Guideline: Xử lý hoại tử da sau tiêm thẩm mỹ
Giới thiệu
Hoại tử được định nghĩa là tình trạng mà hầu hết hoặc tất cả các tế bào hoặc mô trong một cơ quan bị chết do bệnh, tổn thương hoặc do không được cung cấp máu. Không giống sự chết tế bào bình thường là một hiện tượng đã được lập trình sẵn và diễn ra một cách tự nhiên, hoại tử là sự chết tế bào do sự cố ngoài ý muốn, có thể xảy ra do nhiều cơ chế khác nhau, chẳng hạn như không được cung cấp đủ oxy, tổn thương do nhiệt, cơ học hoặc phóng xạ. Các tế bào trước khi bị hoại tử sẽ sưng lên và sau đó vỡ ra (sự tiêu tế bào) rồi giải phóng vật chất bên trong vào khu vực xung quanh. Điều này dẫn đến phản ứng viêm được kích hoạt cục bộ với các dấu hiệu là sưng, đau, nóng và đỏ. Các tế bào hoại tử sau đó được thực bào xử lý và được hệ miễn dịch loại bỏ.
Hoại tử là một trong những biến chứng nghiêm trọng và đáng sợ nhất xảy ra trong lĩnh vực thẩm mỹ và nguyên nhân thường là do gián đoạn sự cung cấp máu, chèn ép khu vực xung quanh mạch máu, vật liệu từ bên ngoài gây tắc nghẽn mạch máu và/hoặc tổn thương mô trực tiếp do vật lý, hóa học, bức xạ hoặc laser.
Xác suất xảy ra
Mặc dù hoại tử có thể xảy ra với nhiều phương pháp điều trị thẩm mỹ khác nhau nhưng biến chứng này thường chủ yếu có liên quan đến phương pháp tiêm các loại chất làm đầy vào da, bao gồm collagen, chất làm đầy hyaluronic acid, canxi hydroxylapatite, polymethylmethacrylate (PMMA) và mỡ tự thân. Tỷ lệ hoại tử do tiêm collagen là 9/100.000 trường hợp, 50% trong số này là tiêm ở vùng giữa hai đầu lông mày và tỷ lệ hoại từ khi tiêm các loại chất làm đầy khác là 1/100.000 trường hợp.
Hoại tử có thể xảy ra khi tiêm bất kỳ chất làm đầy nào hay mỡ tự thân vào da.
Các dấu hiệu và triệu chứng hoại tử
Mặc dù nhiều trường hợp hoại tử xảy ra ngay sau khi tiêm nhưng cũng có những trường hợp mà biến chứng này khởi phát muộn. Nguyên nhân gây hoại tử khởi phát muộn thường là do một mạch bị chèn ép sau khi tiêm chất làm đầy hyaluronic acid vì tính chất hút nước của chất làm đầy này có thể gây tăng sưng sau tiêm. Ngoài ra còn có một số bằng chứng cho thấy hoại tử khởi phát muộn có thể là do tiêm vào động mạch, gây tắc mạch và kết tập tiểu cầu, dẫn đến tắc nghẽn ở một nhánh cuối. Dưới đây là một số dấu hiệu và triệu chứng của hoại tử:
Đau đớn: Đau dữ dội là dấu hiệu phổ biến nhất mà nhiều người gặp phải khi hoại tử xảy ra. Nếu quá trình tiêm trước đó được thực hiện với thuốc gây tê tại chỗ (dạng kem bôi, thuốc tiêm hoặc trộn lẫn với sản phẩm) thì triệu chứng này thường được giảm bớt.
Đau dữ dội không phải là một hiện tượng bình thường sau khi tiêm chất làm đầy da. Do đó, nếu gặp tình trạng này trong quá trình tiêm hoặc trong vòng vài giờ sau khi tiêm thì đây có thể là dấu hiệu cảnh báo về nguy cơ hoại tử sắp xảy ra và cần được kiểm tra khẩn cấp.
