TOP 3 kỹ thuật Thẩm mỹ Lông Mày đỉnh cao - Đẹp tự nhiên!
Điêu khắc Hairstroke: Gẩy sợi tự nhiên như lông mày thật, phù hợp với tình trạng lông mày thưa nhẹ, thiếu điểm nhấn.
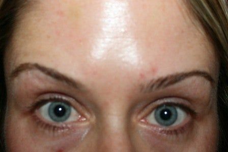
Điêu khắc kết hợp với phun mày: Gẩy sợi phần đầu lông mày tạo vẻ đẹp tự nhiên, phun xăm phần đuôi mày tạo form dáng sắc sảo, duy trì bền đẹp. Phù hợp với tình trạng lông mày rất ít, da đổ nhiều dầu.
Phun mày hạt chạm: Nói không với phun mày to, sậm màu nhờ kỹ thuật "hạt chạm". Phun mày nhẹ nhàng, tự nhiên.
Bạn thích kỹ thuật thẩm mỹ lông mày nào?
![]()
INBOX nhận tư vấn miễn phí!
Chân mày có thể bị sụp, bên cao bên thấp sau khi tiêm botox vào cơ cau mày để xóa nếp nhăn giữa hai đầu lông mày không?
Chào bác sĩ, 6 ngày trước tôi đã tiêm botox để xóa nếp nhăn ở vùng gian mày, giữa hai đầu lông mày (tiêm tại 5 điểm tiêu chuẩn) với mỗi bên 2 điểm vào cơ cau mày nằm ngay trên lông mày. Bây giờ tôi thấy chân mày bên phải của tôi hơi cao hơn bên trái. Cũng không rõ là do bên trái bị sụp thấp hơn hay bên phải bị nâng lên cao hơn. Tôi biết là mí mắt có thể bị sụp khi tiêm botox xóa nếp cau mày, nhưng liệu lông mày thì có bị sụp không? Tôi sợ botox đã được tiêm quá sát lông mày.
Chỉ tiêm botox vào cơ cau mày và cơ mảnh khảnh để xóa nếp nhăn giữa hai bên lông mày: liệu có thể gây sụp lông mày không?
Mới đây tôi đã tiêm botox để xóa nếp nhăn trán và nếp cau mày. Sau đó lông mày bị sụp đến nỗi kéo theo cả sụp mí luôn và mắt không còn tròn nữa. Tôi đến khám lại và trao đổi về việc lần sau chỉ tiêm vào cơ cau mày và cơ mảnh khảnh thôi, không tiêm vào cơ trán nữa vì tôi muốn mắt đẹp, chấp nhận nếp nhăn trán. Nhưng bác sĩ nói là kể cả tránh cơ trán, chỉ tiêm vào cơ cau mày thì lông mày của tôi vẫn có thể bị sụp. Có phải như vậy không?
Bác sĩ phẫu thuật cấy tóc: ai là đỉnh cao nhất, không quảng cáo làm trò?
Năm nay tôi 28 tuổi, nam, đã chống chọi với bệnh rụng tóc hói ở nam giới từ năm 17 tuổi. Đến nay tôi đã đi cấy tóc 4 lần và đầu đã gần như đầy tóc, chỉ trừ một vùng tóc mỏng thấy rõ ở phần đỉnh đầu. Vùng cho tóc của tôi vẫn còn khá dày và tôi nghĩ chỉ cần một thủ thuật nữa là tôi sẽ có thể chiến thắng dứt điểm trận chiến này. Tiền không thực sự là vấn đề, câu hỏi của tôi là: Nếu Brad Pitt bị rụng tóc, anh ấy sẽ tìm đến ai?
Lông mày bên cao bên thấp, sưng phình dưới mắt, má xệ sau khi tiêm botox xóa nếp cau mày và nếp chân chim
Tôi đã tiêm 40 đơn vị botox vào trán và vùng vết chân chim. Bác sĩ có nói rằng tiêm cũng sẽ giúp nâng lông mày lên. Đã được 9 ngày và bây giờ một bên chân mày cao hơn đáng kể so với bên kia, có một vết lõm ở phía trên bên chân mày cao hơn nữa. Tôi đã thấy tình trạng này từ vài ngày trước, nghĩ rằng chỉ cần chờ thêm ít ngày sẽ cải thiện nhưng lại càng xấu hơn. Dưới hai bên mắt cũng bị sưng phình lên nữa, và có vẻ má cũng hơi xệ.
Sau tiêm botox xóa nếp cau mày: lông mày bên cao bên thấp, vểnh ngược lên
Tôi mới tiêm botox ở trán và vùng gian mày cách đây 5 ngày, nhưng mỗi khi nhướn mày, lông mày trông lại có hình thù quái dị như này. Liệu tình trạng này sẽ cải thiện hay nặng hơn trong vài ngày tới? Tôi không muốn quay trở lại chỗ bác sĩ tiêm trước, tôi sợ anh ấy sẽ khiến nó còn tệ hơn. Để bình thường thì mọi thứ trông vẫn ổn, nhưng khi nhướn mày là bị như này. Bác sĩ nói là ông ấy chỉ tiêm liều lượng nhỏ vì không muốn tôi có vẻ ngoài cứng đơ, mất tự nhiên. Nếp cau mày hiện vẫn còn.
Chỉnh sửa kiểu lông mày cho nam giới phù hợp cũng rất quan trọng. Làm thế nào để các anh, em biết mình cần thay đổi theo nhiều kiểu dáng khác nhau.
Tổng hợp các kỹ thuật xóa nếp nhăn giữa 2 lông mày
Botox hay các chất điều biến thần kinh khi được tiêm chính xác vào các cơ gây ra nếp nhăn giữa hai đầu lông mày sẽ khiến những nhóm cơ này bị suy yếu, giảm hoạt động, qua đó giảm đáng kể tình trạng nếp nhăn da bên trên.
Cấy lông mày tự thân là phương pháp làm đẹp vĩnh viễn vùng lông mày gói gọn trong một buổi duy nhất.
Điều quan trọng là bạn cần trang bị mọi thứ thật tốt để chuẩn bị trải qua ca phẫu thuật hàm.






