Phân tích case: Răng mọc chen chúc nghiêm trọng cùng với sự bất tương quan xương theo chiều ngang ảnh hưởng đến lòng tự trọng của bệnh nhân
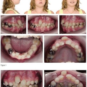
Bệnh nhân nữ 11 tuổi, tới phòng khám với than phiền đầu tiên là “chiếc răng cửa mọc lệch ra ngoài miệng” và cô bé đặc biệt tự ti về nụ cười của mình. Bệnh nhân không bị đau răng, không bị loạn năng khớp thái dương hàm hoặc khó chịu. Không có tiền sử y khoa liên quan. Bệnh nhân đang ở giai đoạn bộ răng hỗn hợp muộn, tiên lượng khớp cắn hạng II với răng hàm trên chen chúc quá mức và răng hàm dưới chen chúc vừa phải. Răng cửa sữa bên phải hàm trên mọc sai vị trí (Hình 1 - Figure1). Bệnh nhân được chẩn đoán là bất tương quan xương theo chiều ngang và bị hẹp hàm trên.
Kế hoạch điều trị được chia làm 2 giai đoạn.
- Giai đoạn 1: nong nhanh hàm trên và dàn thẳng răng hàm trên, đặc biệt là răng cửa sữa bên phải hàm trên.
- Giai đoạn 2: điều trị chỉnh nha toàn diện cả hàm trên và hàm dưới.
Ở giai đoạn 1 (Hình 2-4) bác sĩ sử dụng khí cụ Haas (khí cụ nong nhanh hàm trên) với tần suất điều chỉnh 2 lượt mỗi ngày, trong vòng 20 ngày để nong nhanh hàm trên tăng thêm 10mm. Khi quá trình kích hoạt khí cụ nong nhanh hàm trên kết thúc, bác sĩ nắn chỉnh một số răng hàm trên bao gồm các răng tiền hàm thứ nhất, các răng cửa bên và răng cửa giữa để kéo chiếc răng cửa đang nằm sai vị trí về vị trí thích hợp. Khí cụ nong nhanh hàm trên (Haas) được tháo bỏ sau 4,5 tháng. Toàn bộ thời gian điều trị giai đoạn 1 kéo dài nhỉnh 8 tháng. Hai mục tiêu chính đề ra: chỉnh sửa sự sai lệch xương theo chiều ngang và nắn thẳng nhóm răng cửa hàm trên đã đạt được.
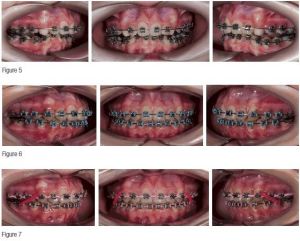
Ở giai đoạn 2 (Hình 5-11): Phải nói rằng bệnh nhân và mẹ của cô bé đã vô cùng hạnh phúc khi thấy được kết quả điều trị từ giai đoạn 1. Họ cực kỳ phấn kích và có chút lo lắng về việc bắt đầu đeo niềng toàn hàm, tuy nhiên, bác sĩ và bệnh nhân quyết định định bắt đầu giai đoạn 2 sớm hơn 1 chút so với những gì bác sĩ mong muốn vì răng nanh hàm trên chưa hoàn thiện. Cả mẹ bệnh nhân và cô bé đều hiểu là nếu bắt đầu gđ 2 từ bây giờ sẽ làm tăng tổng thời gian điều trị, nhưng họ vẫn ổn với quyết định đó.
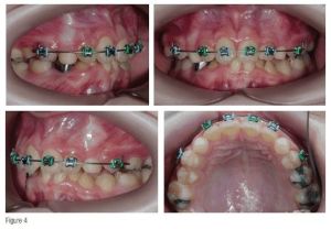
Trong GĐ 2 này, bác sĩ lại chia làm 3 giai đoạn nhỏ (2.1, 2.2 và 2.3) với 3 lần thay dây cung khác nhau kết hợp với một số điều chỉnh bổ sung.
- Tại giai đoạn 2.2 (hình 6-7), dây cung hàm trên và hàm dưới được phối hợp với nhau để đạt được tương quan thích hợp giữa răng hàm hàm trên và hàm dưới. Bác sĩ sử dụng thun chuỗi trong gđ này để đóng tất cả các khe hở giữa các răng. Mặt phẳng cắn được cân bằng hoàn toàn nhờ độ cứng của dây cung và kích thước dọc (tương quan theo chiều đứng của hàm dưới so với hàm trên) đạt được nhờ sử dụng thun kéo liên hàm loại II, kéo từ răng nhanh hàm trên tới răng tiền hàm thứ 2 hàm dưới.
- Tại giai đoạn 2.3 (hình 8), bác sĩ sử dụng dây cung bằng thép không gỉ dạng bện xoắn. Loại dây cung này đủ linh hoạt để có thể cải thiện tình trạng lồng múi răng hàm trên- răng hàm dưới khi sử dụng thun kéo liên hàm theo kiểu tam giác. Ngoài ra, nếu cần phải định vị lại mắc cài nào thì dây cung này cũng dễ dàng hỗ trợ.
Sau 24 tháng niềng răng, bệnh nhân được tháo niềng và đánh bóng răng. Để giữ gìn kết quả điều trị, bệnh nhân được bác sĩ cung cấp bộ hàm duy trì tháo lắp (Essix) cho cả hàm trên và hàm dưới, đeo hàng ngày vào ban đêm.
Nói về chỉnh nha, hầu hết các mục tiêu điều trị đã đạt được, nhờ đó mà nụ cười của bệnh nhân được cải thiện tuyệt vời. Hơi tiếc rằng những thay đổi giữa hình ảnh trước-sau điều trị không thể lột tả hết được sự tự tin, lòng tự trọng và niềm hạnh phúc của bệnh nhân.




