U não: Các chỉ định chẩn đoán hình ảnh để đánh giá
1. Triệu chứng của u não
Khối u não (tên tiếng Anh là brain tumor) là một tập hợp hoặc một khối của các tế bào bất thường trong não. Hộp sọ bao quanh bộ não của bạn rất cứng. Bất kỳ sự tăng trưởng bên trong không gian chật hẹp như vậy có thể gây ra nhiều vấn đề khác nhau.
Các khối u não có thể là ung thư (ác tính) hoặc không ung thư (lành tính). Khi khối u lành tính hoặc ác tính phát triển, chúng có thể làm tăng áp lực bên trong hộp sọ dẫn đến gây tổn thương não và có thể đe dọa tính mạng.
Các khối u não được phân loại là nguyên phát và thứ phát. Khối u não nguyên phát bắt nguồn từ não và khối u não thứ cấp, còn được gọi là khối u não di căn, xảy ra khi các tế bào ung thư lan đến não từ một cơ quan khác và lan tới não, chẳng hạn như ung thư phổi hoặc vú.
Các dấu hiệu và triệu chứng của khối u não rất khác nhau và phụ thuộc vào kích thước, vị trí và tốc độ phát triển của khối u não. Các dấu hiệu và triệu chứng chung do khối u não có thể bao gồm:
- Làm khởi phát hoặc thay đổi kiểu hình đau đầu
- Nhức đầu tăng dần và trở nên thường xuyên, nghiêm trọng hơn
- Buồn nôn hoặc nôn không rõ nguyên nhân
- Gặp các vấn đề về thị lực, chẳng hạn như mờ mắt, nhìn đôi hoặc mất thị lực ngoại vi
- Dần dần mất cảm giác hoặc khả năng di chuyển ở một cánh tay hoặc chân
- Khó khăn về sự cân bằng
- Khó nói
- Lú lẫn trong các vấn đề hàng ngày
- Thay đổi tính cách hoặc hành vi
- Động kinh, đặc biệt là ở những người không có tiền sử co giật
- Gặp vấn đề về thính giác
2. Nguyên nhân của u não
2.1 Các khối u não bắt đầu trong não
Các khối u não nguyên phát bắt nguồn từ chính trong não hoặc trong các mô gần với nó, chẳng hạn như trong màng não, dây thần kinh sọ, tuyến yên hoặc tuyến tùng.
Các khối u não nguyên phát bắt đầu khi các tế bào bình thường bị lỗi (đột biến) trong ADN. Những đột biến này khiến các tế bào phát triển, phân chia với tốc độ tăng và tiếp tục sống, trong khi các tế bào khỏe mạnh sẽ chết. Kết quả là hình thành một khối các tế bào bất thường, tạo thành một khối u.
Ở người trưởng thành, khối u não nguyên phát ít phổ biến hơn nhiều so với khối u não thứ phát, trong đó ung thư bắt đầu từ nơi khác và lan sang não.
Nhiều loại khối u não nguyên phát khác nhau tồn tại. Mỗi bệnh được đặt tên theo loại tế bào liên quan. Những ví dụ bao gồm:
- U thần kinh đệm. Những khối u này bắt đầu trong não hoặc tủy sống và bao gồm u sao bào (astrocytomas), u màng não thất (ependymomas), u nguyên bào thần kinh đệm (glioblastomas), u thần kinh đệm hỗn hợp (oligoastrocytomas) và u thần kinh đệm ít nhánh (Oligodendrogliomas).
- U màng não. U màng não là khối u phát sinh từ các màng bao quanh não và tủy sống. Hầu hết u màng não không phải là ung thư.
- U thần kinh âm thanh (schwannomas). Đây là khối u lành tính phát triển trên các dây thần kinh kiểm soát khả năng cân bằng và thính giác dẫn từ tai trong đến não.
- U tuyến yên (Pituitary adenomas). Đây chủ yếu là các khối u lành tính phát triển trong tuyến yên ở đáy não. Những khối u này có thể ảnh hưởng đến các hormone tuyến yên với các tác động trên toàn cơ thể.
- U nguyên bào tủy (Medulloblastomas). Đây là khối u ung thư não phổ biến nhất ở trẻ em. Một khối u nguyên bào bắt đầu ở phần dưới của não và có xu hướng lây lan thông qua dịch não tuỷ.
- U tế bào mầm (Germ cell tumors). Các khối u tế bào mầm có thể phát triển trong thời thơ ấu, nơi tinh hoàn hoặc buồng trứng sẽ hình thành. Nhưng đôi khi các khối u tế bào mầm ảnh hưởng đến các bộ phận khác của cơ thể, chẳng hạn như não.
- U sọ hầu (Craniopharyngiomas). Đây là khối u hiếm và không ung thư bắt đầu ở gần tuyến yên của não, tuyến này tiết ra các hormone kiểm soát nhiều chức năng của cơ thể. Khi u sọ hầu phát triển chậm, nó có thể ảnh hưởng đến tuyến yên và các cấu trúc khác gần não.
