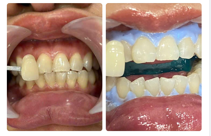
NỤ CƯỜI TRẮNG SÁNG VỚI TẨY TRẮNG RĂNG
️
Bạn đang có hàm răng ố vàng, xỉn màu, không tự tin khi giao tiếp. Vậy tại sao không “thay áo” mới cho nụ cười ?
→ Nha khoa Thái Tổ với công nghệ tẩy trắng răng Hiện đại giúp bạn có hàm răng trắng sáng cùng nhiều ưu điểm vượt trội :
- Không gây ê buốt.
- Thời gian thực hiện ngắn.
- Bật tông ngay sau khi thực hiện.
- Công nghệ hiện đại giúp răng chắc khỏe hơn.
- Tính an toàn cao, không ảnh hưởng đến nướu, men răng.
- Duy trì được màu từ 3 - 4 năm.
Nếu bạn đang muốn có 1 hàm răng trắng sáng, tự nhiên và bền màu hãy đến Nha khoa Thái Tổ
Cách giữ cho mặt dán sứ veneer trắng sáng?
Xin hỏi bác sĩ các phương pháp để duy trì và giữ cho mặt dán sứ veneer luôn trắng sáng?
Sau khi đã dán sứ veneer thì còn có thể tẩy trắng răng không?
Tôi có một vài chiếc răng đã được dán sứ, liệu tôi có thể tẩy trắng cho các răng còn lại mà không ảnh hưởng đến mặt dán sứ không? Việc tẩy trắng có gây hại cho mặt dán sứ không?
Các sản phẩm tẩy trắng răng có tác dụng với răng sứ và miếng trám không?
Liệu có thể tẩy trắng răng khi đã bọc răng sứ hoặc trám răng không?
Màu sắc của răng sứ hiện nay trắng hơn so với cách đây 20 năm?
Tôi được biết là răng sứ không bị ngả màu nhưng ở đa số các bức ảnh mà tôi xem thì các răng sứ cũ đều được thay thế bằng răng sứ mới có màu trắng hơn hẳn. Đó là do răng sứ được sản xuất bây giờ có màu trắng hơn răng sứ trước kia hay là do răng sứ cũ bị ngả màu?
Có thể khắc phục được tình trạng răng chen chúc xô lệch mà không cần nhổ răng không?
Tôi 23 tuổi và đang cân nhắc đến việc niềng răng để khắc phục tình trạng răng mọc khấp khểnh. Tôi đã đến gặp hai bác sĩ nha khoa thẩm mỹ và họ đều nói là cần phải nhổ răng nhưng tôi lại không muốn vậy. Hàm dưới của tôi gần như hoàn hảo nhưng tôi có tật nghiến răng vào ban đêm. Vậy tôi muốn hỏi là có thật sự cần phải nhổ răng hay không?
Niềng răng là cách hiệu quả để có được một nụ cười đẹp hơn. Tuy nhiên, một số người sau khi tháo niềng lại cảm thấy thất vọng với kết quả họ có được vì răng xuất hiện những đốm trắng khó coi.
Khi bị mụn, bạn cần cẩn thận trong lựa chọn các các loại mỹ phẩm trang điểm và việc tẩy trang mỗi tối càng cần cẩn thận hơn nữa.
Bài viết này tổng hợp những câu được hỏi nhiều nhất xung quanh vấn đề đàn ông và mụn.
Tình trạng ngứa và sưng đỏ là triệu chứng điển hình của mụn trứng cá viêm, nhưng mụn viêm chưa chắc đã do vi khuẩn p. acnes gây ra. Và những nốt mụn không ngứa, sưng đỏ, đau vẫn có thể bị viêm.
Lòng trắng trứng thường được dùng làm mặt nạ trị mụn tại nhà vì có giá rẻ, dễ thực hiện và mang lại hiệu quả thực sự. Tuy nhiên, để có hiệu quả cao nhất thì lòng trắng trứng không thôi vẫn chưa đủ.