Da mất màu: Khi mạch máu bị ảnh hưởng, vùng da bên trên thường sẽ chuyển màu tái, nhợt nhạt hoặc xám do máu cung cấp đến da bị giảm. Hiện tượng này sẽ vẫn còn tiếp diễn sau khi rút kim. Mảng bị mất màu trên da thường có hình lưới hoặc không đều, chạy dọc theo mạch máu bị tắc nghẽn. Hiện tượng này có thể sẽ không bộc lộ rõ nếu sử dụng adrenaline hoặc thuốc gây tê tại chỗ dạng bôi.
Da chuyển màu: Khi chết mô, hiện tượng này thường xảy ra trong vòng vài giờ sau khi điều trị.
Mát da: Khi nguồn cung cấp máu bị gián đoạn, các mô không được tưới máu, do đó nhiệt độ của da sẽ giảm. Điều này thường không bộc lộ rõ ngay sau khi tiêm.
Những vị trí thường bị hoại tử
Có hai vị trí chính trên khuôn mặt thường dễ bị hoại tử nhất sau khi tiêm các loại chất làm đầy, đó là:
- Vùng giữa hai lông mày (glabellar): 50% các trường hợp hoại tử do tiêm chất làm đầy đều xảy ra ở vùng giữa hai đầu lông mày do sự tuần hoàn bàng hệ kém ở khu vực này.
- Chóp mũi và tháp mũi: Chóp mũi và tháp mũi cũng thường bị hoại tử vì vùng này được cung cấp máu bởi một động mạch tận cùng không có tuần hoàn bàng hệ. Động mạch góc đổi hướng đột ngột ở vùng tháp mũi và dễ bị chèn ép từ bên ngoài hoặc tiêm không đúng vị trí, dẫn đến hoại tử.
Giảm thiểu nguy cơ hoại tử
Người tiêm cần thực hiện những biện pháp sau để giảm thiểu nguy cơ hoại tử cho khách hàng:
- Hiểu biết cặn kẽ về cấu tạo giải phẫu ở khu vực được tiêm.
- Tiến hành chọc rút trước khi tiêm để đảm bảo rằng mũi tiêm không đâm vào mạch máu, mặc dù vậy nhưng vẫn phải cẩn thận vì không phải lúc nào cũng có thể thực hiện kỹ thuật này được.
- Thực hiện tiêm đúng kỹ thuật để chất làm đầy được phân bố ở độ sâu và mặt phẳng thích hợp.
- Tiêm thể tích chất làm đầy vừa đủ để đạt được kết quả mong muốn và tránh tiêm quá mức. Nếu sau đó mà khách hàng cảm thấy chưa hài lòng và cần tiêm thêm thì có thể thực hiện tiếp lần 2 sau 7 đến 14 ngày kể từ lần tiêm trước.
- Tránh tiêm cùng lúc một lượng sản phẩm lớn ở những khu vực có nguy cơ hoại tử cao.
- Tránh sử dụng các sản phẩm có chứa adrenaline, vì điều này có thể khiến cho hiện tượng mất màu da do tắc mạch máu không bộc lộ rõ sau tiêm.
- Cần nhớ rằng việc tiêm thuốc gây tê tại chỗ hoặc các chất làm đầy có trộn sẵn lidocaine có thể giảm bớt hoặc ngăn cản triệu chứng đau đớn báo hiệu sắp hoại tử.
- Không tiêm vào chóp mũi
- Cần hết sức thận trọng khi tiêm vào vùng giữa hai đầu lông mày. Khi tiêm vào vị trí này, cần tiêm nông.
- Nên sử dụng kim đầu tù cannula để giảm khả năng vô ý tiêm vào các mạch máu.
- Lựa chọn khách hàng thật cẩn thận. Cần thận trọng khi điều trị cho những khách hàng đã từng phẫu thuật nâng mũi hoặc các quy trình phẫu thuật khác, vì giải phẫu và mạch máu có thể đã bị thay đổi. Cần thận trọng hơn khi tiêm ở những vùng vẫn còn chất làm đầy được tiêm trước đó.
- Tập trung khi tiêm - chú ý đến các dấu hiệu cảnh báo và liên tục thăm dò cảm giác của khách hàng.
- Cần lưu ý rằng nguy cơ hoại tử sẽ tăng cao khi sử dụng các chất làm đầy có mật độ hạt dày đặc hoặc chất làm đầy vĩnh viễn.