2.2 Ung thư bắt đầu từ nơi khác và lan đến não
Các khối u não thứ phát (di căn) là các khối u do ung thư bắt đầu từ nơi khác trong cơ thể và sau đó lan rộng (di căn) đến não.
U não thứ phát thường xảy ra ở những người có tiền sử đã mắc ung thư. Nhưng trong những trường hợp hiếm, khối u não di căn có thể là dấu hiệu đầu tiên của bệnh ung thư bắt đầu từ những nơi khác trong cơ thể.
Ở người lớn, u não thứ phát phổ biến hơn nhiều so với khối u não nguyên phát. Bất kỳ bệnh ung thư nào cũng có thể lan đến não, nhưng các loại phổ biến bao gồm:
- Ung thư vú
- Ung thư ruột kết
- Ung thư thận
- Ung thư phổi
- Ung thư hắc tố
3. Làm thế nào để chẩn đoán và đánh giá khối u não?
Để chẩn đoán và đánh giá khối u não, bác sĩ có thể chỉ định cho người bệnh thực hiện một trong các chẩn đoán kỹ thuật hình ảnh sau:
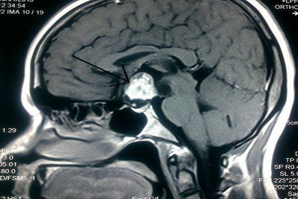
- Chụp MRI não: Chụp cộng hưởng từ (MRI) sử dụng từ trường mạnh, xung tần số vô tuyến và máy tính để tạo ra hình ảnh chi tiết của các cơ quan, mô mềm, xương và hầu hết tất cả các cấu trúc bên trong cơ thể. MRI cung cấp hình ảnh chi tiết nên có thể phát hiện các bất thường ở não như khối u và nhiễm trùng. MRI có độ nhạy cao để phát hiện khối u và đánh giá khu vực xung quanh nhằm xác định phạm vi ảnh hưởng của khối u.
- MRI cột sống: Giống như MRI của đầu, MRI cột sống sử dụng từ trường mạnh, xung tần số vô tuyến và máy tính để hiển thị cấu trúc giải phẫu của đốt sống, cũng như các đĩa đệm, tủy sống và khoảng trống giữa đốt sống để các dây thần kinh đi qua. Kỹ thuật này có thể được sử dụng để phát hiện các khối u phát sinh hoặc lan đến cột sống và/hoặc tủy sống hoặc chất lỏng bao quanh nó (dịch não tủy).
- Chụp fMRI não bộ: Chụp cộng hưởng từ chức năng (fMRI) sử dụng hình ảnh MR để đo các thay đổi trao đổi chất diễn ra trong não. Trong trường hợp chẩn đoán khối u não, kỹ thuật này được thực hiện để đánh giá các khu vực trong não liên quan đến ngôn ngữ và chuyển động cơ bắp. Nó cũng được sử dụng để theo dõi sự phát triển và chức năng của khối u và đánh giá các nguy cơ tiềm ẩn của phẫu thuật hoặc các phương pháp điều trị xâm lấn khác.
- Chụp CT não: Chụp cắt lớp vi tính (CT) kết hợp thiết bị chụp X-quang đặc biệt và máy tính tinh vi để tạo ra nhiều hình ảnh bên trong cơ thể. Kỹ thuật này có thể phát hiện các khối u não cũng như giúp lập kế hoạch xạ trị với mục đích điều trị. CT cũng có thể phát hiện chảy máu hoặc phù nề trong não.
- Chụp PET và PET/CT đầu: Chụp cắt lớp phát xạ positron (PET) là kỹ thuật chẩn đoán sử dụng một lượng nhỏ chất phóng xạ đánh dấu (được gọi là radiotracer) nhằm giúp chẩn đoán và xác định mức độ nghiêm trọng của nhiều loại bệnh. Chụp kết hợp PET / CT được sử dụng từ việc kết hợp các hình ảnh từ chụp PET và CT với nhau và tạo ra chi tiết về cả giải phẫu (từ CT scan) và chức năng (từ quét PET) của não. Kỹ thuật này có thể đo lường cách khối u não sử dụng glucose. Các chất phóng xạ đánh dấu khác còn có chức năng ghi lại hình ảnh các vùng oxy thấp trong khối u.
- Chụp mạch máu não (Cerebral angiography): Kỹ thuật xâm lấn tối thiểu này sử dụng tia X và chất cản quang có chứa iốt để tạo ra hình ảnh của các mạch máu bên trong não. Kỹ thuật có thể cung cấp thêm thông tin về những bất thường nhìn thấy trên MRI hoặc CT của đầu, chẳng hạn như việc cung cấp máu cho khối u và cách khối u làm biến dạng các mạch máu bình thường. Chụp mạch máu não có thể sử dụng hướng dẫn cho bác sĩ phẫu thuật nhằm làm giảm nguy cơ gây hại của phẫu thuật.
