Dear Santa, Tôi muốn niềng xong xinh hơn 200 lần.
Tôi hứa sẽ tái khám đúng hẹn, ăn uống điều độ, không bao giờ để rớt mắc cài, nghe lời bác sĩ tuyệt đối!! Xem thêm niềng răng
Thanks.
Lạc Việt Intech rào trước Santa đến vậy rồi đó, còn "điều tuуệt vời nằm ở nơi chính ta, chẳng cần tìm đâu xa..." chúng ta cùng cố gắng nha các đồng niềng ơi!!!
NHA KHOA LẠC VIỆT INTECH - DẪN ĐẦU CHẤT LƯỢNG ĐIỀU TRỊ
Website: https://lacvietintech.vn
Hotline: 096.192.0606
Hệ thống Nha khoa Lạc Việt Intech:
TP.Hồ Chí Minh:
Số 90-92 Ngô Gia Tự, Phường 9, Quận 10, TP.HCM.
Hà Nội:
Số 91 Phố Huế, Hai Bà Trưng, Hà Nội.
Số 168 Đường Láng, Đống Đa, Hà Nội.
Số 426 Minh Khai, Hai Bà Trưng, Hà Nội.
Số 27 Nguyễn Văn Huyên, Cầu Giấy, Hà Nội.
Nghệ An:
Số 24 Cao Thắng, P.Hồng Sơn, TP.Vinh.
Hải Phòng:
Số 107 Tô Hiệu, Lê Chân, Hải Phòng.
Tôi không muốn niềng răng, liệu dán sứ veneer có tốt hơn không?
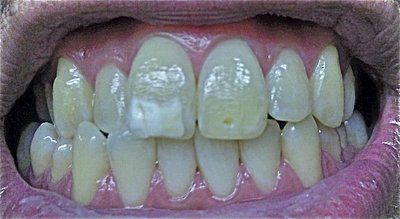
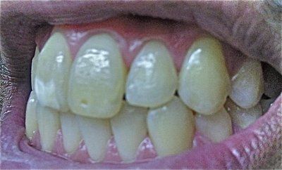
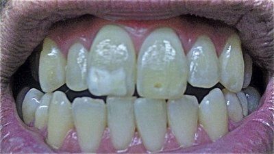
Hai răng cửa của tôi to hơn so với những răng còn lại, trong đó có một răng còn hơi bị lệch một chút. Ngoài ra, hai răng bên cạnh còn hơi thụt vào bên trong. Tôi không muốn đeo niềng, vậy bằng phương pháp dán sứ veneer có giải quyết được vấn đề không?
Niềng răng xong rồi dán sứ Veneer hay chỉ cần dán sứ Veneer?
Theo như ảnh chụp thì tôi nên niềng răng xong cho thẳng, rồi sau đó mới dán sứ Veneer cho răng cửa, hay có thể kết hợp cùng một lúc (trước đây tôi đã niềng răng cho các răng hàm trên nhưng bây giờ răng lại bị xô lệch). Làm thế nào để loại bỏ những mảng màu trắng trước và trong khi đeo niềng răng mặt trong (lingual braces)? Liệu nếu không niềng răng thì phương pháp dán sứ veneer cho tất cả các răng có hiệu quả hơn không? Có cần tẩy trắng răng và có nên làm cho hai răng cửa nhỏ lại không?
Bộ khay hoàn thiện sau khi niềng xong invisalign là gì?
Tôi đã hoàn thành xong chuỗi bộ khay niềng invisalign (tổng 17 bộ khay cho hàm trên và hàm dưới) để kéo dài 2 răng cửa trước và khắc phục vấn đề khấp khểnh. Tuy nhiên 2 răng cửa trước vẫn chưa kéo dài được như mong muốn để ngang bằng với các răng cửa bên. Bác sĩ nói tôi cần thêm các " bộ khay hoàn thiện". Nó là cái gì vậy, tôi không hiểu? và tôi cũng không còn tiền nữa
Em muốn hỏi răng em hô do hàm hay do răng ạ và nếu niềng răng có thể cải thiện được cằm lẹm không ạ?
Em năm nay 17 tuổi,khi cười nhìn ở góc thẳng sẽ thấy đều nhưng khi nhìn góc dưới sẽ thấy khớp cắn sâu ,1 chiếc răng cửa bị lệch ra trước,hàm dưới thì răng có vẻ nghiêng và 1 vài chiếc bị lệch vào trong.Và niềng răng có cải thiện được cằm lẹm chút nào không ạ?
Phụ nữ làm combo ngực bụng xong thì có hay bị đờm ở cổ họng lúc nào cũng cảm giác muốn ho không?
Tôi vừa mới làm combo ngực bụng momy makeover cách đây hai ngày và cái vấn đề lớn nhất của tôi là tôi bị đờm trong cổ họng/phổi sau phẫu thuật. Lúc nào cũng có cảm giác muốn ho, nhưng mỗi lần ho là tôi lại đau dữ dội, gần như không thể chịu đựng được. Tôi chưa thấy có ai hỏi về vấn đề này. Liệu đây có phải hiện tượng bất thường không?
Chúng ta đều biết rằng các tác động bên ngoài như ánh nắng hay môi trường đều gây hại cho da nhưng dường như không mấy ai để ý rằng thói quen sống hiện đại cũng có ảnh hưởng nhất định đến vẻ bề ngoài của chúng ta.
Các hướng dẫn chăm sóc răng miệng cơ bản khi đeo niềng răng và hàm duy trì
Invisalign là một trong những giải pháp nắn chỉnh răng mới nhất hiện nay. Loại niềng này gần như vô hình, khiến nó trở thành một trong những lựa chọn phù hợp cho rất nhiều thanh thiếu niên và cả người lớn tuổi.
Nếu như răng mọc xiên vẹo, khấp khểnh thì sẽ rất khó khăn để tiếp cận một số vị trí trên hàm khi đánh răng hoặc dùng chỉ nha khoa và đó là những vị trí rất dễ bị sâu răng.
Khi có hàm răng khấp khểnh thì bạn sẽ chẳng thể nào có nụ cười đẹp được. Rất nhiều người khi đến tuổi trưởng thành vẫn có nhu cầu nắn thẳng răng nhưng lại ngại đeo niềng răng mắc cài truyền thống vì lo bị lộ.















