Phẫu thuật điều trị u dây thần kinh số VIII - Bệnh viện 108
U dây thần kinh số VIII:
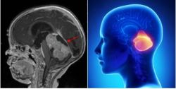
- Là một loại u ngoài trục, thường lành tính, khu trú ở vùng góc cầu tiểu não.
- U thường tiến triển chậm
- Do tốc độ phát triển chậm cùng với sự bù trừ của cơ thể nên những triệu chứng ban đầu của u dây thần kinh số VIII thường dễ bị bỏ sót.
- U dây thần kinh số VIII thường bắt nguồn từ lỗ ống tai trong.
Các triệu chứng:
- Ù tai: người bệnh có cảm giác ù tai hoặc nghe như có tiếng “ve kêu” trong đầu.
- Giảm thính lực dần dần, muộn mất hoàn toàn thính lực gây điếc.ư
- Hội chứng tiền đình tiểu não. Biểu hiện bằng các triệu chứng: chóng mặt, mất thăng bằng, đi lảo đảo, không vững, đi như người say rượu…
- Hội chứng tăng áp lực nội sọ. Thường xuất hiện khi u to, chèn ép não thất IV gây giãn não thất. Biểu hiện: đau đầu, nôn, phù gai thị.
- Triệu chứng chèn ép dây thần kinh sọ lân cận như: đau tê mặt do chèn ép dây V, liệt nửa mặt ngoại vi do chèn ép dây VII, lác trong do chèn ép dây VI, nói khó, nuốt khó do chèn ép dây IX...
Chẩn đoán:
- Chẩn đoán xác định dựa vào các phim chụp cắt lớp vi tính hoặc cộng hưởng từ.
- Các phim cộng hưởng từ có tiêm thuốc đối quang từ được coi là phương tiện chẩn đoán chính xác nhất đối với u dây thần kinh VIII.
- U thường có đặc điểm hình tròn bầu hình bầu dục nằm ở ống tai trong lan vào vùng góc cầu tiểu gây chèn ép cầu não và tiểu não. Mật độ u có thể thuần nhất, hoặc dạng nang và đặc xen kẽ.
- Phim chụp cắt lớp vi tính giúp khảo sát những thay đổi vùng ống tai trong liên quan đến tế bào xoang chũm, trên cơ sở đó giúp hoạch định kế hoạch mổ, đặc biệt là mổ theo đường xuyên mê nhĩ.
Điều trị
- Xạ phẫu (bằng dao Gamma, Cyberknife…).
- Phẫu thuật lấy u.
Nguồn: Bệnh viện 108
Stress có ảnh hưởng đến cảm xúc và tinh thần. Ví dụ, cảm giác cáu kỉnh, luôn trong trạng thái lo lắng, bất an hoặc những thay đổi tâm trạng bất thường khác có thể là dấu hiệu cho thấy bạn đang bị stress.
Bệnh lý thần kinh do rượu sẽ ngày càng nghiêm trọng, gây tổn thương vĩnh viễn ở hệ thần kinh và các bộ phận khác của cơ thể nếu người bệnh tiếp tục uống rượu. Điều này có thể dẫn đến khuyết tật, đau đớn mạn tính và thậm chí là tử vong.
Nghiên cứu cho thấy căng thẳng có thể là yếu tố khiến cho bệnh zona thần kinh (hay còn gọi là bệnh giời leo) tái phát.
Bệnh Parkinson là một bệnh do thoái hóa hệ thần kinh trung ương. Theo ước tính, đến nay có trên 10 triệu người trên toàn thế giới mắc bệnh Parkinson. Những người bị bệnh này gặp phải các triệu chứng chính là run chân tay, co thắt và đau cơ, dẫn đến đi lại vận động khó khăn. Một số người mắc bệnh Parkinson còn bị sa sút trí tuệ hay lú lẫn, đặc biệt là khi tình trạng bệnh tiến triển nặng.
Bệnh Parkinson là một dạng rối loạn thần kinh do thoái hóa, có các triệu chứng điển hình là run chân tay, mất khả năng kiểm soát vận động của cơ, dẫn đến khó khăn khi cử động, đi lại, nói chuyện… Bệnh còn gây ra nhiều triệu chứng khác và khi bệnh tiến triển sang các giai đoạn sau thì các triệu chứng càng nặng.