- Chụp tủy cản quang (Myelography): Kỹ thuật này cung cấp ảnh tức thời (real time) của nội soi huỳnh quang (Fluoroscopy) nhằm đưa kim vào ống sống và tiêm chất cản quang vào không gian xung quanh tủy sống và rễ thần kinh (khoang dưới màng cứng). Kỹ thuật này có thể được sử dụng để đánh giá các khối u liên quan đến xương cột sống, màng não, rễ thần kinh hoặc tủy sống, khi mà người bệnh không thể thực hiện kỹ thuật chẩn đoán hình ảnh khác.
- Sinh thiết: Sinh thiết là lấy các mô trong cơ thể để kiểm tra xem liệu mô đó có bị bệnh không. Thông thường, các mô được lấy bằng cách đâm một cây kim xuyên qua da đến khu vực bất thường. Sinh thiết có thể được thực hiện an toàn với hướng dẫn của các kỹ thuật hình ảnh (như siêu âm, x-quang, CT hoặc MRI) để xác định chính xác vị trí đặt kim và thực hiện sinh thiết.
- Chọc dò tủy sống: đây là kỹ thuật chẩn đoán hình ảnh xâm lấn tối thiểu nhằm lấy một lượng nhỏ dịch não tủy hoặc tiêm thuốc hoặc chất khác vào vùng thắt lưng (hoặc thấp hơn) của cột sống.
Các kỹ thuật chẩn đoán hình ảnh khác có thể được thực hiện nếu bác sĩ nghi ngờ rằng khối u não đã di căn đến các bộ phận khác của cơ thể. CT ngực và bụng có thể được thực hiện nếu nghi ngờ khối não thứ phát, chứ không phải là khối u nguyên phát, nhằm tìm ra nguồn gốc của khối u.
Bài viết tham khảo nguồn: radiologyinfo.org, mayoclinic.org
XEM THÊM:
- U não: Những điều cần biết
- Các loại u não thường gặp - vì sao u não hay phát hiện muộn?
- Giả u não là bệnh gì?
Ho rát họng có đờm là một vấn đề phổ biến có thể gặp ở bất kỳ ai. Nguyên nhân của tình trạng này có thể là viêm amidan, cảm cúm, viêm họng, thậm chí là ung thư vòm họng.
Viêm phế quản là một bệnh lý phổ biến trong xã hội ngày nay mà nhiều người có thể mắc phải. Tuy viêm phế quản không gây nguy hiểm đến tính mạng nhưng có thể ảnh hưởng đáng kể đến sức khỏe của người bệnh.
Ho, sốt đau họng là những triệu chứng thường gặp cùng lúc và có thể ảnh hưởng đến cuộc sống hàng ngày. Bài viết dưới đây sẽ làm rõ nguyên nhân, cách nhận biết và những phương pháp hiệu quả để giảm nhẹ và xua tan những triệu chứng này.
Là một phần quan trọng của hệ hô hấp, họng thường mắc phải nhiều bệnh lý khác nhau. Các bệnh về họng có thể đơn giản chỉ là viêm họng hoặc có thể nghiêm trọng hơn như viêm amidan, viêm thanh quản và thậm chí ung thư họng.
Thời điểm giao mùa, các trung tâm Y tế đang ghi nhận nhiều trường hợp bệnh nhi mắc viêm phổi do vi khuẩn Mycoplasma. Đây là một bệnh thường xuất hiện trong mùa giao mùa, đặc biệt làm lây lan nhanh chóng.
Nếu bạn đang phải khổ sở vì những đêm trằn trọc mất ngủ thì việc ngủ được ngay chỉ sau vài phút nằm xuống giường quả là một niềm mơ ước. Tuy nhiên, thật sự có những cách giúp bạn có thể chìm vào giấc ngủ chỉ sau 120, 60 hoặc thậm chí là 10 giây.
Thời tiết chuyển mùa khiến chúng ta dễ bị cảm cúm kèm theo các triệu chứng sổ mũi, đau đầu. Có nhiều loại thuốc tây có thể hỗ trợ điều trị và giảm triệu chứng nhanh chóng nhưng đây không phải sự lựa chọn của nhiều người vì sợ ảnh hưởng đến sức khỏe lâu dài. Do đó, ngày càng có nhiều người lựa chọn thảo dược trị cảm cúm và giảm các triệu chứng khó chịu mà không gây nguy hại cho sức khỏe.
Ferritin là một loại protein dự trữ sắt và giải phóng sắt khi cơ thể cần. Ferritin tập trung chủ yếu trong các tế bào và chỉ có một lượng rất nhỏ lưu thông trong máu.
Một trong các biện pháp để điều trị thiếu máu là điều chỉnh lại chế độ ăn uống. Người bị thiếu máu cần ăn nhiều thực phẩm giàu sắt và các vitamin khác cần thiết cho quá trình sản xuất hemoglobin và hồng cầu.
Lăn kim là một phương pháp thẩm mỹ hiệu quả nhằm kích thích lưu thông máu trên da, giảm sẹo mụn và tăng cường sản xuất collagen. Tuy nhiên, quy trình này đôi khi có thể gây tổn thương da, người thực hiện phương pháp này phải chăm sóc da sau lăn kim để củng cố hàng rào bảo vệ da trong quá trình lành lại.





