4 nguyên nhân khiến răng trở nên nhạy cảm - Nha khoa Đăng Lưu

4 nguyên nhân khiến răng trở nên nhạy cảm
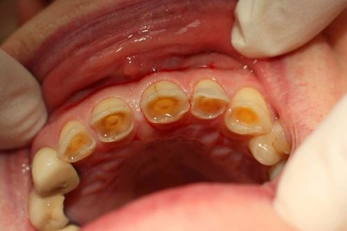
Tuy không gây ra quá nhiều đau đớn nhưng răng nhạy cảm thực sự gây khó chịu đối với những người mắc phải, ảnh hưởng không nhỏ đến tâm lý cũng như chất lượng cuộc sống của họ.

Mỗi bệnh nhân sẽ cho ra kết quả khác nhau tùy thuộc vào cơ địa và tình trạng của mỗi người
Đáng quan ngại hơn, 29% trong số những người gặp tình trạng ê buốt cho rằng ê buốt răng sẽ tự khỏi mà không cần lưu tâm tìm giải pháp (Theo báo cáo kiểm tra sức khỏe thương hiệu của công ty Nghiên cứu thị trường Ipsos vừa công bố vào tháng 8/2014).
Vậy nguyên nhân chính dẫn đến tình trạng nhạy cảm ngà hay còn gọi là răng ê buốt là gì ? Đây là 4 nguyên nhân khiến răng trở nên nhạy cảm.
♦ Thức ăn hoặc thức uống chứa nhiều acid, thực phẩm cứng
Acid trong các loại thức uống như soda, nước ngọt… là thủ phạm chính làm mòn men răng. Các loại thực phẩm có hàm lượng đường cao cũng sẽ kích thích sự phát triển của các vi khuẩn trong miệng, làm xói mòn men răng, dẫn đến tăng sự nhạy cảm ở răng.

Khi men răng bị mòn, các kích thích tố như lạnh, nóng, chua, ngọt gặp khi ăn uống sẽ làm chuyển động dịch ngà trong ống ngà dây thần kinh và gây ra chứng ê buốt. Đó là lý do nhiều người bị chứng ê răng thường phải kiêng khem những món ăn thức uống mình yêu thích.
♦ Chải răng quá mạnh hoặc dùng bàn chải có lông quá cứng
Một trong những nguyên nhân hàng đầu làm cho răng trở nên ê buốt là đánh răng quá mạnh. Nhiều nha sĩ cho rằng bên cạnh lý do từ thực phẩm, kỹ thuật đánh răng cũng là nguyên nhân quan trọng. đánh răng quá mạnh sẽ gây mòn răng, khi đó các kích thích nóng, lạnh, chua trở thành tác nhân gây ê buốt răng. Vì thế hãy lựa chọn bàn chải mềm chuyên dụng cho răng nhạy cảm, đồng thời luyện tập thói quen đánh răng đúng cách.

Mỗi bệnh nhân sẽ cho ra kết quả khác nhau tùy thuộc vào cơ địa và tình trạng của mỗi người
♦ Bỏ qua triệu chứng của các bệnh về răng miệng
Một số bệnh răng miệng có thể gây ra triệu chứng ê răng, như hiện tượng tụt nướu hoặc bệnh nha chu làm cho ngà răng bị lộ ra.
Bên cạnh đó còn có các bệnh trạng và thói quen xấu khác như bệnh nghiến răng, viêm nướu, quá nhiều cao răng, răng nứt… thông thường, cảm giác buốt răng chỉ xuất hiện thoáng qua rồi biến mất nên khi găp triệu chứng này, chúng ta thường lờ đi, thậm chí một số còn cố gắng chịu đựng những cơn ê buốt khó chịu. Để giảm thiểu tình trạng răng nhạy cảm trên, bạn nên khám răng định kì để được tư vấn về các giải pháp phù hợp.

Mỗi bệnh nhân sẽ cho ra kết quả khác nhau tùy thuộc vào cơ địa và tình trạng của mỗi người
♦ Tẩy trắng răng không đúng cách
Tẩy trắng răng sẽ mang lại hàm răng sáng bóng. Tuy nhiên, với những phương pháp và thao tác không đúng kỹ thuật thì dễ dẫn tới trường hợp răng trở nên nhạy cảm sau khi tẩy trắng.

