Niêm mạc tử cung quá dày ảnh hưởng thế nào tới việc thụ thai?
1. Niêm mạc tử cung là gì?
Niêm mạc tử cung hay cách gọi khác là nội mạc tử cung là một lớp mô bao phủ mặt trong tử cung. Lớp niêm mạc này đóng vai trò cực kỳ quan trọng trong quá trình thụ thai và mang thai của mỗi người phụ nữ.
Hormone sinh dục nữ làm lớp niêm mạc tử cung dày lên tùy theo từng thời điểm cụ thể trong kỳ kinh nguyệt. Niêm mạc tử cung dày lên là dấu hiệu “lót ổ” sẵn sàng để cho trứng đã thụ tinh vào làm tổ trong mỗi chu kỳ kinh nguyệt. Nếu quá trình thụ tinh không xảy ra, lớp niêm mạc này sẽ bị bong tróc và được đẩy ra ngoài cơ thể, tạo thành hiện tượng hành kinh ở chị em phụ nữ.
Niêm mạc tử cung có cấu tạo gồm 2 phần:
- Lớp mô nội mạc căn bản (lớp đáy): Bao gồm các tế bào mô đệm và biểu mô trụ tuyến, không thay đổi theo chu kỳ kinh nguyệt
- Lớp nội mạc tuyến (lớp nông): Chịu nhiều tác động trong chu kỳ kinh nguyệt, độ dày mỏng của lớp này sẽ thay đổi theo từng giai đoạn khi hành kinh.
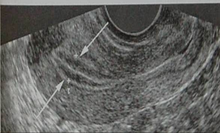
2. Niêm mạc tử cung quá dày ảnh hưởng thế nào tới việc thụ thai?
Niêm mạc tử cung bình thường khi đạt các kích thước cụ thể trong từng giai đoạn của chu kỳ kinh nguyệt:
- Giai đoạn đầu chu kỳ bắt đầu sau khi sạch kinh: niêm mạc tử cung thường từ 3-4mm.
- Giai đoạn giữa chu kỳ (khoảng thời gian rụng trứng): niêm mạc tử cung thường từ 8-12mm.
- Giai đoạn chuẩn bị hành kinh: Ngày cuối của chu kỳ, trước khi có kinh nguyệt, niêm mạc tử cung thường từ 12-16mm.
Phụ nữ với niêm mạc tử cung bình thường sẽ dễ mang thai thành công hơn người có niêm mạc tử cung quá dày hoặc quá mỏng.
Có gặp một vài trường hợp bệnh nhân nữ kết hôn nhiều năm vẫn chưa có thai, khi đi khám phát hiện ra niêm mạc tử cung dày hơn 20mm. Câu hỏi đặt ra ở đây là tại sao niêm mạc tử cung dày khó thụ thai? Và liệu vấn đề này có thể điều trị được không?
Niêm mạc tử cung dù dày quá hay mỏng quá so với bình thường cũng đểu ảnh hưởng đến khả năng thụ thai ở nữ giới. Lòng tử cung là địa điểm lý tưởng để trứng sau khi được thụ tinh bám vào để làm tổ và phát triển. Khi niêm mạc tử cung dày lên do tình trạng tăng sinh nội mạc tử cung xảy ra khi hàm lượng estrogen trong cơ thể được sản xuất quá mức sẽ dẫn đến lớp niêm mạc tử cung phát triển dày lên nhiều so với bình thường.
Vào giữa chu kỳ kinh nguyệt, nếu lớp niêm mạc tử cung dày hơn 20mm thì được xem là niêm mạc dày. Niêm mạc tử cung quá dày dẫn tới việc bám trụ làm tổ của phôi thai khó khăn hơn, việc cung cấp dinh dưỡng cho thai phát triển cũng sẽ không được đảm bảo. Khi niêm mạc tử cung bị tăng sinh dày lên, có nghĩa là lúc này nồng độ estrogen trong cơ thể đang bị tăng cao rồi dư thừa dẫn tới hiện tượng vô kinh hoặc rong kinh, hoặc dẫn đến đa nang buồng trứng, rối loạn phóng noãn... làm cản trở quá trình làm tổ của phôi thai, làm giảm khả năng mang thai ở phụ nữ. Thậm chí, khi lớp niêm mạc quá dày, lớp nội mạc bị tăng sinh quá mức, nếu không được điều trị kịp thời thì điều này có thể làm tăng nguy cơ xuất hiện các khối u ở tử cung hay thậm chí là ung thư. Vậy nên, chúng ta không được chủ quan với vấn đề này.
