ƯU ĐIỂM VƯỢT TRỘI TỪ PHƯƠNG PHÁP DÁN SỨ VENEER
Là một trong những phương pháp thẩm mỹ răng sứ đang nhận được nhiều sự quan tâm chú ý hiện nay, dán sứ veneer thể hiện tốt những ưu điểm vượt trội của mình trong việc mang đến nụ cười thẩm mỹ hoàn hảo, giải quyết trọn vẹn nỗi lo sợ mài răng của khách hàng.
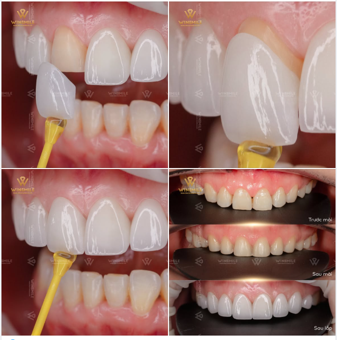
1. Hạn chế tối đa việc mài răng
Mặt dán sứ veneer đột phá về độ mỏng ngang kính áp tròng, chỉ từ 0.1 - 0.4mm. Bởi vậy, ở bước sửa soạn cùi răng, bác sĩ sẽ chỉ cần mài qua bề mặt ngoài một lớp siêu mỏng tương ứng để gắn mặt dán sứ, bảo tồn tối đa cùi răng gốc cho khách hàng. Nhờ vậy, trải nghiệm thẩm mỹ dán sứ veneer tương đối nhẹ nhàng, không đau, không ê buốt.
2. Thẩm mỹ tinh tế
Mặt dán sứ veneer khéo léo tinh chỉnh lại hình thể, form dáng, đường cười cân đối một cách nhẹ nhàng, tinh tế. Tạo tác từ khối sứ nguyên chất với bảng màu đa dạng, miếng sứ veneer tái tạo vẻ đẹp trắng trong tự nhiên phù hợp với đặc điểm và phong cách cá nhân của từng khách hàng. Đặc biệt, miếng sứ siêu mỏng sẽ cho phép màu răng ánh nhẹ ra bên ngoài, mang đến sắc độ tự nhiên và giống thật nhất.
3. An toàn - thoải mái như răng thật
Nhờ chất liệu sứ lành tính với độ bền cứng gấp 4 - 5 lần răng thật, dán sứ veneer mang đến nụ cười khỏe đẹp, an toàn với khả năng ăn nhai tự nhiên, thoải mái như răng thật.
Với ưu điểm mài răng tối thiểu - thẩm mỹ tối đa, dán sứ veneer là lựa chọn được đông đảo khách hàng quan tâm và ưa chuộng. Tuy nhiên, không phải tình trạng răng nào cũng đủ điều kiện để làm thẩm mỹ dán sứ veneer. Ví dụ những tình trạng răng quá lệch lạc, hoặc màu răng quá tối thì dán sứ chưa phải phương pháp thẩm mỹ mang lại kết quả hoàn hảo nhất.
Đích đến sau mỗi hành trình thay đổi là kết quả nụ cười khỏe đẹp ưng ý. Bởi vậy, việc lựa chọn đúng phương pháp thẩm mỹ phù hợp tình trạng đóng vai trò vô cùng quan trọng. Liên hệ với Win Smile để được các chuyên gia hàng đầu tư vấn ngay nhé!
HỆ THỐNG NHA KHOA THẨM MỸ QUỐC TẾ WIN SMILE | Thành công từ những nụ cười
✦ Địa chỉ hệ thống nha khoa:
- 51B Lê Duẩn, Cửa Nam, Hoàn Kiếm, Hà Nội
- 11 Vũ Trọng Phụng, Thanh Xuân Trung, Thanh Xuân, Hà Nội
- 88 Lê Thị Hồng Gấm, Nguyễn Thái Bình, Quận 1, TP. Hồ Chí Minh
Ưu điểm và nhược điểm của phương pháp căng da mặt?
Căng da mặt giúp trẻ hóa da mặt đến 10 tuổi, nghe rất hấp dẫn. Phương pháp này có nhược điểm gì không? xin cám ơn
Phương pháp treo ngực sa trễ nào để lại sẹo ít nhất?
Trong các phương pháp phẫu thuật treo ngực sa trễ thì kỹ thuật nào để lại ít sẹo nhất? Tôi khá quan tâm đến vấn đề sẹo trên ngực
So sánh đông hủy mỡ CoolSculpting với phương pháp Laser Lipolysis
Tôi đã nghe nói nhiều về phương pháp đông hủy mỡ nhưng tôi muốn biết phương pháp này cho hiệu quả cuối cùng như thế nào so với phương pháp laser lipo? Có nhiều người nói rằng hiệu quả của phương pháp CoolSculpting cũng gần tương đương với phương pháp laser lipo, điều này có đúng không?
Nên chọn phương pháp Coolsculpting hay Smart Lipo để giảm mỡ cho vùng bụng và eo?
Phương pháp nào là tốt nhất để giảm mỡ cho vùng bụng và eo? Cả hai phương pháp được khoảng 80% các bác sĩ đánh giá cao. Các bức ảnh chụp phương pháp Smart Lipo cho thấy hiệu quả giảm mỡ cao hơn. Tôi còn thấy rằng phương pháp đông hủy mỡ coolsculpting có mức chi phí cuối cùng rất cao vì bạn sẽ cần đến 3 – 4 liệu trình điều trị trong khi phương pháp SlimLipo chỉ cần duy nhất một liệu trình. Xin các bác sĩ cho tôi lời khuyên. Cảm ơn.
Phương pháp đông hủy mỡ CoolSculpting có thể giảm mỡ cho vùng má không?
Tôi đang muốn tìm một phương pháp có thể giảm mỡ cho vùng má nhưng tôi không muốn các phương pháp điều trị có xâm lấn. Không biết liệu phương pháp đông hủy mỡ có phù hợp không?
Điều trị bằng laser là phương pháp nhanh nhất để trị sẹo và thâm sau khi trị mụn. Ngoài ra,còn có thể giúp trị mụn. Tuy nhiên, phương pháp này lại không có tác dụng đối với những loại mụn không viêm.
Có 3 kỹ thuật cắt mắt 2 mí hiện nay là bấm mí, cắt mí một phần và cắt mí toàn phần
Đôi mắt vốn được mệnh danh là cửa sổ tâm hồn, nơi gói trọn những xúc cảm trong tâm hồn cô gái.
Có thể nói nâng mũi là phương pháp làm đẹp phổ biến nhất trong phẫu thuật thẩm mỹ hiện nay bởi mũi là yếu tố quan trọng góp phần tạo nên nét hài hòa, cân đối cho khuôn mặt.
Trong nhiều thập kỷ, nâng ngực luôn nằm trong top 5 các quy trình phẫu thuật thẩm mỹ phổ biến nhất cho phụ nữ. Trên thực tế đây là một trong hai quy trình phổ biến nhất kể từ khi bắt đầu được khảo sát cách đây 20 năm.





