Các bước thực hiện chọc dịch màng phổi cấp cứu
1. Đại cương chọc dịch màng phổi cấp cứu
Chọc hút dịch màng phổi nhằm mục đích hút dịch, máu, mủ, khí có nhiều trong khoang màng phổi gây suy hô hấp cấp nhằm hạn chế nguyên nhân gây tử vong.
Theo đó, chọc hút dịch màng phổi chỉ định trong các trường hợp sau đây:
- Tràn khí màng phổi trên một tổn thương phổi: giãn phế nang, xơ phổi, lao phổi, tụ cầu phổi,...
- Tràn máu màng phổi.
- Tràn mủ màng phổi.
- Tràn dịch hoặc tràn máu màng phổi tái phát nhanh (nhằm gây dính).
2. Chuẩn bị trước khi dẫn lưu chọc dịch màng phổi cấp cứu
2.1. Người bệnh
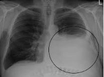
- Chụp X-Quang phổi mới (cùng ngày chọc).
- Siêu âm đánh dấu vị trí chọc.
Giải thích cho người bệnh và động viên người bệnh hợp tác với người thực
hiện. - 30 phút trước khi chọc dịch, có thể tiêm tiền tê Atropin 1/4mg x 1 – 2 ống
- Tiêm thuốc an thần nếu người bệnh lo lắng hoặc có nguy cơ dẫy dụa nhiều.
- Tư thế người bệnh: có tư thế nằm và ngồi.
Với tư thế nằm, người bệnh sẽ nằm ngửa thẳng người, đầu cao, thân người nghiêng về phía phổi lành, tay phía bên đặt dẫn lưu giơ cao lên phía đầu.

Với tư thế ngồi, người bệnh ngồi trên ghế tựa, mặt quay về phía vai ghế, 2 tay khoanh trước mặt đặt lên vai ghế, ngực tỳ vào vai ghế (có đệm một gối mềm).
Theo đó, dụng cụ cần chuẩn bị là kim kích thước lớn 25G hoặc kim có kèm theo catheter dẫn lưu.
3. Người thực hiện
Chuẩn bị như làm phẫu thuật:
- Đội mũ, đeo khẩu trang.
- Rửa tay xà phòng.
- Sát trùng tay bằng cồn.
- Mặc áo mổ.
- Đi găng vô trùng
4. Hồ sơ bệnh án
Giải thích về kỹ thuật cho người bệnh, gia đình người bệnh và ký cam kết đồng ý kỹ thuật, phiếu ghi chép theo dõi thủ thuật.
5. Các bước tiến hành chọc dịch màng phổi trong cấp cứu
5.1. Chọn điểm chọc
Phải khám thực thể xác định vùng tràn dịch màng phổi, xem phim chụp X-quang ngực thẳng nghiêng và nếu có siêu âm nên sử dụng để xác định vị trí chính xác nhất.
5. 2. Tiến hành thủ thuật
- Giải thích cho người bệnh, ký giấy làm thủ thuật
- Xác định vị trí chọc kim (thường ở khoang liên sườn 8 – 9 đường nách sau).
- Sát trùng rộng vùng chọc kim bằng cồn Iod và cồn 700.
- Trải khăn lỗ
- Gây tê bằng Lidocain từng lớp tại điểm chọc kim: từ da, tổ chức dưới da, đến màng phổi thành.
- Chọc kim tại điểm gây tê, vuông góc với thành ngực, sát bờ trên xương sườn. Khi kim vào tới khoang màng phổi sẽ có cảm giác sựt và nhẹ tay, hút thử kiểm tra và giữ cố định kim sát thành ngực.
- Lấy dịch để làm xét nghiệm tế bào, sinh hóa, cấy, nhuộm và các phản ứng
PCR tìm lao. - Nếu mục tiêu chọc hút dịch để điều trị nên nối kim với hệ thống túi gom.
Nên rút không quá 1500 ml dịch để tránh gây phù phổi do tái nở phổi nhanh. Một biện pháp khác là hút liên tục duy trì áp lực âm 20 cmH2O.
