U quái vùng cùng cụt thai nhi - Sacrococcygeal teratoma (SCT)
1. U quái vùng cùng cụt là gì?
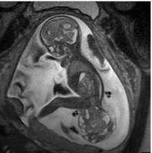
U quái vùng cùng cụt là khối u hay gặp nhất ở trẻ sơ sinh. Khối u này thường được da che phủ, nhưng cũng có thể được che phủ bởi một màng mô mỏng, trong suốt. Hầu hết các khối u có nhiều mạch máu nuôi dưỡng. Chúng có nhiều kích thước khác nhau, và đôi khi chúng có thể phát triển ra ngoài từ phía sau hoặc về phía bụng em bé.
SCT được phân loại dựa theo vị trí và mức độ nặng, cụ thể:
- Nhóm I: khối u ở bên ngoài cơ thể và bám vào phần xương đuôi.
- Nhóm II: khối u ở cả bên trong và ngoài cơ thể.
- Nhóm III: có thể được nhìn thấy từ bên ngoài, nhưng phần lớn khối u nằm bên trong ổ bụng em bé.
- Nhóm IV: là nhóm nguy hiểm nhất, không thể thấy được từ bên ngoài. Chúng nằm trong cơ thể ngang vị trí xương đuôi.
XEM THÊM: Các khối u bẩm sinh thường gặp ở trẻ
2. Chẩn đoán u quái vùng cùng cụt
Các dấu hiệu và triệu chứng của u quái vùng cùng cụt phụ thuộc vào kích thước và vị trí của khối u. Một số khối u có thể được chẩn đoán trước sinh bằng phương pháp siêu âm.
Theo đó, bụng mẹ lớn bất thường là dấu hiệu hay gặp đầu tiên gợi ý thai nhi có khối u. Kích thước tử cung lớn hơn bình thường có thể do khối u lớn hoặc do đa ối. Các biểu hiện ít gặp hơn bao gồm tiền sản giật ở mẹ. U vùng cùng cụt thai nhi có thể ở dạng nang, dạng đặc hoặc dạng hỗn hợp trên hình ảnh siêu âm. Hình ảnh mật độ không đồng nhất của khối u có thể do vùng hỗn hợp của khối u hoại tử, thoái hóa nang, xuất huyết hoặc canxi hóa.
Người mẹ có thể mất vài ngày để đánh giá và khẳng định chẩn đoán của khối u vùng cùng cụt. Sau đó, đội ngũ bác sĩ sẽ giải thích chẩn đoán, thảo luận về các phương pháp điều trị.
Nếu thai nhi được chẩn đoán có u quái vùng cùng cụt, người mẹ sẽ được tiếp tục theo dõi để đánh giá sự tăng trưởng của khối u hoặc sự thay đổi tình trạng sức khỏe của em bé để có thể can thiệp kịp thời nếu cần. Em bé có thể cần phẫu thuật để cắt bỏ khối SCT nếu kích thước và mức độ nặng của khối u gây các biến chứng như thai tích dịch - đặt em bé hoặc mẹ vào nguy cơ cao.
Các khối u khác có thể không được phát hiện cho đến khi em bé ra đời. Sau khi sinh, trẻ có thể có các triệu chứng chỉ dấu cho SCT như không đi tiểu được hoặc tăng nhu động ruột vì khối u chèn ép vào bàng quang hoặc trực tràng. Ngoài ra, một số trẻ hoàn toàn không có bất cứ triệu chứng nào.
3. Nguy cơ và biến chứng u quái vùng cùng cụt
Khi SCT được chẩn đoán trước sinh đi kèm với thai tích dịch, khối u có thể đe dọa đến sức khỏe của cả mẹ và bé.
Trong các trường hợp nặng, khối u “lấy trộm” máu từ tuần hoàn của thai nhi, gây nên tình trạng tim thai nhi làm việc quá tải và có thể dẫn đến suy tim. Suy tim có biểu hiện như phù thai, tích dịch ở các khoang cơ thể thai nhi. Theo đó, thai tích dịch thường đi kèm với SCT thường tiến triển nhanh và gần như có tiên lượng xấu.
Về phía mẹ, có nguy cơ của “hội chứng gương” trong trường hợp tình trạng mẹ phù tương tự như thai phù. Khi tình trạng này hiện diện, người mẹ có thể bị phù giống thai cùng với các dấu hiệu của tiền sản giật – đó là tình trạng tăng huyết áp thai kỳ, có đạm trong nước tiểu và phù mọng do giữ nước.
4. Theo dõi và lên kế hoạch sinh thai nhi chẩn đoán u quái vùng cùng cụt
Nếu tình trạng em bé ổn định và không có suy tim tăng cung lượng (phù thai) thì sản phụ sẽ được theo dõi với siêu âm thai định kỳ. Nếu khối u quái cùng cụt có kích thước nhỏ thì có thể sinh thường qua ngả âm đạo vào lúc đủ tháng.
Nếu SCT có kích thước lớn hoặc có đa ối, cần mổ lấy thai chủ động sớm để tránh tình trạng vỡ khối u cũng như nguy cơ chuyển dạ sinh non và sinh non.
