LỢI ÍCH CỦA VIỆC THĂM KHÁM SỨC KHỎE RĂNG MIỆNG ĐỊNH KÌ:
LỢI ÍCH CỦA VIỆC THĂM KHÁM SỨC KHỎE RĂNG MIỆNG ĐỊNH KÌ:
☝ PHÁT_HIỆN_SỚM và ĐIỀU_TRỊ các tổn thương của răng, lợi và các cấu trúc trong miệng.
☝ Lấy cao răng mảng bám, làm sạch khoang miệng giữ cho mô nha chu khỏe mạnh và hơi thở thơm tho.
☝ Can thiệp kịp thời sự phát triển lệch lạc của hàm-răng ở trẻ em.
☝ Được bác sỹ giáo dục miễn phí các phương pháp vệ sinh răng miệng ĐÚNG và ĐẦY ĐỦ: Chải răng đúng cách là chải như thế nào? Nên chọn loại bàn chải nào tốt cho răng miệng bạn? Sử dụng loại nước súc miệng nào? Chỉ tơ nha khoa và các phương pháp hỗ trợ khác cho việc chăm sóc răng miệng hàng ngày của bạn?
☝ Được đưa ra lời khuyên về chế độ dinh dưỡng để có 1 hàm răng khỏe đẹp.
☝ Được lên 1 kế hoạch tổng thể thể để có 1 hàm răng chắc khỏe và thẩm mỹ, với phương pháp điều trị nhanh nhất, tiên tiến và hiệu quả nhất mà giảm được chi phí tối đa cho bạn.
☝ Ngoài ra, bạn cũng có thể đưa ra các câu hỏi để Bác sỹ Nha khoa giải đáp thắc mắc giúp bạn và gia đình bạn!
?TRUNG TÂM NHA KHOA THÁI TỔ
CS1: 472-474 Lý Thái Tổ P10 Q10
☎️028 62933393
CS2: 64 Lý Chính Thắng P8 Q3
☎️028 22240555
⏰ THỜI GIAN LÀM VIỆC:
- Thứ 2 - 7: từ 8h-20h
- Chủ nhật: từ 8h-16h
Các sản phẩm tẩy trắng răng có tác dụng với răng sứ và miếng trám không?
Liệu có thể tẩy trắng răng khi đã bọc răng sứ hoặc trám răng không?
Súc miệng bằng Hydrogen Peroxide để làm trắng răng có an toàn không?
Nhiều người nói rằng súc miệng bằng Hydrogen Peroxide sẽ làm cho răng trắng hơn. Có thật sự có tác dụng không? Có an toàn không?
Làm trắng răng tại nhà và tẩy trắng răng tại phòng khám nha khoa
Phương pháp nào có hiệu quả tẩy trắng răng cao hơn?
Hiệu quả của miếng dán trắng răng?
Tôi đang phân vân giữa miếng dán trắng răng và kem đánh răng có công dụng làm trắng răng? Sản phẩm nào có hiệu quả cao hơn và không ảnh hưởng đến lợi khi thực hiện tại nhà?
Tại sao phải đến phòng khám nha khoa để tẩy trắng răng?
Theo như tổ chức CCTW - Council for Cosmetic Teeth Whitening thì: - Khách hàng sẽ không gặp phải bất kì rủi ro nào khi tự tiến hanh tẩy trắng răng - Các phương pháp tẩy trắng răng tại nhà không cần đến sự hỗ trợ của bác sĩ - Khách hàng có quyền tẩy trắng răng theo cách mà họ muốn Hơn nữa, hiện nay nhiều người không có khả năng chi trả cho các phương pháp tẩy trắng răng được thực hiện bởi bác sĩ hoặc không muốn phải dành ra một thời gian quá dài để tẩy trắng răng tại phòng khám. Vậy thì tại sao lại phải tìm đến các phòng khám nha khoa để tẩy trắng răng?
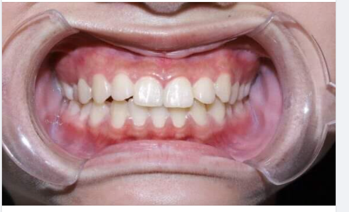
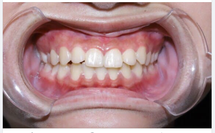
Nếu như răng mọc xiên vẹo, khấp khểnh thì sẽ rất khó khăn để tiếp cận một số vị trí trên hàm khi đánh răng hoặc dùng chỉ nha khoa và đó là những vị trí rất dễ bị sâu răng.
Invisalign là những khay niềng bằng nhựa trong suốt, có thể tháo rời nên ngoài ưu điểm kín đáo, ít bị lộ hơn niềng truyền thống ra thì loại niềng này còn giúp cho vệ sinh răng miệng trở nên dễ dàng hơn nhiều.
Nhiều người không biết rằng hàm răng khấp khểnh không chỉ ảnh hưởng đến vẻ ngoài của một người mà còn có những tác động tiêu cực đến sức khỏe nữa.
Bạn có biết nguy cơ bệnh tim mạch là một vấn đề chính có thể giảm thiểu khi thực hiện các bước chăm sóc răng miệng đúng cách hàng ngày.
Mặc dù một số loại xịt thơm miệng có thể gây hại cho răng trong quá trình đeo niềng nhưng các loại sản phẩm xịt không chứa đường và không chứa cồn có thể sử dụng được với niềng trong suốt Invisalign.





