nhất với một loại niềng khác nhau.

Dr Duy Thành

 

Bạn đã không sử dụng Site, Bấm vào đây để duy trì trạng thái đăng nhập. Thời gian chờ: 60 giây