Nếu thai nhi bị phù, bạn có thể cân nhắc được chỉ định phẫu thuật bào thai.
5. Điều trị u quái cùng cụt
Điều trị SCT liên quan đến phẫu thuật cắt bỏ khối u. Tùy thuộc vào chẩn đoán và mức độ nặng của khối u, có thể cần phẫu thuật cắt bỏ trước khi sinh hoặc sau sinh. Theo đó, phẫu thuật cắt bỏ trước sinh chỉ được chỉ định khi có hiện tượng phù thai, đặt em bé vào tình trạng nguy cơ cao.
6. Theo dõi dài hạn
Hầu hết các khối u quái vùng cùng cụt thai nhi ít có khả năng ác tính và tiên lượng thường tốt sau cắt bỏ.
Là một trong những khối u hiếm gặp nhưng bệnh có thể phát hiện sớm từ quý 1 thai kỳ bằng phương pháp siêu âm chẩn đoán dị tật thai nhi. Theo đó, việc chẩn đoán sớm có ý nghĩa vô cùng quan trọng để thai nhi có cơ hội theo dõi, phẫu thuật đốt laser cắt đứt mạch nuôi làm kích thước khối u nhỏ đi, đem lại tiên lượng sống tốt cho trẻ.
Tuy nhiên, việc chẩn đoán sớm các dị tật bẩm sinh cũng như các bất thường về khối u của thai nhi là một trong những thủ thuật khó, để phát hiện được thai phụ cần lựa chọn các cơ sở y tế uy tín, có hệ thống cơ sở vật chất hiện đại, đội ngũ y bác sĩ chuyên môn, có khả năng hội chẩn chuyên sâu và can thiệp cứu sống trẻ trong các trường hợp khẩn cấp.
Không chỉ dành cho phụ nữ đã kết hôn hoặc có quan hệ tình dục mới cần phải khám phụ khoa. Trẻ em cũng có thể mắc bệnh phụ khoa nếu không được chăm sóc đúng cách. Do đó, việc khám phụ khoa trẻ em và lưu ý khi đưa trẻ đi khám cũng rất quan trọng.
Suy dinh dưỡng do thiếu protein năng lượng đang là vấn đề quan trọng đối với việc nâng cao sức khỏe của trẻ em các nước đang phát triển và ở Việt Nam hiện nay. Đây là tình trạng bệnh lý theo tác động của sự nhiễm trùng, xảy ra khi chế độ ăn nghèo protein và năng lượng lâu dài, dẫn đến sự chậm phát triển về thể chất cũng như tinh thần của trẻ.
Thông thường chiếc răng sữa đầu tiên mọc khi trẻ được 6 tháng tuổi, và phần lớn trẻ mọc đủ 20 răng sữa (10 răng hàm trên và 10 răng hàm dưới) trước khi lên 3 tuổi. Sau đó các răng sữa rụng dần và sẽ được thay thế bằng răng vĩnh viễn tương ứng. Đây chính là giai đoạn mà các bậc phụ huynh cần theo dõi sát sao sự phát triển răng miệng của con mình.
Viêm nướu răng cấp tính là một trong những bệnh lý phổ biến ở vùng miệng của trẻ. Bệnh thường dễ chẩn đoán và điều trị ở mức độ nhẹ, tuy nhiên có thể nặng hơn nếu không được chữa trị kịp thời. Phát hiện viêm nướu răng sớm sẽ giúp điều trị tốt, ngăn ngừa nguy cơ bệnh tái phát cũng như các ảnh hưởng đến răng, cấu trúc xương và các mô khác.
Trẻ 11 tháng tuổi cực kỳ tò mò với tất cả mọi thứ đang tồn tại. Giờ đây trẻ ngày càng trở nên độc lập hơn bao giờ hết, và những gì phát triển ở trẻ thời điểm này sẽ tiếp tục đi theo trẻ nhiều năm sau này.
Trẻ 3 tháng 5 ngày biếng bú, rụng tóc vành khăn, nấc cụt, ra nhiều mồ hôi có phải do thiếu chất không?
Bé nhà em hiện tại nặng 6,3kg, dài 61cm, bé đã được 3 tháng 5 ngày rồi ạ. Khi bé được hơn 2 tháng, sữa mẹ rất ít nên bé nhà em chủ yếu là bú bình. Mỗi cữ bú của bé khoảng 100-120ml. Tuy nhiên, gần một tháng nay bé chỉ bú mẹ và không chịu bú bình nữa, nhưng bú cũng chỉ được một lúc là bé nhả ra rồi khóc như bị ngạt. Bé nhà em rất hay nấc cụt, đêm ngủ đổ mồ hôi đến mức ướt đẫm gối, em phải thay áo đến 2-3 lần cho bé. Bé còn bị rụng tóc vành khăn, bàn tay bàn chân lạnh, ướt và da không được hồng hào, hơi tái. Không biết bé nhà em như vậy có phải bị thiếu chất không ạ? Em có ý định bổ sung thuốc kẽm zinc kid, canxitriomphe và men merikacho bé có được không bác sĩ?
