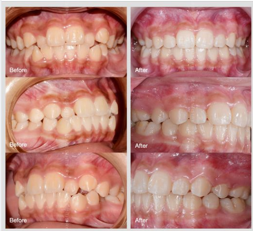
Ca lâm sàng - niềng răng chỉnh hô, tháo mắc cài sau hơn 18 tháng
TRƯỚC ĐIỀU TRỊ: Khách hàng 14 tuổi đến nha khoa với tình trạng hô từ đó làm cho khuôn mặt thiếu cân đối, răng 2 hàm nhô ra phía trước, gặp một số khó khăn trong ăn nhai.
CHỈ ĐỊNH ĐIỀU TRỊ:
Chỉnh nha mắc cài kim loại thường
Tái khám: 1 tháng một lần
Dự đoán thời gian hoàn thành: 16 – 20 tháng
KẾT QUẢ SAU ĐIỀU TRỊ: Tình trạng hô được khắc phục triệt để, khớp cắn chuẩn, răng đều, cung răng đẹp, răng sát khít; Sức nhai khỏe; Khuôn mặt cân đối, thẩm mỹ cải thiện rõ rệt.
![]()
Để được tư vấn chuyên sâu về dịch vụ nha khoa hoặc đặt hẹn khám với bác sĩ, Quý khách hàng vui lòng liên hệ qua các kênh:
????? ???????
??̣? ??????? tư vấn: 0978 563 565 / 0942 563 565
HỆ THỐNG NHA KHOA PEACE DENTISTRY:
Giấy phép hoạt động Sở Y Tế số: 05206/SYT-GPHĐ
CS1: 563 – 565 Trần Hưng Đạo, P.Cầu Kho, Quận 1, TP.HCM - Hotline: 0978.563.565
CS2: 147 Nguyễn Thiện Thuật, Phường 1, Quận 3, TP.HCM - Hotline: 0942.563.565
CS3: 8B Nguyễn Ái Quốc, P.Tân Tiến, Biên Hòa, Đồng Nai - Hotline: 1800 1015
CS4: 69/1, Phạm Văn Thuận, Bình Đa, Biên Hòa, Đồng Nai - Hotline: 1800 1015
CS5: 439 Quốc Lộ 1A, KP9, P.Tân Biên, Biên Hòa, Đồng Nai - Hotline: 1800 1015
Mắc cài hay Invisalign hiệu quả hơn cho răng khấp khểnh vùng răng cửa và có hô ở mức trung bình
Xin chào các bác sỹ Sau khi đi tư vấn, các nha khoa đều đưa ra cho em 2 lựa chọn niềng mắc cài hoặc máng invisalign đều được. Em xin hỏi phương pháp nào cho hiệu quả chỉnh nha tối ưu và tiết kiệm thời gian cũng như an toàn nhất cho trường hợp của em. Em xin cảm ơn
Nâng mũi 15 ngày tháo nẹp hơi lệch, dùng ngón tay cái ấn đẩy sang bên có hết không?
Em mới nâng mũi được 15 ngày tháo nẹp ra hơi lệch sang 1 xíu, bác sĩ bảo về lấy 2 ngón cái ấn và đẩy mũi sang sẽ hết lệch? Liệu làm như thế mũi có vào form không ạ, hay cần phải nẹp thêm gì không ạ? Em mới nâng mũi lần đầu nên sợ sau phải tháo ra sửa lại lắm
Tôi đang bị tụ dịch, y tá nói tôi có thể tập luyện từ bây giờ, có thể mặc đồ nịt hoặc không cần mặc – điều đó có chính xác không?
19 ngày trước tôi đã làm hút mỡ. Một tuần sau phẫu thuật, tôi bị tụ dịch và đi rút được 400 ml. Một tuần sau đó, tức 3 ngày trước thì đi rút lần hai, rút được 30 ml. Y tá nói tôi cần duy trì mặc đồ nịt gần như mọi lúc, nhưng hiện tại thì không có hạn chế gì và tôi có thể tập nâng tạ nhẹ và tập cardio. Tôi chỉ làm việc với một mình chị y tá này, chị ấy nắm rõ bệnh sử của tôi. Vẫn còn sót một ít dịch trong khu vực đó nhưng không có diễn biến gì xấu vì tôi mới rút dịch 3 ngày trước. Thông tin mà y tá đưa ra có chính xác không? Tôi không muốn làm mọi chuyện tệ hơn nếu đó là thông tin không chính xác. Cảm ơn các bác sĩ.
Máng chỉnh răng số 1 bị mất sau hai ngày. Tôi có thể chuyển sang máng số 2 luôn không?
Tôi mới dùng niềng răng trong suốt invisalign được hai ngày nhưng đã làm mất máng chỉnh răng hàm trên của bộ số 1. Tôi cảm thấy bộ số 2 vừa với cả hai hàm, vậy tôi có thể chuyển sang dùng bộ số 2 luôn không.
Tôi cắt mí nay đã được 1,5 tháng nhưng phần mí trên của tôi bị thâm đen lại, đổi màu so với phần da của tôi và khoé mắt trong bên phải của tôi bị cắt dài tay vào trong hơn nên bây giờ mặt tôi nhìn lệch sang trái. Vậy có cách nào thu gọn lại khoé mắt
Tôi cắt mí nay đã được 1,5 tháng nhưng phần mí trên của tôi bị thâm đen lại, đổi màu so với phần da của tôi và khoé mắt trong bên phải của tôi bị cắt dài tay vào trong hơn nên bây giờ mặt tôi nhìn lệch sang trái. Vậy có cách nào thu gọn lại khoé mắt trong và khôi phục màu da mí mắt không bác sỹ?
1 tháng tóc dài ra bao nhiêu cm? Để tóc dài nhanh hơn thì cần phải nuôi dưỡng tóc từ cả bên trong lẫn bên ngoài. Bạn cần phải chú ý đến chế độ dinh dưỡng, tránh các tác nhân gây hại cho tóc và kết hợp sử dụng sản phẩm chăm sóc tóc phù hợp.
Bung mắc cài là một hiện tượng phổ biến khi niềng răng. Điều quan trọng là bạn cần tìm hiểu nguyên nhân và tìm ra cách khắc phục.
Vì muốn có được sóng mũi cao đẹp, đầu mũi thon gọn mà nhiều chị em ngày nay đã không ngần ngại tìm đến giải pháp nâng mũi thẩm mỹ.
Những người quan tâm đến cấy tóc và đang tìm kiếm thông tin có thể biết rằng có hai loại cấy tóc, cấy tóc FUE và cấy tóc FUT, và bạn có thể tự hỏi sự khác biệt giữa cấy tóc FUE và FUT là gì? Cấy tóc loại nào tốt hơn? Và tiêu chí để lựa chọn là gì?
Phẫu thuật thẩm mỹ cung cấp cho chúng ta nhiều lựa chọn và ít nhất là một mức độ kiểm soát nào đó khi nói đến hình dáng cơ thể. Túi độn nâng ngực đã trở nên phổ biến trong suốt nhiều thập kỷ …với vô số phụ nữ đang tìm cách nâng đôi gò bồng đào của mình lên thông qua phẫu thuật nâng ngực.












