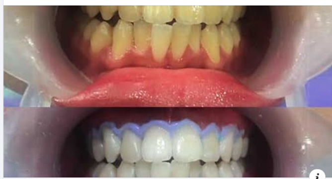
Tẩy trắng răng có làm hỏng men răng không?
https://nhakhoaphuonganh.com/tay-trang-rang-co-lam-hong.../
Xem thêm tẩy trắng răng
Có thể tẩy trắng răng cho người có men răng mỏng không?
Trước kia tôi từng bị trào ngược dạ dày thực quản nhưng giờ đã kiểm soát được. Tuy nhiên, răng tôi hiện tại bị ngả vàng do lộ lớp ngà răng. Răng của tôi có lớp men rất mỏng, vậy tôi nên làm thế nào để có thể tẩy trắng răng?
Liệu men răng có bị hỏng khi tháo niềng không?
Lúc bác sĩ tháo niềng liệu men răng có bị làm hỏng không ạ? Và nếu có thì làm thế nào để ngăn ngừa?
Mài men răng để loại bỏ vùng tam giác ở khe răng có làm răng yếu đi không?
Còn một tuần nữa là tôi có thể tháo niềng răng. Răng tôi hiện tại đã rất hoàn hảo nhưng lại có những vùng hình tam giác xuất hiện ở giữa răng và lợi. Bác sĩ nha khoa thẩm mỹ khuyên tôi nên mài bỏ một phần men răng, sau đó đóng khoảng cách giữa các răng để loại bỏ những vùng tam giác này. Tôi muốn biết liệu việc này có làm cho răng yếu đi và nhạy cảm không?
Có thể tẩy trắng răng mà không làm hỏng răng sứ không?
Răng sứ của tôi bị ngả màu do thuốc lá. Liệu có cách nào loại bỏ được những vết ố này mà không làm hỏng răng sứ không?
Men răng mỏng khắc phục bằng cách nào?
Men răng của tôi rất mỏng và trong ở bên dưới, với rất nhiều vết nứt và mẻ, đau khi ăn đồ nóng hoặc lạnh. Tôi hỏi bác sĩ nha khoa của tôi về phương pháp dán bonding nhưng bác sĩ từ chối và nói không nên động chạm vào men răng. Tôi cảm thấy rất ngại khi cười. Tôi nên làm gì? Tôi có nên tìm đến một bác sĩ khác không hay cứ để nguyên như thế này? Tôi mới 21 tuổi.
Tìm hiểu chung về hút mỡ truyền thống, hút mỡ trợ lực rung, hút mỡ bằng siêu âm, hút mỡ bằng laser. Những quá trình này thực hiện như thế nào? Cùng chúng tôi tìm hiểu
Đăng ký hút mỡ qua suckhoe123 để được trợ giá. Bảng giá hút mỡ tại các bệnh viện thẩm mỹ uy tín ở Hà Nội, TP.HCM
Hút mỡ cánh tay giúp làm thon gọn, thu nhỏ cánh tay
Lưu thông máu kém có nghĩa là tim không thể bơm máu một cách hiệu quả đến các bộ phận trong cơ thể. Điều này có thể dẫn đến các vấn đề nghiêm trọng.
Niềng răng là cách hiệu quả để có được một nụ cười đẹp hơn. Tuy nhiên, một số người sau khi tháo niềng lại cảm thấy thất vọng với kết quả họ có được vì răng xuất hiện những đốm trắng khó coi.






