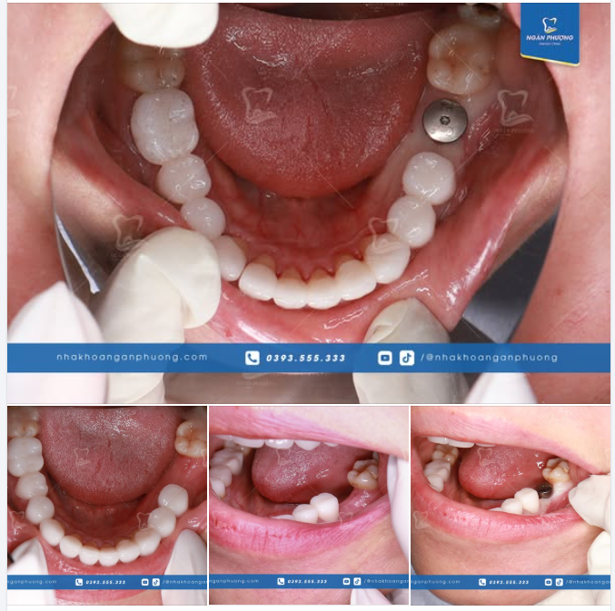
Phục hình rồi, ăn Tết thôi
Mão sứ trên implant răng 6 đã hoàn thiện, Tết này ăn nhai cả 2 bên chẳng sót bất kì món ngon nào! Cảm ơn chị Nguyễn Hà đã tin tưởng bác sĩ Giang và Nha khoa Ngân Phượng. Chúc chị Tết này chẳng giống Tết xưa, răng hàm chắc khỏe, quá thừa niềm vui ^^ Xem thêm trồng răng implant
Tư vấn implant đón Tết siêu "ngon": m.me/nhakhoanganphuong=
HỆ THỐNG NHA KHOA NGÂN PHƯỢNG
CS 1: 100 Doãn Kế Thiện, Cầu Giấy, Hà Nội
CS 2: 59 Trần Quốc Hoàn, Cầu Giấy, Hà Nội
CS 3: 67 Huỳnh Văn Bánh, P15, Phú Nhuận, Hồ Chí Minh
Thời gian phục hồi sau khi tạo hình thành bụng mini là bao lâu?
Xin hỏi, sau phẫu thuật tạo hình thành bụng mini, phải mất bao lâu mới hồi phục?
Tạo hình thành bụng mini có cho tôi kết quả như ý? Thời gian hồi phục là bao lâu?
Tôi đã đến hai buổi tư vấn và cả hai bác sĩ nói là tôi nên làm tạo hình thành bụng mini. Tôi không quan tâm lắm đến chuyện loại bỏ các vết rạn da. Tôi chỉ muốn chữa cơ bụng bị xổ khiến bụng tôi phình to, đặc biệt sau khi ăn... như trong ảnh chụp vào lúc cuối ngày. Tôi thường xuyên tập luyện và ăn uống cẩn thận. Tôi nặng 46 kg (cao 1m58), nhưng sau khi mang thai nhiều lần, bụng tôi trông thế này đây. Cảm ơn ý kiến của các bác sĩ!
Thời gian hồi phục sau tạo hình thành bụng? Các mẹo khi thực hiện các hoạt động thường ngày.
Tôi có vài thắc mắc về thời gian hồi phục sau tạo hình thành bụng. Sau phẫu thuật thì mất bao lâu trước khi tôi có thể: 1-Đứng thẳng? 2-Ngủ nằm sấp? 3-Tập thể dục? 4-Thời gian hồi phục tổng cộng hết bao lâu? Các câu hỏi khác là: 5-Mẹo để nằm ngủ. 6-Ngồi thế nào khi làm công việc văn phòng. 7-Tôi có cần mua gậy để giúp đi lại và đứng thẳng không? 8-Cần mua gì để thấy thoải mái? Xin cảm ơn các bác sĩ đã trả lời.
Hút mỡ và tạo hình thành bụng đau đến mức nào và thời gian hồi phục sẽ mất bao lâu?
Sẽ mất bao lâu để hồi phục sau phẫu thuật hút mỡ và tạo hình thành bụng
Thời gian hồi phục sau nâng ngực bằng túi độn là bao lâu?
Tôi là một giáo viên dạy thể dục và muốn nâng ngực thẩm mỹ. Tôi muốn có vòng một trông thật tự nhiên và không muốn ai biết mình làm ngực to lên bằng dao kéo. Tôi sợ rằng nếu tôi mất thêm thời gian nghỉ ngơi trước hoặc sau kỳ nghỉ đông, thì tất cả mọi người sẽ chú ý. Liệu tôi có thể được trở lại làm việc chỉ sau một tuần phẫu thuật? Thời gian hồi phục sau nâng ngực bằng túi độn là bao lâu?
Thời gian hồi phục sau một số quy trình phẫu thuật hoặc các quy trình điều trị thẩm mỹ sẽ đủ ngắn để bạn có thể nhanh chóng trở lại cuộc sống thường nhật của mình. Tuy nhiên thật không may điều này là không thể với một quy trình phẫu thuật tạo hình thành bụng.
Bôi kem dưỡng ẩm hàng ngày giúp da mềm mịn và chống lão hóa da là một thói quen tốt. Nếu bạn tưới nước và chăm bón cho cây cối thường xuyên, nó sẽ xanh tốt. Nếu thiếu nước cây sẽ khô héo và chết.
Phẫu thuật tạo hình thành bụng sẽ khôi phục triệt để vùng bụng phẳng mịn, săn chắc. Đây là quy trình thường được các bà mẹ và những người giảm nhiều cân săn đón để một lần nữa có được vòng hai phẳng mịn.
Khi già đi, cho dù là có sinh con hay không thì một số phụ nữ cũng sẽ phát triển da và mỡ thừa quanh vùng bụng.
Cắt môi bé (tạo hình vùng kín - tạo hình môi bé) giúp thu nhỏ môi bé dài chảy xệ thâm nhăn, giảm đau rát khó chịu và tăng sự tự tin cho chị em phụ nữ.