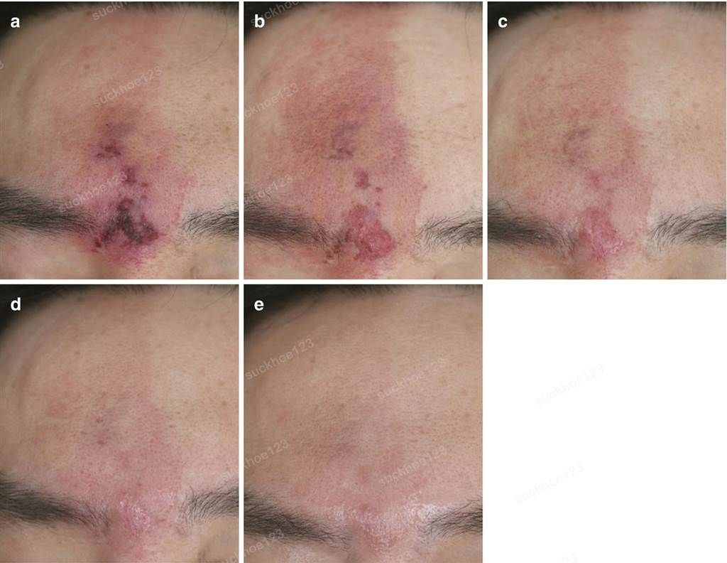
Điều trị biến chứng hoại tử
Hoại tử có thể là kết quả của tắc động mạch do tiêm trực tiếp hoặc thuyên tắc do sản phẩm tiêm, thường xảy ra ngay lập tức với biểu hiện là đau cấp tính và mất màu da. Tình trạng này cũng có thể xảy ra khi tĩnh mạch bị chèn ép từ bên ngoài bởi chất làm đầy da hoặc do phù nề, nguyên nhân này thường xảy ra phổ biến với các chất làm đầy hyaluronic acid. Tắc tĩnh mạch thường xảy ra muộn với biểu hiện là đau âm ỉ và da chuyển màu sẫm.
Khi xảy ra hoại tử thì cần xử lý bằng những biện pháp sau:
- Ngay lập tức ngừng tiêm: Ngay khi nghi ngờ nguồn cung cấp máu đã bị tổn hại (nhận biết bởi cảm giác đau đớn và mất màu da), bước đầu tiên và quan trọng nhất là ngay lập tức ngừng tiêm và nếu có thể thì hút lượng sản phẩm đã tiêm khi rút kim ra ngoài.
- Mát-xa: Mát-xa sẽ giúp kích thích sự lưu thông máu đến vị trí tiêm và có thể ngăn chặn sự tắc nghẽn mạch máu do chất làm đầy chèn ép. Cần mát-xa liên tục trong vài phút.
- Chườm nóng: Chườm nóng sẽ làm giãn mạch máu và tăng lưu lượng máu đến vị trí tiêm.
- Gõ lên vị trí tiêm: Việc gõ liên tục lên vị trí tiêm sẽ giúp làm bật khối chất làm đầy gây tắc mạch máu ra khỏi vị trí.
- Tiêm hyaluronidase: Khi chất làm đầy hyaluronic acid là thủ phạm gây hoại tử thì có thể tiêm hyaluronidase để làm giảm bớt vấn đề trước khi biến chứng nghiêm trọng hơn xảy ra. Trong những trường hợp nghi ngờ hoại tử thì không cần thiết thử phản ứng thuốc trước khi tiêm vì rủi ro của hoại tử thường lớn hơn rủi ro của hyaluronidase. Một số bằng chứng đã chỉ ra rằng việc tiêm hyaluronidase cũng có thể làm giảm mức độ hoại tử sau khi khi tiêm một chất làm đầy không phải hyaluronic acid. Một nghiên cứu được thực hiện trên thỏ đã chứng minh mức độ hoại tử giảm đi đáng kể nếu tiêm hyaluronidase trong vòng 4 tiếng sau khi tiêm chất làm đầy hyaluronic acid vào động mạch tai. Tuy nhiên nếu tiêm sau 24 tiếng thì sẽ không còn tác dụng nữa. Hyaluronidase cũng đã được chứng minh là có thể thẩm thấu vào lòng mạch máu ngay cả khi tiêm bên ngoài. Do đó, đối với các trường hợp có khả năng bị hoại tử do chất làm đầy hyaluronic acid tích tụ và gây tắc nghẽn trong mạch máu thì không nhất thiết phải tiêm hyaluronidase trực tiếp vào mạch máu mà có thể tiêm vào khu vực xung quanh cũng vẫn có hiệu quả làm tan chất làm đầy.
