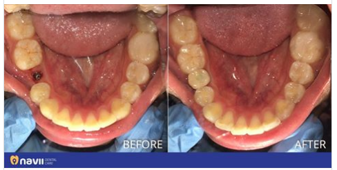
Răng 35 của bệnh nhân bị nứt dọc & chết tủy hoàn toàn
Sau khi thăm khám và chụp Xquang chi tiết, bác sĩ tại Navii Dental Care đã chỉ định nhổ bỏ và trồng lại răng mới.
![]()
![]()
Và đây là kết quả sau khi trồng răng Implant đơn lẻ với trụ Nobel Biocare - dòng Implant của Mỹ với 4 lớp Titanium cao cấp, có khả năng tích hợp của trụ với xương nhanh chóng và vững chắc.
---------------------
NAVII DENTAL CARE - TRUNG TÂM ĐIỀU TRỊ & PHỤC HỒI RĂNG
HÀM MẶT LỚN NHẤT QUẬN HOÀN KIẾM
• Cơ sở 1: 42 Cửa Đông, Hoàn Kiếm, Hà Nội
• Cơ sở 2: 36 Hòa Mã, Hai Bà Trưng, Hà Nội
• Hotline: 024.3747.8292 & 024.3633.1897
• Email: c.service@navii.vn
Bác sĩ của tôi nói rằng không có bác sĩ nào chấp nhận làm phẫu thuật thu nhỏ ngực cho bệnh nhân dưới 18 tuổi?
Tôi hiện tại 16 tuổi và kích thước ngực là 34 H. Tôi cao 1m7, hồi nặng 72kg ngực của tôi có kích thước là 34 F, kích thước ngực của tôi khiến tôi bị đau khi tập thể dục và bây giờ tôi nặng 81 kg. Ngực của tôi vốn đã lớn từ những năm đầu của thời thiếu niên và tôi phải vật lộn với nó hàng ngày. Nó gây đau lưng, lười vận động và vô cùng khó chịu. Bác sĩ của tôi đã nói với tôi rằng không có bất kỳ bác sĩ phẫu thuật thẩm mỹ nào chịu mổ cho bệnh nhân dưới 18 tuổi. Các bác sĩ nghĩ sao?
Tiêm botox điều trị các nếp nhăn dưới mắt có an toàn và hiệu quả không?
Xin chào. Tôi năm nay 27 tuổi, nữ và hiện có nhiều nếp nhăn dưới mắt. Tôi chăm sóc da cẩn thận. Tuy nhiên, dường như tôi không thể làm gì để ngăn cản sự xuất hiện của các nếp nhăn dưới mắt. Lớp trang điểm của tôi khiến chúng rõ hơn, chúng thực sự đang khiến tôi trông già đi. Liệu tiêm botox có điều trị hiệu quả và an toàn không? và nếu không được, thì phương pháp nào giúp xóa các nếp nhăn này?
Phương pháp tốt nhất dành cho răng cửa bị chết tủy?
Bác sĩ của tôi giới thiệu tôi đã đến gặp một bác sĩ nha khoa chuyên về rút tủy răng. Bác sĩ này nói rằng ống tủy răng của tôi bị vôi hóa và không thể tiến hành rút tủy. Tất cả những răng còn lại đều khỏe mạnh và thẳng hàng. Vậy tôi nên chọn phương pháp dán sứ hay bọc răng sứ cho răng cửa ở hàm trên? Chiếc răng này có thể giống với những răng còn lại không?
Răng sứ toàn sứ có phải là tự nhiên nhất không?
Bọc răng sử dụng răng giả chất liệu hoàn toàn bằng sứ là tự nhiên nhất?
Bị bệnh về lợi thì có thể niềng răng invisalign không?
Bác sĩ nói rằng tôi bị bệnh về lợi và tôi đã tiến hành một liệu trình vệ sinh răng chuyên nghiệp. Bác sĩ nha khoa thẩm mỹ nói rằng tôi nên đợi 6 tháng để lợi trở về trạng thái bình thường trước rồi mới niềng răng invisalign. Nhưng một bác sĩ khác lại nói răng lợi của tôi không có vấn đề gì lớn và có thể tiến hành niềng răng ngay. Vậy tôi nên chờ hay có thể niềng ngay?
Trong những năm qua, tôi đã chẩn đoán 6 bệnh nhân bị bệnh ung thư vú. Điều này có vẻ không giống như việc một bác sĩ phẫu thuật thẩm mỹ thường làm. Và điều này cũng không phải nhiệm vụ của tôi.
Các nhà nghiên cứu nói rằng bệnh nhân bị mụn trứng cá nên xem xét rủi ro so với lợi ích của điều trị bằng kháng sinh.
Vài năm trước bạn đã được phẫu thuật thẩm mỹ để nâng ngực và tin chắc rằng sẽ hài lòng mãi mãi với bộ ngực mới của mình. Nhưng hiện tại bạn lại không thích nó
Bệnh trứng cá đỏ là một tình trạng viêm da khá phổ biến ảnh hưởng đến hàng triệu người. Khuôn mặt trở nên ửng đỏ sau khi tập luyện cường độ cao hoặc sau khi uống rượu mà không giảm đi theo thời gian có thể là dấu hiệu của bệnh trứng cá đỏ.
Bạn đã biết cách làm thế nào để duy trì hàm răng thẳng đều sau khi tháo niềng chưa?