Khi hút dịch xong, rút kim, sát khuẩn vùng chọc kim và băng lại, cho bệnh nhân nằm nghỉ, lấy mạch, nhiệt độ, huyết áp. Nên chụp phim ngực thẳng và siêu âm tại giường sau chọc hút. Tiến hành theo dõi mạch, huyết áp, SpO2 15 phút/lần trong 3 giờ sau làm thủ thuật
6. Cách xử trí tai biến
- Phản vệ với thuốc tê: xử trí phác đồ sốc phản vệ.
Chảy máu: do chọc vào động mạch gian sườn. Đau do đâm phải thần kinh liên sườn. - Tràn khí màng phổi do chọc kim làm thủng phổi, hoặc có thể do khí lọt vào qua dốc kim. Cần hút hết không khí ra.
- Bội nhiễm gây mủ màng phổi. Cần thực hiện các bước hết sức vô trùng.
- Phù phổi cấp: do hút quá nhanh và quá nhiều. Xử trí như đối với phù phổi cấp.
- Chọc không ra dịch
- Phản xạ phế vị
- Chảy máu màng phổi
Một số tai biến khác như: tắc khí mạnh, chọc nhầm vào các phủ tạng cũng có thể xảy ra. Vì thế, người bệnh cần tuân thủ theo chỉ định của bác sĩ để hạn chế nguy cơ tai biến có thể xảy ra.
Ho rát họng có đờm là một vấn đề phổ biến có thể gặp ở bất kỳ ai. Nguyên nhân của tình trạng này có thể là viêm amidan, cảm cúm, viêm họng, thậm chí là ung thư vòm họng.
Viêm phế quản là một bệnh lý phổ biến trong xã hội ngày nay mà nhiều người có thể mắc phải. Tuy viêm phế quản không gây nguy hiểm đến tính mạng nhưng có thể ảnh hưởng đáng kể đến sức khỏe của người bệnh.
Ho, sốt đau họng là những triệu chứng thường gặp cùng lúc và có thể ảnh hưởng đến cuộc sống hàng ngày. Bài viết dưới đây sẽ làm rõ nguyên nhân, cách nhận biết và những phương pháp hiệu quả để giảm nhẹ và xua tan những triệu chứng này.
Là một phần quan trọng của hệ hô hấp, họng thường mắc phải nhiều bệnh lý khác nhau. Các bệnh về họng có thể đơn giản chỉ là viêm họng hoặc có thể nghiêm trọng hơn như viêm amidan, viêm thanh quản và thậm chí ung thư họng.
Thời điểm giao mùa, các trung tâm Y tế đang ghi nhận nhiều trường hợp bệnh nhi mắc viêm phổi do vi khuẩn Mycoplasma. Đây là một bệnh thường xuất hiện trong mùa giao mùa, đặc biệt làm lây lan nhanh chóng.
Chăm sóc da hay skincare, là một phần quan trọng của cuộc sống hàng ngày để duy trì làn da khỏe mạnh. Quy trình cơ bản bao gồm làm sạch, tẩy tế bào chết, sử dụng toner, dưỡng da mặt và mắt. Chăm sóc da cần được thực hiện cả ban ngày và ban đêm.
Ferritin là một loại protein dự trữ sắt và giải phóng sắt khi cơ thể cần. Ferritin tập trung chủ yếu trong các tế bào và chỉ có một lượng rất nhỏ lưu thông trong máu.
Một trong các biện pháp để điều trị thiếu máu là điều chỉnh lại chế độ ăn uống. Người bị thiếu máu cần ăn nhiều thực phẩm giàu sắt và các vitamin khác cần thiết cho quá trình sản xuất hemoglobin và hồng cầu.
Rất nhiều thai phụ băn khoăn rằng, không biết sử dụng thuốc trị bệnh về tuyến giáp trong thời gian đang mang thai có an toàn không? Để giải đáp thắc mắc trên, mời các bạn cùng tìm hiểu qua bài viết dưới đây!
Thời tiết chuyển mùa khiến chúng ta dễ bị cảm cúm kèm theo các triệu chứng sổ mũi, đau đầu. Có nhiều loại thuốc tây có thể hỗ trợ điều trị và giảm triệu chứng nhanh chóng nhưng đây không phải sự lựa chọn của nhiều người vì sợ ảnh hưởng đến sức khỏe lâu dài. Do đó, ngày càng có nhiều người lựa chọn thảo dược trị cảm cúm và giảm các triệu chứng khó chịu mà không gây nguy hại cho sức khỏe.





