Coi chừng cái răng là gốc... vi trùng! - Bệnh viện Hoàn Mỹ Sài Gòn
Ngày nay bàn chải và kem đánh răng là những “vũ khí” vô cùng lợi hại để đảm bảo một hàm răng khỏe mạnh, một nụ cười tươi tắn. Thế nhưng việc sử dụng những vũ khí này cũng cần phải có kỹ thuật nhằm đảm bảo cái răng luôn là “gốc con người”.
Chọn bàn chải
- Đây là việc quan trọng nhất trong việc chăm sóc răng miệng. Rất nhiều người sử dụng bàn chải trong một khoảng thời gian dài, có khi tới nhiều tháng, ngay cả khi bàn chải đã... quá đát.
- Những thống kê cho thấy tần suất mua bàn chải trung bình của mỗi người là... một năm/bàn chải. Khi lông bàn chải bị cong, có nghĩa là bàn chải đã bị “phế võ công” ở những vùng phía sau răng.
- Thời gian trung bình mỗi lần đánh răng 3-10 phút. Vì vậy tuổi thọ của bàn chải đánh răng chỉ vỏn vẹn một tháng. Khi mua nên chọn những bàn chải có đầu nhỏ nhằm đảm bảo bàn chải có thể xuyên qua các ngõ ngách của răng. Nên chọn loại bàn chải bằng nilông vì một công hai chuyện: vừa rẻ, vừa sử dụng được lâu.
- Không nên chọn những loại bàn chải quá mềm, trừ khi được sử dụng cho trẻ em hoặc khi nha sĩ yêu cầu bạn. Lông bàn chải cần đủ cứng để xua đuổi những mảng bám.
- Nơi lý tưởng nhất để giữ bàn chải đánh răng là tủ có ngăn kéo. Không nên để ở bồn rửa mặt trong phòng tắm, vì nước bẩn và vi trùng có thể văng trúng và bám vào bàn chải.
Chọn kem đánh răng:
- Một vũ khí khác là kem đánh răng. Nên chọn những loại kem trong thành phần có fluoride vì chất này có khả năng hạn chế sự tạo thành các lỗ sâu răng.
- Tác động hạn chế sự hình thành các lỗ sâu răng của chất fluoride có thể đạt tới 30%.
- Chải răng với những loại kem đánh răng chất lượng tốt có thể hạn chế sự hình thành các lỗ sâu thứ cấp, vốn sẽ hình thành xung quanh những chỗ trám răng.
Chọn nước súc miệng:
- Nhiều người tin các loại nước súc miệng có thể thay thế bàn chải và kem đánh răng. Điều này hoàn toàn hoang tưởng vì các loại nước súc miệng chỉ có tác dụng vô cùng nhỏ, đó là đem lại cho bạn một cảm giác tươi tắn trong miệng.
- Một số chế phẩm nước súc miệng hiện có chứa chlorhexidine. Hóa chất này quả thật có tác động "dọn dẹp" những vi trùng và các mảng bám trên bề mặt của răng, tuy nhiên mỗi tuần chỉ nên sử dụng một lần.
Nguồn: Bệnh viện Hoàn Mỹ Sài Gòn
Tìm hiểu về các tác hại của thuốc lá đối với sức khỏe răng miệng
Sâu răng là sự phá hủy cấu trúc răng và có thể tác động đến cả men răng (lớp phủ ngoài cùng của răng) và lớp ngà răng.
Tìm hiểu về vấn đề phổ biến trong nha khoa: đau răng
Nếu các loại đồ ăn, đồ uống lạnh hoặc nóng khiến cho răng bạn bị đau thì có lẽ đã đến lúc đi khám nha sĩ để kiểm tra xem có phải răng bạn là răng nhạy cảm hay không.
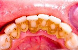
Mảng bám là những vùng vi khuẩn dính, không màu hình thành trên răng.





