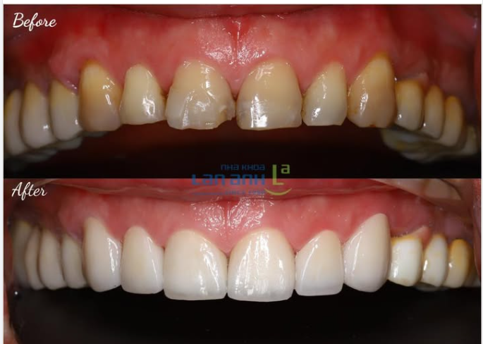
Răng sứ làm theo kỹ thuật cũ, khác màu với răng thật, nhìn hơi giả…
Nhưng giờ khác rồi, bọc răng sứ bên nha khoa Lan Anh làm vừa đẹp tự nhiên, vừa bền và sử dụng lâu dài ạ
Làm răng hoặc các thủ thuật phẫu thuật khác sau nâng ngực có thể bị co thắt bao xơ không?
Sau khi phẫu thuật nâng ngực bằng túi độn mà đi làm răng hay các thủ thuật phẫu thuật khác thì có bị co thắt bao xơ không? Tôi có nghe nói là sau khi đặt túi độn ngực thì cần bắt đầu một đợt kháng sinh dự phòng trước khi đi làm răng để ngăn ngừa nguy cơ co thắt bao xơ. Có đúng là như thế không? Ngoài ra, nếu làm các phương pháp phẫu thuật khác thì có thể bị co thắt bao xơ không?
Khắc phục vấn đề khớp cắn và răng khấp khểnh mà không cần phẫu thuật
Hàm răng của tôi trông rất là kinh khủng nên luôn ngại cười. Như này là tôi bị khớp cắn sâu hay khớp cắn chéo? Có thể khắc phục được mà không cần phẫu thuật hàm không?
Có thể khắc phục được tình trạng răng chen chúc xô lệch mà không cần nhổ răng không?
Tôi 23 tuổi và đang cân nhắc đến việc niềng răng để khắc phục tình trạng răng mọc khấp khểnh. Tôi đã đến gặp hai bác sĩ nha khoa thẩm mỹ và họ đều nói là cần phải nhổ răng nhưng tôi lại không muốn vậy. Hàm dưới của tôi gần như hoàn hảo nhưng tôi có tật nghiến răng vào ban đêm. Vậy tôi muốn hỏi là có thật sự cần phải nhổ răng hay không?
Sau khi nhổ răng cửa ở hàm dưới và niềng răng, răng cửa hàm trên nhô ra so với hàm dưới, cách khắc phục?
Hàm trên bị nhô ra so với hàm dưới, cách xử lý?
Sự khác nhau giữa niềng răng trong suốt invisalign và niềng răng truyền thống?
Tôi xem trên tivi và internet, thấy nói hiệu quả của niềng răng trong suốt invisalign và niềng răng kim loại có mắc cài là tương đương nhau. Các bác sĩ có thể giải thích về sự khác nhau của 2 phương pháp niềng răng này được không?
Niềng răng là một cách hiệu quả để có được hàm răng thẳng đều hoàn hảo, tuy nhiên, bạn đã biết sau khi niềng răng thì mình cần làm gì chưa?
Ngày nay, các khay niềng trong suốt đang dần trở thành một trong những lựa chọn chỉnh nha phổ biến nhất trên thế giới. Tuy nhiên, niềng truyền thống cũng không vì thế mà mất đi vị trí, đây vẫn tiếp tục là một lựa chọn được tin cậy vì nó mang lại một số lợi ích riêng biệt mà không loại niềng nào thay thế được. Vậy, hai loại niềng này có gì khác nhau?
Ước tính có khoảng 70% trẻ em bị khớp cắn sâu. Hiện nay, việc chỉnh sửa khớp cắn sâu là lý do phổ biến thứ 2 mà mọi người chọn để niềng răng.
Niềng răng thường được chia làm 2 giai đoạn trong quy trình phẫu thuật hàm hô, móm.
Nguyên nhân gây hô móm thường do yếu tố di truyền. Ngoài ra còn một số yếu tố khác liên quan tới thói quen thời thơ ấu như tật đẩy lưỡi, mút ngón tay, bú bình trong thời gian dài.












