Viêm thoái hoá khớp ngón tay: Những điều cần biết
1. Hoạt động bình thường của khớp ngón tay

Xương ở lòng bàn tay là xương đốt bàn tay. Mỗi xương đốt bàn tay sẽ nối với xương đốt ngón tay. Những xương đốt ngón tay nhỏ sắp xếp nối tiếp nhau, tạo thành xương ngón tay. Các khớp ngón tay ở bàn tay (khớp bàn ngón tay) được tạo thành bởi sự kết nối giữa xương đốt ngón tay và xương đốt bàn tay. Khớp bàn ngón tay cử động như bản lề cho phép mỗi người dễ dàng gập ngón tay lại hoặc duỗi thẳng ngón tay ra.
3 xương đốt ngón tay ở mỗi ngón tay nối với nhau bởi 2 khớp, được gọi là khớp liên đốt ngón tay. Khớp gần với khớp bàn tay nhất được gọi là khớp liên đốt gần. Khớp nằm gần đầu ngón tay gọi là khớp liên đốt xa. Riêng ngón cái chỉ có một khớp liên đốt giữa 2 xương đốt ngón cái. Các khớp này cũng hoạt động như khớp bản lề khi gập, duỗi ngón tay.
Các khớp ngón tay được bao phủ bên ngoài bởi lớp sụn khớp, có màu trắng và độ cứng như cao su. Sụn khớp có chức năng hấp thu các va chạm, tạo một bề mặt trơn láng để thuận lợi cho khớp chuyển động.
2. Viêm thoái hoá khớp ngón tay là bệnh gì?
Viêm thoái hoá khớp ngón tay có thể xảy ra ở bất kỳ ngón tay nào như khớp ngón tay cái, khớp ngón tay út,... Đây là tình trạng sụn nằm ở đầu các xương hình thành khớp ngón tay bị mòn đi hoặc thoái hóa, thường diễn ra từ từ trong nhiều năm. Với viêm thoái hoá khớp ngón tay, các sụn bao phủ đầu xương bị giảm chất lượng, bề mặt trơn nhẵn của nó bị sần sùi. Khi các xương chà xát với nhau sẽ dẫn đến ma sát và tổn thương khớp. Các tổn thương khớp có thể dẫn đến sự tăng trưởng của các xương mới dọc theo 2 bên xương hiện có (gai xương) hoặc có thể tạo ra khối gồ trên khớp ngón tay.
3. Nguyên nhân gây viêm thoái hoá khớp ngón tay
● Lão hóa: Viêm thoái hoá khớp ngón tay thường xảy ra cùng với lão hóa;
● Chấn thương: Các chấn thương trước đó như bong gân nặng, gãy xương hoặc tổn thương khớp ngón tay có thể tác động tới sụn khớp, làm thay đổi hoạt động của khớp. Khi chấn thương làm khớp thay đổi cách sắp xếp và chuyển động, lực sẽ đè ép lên bề mặt sụn khớp, sau thời gian sẽ phá hủy sụn khớp. Vì sụn khớp không thể tự phục hồi tốt, tổn thương sẽ ngày càng nặng hơn và xuất hiện các triệu chứng viêm thoái hoá khớp ngón tay.
Một số yếu tố làm tăng nguy cơ mắc viêm thoái hoá khớp ngón tay:
● Là nữ giới;
● Trên 40 tuổi;
● Béo phì;
● Mắc một số tình trạng di truyền như dây chằng khớp lỏng, các khớp bị biến dạng,...;
● Các bệnh làm thay đổi cấu trúc và chức năng bình thường của sụn khớp như viêm khớp dạng thấp;
● Các hoạt động và công việc tạo áp lực lên ngón tay.