- Đắp nitroglycerin paste: Nitroglycerin (glyceryl trinitrate) có tác dụng làm giãn mạch và tăng lưu thông máu. Có thể đắp nitroglycerin paste và dán băng kín bên trên rồi để trong vài ngày. Phương pháp này được khuyến nghị áp dụng trong 12 tiếng và sau đó dừng trong 12 tiếng cho đến khi có cải thiện lâm sàng hoặc cho đến khi không còn dung nạp. Lưu ý, nitroglycerin có thể dẫn đến phản ứng da, kích ứng và mẩn đỏ.
- Aspirin: Có tài liệu khuyến khích sử dụng aspirin cho đến khi tình trạng hoại tử được xử lý nhằm hạn chế sự kết tập tiểu cầu, hình thành cục máu đông và tránh gây tổn thương thêm khu vực mà mạch máu đã bị tổn hại. Nghiên cứu khuyến nghị nên điều trị ngay lập tức bằng 2 viên aspirin loại có bao tan trong ruột (enteric-coated). Tuy nhiên, các nghiên cứu về việc sử dụng aspirin trong điều trị bệnh tim mạch (cũng theo cơ chế hoạt động tương tự như điều trị hoại tử) lại khuyến nghị dùng liều ban đầu là 300mg và sau đó là 75mg mỗi ngày cho đến khi tình trạng hoại tử được xử lý (đối với những trường hợp không có chống chỉ định với aspirin).
- Kháng sinh: Vùng bị hoại tử gồm có các tế bào và mô đã chết nên dễ bị nhiễm trùng thứ phát. Tùy thuộc vào mức độ hoại tử mà có thể cần điều trị bằng kháng sinh tại chỗ và/hoặc kháng sinh đường uống để thúc đẩy quá trình chữa lành của cơ thể và để ngăn ngừa các biến chứng tiếp theo. Ngoài ra có thể cân nhắc dùng thêm thuốc kháng herpes nếu hoại tử xảy ra ở vùng quanh miệng ở những khách hàng có nguy cơ nhiễm virus cao.
- Cắt lọc nông mô hoại tử: Có thể cần phải chuyển khách hàng đến bác sĩ phẫu thuật thẩm mỹ có chuyên môn để loại bỏ mô hoại tử và tạo điều kiện cho quá trình lành vết thương.
- Chăm sóc vết thương: Quấn băng gạc phù hợp và thực hiện các biện pháp chăm sóc vết thương để thúc đẩy tốc độ chữa lành vùng hoại tử.
- Hỗ trợ: Luôn phối hợp với các kỹ thuật viên/bác sĩ có kinh nghiệm chuyên môn trong việc xử lý hoại tử để được tư vấn và điều trị thêm.
Khuyến nghị bổ sung
Liệu pháp oxy cao áp (Hyperbaric oxygen therapy) đã được sử dụng thành công và cho kết quả tích cực về tái tạo mạch máu trong điều trị hoại tử mũi do cấy ghép mũi sau ung thư hoặc chấn thương nhưng chưa có đủ bằng chứng chứng minh hiệu quả của phương pháp này đối với điều trị hoại tử do các phương pháp tiêm thẩm mỹ.
Heparin trọng lượng phân tử thấp (low molecular weight heparin) đã được sử dụng để ngăn ngừa huyết khối và thuyên tắc trong một nghiên cứu thực tế những hiện vẫn chưa có đủ bằng chứng để ứng dụng loại thuốc này làm phương pháp điều trị tiêu chuẩn cho biến chứng hoại tử sau tiêm thẩm mỹ. Các loại thuốc giãn mạch đường uống như thuốc ức chế cGMP-specific phosphodiesterase type 5 (PDE5) cũng đã được sử dụng để điều trị hoại tử nhưng hiện vẫn còn thiếu bằng chứng khoa học để đưa loại thuốc này vào ứng dụng rộng rãi cho chỉ định này.
