Chảy máu chân răng khi mang thai
Chảy máu chân răng khi mang thai
Nội dung chính bài viết:
- Chảy máu chân răng khi mang thai là dấu hiệu của tình trạng viêm nướu thai kỳ, một phần do sự thay đổi hormone làm cho nướu nhạy cảm hơn với vi khuẩn trong mảng bám.
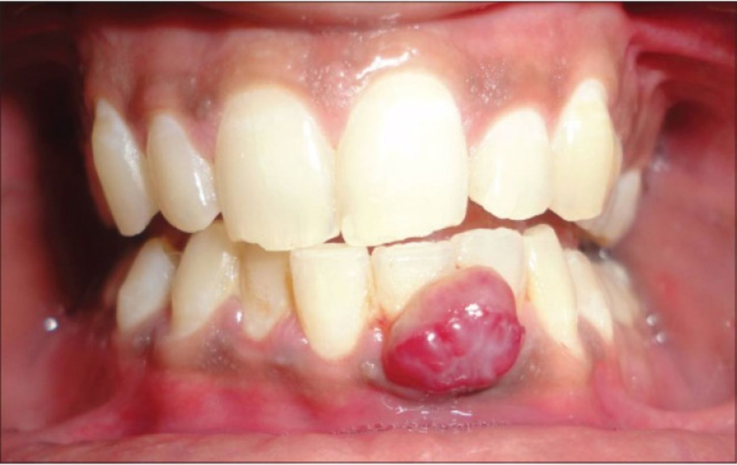
- Một vài phụ nữ khi mang thai sẽ xuất hiện một khối u nhỏ ở trên lợi, thường lành tính và tự biến mất sau khi sinh.
- Viêm nướu thai kỳ không gây nguy hại cho cả mẹ và bém đặc biệt nếu bạn vệ sinh răng miệng tốt. Nếu tình trạng viêm lợi nghiêm trọng có thể làm tăng nguy cơ sinh non.
- Thực hiện chăm sóc tốt sức khỏe răng miệng bằng cách dùng bàn chải lông mềm, sử dụng chỉ nha khoa, nước súc miệng chứa Flouride,... kết hợp khám nha khoa định kỳ.
- Khi tình trạng chảy máu chân răng xấu đi nhiều (đau răng, lợi chảy máu thường xuyên, sưng lợi, tụt lợi, răng lung lay), hãy khám nha khoa ngay lập tức.
Viêm nướu chân răng thai kỳ là gì?
Viêm nướu răng này là hiện tượng viêm nướu do mang thai, một dạng bệnh viêm nướu nhẹ. Viêm nướu mang thai một phần do sự thay đổi hormone làm cho nướu của bạn nhạy cảm hơn với vi khuẩn trong mảng bám.
Bạn cũng có thể phát triển một khối u nhỏ hoặc nốt trên nướu răng bị chảy máu khi chải. Đây là khối u tương đối hiếm gặp được gọi là u bướu do mang thai hoặc u hạt sinh mủ - những cái tên đáng sợ này nói đến cái gì đó vô hại và thường không đau. Các u hạt thai kỳ thực sự có thể xuất hiện bất cứ nơi nào trên cơ thể bạn trong thời kỳ mang thai, nhưng chúng sẽ xuất hiện nhiều nhất trong miệng.
Một u hạt thai kỳ trên nướu có thể to gần 2,5cm và rất có thể xuất hiện ở một khu vực mà bạn bị viêm nướu. U hạt này thường biến mất sau khi sinh nhưng bạn sẽ cần phải loại bỏ nó nếu nó không tự mất đi. Bạn cũng có thể cần loại bỏ nó trong khi mang thai nếu nó gây khó chịu, khó nhai hoặc đánh răng hoặc bắt đầu chảy máu quá nhiều.
Viêm nướu thai kỳ có ảnh hưởng đến em bé đang phát triển của tôi không?
Viêm nướu thai kỳ không gây nguy hại cho bạn hoặc em bé, đặc biệt nếu bạn vệ sinh răng miệng tốt. Bạn có thể đã nghe nói đến việc bệnh nướu răng có thể gây sinh non, nhưng đó chỉ là nguy cơ tiềm ẩn đối với phụ nữ bị bệnh viêm nướu nghiêm trọng.
Mặc dù một số nghiên cứu cho thấy mối liên quan giữa bệnh viêm nướu nặng và sinh non, cân nặng khi sinh thấp, và thậm chí là chứng tiền sản giật, nhưng các nghiên cứu khác cũng không cho thấy mối liên quan giữa bệnh này và những biến chứng nghiêm trọng này.
Tôi nên chăm sóc răng lợi trong thời kỳ mang thai như thế nào?
- Bắt đầu với việc vệ sinh răng miệng thật tốt:
- Chải răng kỹ nhưng nhẹ nhàng ít nhất hai lần một ngày (sau mỗi bữa ăn nếu có thể), sử dụng bàn chải mềm và kem đánh răng có chứa fluoride.