4. Triệu chứng của viêm thoái hoá khớp ngón tay
● Đau khớp ngón tay: Là triệu chứng đầu tiên và phổ biến nhất. Cơn đau có thể xảy ra ở gốc ngón tay khi nắm, chụp một vật nào đó hoặc dùng lực ngón tay. Đầu tiên, cơn đau chỉ xuất hiện khi bệnh nhân bắt đầu một hoạt động cầm, nắm đồ vật. Khi người bệnh hoạt động, cơn đau sẽ giảm bớt. Tuy nhiên, sau khi nghỉ ngơi vài phút, cơn đau và cứng khớp sẽ tăng lên. Khi bị viêm thoái hoá khớp nặng hơn, cơn đau khớp ngón tay sẽ xuất hiện ngay cả khi người bệnh nghỉ ngơi;
● Biến dạng ngón tay: Khi bệnh viêm thoái hoá khớp ngón tay tiến triển, ngón tay thường biến dạng. Các khớp bàn ngón tay bắt đầu hướng về một bên (về phía ngón út) - là hiện tượng lệch về phía xương trụ, có thể gây yếu tay và đau, gây khó khăn trong việc sử dụng bàn tay trong những hoạt động thường ngày;
● Biến dạng khớp liên đốt: Khớp liên đốt ngón tay bắt đầu gập hoặc duỗi quá mức, tạo thành các biến dạng đặc trưng. Biến dạng cổ thiên nga là tình trạng các khớp liên đốt gần bị lỏng và duỗi quá mức, trong khi đó khớp liên đốt xa bị gập lại. Biến dạng boutonniere xuất hiện khi khớp liên đốt gần bị gập và khớp liên đốt xa duỗi ra;
● Sưng khớp liên đốt: Các khớp liên đốt gần bị to mặt sau, sưng và đau, tạo thành các nốt Bouchard. Các khớp liên đốt xa bị sưng to gọi là nốt Heberden;
● Triệu chứng khác: Sưng, cứng, ấm và đau ở gốc ngón tay; giảm sức mạnh khi cầm, nắm đồ đạc; giảm phạm vi chuyển động tay; khớp tại gốc ngón tay to ra hoặc nhìn thấy cục xương.
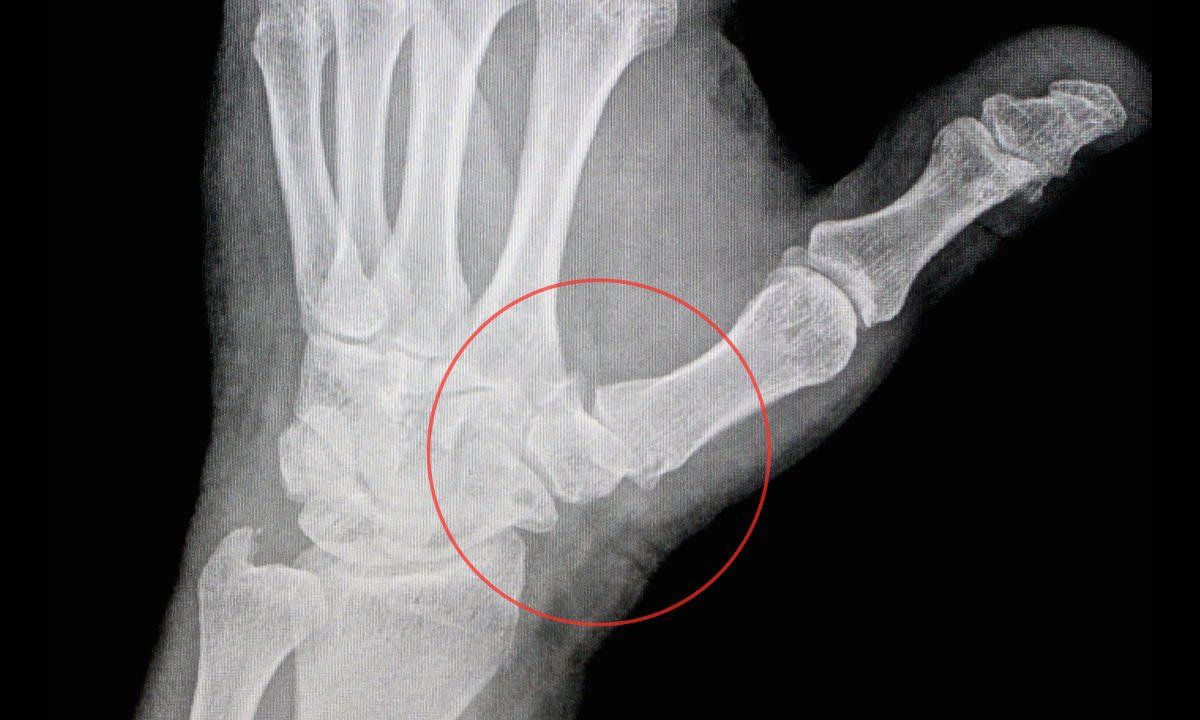
5. Chẩn đoán viêm thoái hoá khớp ngón tay
● Bác sĩ hỏi về bệnh sử, chi tiết về các chấn thương đã từng xuất hiện ở bàn tay của bệnh nhân;
● Bác sĩ khám, tìm kiếm dấu hiệu sưng, cục u nổi lên hoặc xem xét khả năng cử động của các khớp bàn tay và các khớp khác trên cơ thể. Bác sĩ có thể giữ khớp bệnh nhân cố định trong khi di chuyển ngón tay, nếu cử động này tạo ra âm thanh lạo xạo hoặc đau đớn hay cảm giác có sạn, chứng tỏ sụn đã bị mòn và xương cọ sát vào nhau;
● Kiểm tra bằng các kỹ thuật chẩn đoán hình ảnh như chụp X-quang để xem xét những dấu hiệu của viêm khớp ngón tay, bao gồm các cựa xương, sụn bị mòn, mất khoảng trống của khớp,...
