Viêm lợi có mủ và nguyên nhân gây bệnh viêm lợi có mủ - Nha khoa Đăng Lưu

Viêm lợi có mủ và nguyên nhân gây bệnh viêm lợi có mủ
Bệnh viêm lợi có mủ là bệnh gì ?
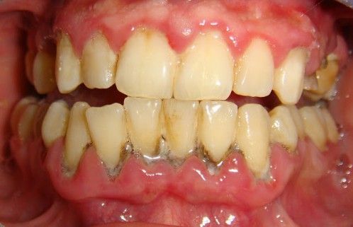
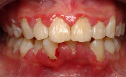
Tuy là bệnh thường gặp nhưng không phải ai cũng nắm rõ về bệnh này, và viêm lợi có mủ là bệnh gì ?. Điều này được các bác sĩ nha khoa khái quát như sau: Bệnh viêm lợi có mủ là tình trạng nhiễm trùng ở phần các mô của nướu, lợi làm cho tình trạng hình thành ổ mủ. Quá trình hình thành chính là do yếu tố vi khuẩn, virus bên ngoài xâm nhập vào cộng thêm vi khuẩn trú ngụ trong miệng phát triển gây viêm, các tế bào bạch huyết cầu khi đó sẽ tập trung tiêu diệt các tác nhân gây viêm, làm sưng các mô ở chân răng và có hiện tượng mủ trắng xuất hiện quanh chân răng.

Mỗi bệnh nhân sẽ cho ra kết quả khác nhau tùy thuộc vào cơ địa và tình trạng của mỗi người
Quá trình này sẽ gây nên cơn đau xảy ra ở miệng, nếu như nghiêm trọng thì cơn đau có thể lan sang các vùng lân cận. Nghiêm trọng hơn là có thể phá hủy các mô xung quanh răng vô cùng nguy hiểm.
Nguyên nhân gây bệnh viêm lợi có mủ


Da em đang bị mụn viêm và da rất nhiều dầu ướt cả mặt. Em uống isotretinoin 10mg được 4 ngày và chưa thấy tình trạng khô da. Cho em hỏi là khi nào thuốc mới có tác dụng ạ?
Da em đang bị mụn viêm và da rất nhiều dầu ướt cả mặt. Em uống isotretinoin 10mg được 4 ngày và chưa thấy tình trạng khô da. Cho em hỏi là khi nào thuốc mới có tác dụng ạ?
Các bác sĩ đã từng cấy 1000-1500 cụm nang tóc cho bệnh nhân bị hói độ 6 thang Norwood do tóc đằng sau đầu thưa chưa?
Chào các bác sĩ, đã có bác sĩ nào chỉ cấy 1000-1500 cụm nang tóc cho bệnh nhân bị hói độ 6 chỉ vì tóc ở vùng đằng sau đầu quá thưa không. Nếu có thể, mong các bác sĩ đăng kèm ảnh trước và sau phẫu thuật.
Có thể dùng MiraDry để điều trị bệnh viêm tuyến mồ hôi mủ không?
Tôi đã bị viêm tuyến mồ hôi mủ (hidradenitis suppurativa) hơn 20 năm, giờ đã đến thời điểm mà thuốc kháng sinh không còn tác dụng nhiều với tôi nữa. Tôi bị dị ứng với kháng sinh nhóm cyclin và hiện đang dùng Augmentin. Tôi tò mò không biết mình có thể dùng Miradry hay không, vì theo những gì tôi hiểu thì nó có thể phá hủy các tuyến mồ hôi. Tình trạng của tôi ảnh hưởng ở vùng bẹn, có vẻ như Miradry thường được thực hiện ở vùng nách, có lý do gì khiến cho nó không thể được sử dụng ở bẹn không?
Em muốn hỏi về loại kháng sinh em đang uống là Tvcefuroxime 500mg cùng 2 loại kháng viêm do em làm má lúm và e có tiêm botox gọn hàm trong tgian uống, như vậy có ảnh hưởng gì k ạ?
Em muốn hỏi về loại kháng sinh em đang uống là Tvcefuroxime 500mg cùng 2 loại kháng viêm do em làm má lúm và e có tiêm botox gọn hàm trong tgian uống, như vậy có ảnh hưởng gì k ạ?
Nguyên nhân làm ngực teo nhỏ đi?
Khi là thiếu niên, kích cỡ vú của tôi là 32B, là vận động viên thể thao và cơ thể rất ít mỡ. Tôi bây giờ 30 tuổi, giảm 13 cân trong những năm qua và gần như quay lại trọng lượng thời thanh thiếu niên của mình với cỡ ngực bây giờ chỉ là A cup. Tuy nhiên, cơ thể tôi hiện tại lượng mỡ lại nhiều hơn một chút so với thời thiếu niên, vì vậy tôi thấy có điều gì đó không hợp lý (lẽ ra lượng mỡ nhiều thì cỡ vú phải to). Nguyên nhân nào làm ngực tôi nhỏ đi, teo tóp lại?
Các nhà nghiên cứu nói rằng bệnh nhân bị mụn trứng cá nên xem xét rủi ro so với lợi ích của điều trị bằng kháng sinh.
Có nhiều tác nhân dẫn đến phản ứng viêm, nhưng tất cả đều có một điểm chung, đó là gây giãn mao mạch
Viêm da đầu là một trong những nguyên nhân khiến da đầu bị bong tróc các mảng vảy trắng trông giống như gàu. Những mảng vảy trắng này bám trên da đầu, tóc và rụng xuống quần áo, gây mất tự tin. Viêm da đầu còn gây ra các triệu chứng khó chịu khác như ngứa ngáy và khiến người bệnh phải gãi đầu liên tục.
Viêm có thể gây tăng sắc tố da. Đó là lý do tại sao da thường bị thâm sau khi bị mụn trứng cá, chấn thương, mẩn ngứa hoặc bỏng. Những người có da nhạy cảm, loại da có đặc trưng là dễ bị viêm, thường có nguy cơ bị tăng sắc tố cao hơn.
Lỗ chân lông có thể bị tắc do tế bào da chết, bã nhờn, bụi bẩn, mỹ phẩm và dẫn đến hình thành mụn trứng cá không viêm. Việc sở hữu làn da sạch đẹp luôn là điều mà ai cũng ao ước. Hãy đọc bài viết dưới đây để biết cách điều trị mụn trứng cá.





