SỬA LẬT MI TẠI KAT
Lật mi có 2 trường hợp:
1 trường hợp không cần can thiệp lại: tạm thời sưng sau khi phẫu thuật
2 trường hợp cần can thiệp là các trường hợp bị lật vĩnh viễn
Đa số các ca bị lật mi cần phải can thiệp là do tay nghề của Bác Sĩ phẫu thuật trước đó chưa cao, gây ra sự cố: Xem thêm cắt mí
co rút sẹo do phẫu thuật lỗi
cắt quá nhiều da
Ngoài ra, cũng có những lý do khách quan khác như bị liệt dây thần kinh số 7 do biến chứng của tiểu đường, huyết áp,...
Vậy nên, việc chọn thật kỹ Bác Sĩ có bằng cấp - tay nghề cao cũng như nơi có uy tín lâu năm để làm là rất quan trọng
KAT tự hào đã đồng hành nâng tầm nhan sắc cho hơn 10.000 ca trong suốt 9 năm thành lập vừa qua với sự dẫn dắt chính của 2 vị Bác Sĩ kỳ cựu:
PGS. TS. BS Trần Đăng Khoa
BS. Phan Trần Thanh Thảo
Liên hệ với KAT để được thăm khám và tư vấn chi tiết nếu bạn đang bị lật mi nhé ![]()
74 Trần Quang Khải, Quận 1, TP.HCM.
Bị lật mí nhẹ dai dẳng sau nhiều năm cắt mí dưới, có thể sửa được nữa không?
9 năm trước tôi phẫu thuật cắt mí dưới kết hợp tạo hình góc mắt. Sau đó mí dưới bên phải hơi bị lật nhẹ do bác sĩ can thiệp quá mức. Sau đó bác sĩ cũng cố chỉnh sửa lại 2 lần bằng cách cắt bỏ bớt da, kết quả cũng cải thiện được một chút nhưng không đủ. Tôi khá sợ vì đã nhiều lần trải qua phẫu thuật, nhưng vẫn muốn tìm hiểu xem liệu có cách nào có thể khắc phục được tình trạng lộ củng mạc/tròng trắng này không? Liệu có thể xử lý bằng quy trình tạo hình góc mắt không?
Làm gì khi mí dưới bị co rút, sưng và hơi lật mí sau phẫu thuật cắt mí dưới
Chào bác sĩ, tôi đã cắt mí dưới cách đây 3 tuần nhưng đang rất lo lắng vì mí dưới bị co rút, sưng, lật mi và đường viền mi bị lượn cong không tự nhiên. Tôi có nên uống thuốc kháng histamine hoặc nhỏ steroid/thuốc kháng histamin để giúp giảm sưng không. Bác sĩ bảo tôi không phải lo lắng và tiếp tục chăm sóc với chế độ chườm lạnh 2 lần một ngày, nhỏ thuốc Retaline, bôi Systane và bôi thuốc mỡ lên vết mổ. 3 tuần nữa mới đến kiểm tra lại.
Lật mí dưới sau khi cắt mí dưới bằng phương pháp Skin Pinch
Chào bác sĩ, cách đây 3 tháng tôi đã cắt mí dưới bằng phương pháp skin pinch, nhưng đến bây giờ mí dưới bên trái vẫn bị lật. Ngay từ sau khi phẫu thuật nó đã bị lật rồi, tôi có dán băng hỗ trợ kết hợp matxa và không thấy mí bị lật ra trong vài tuần sau đó. Nhưng đến giờ khi được 3 tháng tôi lại thấy mí dưới bị lật. Vậy có cách nào để chỉnh sửa không? Mở góc mắt trong hay ngoài có khắc phục được không?
Đây là bị co rút mí mắt hay lật mí sau khi cắt mí dưới?
Chào bác sĩ, góc ngoài mí dưới bên trái của tôi không ôm vào mắt kết từ sau hôm phẫu thuật, bờ và kết mạc mí dưới bây giờ nhìn thấy rất rõ, mắt cũng liên tục bị đỏ nữa. Đến bây giờ tôi không còn bị phù kết mạc nữa, nhưng mỗi khi rửa mặt nước vẫn tràn vào mắt thậm chí ngay cả khi tôi nhắm mắt. Liệu có phải tôi đang bị lật mí hay là co rút mí mắt, tình trạng này có tự hết được không? Tôi đang được 2 tuần sau phẫu thuật.
Cắt mí được 4 ngày như này có phải bị lật mi không?
Bác sĩ cho tôi hỏi, tôi mới cắt mí được 4 ngày như này có phải bị lật cơ mí, và nhược cơ không, mắt tôi một bên giờ không thể mở to được và mí cứ sụp xuống ko thể nhìn lên.
Lật mi sau phẫu thuật tạo mắt hai mí có thể khiến bệnh nhân khó nhắm mắt, mất đi chức năng bảo vệ đồng tử, khô mắt...
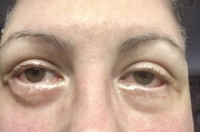
Nếu như với mí trên lật mí không phải là một vấn đề phổ biến thì với mí dưới đây lại là một biến chứng rất thường gặp sau phẫu thuật cắt mí dưới.
Da người bình thường có độ pH là khoảng 4.7, tức là môi trường hơi có tính axit theo như thang đo pH.
Bạn nên sử dụng hai loại sữa rửa mặt trong một ngày vì quy trình chăm sóc da buổi sáng và buổi tối có mục đích khác nhau. Loại sữa rửa mặt mà bạn cần dùng phụ thuộc vào loại da của bạn, da dầu cần dùng loại sữa rửa mặt khác với da khô vì vậy hãy chọn cho mình loại sản phẩm phù hợp với nhu cầu của da
Sữa rửa mặt có độ pH thấp có độ pH dưới 5,5 và tạm thời làm tăng tính axit cho bề mặt da. Độ pH của da ảnh hưởng đến hiệu quả và tác dụng phụ của các sản phẩm chăm sóc da. Có rất nhiều loại sữa rửa mặt có độ pH thấp và việc lựa chọn còn cần dựa trên loại da. Bạn phải luôn chọn sữa rửa mặt và các sản phẩm chăm sóc da phù hợp với loại da của mình.




