- Dùng chỉ nha khoa nếu có thể
- Xem xét sử dụng nước súc miệng chứa flouride, không cồn
Ngoài ra, thăm khám bác sĩ nha khoa thường xuyên để được chăm sóc phòng ngừa. Nha sĩ có thể loại bỏ mảng bám mà việc đánh răng không thể. Nếu gần đây chưa gặp bác sĩ nha khoa, hãy sắp xếp một cuộc thăm khám để được kiểm tra kỹ. Hãy cho nha sĩ biết bạn đang mang thai và được bao nhiêu tuần.
Nếu mới có thai, có thể bạn sẽ muốn được thăm khám một lần nữa trước khi sinh em bé – hoặc thậm chí thăm khám thường xuyên hơn nếu bạn đã bị viêm nướu vì quá trình mang thai có thể làm cho vấn đề trở nên tồi tệ hơn.
Không được ngừng điều trị các vấn đề về răng miệng. Nếu cần, thuốc gây tê như Novocain có thể dùng an toàn trong suốt thai kỳ. Tương tự như vậy, nếu bạn cần dùng thuốc kháng sinh thì cũng có loại an toàn trong thai kỳ.
Khi nào nên gọi bác sĩ nha khoa nếu chảy máu chân răng trong thai kỳ?
Ngoài các cuộc kiểm tra định kỳ, hãy gọi nha sĩ ngay nếu bạn:
- Đau răng
- Nướu đau bị chảy máu thường xuyên
- Các dấu hiệu khác của bệnh viêm nướu như nướu bị sưng lên hoặc tụt lợi chân răng, hôi miệng hoặc răng lung lay.
Nhiều thai phụ chọn chế độ ăn thuần chay khi mang thai. Trước khi chọn chế độ ăn này, các thai phụ cần phải lưu ý những điều sau đây!
Chảy máu hậu môn trong thai kỳ thường do bệnh trĩ, là khi các mạch máu bị sưng lên bất thường ở vùng trực tràng.
Nhiều phụ nữ cảm thấy mệt mỏi vì mang thai trong tam cá nguyệt thứ ba (và một số thậm chí còn sớm hơn).
Chúng ta đều biết rằng khả năng sinh sản khác nhau tùy theo từng người phụ nữ: Một số người phải vật lộn để thụ thai, trong khi những người khác thì rất ngạc nhiên khi mang thai trong khi họ cố gắng tránh nó. Nhưng mang thai trong khi bạn đang mang thai? Điều đó dường như vượt xa giới hạn về khả năng sinh sản của con người.
Câu hỏi: - Bác sĩ ơi, điều trị bệnh nấm móng chân khi mang thai có an toàn không? Bác sĩ giải đáp giúp tôi với nhé!
- 1 trả lời
- 5710 lượt xem
Mang thai được 9 tuần, em đi siêu âm đã thấy tim thai, túi thai bờ đều. Nhưng có lúc em lại thấy có 1 chút huyết màu nâu dính trên quần mà không kèm theo triệu chứng đau bụng hay khó chịu gì. Vậy, hiện tượng này có bình thường không, bác sĩ?
- 1 trả lời
- 529 lượt xem
Đầu năm trước, vợ em đã bị sảy (lúc thai được 5 tuần). Khi có thai lại bé này, 2 tháng đầu, vợ em bị động thai, ra máu nhiều nên phải nằm ở Trung tâm y tế huyện cả tháng để theo dõi và chích thuốc. Đi siêu âm, bs nói vợ em bị thiếu máu, dặn nghỉ ngơi, không đi lại vì thai bám Mặt trước, nhóm II, trưởng thành độ I, chỉ số xét nghiệm máu HGB 10.7, HCT 32.6. Các chỉ số khác bình thường. Giờ, thai đã được 21 tuần, nhưng vợ em lại vừa bị tiêu chảy và thủy đậu, được bs kê cho thuốc bôi và uống. Nhưng em vẫn thấy lo vì vợ em rất gày và không biết có cách nào để vợ, con em khỏe mạnh, an lành không ạ?
- 1 trả lời
- 827 lượt xem
Thưa bác sĩ, tôi có thể đi làm trắng răng khi đang mang thai không ạ? Cảm ơn bác sĩ!
- 1 trả lời
- 804 lượt xem
Thưa bác sĩ, tôi đang mang thai thì có nên đi làm sạch răng không ạ? Việc chăm sóc răng miệng có ảnh hưởng gì tới thai nhi không?
- 1 trả lời
- 726 lượt xem
Em mới nhổ răng, phải uống thuốc Cefixim 200mg - Meloxicam 7,5mg - Vitamin3b trong 3 ngày. Chu kì kinh 06/4, ngày nhổ răng và bắt đầu uống thuốc 17/4. Mong bs cho biết những thuốc trên có ảnh hưởng gì đến quá trình thụ thai và em bé hay không?








