Lúc đầu hơi "hoảng" chứ sau chỉ có "tuyệt vời" trở lên thôi
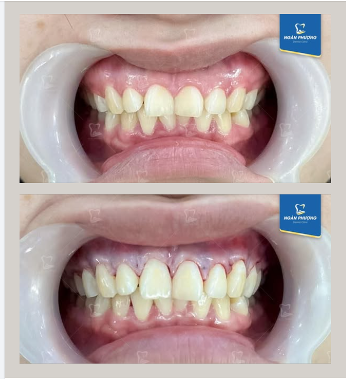
Trước Tết chị Trang đã qua Ngân Phượng lật vạt cắt lợi, không chỉ giảm viêm lợi, thân răng dài hơn mà nụ cười cũng tự tin hơn hẳn. So lại ảnh gốc cười còn hơi ngượng, giờ lành thương rồi thì cứ thoải mái bung lụa thôi ![]()
Cảm ơn chị Trang đã tin tưởng bác sĩ Tuấn và nha khoa. Liên hệ đặt lịch ngay cho nụ cười chuẩn y khoa 10/10: m.me/nhakhoanganphuong Xem thêm điều trị cười hở lợi
HỆ THỐNG NHA KHOA NGÂN PHƯỢNG
100 Doãn Kế Thiện, Cầu Giấy, Hà Nội
59 Trần Quốc Hoàn, Cầu Giấy, Hà Nội
67 Huỳnh Văn Bánh, Phú Nhuận, tp. Hồ Chí Minh
Bác sỹ cho em hỏi mắt em mở khoé mắt được 16 ngày thì em phát hiện lúc cắt chỉ bị sót ,nên em quay lại nơi cắt khoé lấy chỉ sót thì bạn cắt chỉ nhìn thấy chỉ nhưng do sâu quá bạn đấy làm nó tụt vào và mất dấu,vậy em hỏi nếu không lấy được chỉ thì em
Bác sỹ tư vấn giúp em
Điều gì xảy ra với mỡ bị "đông lạnh" sau khi làm đông hủy mỡ?
Tôi đã làm đông hủy mỡ khoảng 7 tháng trước. Tôi bị bầm tím rất nặng và rất đau sau khi làm thủ thuật này, cơ bụng của tôi vẫn còn tê. Đường nét cơ thể của tôi vẫn không có thay đổi gì, ngoại trừ chỉ số mỡ máu Triglyceride tăng cao hơn nhiều. Theo lời bác sĩ nói thì là "cao hơn một cách nguy hiểm." Đây có phải là do đông hủy mỡ hay không? Điều gì sẽ xảy ra với mỡ bị "đông cứng"? Làm thế nào để mỡ được đào thải ra khỏi cơ thể? Tôi được bảo là đừng lo lắng, nó sẽ ngấm vào máu. Điều này có chính xác không?
Có "thuốc giải " nào làm mất tác dụng của Botox không?
Nếu tiêm quá nhiều Botox vào một vùng thì có loại thuốc nào có thể làm Botox mất tác dụng nhanh hơn không?
"Tuổi thọ" của túi độn mông?
Túi độn mông tồn tại được trong bao lâu, khi nào thì cần thay thế?
Sản phẩm che khuyết điểm tóc có thể làm "tắc nang tóc" không và tác dụng phụ của chúng là gì?
Đã có rất nhiều tin đồn là các sợi bên trong các sản phẩm như Caboki sẽ làm "tắc nghẽn" nang tóc, đặc biệt là nếu nang tóc nở ra do nóng hoặc đổ mồ hôi. Tôi tệ nhất là bị hói Norwood độ 3, vì vậy tôi tạm có thể sử dụng sản phẩm che khuyết điểm trong thời gian này, tôi định sẽ cấy ghép tóc khi rụng gần hết tóc ở thái dương. Sản phẩm che khuyết điểm có thể làm tăng tốc độ rụng tóc không? Nhiều người trên internet thề là có; mong các bác sĩ có thể cho tôi biết sự thật.
Bạn đã từng có những buổi sáng thức dậy khi nhìn vào gương và thấy cứ như có hai quả bỏng xì hơi treo lơ lửng và lại tự hỏi mình liệu chiếc áo ngực có thể kéo chúng lên hay không.
Hút mỡ trợ rung, hay hút mỡ trợ lực, là hình thức hút mỡ cải tiến hơn so với hút mỡ truyền thống.
Dầu marula có nguồn gốc từ một loại cây mọc ở khu vực phía nam của châu Phi. Loại dầu này đã được người dân bản địa sử dụng để chữa bệnh từ hàng trăm năm trước, thậm chí là hàng ngàn năm và ngày nay được sử dụng cho nhiều mục đích khác nhau trên toàn thế giới, bao gồm cả mục đích làm đẹp.
Chỉ khâu là một trong những thành phần vô cùng quan trọng trong tất cả các ca tạo mắt hai mí. Nó đảm trách nhiệm vụ cố định và hình thành nếp mí.