Hoại tử sẽ gây đau đớn nên trong quá trình điều trị hoại tử có thể sẽ cần sử dụng các biện pháp kiểm soát cơn đau. Mặc dù một số trường hợp chỉ cần dùng thuốc giảm đau không kê đơn là đủ nhưng khi đau dữ dội thì sẽ cần dùng các thuốc giảm đau nhóm opioid.
Theo dõi và tái khám
Điều quan trọng là phải hướng dẫn khách hàng những dấu hiệu nhận biết hoại tử để thông báo kịp thời và những trường hợp nghi ngờ hoại tử cần được kiểm tra ngay lập tức. Tất cả các khách hàng bị hoại tử đều cần được theo dõi và tái khám thường xuyên cho đến khi vấn đề đã được giải quyết hoàn toàn. Trong thời gian đầu, khách hàng cần được kiểm tra hàng ngày. Việc theo dõi sát sao và hỗ trợ kịp thời là cách hữu hiệu nhất để ngăn chặn hậu quả nghiêm trọng.
Hoại tử do tiêm xơ tĩnh mạch
Tỷ lệ hoại tử sau khi tiêm xơ tĩnh mạch hay chích xơ tĩnh mạch để điều trị các vấn đề như giãn tĩnh mạch là 1/100 đến 1/500 trường hợp. Đây là tỷ lệ lớn hơn đáng kể so với tỷ lệ hoại tử do tiêm chất làm đầy da. Trong những trường hợp này, hoại tử có thể chỉ ở mức độ nhẹ, gây ra vết loét nhỏ có thể lành lại hoàn toàn mà không để lại sẹo hoặc cũng có thể nghiêm trọng và dẫn đến chết mô trên phạm vi rộng. Hoại tử có thể xảy ra sau khi vô tình tiêm chất gây xơ cứng vào động mạch hoặc tiểu động mạch hoặc do áp suất tiêm quá lớn dẫn đến dòng chảy ngược dòng của chất gây xơ vào mao động mạch (do đó cần tiêm thể tích nhỏ và áp suất thấp).
Nguy cơ hoại tử còn phụ thuộc vào loại chất gây xơ được sử dụng. Một số chất gây xơ, chẳng hạn như nước muối ưu trương, có nguy cơ gây hoại tử cao hơn nhưng nồng độ sản phẩm được sử dụng cho từng kích thước tĩnh mạch cũng là yếu tố quyết định nguy cơ. Một số đối tượng bệnh nhân, chẳng hạn như người hút thuốc hoặc người bị viêm mạch máu cũng dễ bị hoại tử khi tiêm xơ tĩnh mạch hơn. Các dấu hiệu của hoại tử do tiêm xơ tĩnh mạch cũng giống như hoại tử do tiêm chất làm đầy và bao gồm có đau, da tái và đổi màu trong vòng 24 giờ đầu sau điều trị. Ngoài ra còn có hiện tượng bong tróc da xảy ra trong vòng 24 đến 72 giờ kể từ khi bắt đầu có tình trạng thiếu máu cục bộ và theo sau đó thường là hiện tượng lở loét da.
Phác đồ điều trị hoại tử thường gồm có các biện pháp để cải thiện tưới máu mô cho vùng bị ảnh hưởng và băng vết thương. Nếu vết thương bị nhiễm trùng thì có thể phải dùng kháng sinh. Ngoài ra, cần chăm sóc vết thương cẩn thận và có thể còn phải cắt lọc mô hoại từ. Một khi vùng tổn thương đã lành lại thì sẽ tiến hành xử lý sẹo trên da. Nếu hoại tử ở mức độ tối thiểu thì tiên lượng đa phần là rất tốt.
Đọc thêm
Bài viết nghiên cứu có thể bạn quan tâm
Tin liên quan
Hỏi đáp có thể bạn quan tâm



