Dòng thời gian
Bệnh viện nhi đồng thành phố
4 năm trước
Chia sẻ
Trẻ sơ sinh “đại kỵ” mồ hôi trộm: Hiểu để chăm sóc con hiệu quả!!Với sức đề kháng còn non yếu, làn da sơ sinh mỏng manh dễ bị tác động bởi các yếu tố bên ngoài, trẻ sơ sinh thường bị “làm phiền” bởi...
Bệnh viện nhi đồng thành phố
4 năm trước
Chia sẻ
Tay chân miệng ĐANG TĂNG RẤT NHANH từ độ nhẹ tới nặng, dự đoán tháng tư này sẽ tăng cao. Con có thể đang ngủ GIẬT MÌNH, đừng lơ là nghĩ con KHÓ CHỊU, bệnh TAY CHÂN MIỆNG VÀO MÙA RỒI- BẮT ĐẦU TĂNG - ĐÃ...
Bệnh viện nhi đồng thành phố
4 năm trước
Chia sẻ
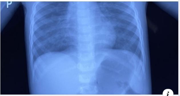
Bé gái 8 tuổi bị răng sữa rơi vào phổi, chiếc răng cắm sâu vào thành phế quản khi tự nhổ răng tại nhà!!Video cảnh giác này, TS BS Trịnh Hồng Nhiên, Trưởng khoa Hô Hấp Bệnh Viện Nhi Đồng Thành Phố sẽ...
Bệnh viện nhi đồng thành phố
4 năm trước
Chia sẻ
Nhập viện vì bệnh tay chân miệng, mụn nước hồng ban tay chân gối và loét họng, con nhanh chóng có triệu chứng thần kinh, giật mình, run yếu cơ liên tục và phù phổi cấp, rất may sau hơn một tuần lọc...




