Làm sao phân biệt được răng sữa và răng vĩnh viễn?
1.Răng sữa là răng gì?
Răng sữa là những chiếc răng mọc đầu tiên, hình thành trong giai đoạn phát triển của trẻ nhỏ từ 4-24 tháng tuổi, đang bú mẹ.
2.Răng vĩnh viễn là răng gì?
Răng vĩnh viễn là loại răng mọc sau khi răng sữa rụng, hay nói cách khác, răng vĩnh viễn sẽ mọc lên để thay thế cho những chiếc răng sữa ban đầu và tồn tại đến già. Nếu gãy răng vĩnh viễn thì sẽ không thể mọc lại. Răng vĩnh viễn có thể mọc sớm hay trễ hơn so với lịch trình vài năm.
3.Làm sao phân biệt được răng sữa và răng vĩnh viễn?
Có nhiều yếu tố giúp phân biệt được răng sữa và răng vĩnh viễn:
Số lượng răng khác nhau:
Một đứa trẻ sẽ bắt đầu mọc răng vào khoảng từ 4-6 tháng tuổi và hoàn thành lúc 2 tuổi rưỡi. Số lượng răng tất cả có 20 chiếc răng sữa. Trong đó:
- 4 răng cửa giữa
- 4 răng cửa bên
- 4 răng nanh
- 8 răng cối
Từ 6 tuổi trẻ bắt đầu mọc răng vĩnh viễn để thay thế các răng sữa bị rụng.
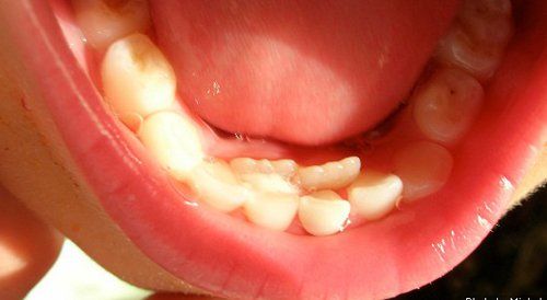
Trong khoảng 8 tuổi đến 12 tuổi, trên hàm mọc của trẻ sẽ mọc lẫn lộn răng sữa với răng trưởng thành như vậy nên chú ý đến kích thước của răng, toàn bộ các răng trưởng thành đều to hơn răng sữa
Đến khoảng 12 tuổi răng sữa của trẻ sẽ được thay hết, trẻ có 28 - 32 chiếc răng vĩnh viễn
- 4 răng cửa giữa
- 4 răng cửa bên
- 4 răng nanh
- 8 răng cối nhỏ
- 8 – 12 răng cối lớn
Hầu hết con người sẽ tiếp tục mọc răng khôn vào lúc 18 – 25 tuổi, hoặc sau đó nữa. Tuy nhiên một số người không mọc răng khôn.
Men và ngà răng sữa mỏng hơn:
Do cấu trúc men và ngà mỏng hơn, trong suốt, không có dây thần kinh cảm giác, buồng tủy lớn hơn do đó sâu răng sữa sẽ tiến triển vào tủy răng nhanh hơn so với răng vĩnh viễn. Ở răng sữa lớp men răng rất mỏng khoảng 1mm thấp hơn nhiều so với lớp men răng vĩnh viễn là từ (2mm- 3mm).
Tế bào ngà răng có độ cứng kém, không bằng men răng. Ở trẻ nhỏ có tỷ lệ sâu răng cao hơn so với người lớn do lớp men răng mỏng và ngà răng dễ bị axit phá hủy. Nếu bị sâu răng trẻ em cần được điều trị sớm.
Răng vĩnh viễn có màu vàng sậm hơn răng sữa:
Răng sữa thường có màu trắng đục do thành phần vô cơ ít, còn răng vĩnh viễn trong hơn và mà có màu vàng hơn.
Răng vĩnh viễn thường có các nụ: Đối với các răng cửa vĩnh viễn, khi mới mọc sẽ có các núm nhỏ trên rìa cắn, các núm răng cửa này sẽ mất dần trong quá trình ăn nhai.
Về hình dáng của răng sữa khác răng vĩnh viễn:
Thân răng sữa thấp hơn so với răng vĩnh viễn vì răng sữa có tỉ lệ chiều ngang và răng sữa có chiều cao lớn hơn.
Răng cửa và răng nanh sữa nhỏ và không thanh như răng trưởng thành.
Chân răng sữa rộng hơn:
Xét theo tỉ lệ so với phần thân răng thì chân răng sữa dài hơn, mảnh hơn. Các răng sữa hàm có nhiều chân (thường 3 chân đối với hàm trên và 2 chân đối với hàm dưới) và các chân răng thường dang rộng nên việc nhổ răng sữa rất dễ bị gãy.