6. Điều trị viêm thoái hoá khớp ngón tay
6.1 Điều trị không can thiệp phẫu thuật
Trong giai đoạn đầu của viêm thoái hoá khớp ngón tay, việc điều trị chủ yếu là áp dụng các phương pháp không can thiệp phẫu thuật như:
● Dùng thuốc uống:
Với trường hợp khớp ngón tay chỉ đau khi làm việc nhiều hoặc nặng thì bệnh nhân có thể được chỉ định dùng thuốc kháng viêm nhẹ như Aspirin hoặc Ibuprofen... Bên cạnh đó, bệnh nhân cũng cần giảm hoạt động nặng hoặc ngưng làm công việc đòi hỏi nhiều cửa động lặp lại của bàn tay và ngón tay để giúp kiểm soát triệu chứng bệnh;
● Dùng thuốc tiêm:
Huyết tương giàu tiểu cầu (Platelet Rich Plasma, PRP): PRP kích thích tế bào biểu mô, tạo chất nền, phân chia tế bào và tái tạo tế bào máu, cũng như kích thích phát triển mạch máu. Từ đó làm tái sinh các mô bị hư hại, giúp cho tế bào trở nên khỏe mạnh hơn. Đối với các tổn thương cơ xương khớp, PRP có tác dụng kháng viêm, chấm dứt cơn đau nhanh chóng, tăng khả năng vận động cho cơ và khớp.
Cortisone: Bệnh nhân có thể được chỉ định tiêm Cortisone vào khớp ngón tay để giảm đau tạm thời (Cortisol là thuốc kháng viêm mạnh). Tuy nhiên, tác dụng của thuốc chỉ kéo dài khoảng vài tuần đến vài tháng. Đồng thời, thủ thuật này cũng đi kèm nguy cơ nhiễm trùng khớp;
● Phục hồi chức năng:
Vật lý trị liệu hoặc hoạt động trị liệu đóng vai trò thiết yếu trong việc điều trị viêm khớp ngón tay không can thiệp bằng phẫu thuật. Mục tiêu điều trị là giúp bệnh nhân nắm được cách kiểm soát triệu chứng, giữ bàn tay và các khớp ngón tay trong điều kiện tốt nhất. Bệnh nhân sẽ được học cách làm dịu cơn đau và các triệu chứng khó chịu, bao gồm các phương pháp như nghỉ ngơi, giảm đau bằng nhiệt hoặc dùng thuốc thoa ngoài da. Bài tập về biên độ chuyển động và căng cơ cũng được đề nghị thực hiện để cải thiện khả năng vận động của ngón tay. Bài tập tăng sức mạnh cho bàn tay và cánh tay có tác dụng giữ vững bàn tay và bảo vệ ngón tay trước tình trạng sốc hay áp lực;
● Băng thun hoặc nẹp ngón tay:
Là phương pháp có thể được dùng cho một số bệnh nhân để hỗ trợ giảm đau, ngăn ngừa biến dạng khớp ngón tay hoặc ngăn khớp bị biến dạng nặng hơn.
6.2 Điều trị phẫu thuật
Với trường hợp viêm thoái hoá khớp ngón tay nặng, các phương pháp trên không phát huy được hiệu quả như mong muốn, bệnh nhân có thể được chỉ định thực hiện phẫu thuật. Các phương pháp phẫu thuật thường được áp dụng trong điều trị viêm khớp ngón tay là:
● Hàn xương (làm cứng khớp): Nhằm mục đích loại bỏ cơn đau bằng cách cho phép các xương tạo thành khớp đó phát triển về phía nhau hoặc kết hợp với nhau tạo thành một khối xương đặc. Hàn xương có hiệu quả tốt trong việc điều trị đau và biến dạng khớp do viêm thoái hoá. Phương pháp này được sử dụng phổ biến cho khớp liên đốt gần và liên đốt xa, mang lại hiệu quả tốt hơn và đơn giản hơn so với việc cố gắng giữ chuyển động của khớp ngón tay bằng cách thay khớp;
● Thay khớp nhân tạo: Khi áp dụng thủ thuật thay khớp nhân tạo, bác sĩ sẽ dùng các khớp nhân tạo bằng nhựa hoặc kim loại để thay cho các khớp bị viêm. Khớp nhân tạo tạo thành một bản lề mới, cho phép khớp chuyển động tự do, đồng thời giảm đau đớn cho bệnh nhân.
