CHẠM CHUẨN DIAMOND - CƯỜI TỰ NHIÊN, NIỀNG NHẸ TÊNH
Khi chuẩn mực được nâng cao, nụ cười cũng cần một hành trình xứng tầm. Đánh dấu cột mốc Diamond Invisalign, Nha khoa Thuỳ Anh mở ra ưu đãi đặc biệt dành cho khách hàng mong muốn một nụ cười đẹp tự nhiên, bền vững và an tâm dài lâu.
Tuần lễ DUY NHẤT trong năm để bạn niềng răng trong suốt với giá siêu hời:
- NIỀNG RĂNG TRONG SUỐT INVISALIGN GIẢM TỚI 40%
- TẶNG THÊM voucher giảm trực tiếp 8 TRIỆU
Áp dụng cho 05 khách hàng chốt niềng trong 15/1/2026 trên toàn hệ thống
Dành cho gói Invisalign Comprehensive 3 & 5 năm
- Miễn phí scan dự đoán kết quả niềng răng với máy iTero Lumina 5D Plus
- Tặng gói ClinCheck trị giá 12 TRIỆU
- Tặng Family Care 1 năm – chăm sóc sức khỏe răng miệng toàn diện cho cả gia đình
- 100% khách hàng đến thăm khám đều có quà tặng Invisalign
>>> Nhanh tay đăng ký – số lượng ưu đãi có hạn!
NHA KHOA THÙY ANH – ĐẲNG CẤP HÀNG HIỆU
Thời gian làm việc: 7h30 am - 18h00 pm
Liên hệ các cơ sở nha khoa Thùy Anh: https://m.me/NKTA.official
Niềng răng mặt lưỡi (mặt trong) và cách chăm sóc
Em niềng răng mặt lưỡi, mới gắn hàm dưới mà như thế giới sắp sụp đổ , ăn thì nó nhét tùm lum vào mắc rất đau và khó chịu, chưa kể dây buộc mắc cài lúc ăn và nói cứa xước hết lưỡi. Niềng mặt lưỡi thế này có gì khác biệt so với niềng mặt trước răng không ạ? Và cho e hỏi cách chăm sóc khi niềng cho tốt với ạ
Nên phẫu thuật hàm hay niềng răng cho trường hợp hô vẩu, cười hở lợi
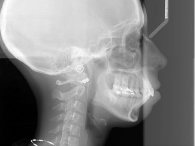
Tôi chuẩn bị niềng răng, dự tính hàm trên niềng răng mặt trong còn hàm dưới niềng răng mắc cài truyền thống. Một vài bác sĩ khuyên tôi nên phẫu thuật hàm nhưng cũng có 1 vài bác sĩ nói tôi chỉ cần nhổ 4 răng và cắm minivis là đủ để chữa hô vẩu, đồng thời giảm mức độ cười hở lợi. Dưới đây là hình ảnh phim X-quang của tôi. Tôi muốn hỏi thêm là nếu tôi nhổ 4 răng thì sau bao lâu đóng khoảng trống lại được vì tôi là diễn viên nên rất quan tâm điều này? Cảm ơn bác sĩ.
Làm thế nào để nâng ngực đẹp tự nhiên?
Hiện nay tôi thấy nhiều bác sĩ thẩm mỹ quảng cáo phẫu thuật nâng ngực đẹp tự nhiên. Tôi không rõ cách nâng ngực này có gì khác so với thông thường, và túi ngực được đặt dưới cơ hay trên cơ thì ngực trông sẽ tự nhiên hơn?
Có thể điều trị cười hở lợi mà không cần phẫu thuật không?
Tôi vừa mới phẫu thuật hàm để khắc phục vẩu. Trước đấy tôi cứ nghĩ là phương pháp này sẽ làm giảm tình trạng cười hở lợi nhưng sau khi phẫu thuật xong thì vẫn thế. Tôi rất muốn xử lý vấn đề này nhưng không muốn phải phẫu thuật lại một lần nữa. Vậy thì tôi có những lựa chọn nào? Có thể dán sứ Veneer không?
Khi nào thì túi nâng ngực vào vị trí cuối cùng ?
Tôi vừa kiểm tra lại sau một tuần nâng ngực bằng túi độn, và túi ngực của tôi vẫn chưa xuống thấp. Nó ở vị trí cao trên cả khuôn ngực bình thường của tôi. Bác sĩ bảo tôi phải matxa để giúp nó dịch chuyển xuống dưới. Như vậy có đúng không ?. Trước đó ngực tôi rất phẳng, còn bây giờ nó có vẻ to hoặc như sưng lên ở phần trên của vú. Khi nào thì túi độn bắt đầu vào vị trí cuối cùng của nó ?
Bạn không có tiền để gặp bác sĩ da liễu? Bạn cũng không có thời gian để trị liệu da mặt tại spa? Dưới đây là 7 biện pháp khắc phục mụn trứng cá thực sự hiệu quả và sẽ không làm tổn hại đến ngân sách của bạn.
Các hướng dẫn chăm sóc răng miệng cơ bản khi đeo niềng răng và hàm duy trì
Bên cạnh một nụ cười đẹp, việc niềng răng cho trẻ nhỏ sẽ đem lại những lợi ích mà bạn chưa hề nghĩ đến ví dụ như kết quả ổn định hơn, cải thiện tình trạng sức khỏe tổng thể và tăngsự tự tin cho trẻ.
Muốn tự tin sở hữu dáng mũi đẹp chuẩn tỉ lệ vàng là một điều không khó trong thời buổi ngày nay. Tuy nhiên dáng mũi sau nâng như thế nào không chỉ phụ thuộc vào kinh nghiệm, tay nghề và trình độ chuyên môn của bác sĩ mà còn phụ thuộc vào cách chăm sóc, vệ sinh hậu phẫu của chính bệnh nhân.
Khi niềng răng thì cuối cùng sẽ có một người quá trình nắn chỉnh răng hoàn thành và bạn có thể được tháo toàn bộ các mắc cài và dây cung khỏi răng. Vậy bạn có bao giờ tự hỏi những gì sẽ diễn ra khi tháo niềng và nhiều tháng sau đó không?