Một số biểu hiện triệu chứng của niêm mạc tử cung dày:
- Có hiện tượng chảy máu trong kỳ kinh nguyệt nặng hơn so với bình thường, số ngày hành kinh kéo dài hơn.
- Chu kỳ kinh nguyệt ngắn, thường dưới 21 ngày.
- Có dấu hiệu chảy máu sau mãn kinh.
3. Lời khuyên từ chuyên gia
Niêm mạc tử cung dày, nếu được phát hiện sớm có thể điều trị được, mang lại cơ hội làm mẹ cho những người mắc phải. Điều quan trọng đầu tiên bạn cần làm là đi gặp bác sĩ chuyên khoa để được thăm khám, chẩn đoán chính xác về tình trạng thực tế của niêm mạc tử cung để có hướng điều trị phù hợp và kịp thời.
Đa số các trường hợp có niêm mạc tử cung dày đều được chỉ định điều trị bằng liệu pháp hormone để nhằm tái thiết lập lại sự cân bằng giữa hàm lượng estrogen và progesterone trong cơ thể, từ đó cải thiện được tình trạng dày lên của lớp nội mạc, tăng khả năng thụ thai.
Lưu ý về chế độ sinh hoạt cho những người có niêm mạc tử cung dày:
- Nếu bạn đang ở tình trạng thừa cân, việc thiết lập một chế độ ăn uống khoa học, tập luyện thể lực thể thao, có kế hoạch giảm cân thì điều này sẽ rất có ích cho việc phòng chống nguy cơ bị tăng sinh niêm mạc tử cung.
- Khi bạn có dấu hiệu kinh nguyệt không đều, bạn nên tham khảo thêm ý kiến của các bác sĩ, chuyên gia về vấn đề sử dụng các loại thuốc có chứa estrogen và progestin hay không để đảm bảo không làm cho tình trạng này bị nặng hơn do dùng sai thuốc.
- Với những trường hợp đang sử dụng estrogen sau mãn kinh, nên tham khảo về việc dùng bổ sung progestin hay progesterone.
- Một số trường hợp khi khám phát hiện niêm mạc tử cung dày cần lưu ý chẩn đoán phân biệt với sự dày lên của lớp nội mạc trong giai đoạn chuẩn bị hành kinh.
Niêm mạc tử cung dày ảnh hưởng rất nhiều đến khả năng thụ thai của phụ nữ. Lời khuyên là phụ nữ không nên tự chẩn đoán về tình trạng niêm mạc tử cung của mình để rồi dẫn đến những lo lắng không cần thiết, tự tạo áp lực cho bản thân. Thông qua hình ảnh và các chỉ số trên siêu âm, các bác sĩ mới có thể chẩn đoán chính xác độ dày niêm mạc tử cung là bình thường hay bất thường. Hãy tham khảo tư vấn của bác sĩ để biết thêm về các xét nghiệm thăm khám cần thiết cho chẩn đoán cũng như được tư vấn cụ thể về phương pháp điều trị phù hợp. Thư giãn tâm lý và làm theo chỉ định của bác sĩ là một trong những cách hữu hiệu giúp chị em phụ nữ sớm có con trong cuộc sống của mình.
Bà bầu tuần thứ 19 sẽ nhận thấy những thay đổi rõ rệt của cơ thể với các triệu chứng như đau lưng, chuột rút, chóng mặt, táo bón... Chúng có thể gây cho mẹ bầu cảm giác khó chịu và ảnh hưởng nhất định đến sinh hoạt hàng ngày. Cùng tìm hiểu những thay đổi của cơ thể khi mang thai tuần 19 và những việc mẹ bầu cần làm trong thời gian này.
