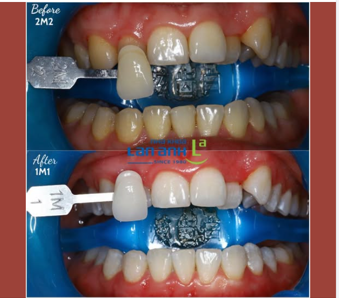
Cạo vôi răng và Tẩy trắng răng khác nhau như thế nào
Có nhiều khách hàng nghỉ rằng cạo vôi răng là phương pháp điều trị làm răng trắng sáng, nhưng thực tế cạo vôi và tẩy trắng là 2 phương pháp điều trị khác nhau.
Cạo vôi răng: là quá trình làm sạch các mảng bám trên răng, vết dính, vôi răng đóng dưới nướu bằng dụng cụ rung của sóng siêu âm mà bàn chải bình thường không thể làm sạch được.
Tẩy trắng răng: là phương pháp dùng các gel tẩy và năng lượng ánh sáng tạo ra phản ứng oxy hóa làm thay đổi màu sắc răng một cách nhanh chóng. Hiện nay, tẩy trắng răng được nhiều khách hàng tin tưởng lựa chọn để cải thiện tình trạng răng ố vàng, mang lại hiệu quả thẩm mỹ.
P/s : Mời bạn xem hình ảnh một trường hợp răng ố vàng được Bác sĩ tư vấn cạo vôi răng và Tẩy trắng tại phòng bằng hệ thống đèn Philips Zoom White Speed.
Vui lòng liên lạc để được tư vấn cụ thể cho trường hợp của bạn.
: 292 Huỳnh Văn Bánh, Phường 11, Quận Phú Nhuận.
Lợi bị trắng sau tẩy trắng răng, khi nào lợi trở về màu sắc bình thường?
Lợi của tôi bị chuyển màu trắng và sưng đỏ sau quá trình tẩy trắng răng. Phải mất bao lâu để lợi lành lại và trở về màu hồng như bình thường?
Làm trắng răng tại nhà và tẩy trắng răng tại phòng khám nha khoa
Phương pháp nào có hiệu quả tẩy trắng răng cao hơn?
Laser picosure và laser CO2 Fractional khác nhau như thế nào
Em muốn hỏi Laser picosure và laser CO2 Fractional khác nhau như thế nào ? Nếu trong spa dùng loại nào thíc hợp nhất ? Xin các sác sĩ cho rm câu trả lời thích hợp. Em cảm ơn.
Nên dùng sản phẩm nào để kết hợp với máng tẩy trắng răng?
Sản phẩm nào có hiệu quả nhất khi dùng với máng tẩy trắng răng?
Các sản phẩm tẩy trắng răng có tác dụng với răng sứ và miếng trám không?
Liệu có thể tẩy trắng răng khi đã bọc răng sứ hoặc trám răng không?
Vi khuẩn Proprionibacterium, hay p. acnes là một trong những nguyên nhân quan trọng gây ra mụn trứng cá. Mỗi người chúng ta đều có đến hàng tỉ vi khuẩn p. acnes trên da.
Microbiome của da bao gồm toàn bộ các vi sinh vật sống trên đó, cũng như là các đặc điểm riêng của làn da - môi trường sinh sống của chúng.
Đôi mắt hai mí sắc nét, to đẹp không chỉ là thứ vũ khí không lời tuyệt vời nói lên những xúc cảm từ bên trong mà còn giúp gương mặt người sở hữu trở nên tươi tắn, sống động và thiện cảm hơn rất nhiều.
Những người quan tâm đến cấy tóc và đang tìm kiếm thông tin có thể biết rằng có hai loại cấy tóc, cấy tóc FUE và cấy tóc FUT, và bạn có thể tự hỏi sự khác biệt giữa cấy tóc FUE và FUT là gì? Cấy tóc loại nào tốt hơn? Và tiêu chí để lựa chọn là gì?
Nâng mũi cao Tây là sở thích thẩm mỹ cá nhân của một số bạn trẻ, tuy nhiên dáng mũi này thường không bền vững và nguy cơ bị các biến chứng về sau