Chân răng hàm sữa tách nhau ở gần cổ răng hơn và càng về phía chóp thì càng tách xa.
4.Mối liên quan giữa răng sữa và răng vĩnh viễn
Thông thường các răng vĩnh viễn sẽ mọc ở ngay vị trí răng sữa bị rụng. Nguyên nhân là do áp lực của răng vĩnh viễn ở bên dưới, khi chân răng sữa sẽ bị tiêu dần, lung lay và rụng đi, nhường chỗ cho răng vĩnh viễn.
Tuy nhiên, nếu các răng vĩnh viễn ở vị trí quá xa so với răng sữa thì răng vĩnh viễn sẽ mọc lên mà không cần răng sữa đã rụng. Hoặc nếu răng sữa không bị rụng đi dù đã đến tuổi thay răng, thì răng vĩnh viễn mọc lệch, chèn lên do bị răng sữa chiếm chỗ.
Do đó răng sữa và răng vĩnh viễn có mối quan hệ mật thiết với nhau. Sự tồn tại của răng sữa không chỉ đảm bảo chức năng ăn nhai, thẩm mỹ mà còn có vai trò quan trọng trong việc định hướng cho việc mọc răng vĩnh viễn của trẻ sau này.
Ho rát họng có đờm là một vấn đề phổ biến có thể gặp ở bất kỳ ai. Nguyên nhân của tình trạng này có thể là viêm amidan, cảm cúm, viêm họng, thậm chí là ung thư vòm họng.
Viêm phế quản là một bệnh lý phổ biến trong xã hội ngày nay mà nhiều người có thể mắc phải. Tuy viêm phế quản không gây nguy hiểm đến tính mạng nhưng có thể ảnh hưởng đáng kể đến sức khỏe của người bệnh.
Ho, sốt đau họng là những triệu chứng thường gặp cùng lúc và có thể ảnh hưởng đến cuộc sống hàng ngày. Bài viết dưới đây sẽ làm rõ nguyên nhân, cách nhận biết và những phương pháp hiệu quả để giảm nhẹ và xua tan những triệu chứng này.
Là một phần quan trọng của hệ hô hấp, họng thường mắc phải nhiều bệnh lý khác nhau. Các bệnh về họng có thể đơn giản chỉ là viêm họng hoặc có thể nghiêm trọng hơn như viêm amidan, viêm thanh quản và thậm chí ung thư họng.
Thời điểm giao mùa, các trung tâm Y tế đang ghi nhận nhiều trường hợp bệnh nhi mắc viêm phổi do vi khuẩn Mycoplasma. Đây là một bệnh thường xuất hiện trong mùa giao mùa, đặc biệt làm lây lan nhanh chóng.
Nếu bạn đang phải khổ sở vì những đêm trằn trọc mất ngủ thì việc ngủ được ngay chỉ sau vài phút nằm xuống giường quả là một niềm mơ ước. Tuy nhiên, thật sự có những cách giúp bạn có thể chìm vào giấc ngủ chỉ sau 120, 60 hoặc thậm chí là 10 giây.
Sắt là một khoáng chất cần thiết trong cơ thể con người. Sắt tham gia vào quá trình hình thành hồng cầu – các tế bào máu có nhiệm vụ vận chuyển oxy đi khắp cơ thể. Nồng độ sắt thấp hay thiếu sắt sẽ gây mệt mỏi và làm giảm khả năng chống lại nhiễm trùng của cơ thể. Nhưng điều gì sẽ xảy ra khi nồng độ sắt quá cao?
Xét nghiệm sắt huyết thanh giúp phát hiện nồng độ sắt trong máu thấp hoặc cao hơn bình thường.
Thời tiết chuyển mùa khiến chúng ta dễ bị cảm cúm kèm theo các triệu chứng sổ mũi, đau đầu. Có nhiều loại thuốc tây có thể hỗ trợ điều trị và giảm triệu chứng nhanh chóng nhưng đây không phải sự lựa chọn của nhiều người vì sợ ảnh hưởng đến sức khỏe lâu dài. Do đó, ngày càng có nhiều người lựa chọn thảo dược trị cảm cúm và giảm các triệu chứng khó chịu mà không gây nguy hại cho sức khỏe.
Đã từ lâu, xông hơi trị cảm được nhiều người, nhiều thế hệ sử dụng như một biện pháp giải cảm và phòng ngừa bệnh cảm cúm. Tuy nhiên, không phải lúc nào biện pháp xông hơi trị cảm cũng nên được sử dụng.