Tắc ống dẫn trứng là một trong những nguyên nhân gây vô sinh nữ khá thường gặp. Tình trạng này khiến cho trứng và tinh trùng không gặp được nhau, chiếm khoảng 25-30% trong tất cả các trường hợp vô sinh. Bản chất của tình trạng tắc ống dẫn trứng là bị tắc hoàn toàn hoặc có khi chỉ có một ống bị ngăn chặn hoặc có sẹo làm hẹp lòng ống.
Tiêm trưởng thành phổi được thực hiện lần đầu tiên trên thế giới năm 1972. Từ đó đến nay, phương pháp tiêm trưởng thành phổi đã trở nên phổ biến, góp phần quan trọng làm giảm nguy cơ suy hô hấp cấp, tử vong và các bệnh tật khác ở trẻ sinh non.
Bệnh trùng roi âm đạo Trichomoniasis là bệnh lây qua đường tình dục khá phổ biến hiện nay. Bệnh thường gặp ở nữ hơn nam, đặc biệt là phụ nữ trưởng thành, lớn tuổi; hiện vẫn chưa có vắc-xin phòng bệnh trùng roi âm đạo.
Hình thái tinh trùng hay kích thước cũng như hình dạng của tinh trùng là yếu tố quan trọng quyết định chất lượng sức khỏe sinh sản ở nam giới. Hình thái tinh trùng sẽ được quan sát dưới sự phóng đại của kính hiển vi, đồng thời trong quá trình quan sát có thể phát hiện tinh trùng bất thường một cách rõ ràng.
Xin chào ạ, em nâng mũi cấu trúc lấy sụn tại bọc đầu mũi (mũi trước của em khá thô to đầu mũi, da dày và nhờn nhiều tuy nhiên sau nâng cải thiện rất nhiều được thấy rõ lúc vừa phẫu thuật xong). Hôm nay là ngày thứ 40, đa phần sóng mũi đã gom nhưng ph
Nâng mũi được 1 thắng nhưng đầu mũi còn to, cứng
- 0 trả lời
- 823 lượt xem
Hoa anh thảo là một loài hoa màu vàng mọc nhiều ở Bắc Mỹ và một phần của Châu Âu. Từ lâu loài cây này đã được sử dụng làm thuốc chữa lành vết thương và cân bằng hormone. Lợi ích chữa bệnh của cây hoa anh thảo có thể là nhờ hàm lượng axit gamma-linoleic (GLA) cao. GLA là một loại axit béo omega-6 có đặc tính chống viêm mạnh. Vì thế nên dầu hoa anh thảo được cho là có tác dụng trị mụn trứng cá.
Dầu hoa anh thảo (evening primrose) được chiết xuất từ hạt của cây hoa anh thảo, một loài cây có nguồn gốc từ Bắc Mỹ. Từ lâu, loài cây này đã được sử dụng để điều trị nhiều vấn đề khác nhau như bầm tím, bệnh trĩ và viêm họng.
Dầu hoa anh thảo có thể giúp làm mềm cổ tử cung nhưng vẫn chưa rõ liệu loại dầu này có tác dụng kích thích chuyển dạ hay không. Bạn nên hỏi ý kiến bác sĩ trước khi dùng bất kỳ loại thực phẩm chức năng nào trong thời gian mang thai.
Giai đoạn tiền mãn kinh và mãn kinh thường gây ra các triệu chứng khó chịu như bốc hỏa, đổ mồ hôi về đêm, mệt mỏi và dễ cáu gắt. Có nhiều biện pháp tự nhiên để khắc phục các triệu chứng này, một trong số đó là dùng dầu hoa anh thảo.
Hoa anh thảo (evening primrose) là một loài thực vật có hoa màu vàng, mọc chủ yếu ở Bắc Mỹ và Châu Âu. Trong khi hầu hết các loài thực vật có hoa đều nở hoa khi mặt trời mọc thì hoa anh thảo lại nở hoa vào buổi tối. Dầu được chiết xuất từ hạt của loài cây này. Dầu hoa anh thảo được sử dụng làm thực phẩm chức năng, các sản phẩm bôi tại chỗ và thành phần trong các sản phẩm làm đẹp.





