Tuyến vú phụ: Những điều cần biết
1. Nguyên nhân của tuyến vú phụ
Tình trạng đa vú thường xảy ra trong quá trình phát triển trong bào thai. Bình thường, mô vú sẽ phát triển dọc theo dây sữa (milk line) và mô bổ sung sẽ tan rã và được hấp thụ vào cơ thể. Đa vú xảy ra khi các mô bổ sung không tan rã trước khi sinh. Tình trạng này có thể di truyền.
2. Vị trí của tuyến vú phụ
Biến thể bình thường này có thể xuất hiện dưới dạng một khối ở bất cứ đâu dọc theo đường đi của mô vú phôi thai (nách đến vùng bẹn). Trong đó, các vị trí thường gặp bao gồm nách (60-70%), thành ngực, âm hộ, gối, mặt bên đùi, mông, mặt, tai, cổ.
3. Biểu hiện của tuyến vú phụ
Tình trạng này gặp ở 2-6% phụ nữ và 1-3% nam giới. Mặc dù tuyến vú phụ đã tồn tại từ thời sơ sinh nhưng hầu hết con người đều không nhận thức được cho đến khi dậy thì. Hầu hết phụ nữ chỉ biết mình có tuyến vú phụ khi được phát hiện tình cờ trên siêu âm hoặc hình chụp nhũ ảnh.
Biểu hiện thường gặp của tuyến vú phụ gồm khó chịu, đau, tiết sữa, dày nách và kích ứng da cục bộ. Mô vú phụ đáp ứng với kích thích nội tiết tố và có thể trở nên rõ ràng hơn trong thời kỳ kinh nguyệt, mang thai hoặc cho con bú. Kích thước thay đổi từ một đám nhỏ cho đến một cấu trúc hoàn chỉnh (có thể bao gồm núm vú và quầng vú).
4. Bệnh lý của tuyến vú phụ
Y văn trên thế giới đã mô tả về các bệnh lý lành tính và ác tính của tuyến vú phụ ở phụ nữ trưởng thành. Trong đó, bệnh lý lành tính bao gồm u xơ, viêm tuyến vú hoặc thay đổi sợi bọc. Tuyến vú phụ có xu hướng phát triển ác tính cao hơn và xảy ra ở độ tuổi sớm hơn.
Tuy nhiên, điều đáng mừng là ung thư vú trong tuyến vú phụ chỉ có tỷ lệ mắc khoảng 6%. Bệnh lý phổ biến nhất là ung thư biểu mô ống xâm lấn (invasive ductal carcinoma) với khoảng 50% - 75%. Tăng trưởng vú quá mức (macromastia) có thể gặp trong thai kỳ cũng như trong thời niên thiếu.
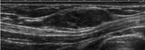
5. Đặc điểm hình ảnh và phương tiện khảo sát
Hầu hết tuyến vú được tìm thấy ngẫu nhiên trên chụp nhũ ảnh thường quy. Hình ảnh siêu âm cho thấy mô vú, không thể phân biệt với mô vú thông thường. Đôi khi, chụp cộng hưởng từ tuyến vú được thực hiện trong các trường hợp không điển hình. Biểu hiện bằng các đặc tính tín hiệu và ngấm thuốc tương tự như mô tuyến bình thường.
6. Điều trị
Phần lớn các trường hợp tuyến vú phụ không cần điều trị. Tuy nhiên khi có triệu chứng, phương pháp điều trị lựa chọn là phẫu thuật cắt bỏ vì sẽ làm giảm sự khó chịu về thể chất hoặc khó chịu về cơ học trong trường hợp tuyến vú có thể tích lớn.
TÀI LIỆU THAM KHẢO
- Ersilia M. DeFilippis1 and Elizabeth Kagan Arleo, “The ABCs of Accessory Breast Tissue: Basic Information Every Radiologist Should Know”, American Journal of Roentgenology. 2014;202: 1157-1162. 10.2214/AJR.13.10930.
- Bickle I. and Radswiki, Assessory breast tissue, https://radiopaedia.org/articles/accessory-breast-tissue.
- Ruqayya Naheed Khan et al, “Invasive carcinoma in accessory axillary breast tissue: a case report”, Int J Surg Case Rep, 2019, 59: 152-155.
Ho rát họng có đờm là một vấn đề phổ biến có thể gặp ở bất kỳ ai. Nguyên nhân của tình trạng này có thể là viêm amidan, cảm cúm, viêm họng, thậm chí là ung thư vòm họng.
Viêm phế quản là một bệnh lý phổ biến trong xã hội ngày nay mà nhiều người có thể mắc phải. Tuy viêm phế quản không gây nguy hiểm đến tính mạng nhưng có thể ảnh hưởng đáng kể đến sức khỏe của người bệnh.
Ho, sốt đau họng là những triệu chứng thường gặp cùng lúc và có thể ảnh hưởng đến cuộc sống hàng ngày. Bài viết dưới đây sẽ làm rõ nguyên nhân, cách nhận biết và những phương pháp hiệu quả để giảm nhẹ và xua tan những triệu chứng này.
Là một phần quan trọng của hệ hô hấp, họng thường mắc phải nhiều bệnh lý khác nhau. Các bệnh về họng có thể đơn giản chỉ là viêm họng hoặc có thể nghiêm trọng hơn như viêm amidan, viêm thanh quản và thậm chí ung thư họng.
Thời điểm giao mùa, các trung tâm Y tế đang ghi nhận nhiều trường hợp bệnh nhi mắc viêm phổi do vi khuẩn Mycoplasma. Đây là một bệnh thường xuất hiện trong mùa giao mùa, đặc biệt làm lây lan nhanh chóng.
Đã từ lâu, xông hơi trị cảm được nhiều người, nhiều thế hệ sử dụng như một biện pháp giải cảm và phòng ngừa bệnh cảm cúm. Tuy nhiên, không phải lúc nào biện pháp xông hơi trị cảm cũng nên được sử dụng.
Rất nhiều thai phụ băn khoăn rằng, không biết sử dụng thuốc trị bệnh về tuyến giáp trong thời gian đang mang thai có an toàn không? Để giải đáp thắc mắc trên, mời các bạn cùng tìm hiểu qua bài viết dưới đây!
Xét nghiệm sắt huyết thanh giúp phát hiện nồng độ sắt trong máu thấp hoặc cao hơn bình thường.
Thời tiết chuyển mùa khiến chúng ta dễ bị cảm cúm kèm theo các triệu chứng sổ mũi, đau đầu. Có nhiều loại thuốc tây có thể hỗ trợ điều trị và giảm triệu chứng nhanh chóng nhưng đây không phải sự lựa chọn của nhiều người vì sợ ảnh hưởng đến sức khỏe lâu dài. Do đó, ngày càng có nhiều người lựa chọn thảo dược trị cảm cúm và giảm các triệu chứng khó chịu mà không gây nguy hại cho sức khỏe.
Sắt là một khoáng chất cần thiết trong cơ thể con người. Sắt tham gia vào quá trình hình thành hồng cầu – các tế bào máu có nhiệm vụ vận chuyển oxy đi khắp cơ thể. Nồng độ sắt thấp hay thiếu sắt sẽ gây mệt mỏi và làm giảm khả năng chống lại nhiễm trùng của cơ thể. Nhưng điều gì sẽ xảy ra khi nồng độ sắt quá cao?