Sau phẫu thuật, bệnh nhân có thể phải bó bột hoặc đeo nẹp ngón tay và cổ tay trong khoảng 6 tuần. Khi nẹp được lấy ra, người bệnh có thể cần vật lý trị liệu để lấy lại sức mạnh và độ linh hoạt của ngón tay.
Nếu được phát hiện sớm, bệnh viêm thoái hoá khớp ngón tay có thể được điều trị nhanh chóng với chi phí thấp, ít nguy cơ xảy ra biến chứng. Vì vậy, khi có biểu hiện sưng, đau ngón tay, tốt nhất bệnh nhân nên sớm đi thăm khám để được chẩn đoán chính xác về tình hình sức khỏe của mình và có phương hướng điều trị kịp thời, hiệu quả.
Tổn thương dây chằng chéo trước là thương tổn thường gặp nhất trong nhóm chấn thương khớp gối. Hàng năm, tại Mỹ khoảng 200.000 bị tổn thương dây chằng chéo trước và hơn nửa số đó phải điều trị bằng phấu thuật.
Xương quai xanh có tác dụng rất quan trọng, là nơi treo xương cánh tay vào thân. Gãy xương quai xanh là một chấn thương thường gặp ở vùng vai, trong trường hợp ngã hoặc chấn thương do tai nạn giao thông.
Hội thấp khớp học Hoa Kỳ (American College of Rheumatology, ARC) đã đưa ra một số tiêu chuẩn để chẩn đoán chính xác thoái hóa khớp gối. Những biểu hiện của thoái hóa khớp gối bao gồm: xuất hiện gai xương dưới sụn, mất dần sụn khớp, xơ hóa xương dưới sụn, cử động khớp đau, có tiếng lục khục, lệch trục khớp...
X-quang có vai trò quan trọng trong chẩn đoán các bệnh lý khớp gối. Nó là một trong những xét nghiệm nằm trong tiêu chuẩn chẩn đoán bệnh và dùng phân biệt giữa các bệnh lý khớp gối khác nhau.
Xương đùi là phần xương chắc khỏe nhất trong cơ thể vì thế phải có lực tác động rất mạnh mới có thể làm gãy thân xương đùi. Xương đùi cũng là xương dài nhất, mỗi vị trí gãy sẽ có đặc điểm và biện pháp xử trí khác nhau.
Viêm khớp ở ngón tay gây sưng khớp, giảm chức năng khớp và các triệu chứng khác. Viêm khớp còn có thể gây biến dạng khớp và các ngón tay.
Thoái hóa khớp là dạng viêm khớp phổ biến nhất, ảnh hưởng đến hàng triệu người trên toàn thế giới. Thoái hóa khớp xảy ra khi sụn bao quanh các đầu xương bị bào mòn theo thời gian.
Gãy xương cẳng tay, cánh tay là tình trạng gãy một trong ba xương tạo nên cánh tay là xương trụ (ulna), xương quay (radius) và xương cánh tay trên (humerus) hoặc cũng có thể gãy nhiều xương cùng một lúc. Một trong những nguyên nhân phổ biến nhất gây gãy xương cẳng tay, cánh tay là do ngã. Nếu nghi ngờ gãy xương cẳng tay, cánh tay thì phải đến bệnh viện ngay. Can thiệp điều trị kịp thời giúp tránh xảy ra biến chứng và khôi phục hình dạng bình thường của xương.
Viêm khớp là một vấn đề rất phổ biến. Tình trạng này có thể xảy ra ở bất kỳ khớp nào trên cơ thể nhưng thường xảy ra ở các khớp ở chân tay như cổ tay, ngón tay, đầu gối, hông, mắt cá chân. Tình trạng viêm khớp có thể xảy ra ở nhiều khớp cùng lúc.
Viêm khớp là tình trạng tình trạng khớp bị sưng và đau. Tình trạng này có thể xảy ra ở một hoặc nhiều khớp trên cơ thể. Các triệu chứng của bệnh viêm khớp thường xảy ra từ từ theo thời gian nhưng cũng có thể xảy ra đột ngột.