- 1 trả lời
- 1568 lượt xem
Trẻ sơ sinh bị ra máu vùng kín thì nên đi thăm khám thế nào?
Em sinh mổ bé ở Từ Dũ được 4 ngày thì xuất viện. Mấy ngày đầu ở viện do đau vết mổ nên bà ngoại lo chăm sóc bé. Hôm chuẩn bị xuất viện em mới để ý bé thì thấy bé có cái gì giống như huyết trắng. Em lo lắng hỏi mấy chị hộ sinh thì các chị nói bình thường, không có vấn đề gì. Tuy nhiên, khi về nhà thì thấy vùng kín của bé nhà em bị ra máu. Máu đỏ tươi và có dịch nhầy. Bé bị ra máu liên tiếp 2 ngày hôm nay rồi. Em rất lo lắng không biết nên cho bé đi khám như thế nào. Vì nhà em ở quê nên điều kiện đi lại cũng khó khăn. Bác sĩ bảo em phải làm gì ạ?
- 1 trả lời
- 11911 lượt xem
Tại sao bé 1 tuần tuổi có vùng da 2 bên bẹn bị sạm đen lại? Cách điều trị ra sao?
Bé gái nhà em mới sinh được 1 tuần tuổi. Khi thay tã cho con, em phát hiện ra ở 2 bên bẹn của bé có 2 mảng da bị sạm đen lại. Tại sao bé lại bị sạm đen thế ạ? Và có cách gì để điều trị cho bé không ạ?
- 1 trả lời
- 1723 lượt xem
Ti của trẻ 4 tháng tuổi chợt đỏ, ngứa, rỉ nước và bong vảy cứng là bị làm sao?
Bé nhà em vừa tròn 4 tháng tuổi, bé nặng 10kg. Em rất lo khi thấy ti bé bỗng nhiên bị chợt đỏ, ngứa, có những mảnh cứng bong ra và còn rỉ nước nữa. Cho bé khám da liễu thì bác sĩ kết luận bé bị viêm da cơ địa ạ. Bé được kê bôi hydrocortison và canestlani 15ml nhưng cũng không khỏi. Giờ em phải làm thế nào ạ?
- 1 trả lời
- 801 lượt xem
Trẻ hơn 7 tháng người nhỏ xíu, cổ không cứng cáp phải làm gì?
Bé nhà em hiện đang 7 tháng 15 ngày, nặng 7kg, dài 70cm thì có phát triển bình thường không bác sĩ? Vì em thấy bé 7 tháng rồi mà cổ không được cứng cáp như các bé khác. Mẹ bế bồng đứng thì bé cứ bị ngã cổ về sau, chân tay nhỏ, ẵm cắp nách thì bé dịu quặt. Bé có đi khám tại bệnh viện Nhi Đồng, bác sĩ kết luận bé bị thiếu canxi và cho sữa dinh dưỡng và thuốc bổ sung. Bé uống sữa lại hay ọc sữa nên em phải chia nhỏ các cữ bú, mỗi lần 100ml, sau 1h cho bú lại thì bé ổn hơn. Tuy nhiên hiện tại bé vẫn nhỏ xíu và không tăng cân, ai gặp cũng quở. Em phải làm gì đây ạ? Hàng ngày bé vẫn chơi ngoan, tự lật và tự ngẩng đầu nhưng không biết trườn, bò.
- 1 trả lời
- 1857 lượt xem
Thai chậm tăng trưởng trong tử cung có nguy cơ tử vong cao do lượng oxy và chất dinh dưỡng trong tử cung thấp. Điều quan trọng là cần thực hiện thăm khám đầy đủ và theo dõi thai kỳ cẩn thận, phát hiện sớm và có các biện pháp can thiệp kịp thời.
Có một số người băn khoăn là Vắc - xin viên gan B có làm tăng nguy cơ mắc bệnh đa xơ cứng không? Hãy tìm hiểu qua bài viết đưới đây để cùng có câu trả lời nhé!
Chấy là những ký sinh trùng nhỏ sống trên đầu người. Chúng sống và phát triển bằng cách hút một lượng nhỏ máu từ da đầu và sinh sản bằng cách đẻ trứng vào tóc. Nghe có vẻ ngạc nhiên nhưng chấy không lây lan bệnh tật. Nếu con của bạn có chấy, hãy tìm hiểu thông tin hướng dẫn điều trị chấy.
Sữa mẹ là thức ăn lý tưởng cho trẻ sơ sinh vì nó chứa rất nhiều chất dinh dưỡng và kháng thể mà em bé cần. Và khi bạn bị tiểu đường thai kỳ, có những lợi ích bổ sung liên quan đến việc cho con bú.
Christine Duenas đã mất đứa con của mình khi cô mang thai được 39 tuần và 3 ngày. Cô ấy đã lâm bồn, nhưng sau đó đã có sự cố khủng khiếp xảy ra. Trước khi chào đời, con bé đã chết.





