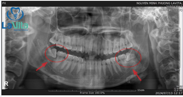
VIÊM LỢI TRÙM DO RĂNG KHÔN VÀ GIẢI XỬ LÝ
Viêm lợi trùm lên răng khôn là một biến chứng rất thường gặp khi răng khôn chưa mọc lên hết, mọc 1 phần (đâm thủng lợi), mọc kẹt trong xương, mọc lệch,… Sau đó xuất hiện túi lợi, che phủ lên bề mặt răng khôn hoặc một phần thân răng khôn, giắt thức ăn, gây nhiễm trùng, sưng tấy, sốt, đau, mưng mủ.
![]()
Tùy vào mức độ viêm, bạn có thể khắc phục tại nhà hoặc đến ngay nha khoa:
![]()
Vệ sinh tại nhà: Nếu lợi trùm răng chỉ ở một vùng nhỏ và chưa lan rộng thì điều trị có thể bằng cách súc miệng với nước muối ấm.
![]()
Dùng thuốc giảm đau, kháng sinh: để làm giảm bớt các cảm giác khó chịu.
![]()
Tuy nhiên, các biện pháp trên chỉ là giải pháp tạm thời. Việc bạn cần làm là tới thăm khám tại phòng khám nha khoa để được điều trị càng sớm càng tốt:
![]()
Cắt lợi trùm: Đối với răng khôn mọc thẳng, mọc đúng vị trí trong xương thì bác sĩ sẽ chỉ định cắt lợi trùm và làm sạch túi mủ để giúp thân răng khôn mọc lên hoàn chỉnh.
![]()
Nhổ răng khôn: Nếu răng khôn mọc kẹt trong xương hoặc mọc lệch, mọc nghiêng,… bác sĩ sẽ chỉ định nhổ răng khôn để ngăn chặn các biến chứng khác có thể xảy ra.
NHA KHOA LAVITA – CHANGE YOUR SMILE CHANGE YOUR LIFE
Địa chỉ: Tầng 1- Tòa nhà 34T Hoàng Đạo Thúy - phường Trung Hòa - quận Cầu Giấy - Hà Nội
Răng khôn có ảnh hưởng gì đến kích thước cơ cắn góc hàm và khiến đường viền hàm rộng hơn không?
Chào bác sĩ tôi muốn có đường viền hàm thon gọn, rõ nét hơn. Tôi 23 tuổi nhưng vẫn có răng khôn, thi thoảng gây khó chịu nhưng nhìn chung không có vấn đề gì lớn. Vài ngày trước tôi cũng đã tiêm botox gọn hàm. Nhưng không biết liệu răng khôn không được nhổ đi có khiến mặt trở nên tròn hơn không?
Nâng mũi hơn 8 năm có gây ra viêm xoang/viêm mũi không?
Chào bác sĩ, Em nâng mũi silicon chữ I, chỉ đặt sụn cho cao hơn, hoàn toàn không thay đổi cấu trúc mũi ban đầu cách đây khoảng hơn 8 năm. Trong thời gian đó, em không có các bệnh về mũi hay triệu chứng bất thường từ nâng mũi. Tuy nhiên, 3 tuần trở lại đây, em bị viêm xoang/viêm mũi khiến cho vùng mũi bị sưng, đau, nhất vùng chóp mũi sưng hẳn thấy sự khác biệt, căng cứng và lộ sống. Em đã uống thuốc điều trị viêm xoang/viêm mũi 3 tuần nhưng không khỏi, mà tình trạng ngày càng đau hơn. Rất mong bác sĩ tư vấn giúp em: 1. Chứng viêm xoang/viêm mũi có phải do sụn mũi gây ra không ạ? 2. Em đang điều trị ARV 7 năm (CD4 : 817, Tải lượng: không phát hiện) (Lúc nâng mũi em hoàn toàn khỏe mạnh). Nếu em tháo sụn mũi và hoàn toàn không có nhu cầu làm lại thì nên đến cơ sở y tế nào để thực hiện? Vì em đã đến các bệnh viện tỉnh, bệnh viên lớn nơi em sinh sống, đều không thực hiện được do không đủ điều kiện về phẩu thuật thẩm mỹ. 3. Rủi ro cao nhất nào xảy ra sau khi tháo sụn ra không ạ? Vì em chấp nhận rủi ro sau này để giảm bớt con đau do viêm xoang/viêm mũi nếu do sụn gây ra. Em nên làm gì ạ. Nhờ bác sĩ tư vấn giúp em vì hiện tại em không biết phải đến đâu để chữa trị trong khi chứng đau mũi ngày càng nặng hơn. Em cảm thấy stress khi không thể tìm được chỗ chữa trị mũi vì bệnh nền của em. Em cám ơn ạ .
Một bộ ngực đồ sộ có thể gây viêm gân hay viêm bao hoạt dịch không?
Y tá của bác sĩ phẫu thuật của tôi nghĩ rằng cơn đau ở vai và cánh tay của tôi có thể là một triệu chứng đến từ bộ ngực lớn (38 DDD). Cơn đau này không biết từ đâu xuất hiện trong khi tôi đang ngồi và đau đến nỗi chồng tôi bảo tôi phải đến phòng cấp cứu và được người ta cho đeo một cái địu. Tôi đang chờ gặp lại bác sĩ chỉnh hình của mình vì chúng tôi chưa bao giờ rõ lý do tại sao cơn đau và chất lỏng trên vai (hiển thị trên MRI) lại đột ngột xuất hiện, nhưng ông ấy nghĩ đó là viêm gân và viêm bao hoạt dịch.
Em bị rớt 1 mắt niềng của răng bên góc dưới hàm và 1 cái bên răng nanh có làm sao ko ạ Răng của em chỉ chỉnh hai răng cửa và hai răng đối diện răng cửa thôi ạ
Dán răng bonding có phải là giải pháp vĩnh viễn và nhanh chóng để khắc phục vấn đề răng thưa không?
Hai răng cửa của tôi có kẽ hở khoảng 3mm và tôi đang tìm một phương pháp cho hiệu quả vĩnh viễn và nhanh chóng. Tôi có nên chọn phương pháp dán bonding không? Ngoài ra, tôi có đọc được về khâu cao su cũng có tác dụng kéo các răng lại gần nhau, tôi có nên sử dụng không?
Nhổ răng khôn không đơn thuần là rút chiếc răng ra khỏi xương hàm, mà nó phức tạp hơn, đặc biệt nếu nó bị mọc kẹt.
Sự thay đổi nội tiết trong suốt quá trình mang thai có thể tàn phá sức khỏe răng miệng của bạn.
Khi bạn là người bị phải sở hữu hàm răng hô vẩu và bị lẹm cằm thì phải làm sao đây? Làm thế nào để có khuôn mặt cân đối trở lại với hàm răng đều đẹp? Hãy cùng xem phù thủy niềng răng chia sẻ về vấn đề này nhé!
Invisalign là một trong những giải pháp nắn chỉnh răng mới nhất hiện nay. Loại niềng này gần như vô hình, khiến nó trở thành một trong những lựa chọn phù hợp cho rất nhiều thanh thiếu niên và cả người lớn tuổi.
Khi có hàm răng khấp khểnh thì bạn sẽ chẳng thể nào có nụ cười đẹp được. Rất nhiều người khi đến tuổi trưởng thành vẫn có nhu cầu nắn thẳng răng nhưng lại ngại đeo niềng răng mắc cài truyền thống vì lo bị lộ.