Mỗi bệnh nhân sẽ cho ra kết quả khác nhau tùy thuộc vào cơ địa và tình trạng của mỗi người
Hàm răng bị nhạy cảm sau khi tẩy trắng là tình trạng gặp phải đối với những trường hợp làm trắng răng không đúng quy trình hay nồng độ vượt quá mức cho phép, làm tụt nướu do mô nướu bị kích thích bởi thuốc tẩy và răng mất lớp bảo vệ bề mặt. Vì thế bạn nên tham khảo ý kiến bác sĩ trước khi quyết định tẩy trắng răng, cũng như lựa chọn những địa chỉ nha khoa uy tín.
Nguồn: Nha khoa Đăng Lưu
Nguyên nhân khiến mạch máu nổi rõ ở mí mắt?
Nguyên nhân nào khiến cho các đường mạch máu nổi rõ ở mí mắt trên? Là do căng thẳng, khóc nhiều hay nhiệt độ cơ thể cao? Gần đầy tôi bị căng thẳng trong 1, 2 hôm và đã khóc khoảng 3 - 4 lần. Liệu chúng có tự biến mất không? Và nếu có thì mất bao lâu?
Nguyên nhân khiến cằm bị lẹm
Cằm tôi bị lẹm và nó khiến tôi rất mất tự tin. Tại sao tôi lại bị như thế? Có phải do bẩm sinh không hay do ít nói chuyện nên cằm kém phát triển?
Nguyên nhân khiến vết mổ đặt túi độn mông không thể lành lại?
Chào bác sĩ, vết mổ không thể lành đẹp lại có phải là do túi độn quá to so với khoang chứa trong cơ hay là do vấn đề nào khác? Các nguyên nhân khiến chúng không lành lại và có thể bị hở trong quá trình hồi phục là gì.
Nguyên nhân làm ngực teo nhỏ đi?
Khi là thiếu niên, kích cỡ vú của tôi là 32B, là vận động viên thể thao và cơ thể rất ít mỡ. Tôi bây giờ 30 tuổi, giảm 13 cân trong những năm qua và gần như quay lại trọng lượng thời thanh thiếu niên của mình với cỡ ngực bây giờ chỉ là A cup. Tuy nhiên, cơ thể tôi hiện tại lượng mỡ lại nhiều hơn một chút so với thời thiếu niên, vì vậy tôi thấy có điều gì đó không hợp lý (lẽ ra lượng mỡ nhiều thì cỡ vú phải to). Nguyên nhân nào làm ngực tôi nhỏ đi, teo tóp lại?
Mặt dán sứ Veneer có khiến răng mất tự nhiên không?
Tôi đang tìm hiểu phương pháp dán sứ veneer, vì thấy được nhiều phòng khám nha khoa quảng cáo và có nhiều người cũng đi làm. Liệu dán sứ veneer có làm răng trông bị giả không?
Có rất nhiều nguyên nhân có thể khiến da đột nhiên trở nên nhạy cảm hoặc dị ứng với ánh nắng mặt trời. Một nguyên nhân phổ biến là do các sản phẩm bôi da. Đôi khi, nguyên nhân cũng có thể là do thuốc đường uống.
Mặc dù triệu chứng phổ biến nhất của bệnh trứng cá đỏ là khuôn mặt đỏ và nổi những nốt mụn li ti, nhưng ngoài ra còn có một dạng bệnh trứng cá đỏ nữa với triệu chứng là mắt và mí mắt bị khô, đỏ. Đa số mọi người bị bệnh trứng cá đỏ đều không nhận ra hiện tượng này.
Tình trạng hóp má sau khi niềng răng khá phổ biến, nó có thể khiến gương mặt bạn trông trẻ trung hơn hoặc già nua hơn, tuy nhiên, không phải bất cứ ai cũng trải qua vấn đề này.
Mồ hôi vốn không có mùi nhưng vi khuẩn trên da, nội tiết tố, các hợp chất trong một số loại thực phẩm và các yếu tố khác – mà hầu hết đều vô hại - có thể khiến mồ hôi có mùi chua. Đôi khi, mùi chua của mồ hôi có thể là do vấn đề sức khỏe tiềm ẩn, chẳng hạn như bệnh tiểu đường hoặc bệnh thận.
Mụn trứng cá ở người trưởng thành cũng là vấn đề phổ biến. Có nhiều nguyên nhân dẫn đến tình trạng da liễu này.





